M-CSF Antibody (SU0413)

Images

 
Western Blot: M-CSF Antibody (SU0413) [NBP2-67490] - Western blot analysis of M-CSF on mouse colon tissue lysates. Proteins were transferred to a PVDF membrane and blocked with 5% BSA in PBS for 1 hour at room ...read more
Immunocytochemistry/ Immunofluorescence: M-CSF Antibody (SU0413) [NBP2-67490] - Staining MCSF in HepG2 cells (green). The nuclear counter stain is DAPI (blue). Cells were fixed in paraformaldehyde, permeabilised with ...read more
Immunohistochemistry-Paraffin: M-CSF Antibody (SU0413) [NBP2-67490] - Analysis of paraffin-embedded human tonsil tissue using anti-MCSF antibody. Counter stained with hematoxylin.
Immunocytochemistry/ Immunofluorescence: M-CSF Antibody (SU0413) [NBP2-67490] - Staining MCSF in A431 cells (green). The nuclear counter stain is DAPI (blue). Cells were fixed in paraformaldehyde, permeabilised with ...read more
Immunocytochemistry/ Immunofluorescence: M-CSF Antibody (SU0413) [NBP2-67490] - Staining MCSF in Hela cells (green). The nuclear counter stain is DAPI (blue). Cells were fixed in paraformaldehyde, permeabilised with ...read more
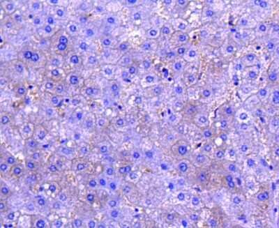
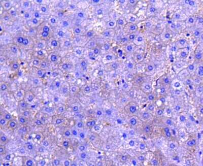
Immunohistochemistry-Paraffin: M-CSF Antibody (SU0413) [NBP2-67490] - Analysis of paraffin-embedded human liver tissue using anti-MCSF antibody. Counter stained with hematoxylin.
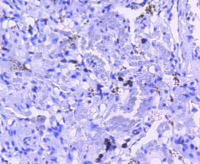
Immunohistochemistry-Paraffin: M-CSF Antibody (SU0413) [NBP2-67490] - Analysis of paraffin-embedded human lung tissue using anti-MCSF antibody. Counter stained with hematoxylin.

Product Details

Summary
Product Discontinued
View other related M-CSF Primary Antibodies

Order Details


    • Catalog Number
      NBP2-67490
    • Availability
      Product Discontinued

    Can't find what you are looking for? Use our Antibody Concierge Service & we will help you locate your antibody!

    Or feel free to contact us for alternative products.

M-CSF Antibody (SU0413) Summary

Additional Information
Recombinant Monoclonal Antibody.
Immunogen
Synthetic peptide within Human M-CSF aa 56-105 / 554. (SwissProt: P09603 Human; SwissProt: P07141 Mouse)
Localization
Membrane, Secreted, extracellular space, nuclear body.
Isotype
IgG
Clonality
Monoclonal
Host
Rabbit
Gene
CSF1
Purity
Protein A purified
Innovator's Reward
Test in a species/application not listed above to receive a full credit towards a future purchase.

Applications/Dilutions

Dilutions
  • Immunocytochemistry/ Immunofluorescence 1:50-1:200
  • Immunohistochemistry
  • Immunohistochemistry-Paraffin 1:50-1:100
  • Immunoprecipitation
  • Western Blot 1:500-1:1000

Packaging, Storage & Formulations

Storage
Store at 4C short term. Aliquot and store at -20C long term. Avoid freeze-thaw cycles.
Buffer
TBS (pH7.4), 0.05% BSA, 40% Glycerol
Preservative
0.05% Sodium Azide
Concentration
1 mg/ml
Purity
Protein A purified

Alternate Names for M-CSF Antibody (SU0413)

  • colony stimulating factor 1 (macrophage)
  • CSF1
  • CSF-1
  • Lanimostim
  • macrophage colony stimulating factor
  • macrophage colony-stimulating factor 1
  • MCSF
  • M-CSF
  • MCSFlanimostim
  • MGC31930

Background

M-CSF (macrophage colony stimulating factor, colony stimulating factor 1, CSF-1) is a hemtopoietic growth factor produced by monocytes, granulocytes, endothelial cells, fibroblasts and activated B-cells and T-cells. M-CSF stimulates macrophage colony formation and regulates proliferation and differentiation of hematopoeitic stem cells into macrophages and regulates survival and differentiation of monocytes. It enhances antibody-dependent cell-mediated cytotoxity, enhances marophage killing of tumor cells and microorganisms, regulates the release of cytokines and inhibits bone resorption by osteoclasts. Human M-CSF shows biological activity on murine and rat cells and although murine M-CSF is active in rat cells it is inactive in human cells.

Limitations

This product is for research use only and is not approved for use in humans or in clinical diagnosis. Primary Antibodies are guaranteed for 1 year from date of receipt.

Customers Who Viewed This Item Also Viewed...

7954-GM/CF
Species: Hu
Applications: BA
203-IL
Species: Hu
Applications: BA
MAB3291
Species: Hu
Applications: IHC, Neut, WB
7954-GM/CF
Species: Hu
Applications: BA
M6000B
Species: Mu
Applications: ELISA
NBP2-42388
Species: Hu
Applications: ICC/IF, IHC,  IHC-P, KD, WB
462-TEC
Species: Mu
Applications: BA
201-LB
Species: Hu
Applications: BA
202-IL
Species: Hu
Applications: BA
485-MI
Species: Mu
Applications: BA
255-SC
Species: Hu
Applications: BA
MAB414
Species: Mu
Applications: ELISA(Cap), ELISA(Det), ELISA(Sta), Neut, WB
6507-IL/CF
Species: Hu
Applications: BA
DCP00
Species: Hu
Applications: ELISA
DY805
Species: Hu
Applications: ELISA
NB100-56508
Species: Av, Hu, Mu, Rt
Applications: CyTOF-ready, Flow-IC, Flow, IHC,  IHC-P, WB
MEP00B
Species: Mu
Applications: ELISA

Publications for M-CSF Antibody (NBP2-67490) (0)

There are no publications for M-CSF Antibody (NBP2-67490).
By submitting your publication information earn gift cards and discounts for future purchases.

Reviews for M-CSF Antibody (NBP2-67490) (0)

There are no reviews for M-CSF Antibody (NBP2-67490). By submitting a review you will receive an Amazon e-Gift Card or Novus Product Discount.
  • Review with no image -- $10/€7/£6/$10 CAD/¥70 Yuan/¥1110 Yen
  • Review with an image -- $25/€18/£15/$25 CAD/¥150 Yuan/¥2500 Yen

Product General Protocols

Find general support by application which include: protocols, troubleshooting, illustrated assays, videos and webinars.

Video Protocols

WB Video Protocol
ICC/IF Video Protocol

FAQs for M-CSF Antibody (NBP2-67490) (0)

There are no specific FAQs related to this product. Read our general customer & technical service FAQs.

Secondary Antibodies

 

Isotype Controls

Additional M-CSF Products

Research Areas for M-CSF Antibody (NBP2-67490)

Find related products by research area.

Blogs on M-CSF.

Toll-like receptors in the intestinal epithelial cells
By Jamshed Arslan, Pharm. D., PhD. Toll-like receptors (TLRs) are microbe-sensing proteins that act as first responders to danger signals. TLRs help the intestinal epithelial cells (IECs) recognize commensal bacteria ...  Read full blog post.

Contact Information

Product PDFs

Calculators

Concentration Calculator

The concentration calculator allows you to quickly calculate the volume, mass or concentration of your vial. Simply enter your mass, volume, or concentration values for your reagent and the calculator will determine the rest.

=
÷

Review this Product

Be the first to review our M-CSF Antibody (SU0413) and receive a gift card or discount.

Bioinformatics

Gene Symbol CSF1