Lysozyme Antibody (LYZ/3944) - Azide and BSA Free

Images

 
Protein Array: Lysozyme Antibody (LYZ/3944) - Azide and BSA Free [NBP3-14115] - Analysis of Protein Array containing more than 19,000 full-length human proteins using Lysozyme Antibody (LYZ/3944).
Western Blot Analysis of Human Spleen lysate using Lysozyme Antibody (LYZ/3944) - Azide and BSA Free.
Western blot analysis of human spleen tissue and HepG2 cell lysates using Lysozyme Antibody (LYZ/3944) - Azide and BSA Free.
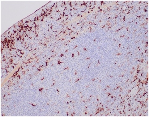
Formalin-fixed, paraffin-embedded human spleen stained with Lysozyme Antibody (LYZ/3944) - Azide and BSA Free. Inset: PBS instead of primary antibody; secondary only negative control.

Product Details

Summary
Reactivity HuSpecies Glossary
Applications WB, IHC, MA
Clone
LYZ/3944
Clonality
Monoclonal
Host
Mouse
Conjugate
Unconjugated
Format
Azide and BSA Free
Concentration
1 mg/ml

Order Details

Lysozyme Antibody (LYZ/3944) - Azide and BSA Free Summary

Description
1.0 mg/ml of antibody purified from Bioreactor Concentrate by Protein A/G. Prepared in 10mM PBS WITHOUT BSA & azide. Also available at 200 ug/ml WITH BSA & azide (NBP3-13962).

Antibody with azide - store at 2 to 8C. Antibody without azide - store at -20 to -80 C.
Immunogen
Recombinant fragment of human Lysozyme protein (around aa 18-147) (exact sequence is proprietary) (Uniprot: P61626)
Localization
Secreted
Marker
Histiocytoma & Monocytic Acute Leukemia Marker
Specificity
Lysozyme is an enzyme, commonly referred to as the body s own antibiotic since it kills bacteria. Natural substrate of lysozyme is the bacterial cell wall peptidoglycan (cleaving the beta[1-4]glycosidic linkages between N-acetylmuramic acid and N-acetylglucosamine). Lysozyme is one of the antimicrobial agents found in human milk, and is also present in spleen, lung, kidney, white blood cells, plasma, saliva, and tears. The protein has antibacterial activity against a number of bacterial species. Lysozyme is synthesized predominantly in reactive histiocytes rather than in resting, unstimulated phagocytes. This antibody labels myeloid cells, histiocytes, granulocytes, macrophages and monocytes. It is helpful in the identification of myeloid or monocytic nature of acute leukemia.
Isotype
IgG2b Kappa
Clonality
Monoclonal
Host
Mouse
Gene
LYZ
Purity
Protein A or G purified
Innovator's Reward
Test in a species/application not listed above to receive a full credit towards a future purchase.

Applications/Dilutions

Dilutions
  • Immunohistochemistry-Paraffin 1-2 ug/ml
  • Protein Array
  • Western Blot 1-2 ug/ml
Application Notes
Immunohistochemistry (Formalin-fixed): 1-2ug/ml for 30 minutes at RT. Staining of formalin-fixed tissues requires heating tissue sections in 10mM Tris with 1mM EDTA, pH 9.0, for 45 min at 95C followed by cooling at RT for 20 minutes
Theoretical MW
17 kDa.
Disclaimer note: The observed molecular weight of the protein may vary from the listed predicted molecular weight due to post translational modifications, post translation cleavages, relative charges, and other experimental factors.

Packaging, Storage & Formulations

Storage
Store at -20 to -80C. Avoid freeze-thaw cycles.
Buffer
10mM PBS
Preservative
No Preservative
Concentration
1 mg/ml
Purity
Protein A or G purified

Alternate Names for Lysozyme Antibody (LYZ/3944) - Azide and BSA Free

  • EC 3.2.1.17
  • lysozyme (renal amyloidosis)1,4-beta-N-acetylmuramidase C
  • lysozyme C
  • Lysozyme
  • LZM
  • renal amyloidosis

Background

Lysozyme catalyzes the hydrolysis of certain mucopolysaccharides of bacterial cell walls. Specifically, it catalyzes the hydrolysis of the bacterial cell wall beta glycosidic linkages between N acetylmuramic acid and N acetylglucosamine. It is found in spleen, lung, kidney, white blood cells, plasma, saliva, milk, and tears.

Limitations

This product is for research use only and is not approved for use in humans or in clinical diagnosis. Primary Antibodies are guaranteed for 1 year from date of receipt.

Customers Who Viewed This Item Also Viewed...

MAB1455
Species: Hu
Applications: CyTOF-ready, Dual ISH-IHC, ICC, IHC, ICFlow, Simple Western, WB
NB120-10109
Species: Hu
Applications: CyTOF-ready, IHC,  IHC-P, S-ELISA, WB
AF3667
Species: Hu, Mu
Applications: Dual ISH-IHC, ICC, IHC, Simple Western, WB
NB600-922
Species: Ch, Mu
Applications: ELISA, IHC, Single-Cell Western, WB
NB100-56503
Species: Dr, Hu, Mu, Rb, Rt
Applications: Flow-CS, Flow-IC, Flow, IB, ICC/IF, IHC,  IHC-P, Simple Western, WB
NBP1-87511
Species: Hu
Applications: ICC/IF, IHC,  IHC-P, WB
NBP2-56836
Species: Hu
Applications: IHC,  IHC-P, WB
NBP1-87804
Species: Hu
Applications: ICC/IF, IHC,  IHC-P, WB
MAB1417
Species: Bv, Hu, Mu
Applications: ICC, IHC
NB200-540
Species: Ec, Mu
Applications: CyTOF-ready, Flow-IC, Flow, IA, ICC/IF, IHC, IHC-Fr,  IHC-P, IP
NB300-223
Species: Bv, Ca, Ch, Eq, Hu, Mu, Po, Rt
Applications: ICC/IF, IHC, IHC-Fr,  IHC-P, WB
NB100-683
Species: Hu, Mu, Rt
Applications: Dual ISH-IHC, EM, Flow, ICC/IF, IHC, IHC-Fr,  IHC-P, IP, WB
AF3398
Species: Hu, Mu, Rt
Applications: ICC, KO, Simple Western, WB
NB100-524
Species: Hu, Mu
Applications: Flow-IC, Flow, ICC/IF, IHC, IHC-Fr,  IHC-P, IP, WB
MAB1268
Species: Hu
Applications: ICC, IHC, IP, Simple Western, WB
7268-CT
Species: Hu
Applications: BA
NBP2-79843
Species: Hu
Applications: CyTOF-ready, ELISA, Flow, ICC/IF, IHC,  IHC-P, PA, WB
AF1513
Species: Mu
Applications: CyTOF-ready, Flow, IHC, IP, Simple Western, WB

Publications for Lysozyme Antibody (NBP3-14115) (0)

There are no publications for Lysozyme Antibody (NBP3-14115).
By submitting your publication information earn gift cards and discounts for future purchases.

Reviews for Lysozyme Antibody (NBP3-14115) (0)

There are no reviews for Lysozyme Antibody (NBP3-14115). By submitting a review you will receive an Amazon e-Gift Card or Novus Product Discount.
  • Review with no image -- $10/€7/£6/$10 CAD/¥70 Yuan/¥1110 Yen
  • Review with an image -- $25/€18/£15/$25 CAD/¥150 Yuan/¥2500 Yen

Product General Protocols

Find general support by application which include: protocols, troubleshooting, illustrated assays, videos and webinars.

Video Protocols

WB Video Protocol

FAQs for Lysozyme Antibody (NBP3-14115) (0)

There are no specific FAQs related to this product. Read our general customer & technical service FAQs.

Secondary Antibodies

 

Isotype Controls

Additional Lysozyme Products

Research Areas for Lysozyme Antibody (NBP3-14115)

Find related products by research area.

Blogs on Lysozyme.

Toll-like receptors in the intestinal epithelial cells
By Jamshed Arslan, Pharm. D., PhD. Toll-like receptors (TLRs) are microbe-sensing proteins that act as first responders to danger signals. TLRs help the intestinal epithelial cells (IECs) recognize commensal bacteria ...  Read full blog post.

Customers Who Bought This Also Bought

Contact Information

Product PDFs

Calculators

Concentration Calculator

The concentration calculator allows you to quickly calculate the volume, mass or concentration of your vial. Simply enter your mass, volume, or concentration values for your reagent and the calculator will determine the rest.

=
÷

Review this Product

Be the first to review our Lysozyme Antibody (LYZ/3944) - Azide and BSA Free and receive a gift card or discount.

Bioinformatics

Gene Symbol LYZ