LOX-1/OLR1 Antibody

Images

 
Western Blot: LOX-1/OLR1 Antibody [NBP2-89136] - Analysis of LOX1 on siHa cell lysate using anti-LOX1 antibody at 1/100 dilution.
Immunocytochemistry/ Immunofluorescence: LOX-1/OLR1 Antibody [NBP2-89136] - Staining LOX1 in LOVO cells (green). The nuclear counter stain is DAPI (blue). Cells were fixed in paraformaldehyde, permeabilised with 0.25% ...read more
Immunohistochemistry-Paraffin: LOX-1/OLR1 Antibody [NBP2-89136] - Analysis of mouse brain tissue using anti-LOX-1/OLR1 antibody. Counter stained with hematoxylin.
Flow Cytometry: LOX-1/OLR1 Antibody [NBP2-89136] - Analysis of LOVO cells with LOX1 antibody at 1/100 dilution (red) compared with an unlabelled control (cells without incubation with primary antibody; black). Alexa ...read more
Immunocytochemistry/ Immunofluorescence: LOX-1/OLR1 Antibody [NBP2-89136] - Staining LOX1 in Hela cells (green). The nuclear counter stain is DAPI (blue). Cells were fixed in paraformaldehyde, permeabilised with 0.25% ...read more
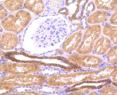
Immunohistochemistry-Paraffin: LOX-1/OLR1 Antibody [NBP2-89136] - Analysis of human kidney tissue using anti-LOX1 antibody. Counter stained with hematoxylin.
Immunohistochemistry-Paraffin: LOX-1/OLR1 Antibody [NBP2-89136] - Analysis of human placenta tissue using anti-LOX1 antibody. Counter stained with hematoxylin.

Product Details

Summary
Product Discontinued
View other related LOX-1/OLR1 Primary Antibodies

Order Details


    • Catalog Number
      NBP2-89136
    • Availability
      Product Discontinued

    Can't find what you are looking for? Use our Antibody Concierge Service & we will help you locate your antibody!

    Or feel free to contact us for alternative products.

LOX-1/OLR1 Antibody Summary

Immunogen
Recombinant protein within Human LOX-1/OLR1 aa 17-273 / 273. (SwissProt: P78380 Human; SwissProt: Q9EQ09 Mouse)
Localization
Cell membrane. Secreted.
Isotype
IgG
Clonality
Polyclonal
Host
Rabbit
Gene
OLR1
Purity
Immunogen affinity purified
Innovator's Reward
Test in a species/application not listed above to receive a full credit towards a future purchase.

Applications/Dilutions

Dilutions
  • Flow Cytometry 1:50-1:100
  • Immunocytochemistry/ Immunofluorescence 1:50-1:200
  • Immunohistochemistry
  • Immunohistochemistry-Paraffin 1:50-1:200
  • Western Blot 1:500-1:1000
Theoretical MW
31 kDa.
Disclaimer note: The observed molecular weight of the protein may vary from the listed predicted molecular weight due to post translational modifications, post translation cleavages, relative charges, and other experimental factors.

Packaging, Storage & Formulations

Storage
Store at 4C short term. Aliquot and store at -20C long term. Avoid freeze-thaw cycles.
Buffer
PBS (pH7.4), 0.2% BSA, 50% Glycerol
Preservative
0.05% Sodium Azide
Concentration
1 mg/ml
Purity
Immunogen affinity purified

Alternate Names for LOX-1/OLR1 Antibody

  • CLEC8A
  • CLEC8ASLOX1
  • C-type lectin domain family 8 member A
  • hLOX-1
  • Lectin-like oxidized LDL receptor 1
  • Lectin-like oxLDL receptor 1
  • Lectin-type oxidized LDL receptor 1
  • LOX1
  • LOX-1
  • LOX1ox LDL receptor 1
  • LOXIN
  • OLR1
  • oxidised low density lipoprotein (lectin-like) receptor 1
  • oxidized low density lipoprotein (lectin-like) receptor 1
  • oxidized low-density lipoprotein receptor 1
  • oxidized low-density lipoprotein receptor 1, soluble form
  • Ox-LDL receptor 1
  • SCARE1
  • scavenger receptor class E, member 1
  • SR-E1

Background

LOX 1 belongs to the C type lectin like protein super family. This unique scavenger receptor plays important roles in atherogenesis. Like other scavenger receptors, LOX 1 has a wide spectrum of physiological ligands, including OxLDL, anionic phospholipids, aged/apoptotic cells, activated platelets, and bacteria. The LOX 1 gene is a so called immediate early gene that is dynamically modulated by several factors in vitro and in vivo. LOX 1 expression is induced by stimuli such as inflammatory cytokines, OxLDL, TNF alpha, TGF beta, and ANG II in vitro, and several proatherogenic factors in vivo.

Limitations

This product is for research use only and is not approved for use in humans or in clinical diagnosis. Primary Antibodies are guaranteed for 1 year from date of receipt.

Customers Who Viewed This Item Also Viewed...

AF2255
Species: Mu
Applications: Block, CyTOF-ready, Flow, IHC, WB
NB400-144
Species: Av, Bv, Hu, Mu, Po, Pm, Rb, Rt
Applications: ICC/IF, IHC, IHC-Fr,  IHC-P, WB
NBP1-30027
Species: Hu, Mu, Rt
Applications: ICC/IF, IHC,  IHC-P, WB
NB100-56583
Species: Hu, Rb, Rt
Applications: Flow, IHC,  IHC-P, KO, Simple Western, WB
NB300-500
Species: Am, Bv, Ca, Dr, Hu, Mu, Po, Rt, Sh
Applications: IHC, IHC-Fr,  IHC-P, WB
NB100-2527
Species: Hu, Mu, Po, Rt
Applications: ICC/IF, IHC,  IHC-P, KD, Simple Western, WB
NB110-60531
Species: Hu, Mu, Rt(-)
Applications: CyTOF-ready, ELISA, Flow-IC, Flow, ICC/IF, IHC,  IHC-P, IP, WB
DCP00
Species: Hu
Applications: ELISA
DY1707
Species: Hu
Applications: ELISA
NB400-104
Species: ChHa, SyHa, Ha, Hu, Mu, Md, Po, Pm, Rb, Rt
Applications: B/N, Flow-IC, Flow, ICC/IF, IHC, IHC-Fr,  IHC-P, IP, KD, KO, PLA, Simple Western, WB
NB100-524
Species: Hu, Mu
Applications: Flow-IC, Flow, ICC/IF, IHC, IHC-Fr,  IHC-P, IP, WB
NBP2-79843
Species: Hu
Applications: CyTOF-ready, ELISA, Flow, ICC/IF, IHC,  IHC-P, PA, WB
7268-CT
Species: Hu
Applications: BA
NB100-56566
Species: Bv, Hu, Ma, Mu, Po, Rt
Applications: B/N, ChIP, CyTOF-ready, DB, Dual ISH-IHC, ELISA(Cap), ELISA, Flow-CS, Flow-IC, Flow, ICC/IF, IHC, IHC-Fr,  IHC-P, In vitro, KD, KO, PAGE, Simple Western, WB
AF1230
Species: Hu, Mu, Rt
Applications: IHC, KO, WB
AF796
Species: Mu
Applications: AdBlk, IHC, WB
NBP2-89136
Species: Hu, Mu
Applications: WB, Flow, ICC/IF, IHC

Publications for LOX-1/OLR1 Antibody (NBP2-89136) (0)

There are no publications for LOX-1/OLR1 Antibody (NBP2-89136).
By submitting your publication information earn gift cards and discounts for future purchases.

Reviews for LOX-1/OLR1 Antibody (NBP2-89136) (0)

There are no reviews for LOX-1/OLR1 Antibody (NBP2-89136). By submitting a review you will receive an Amazon e-Gift Card or Novus Product Discount.
  • Review with no image -- $10/€7/£6/$10 CAD/¥70 Yuan/¥1110 Yen
  • Review with an image -- $25/€18/£15/$25 CAD/¥150 Yuan/¥2500 Yen

Product General Protocols

Find general support by application which include: protocols, troubleshooting, illustrated assays, videos and webinars.

Video Protocols

WB Video Protocol
ICC/IF Video Protocol

FAQs for LOX-1/OLR1 Antibody (NBP2-89136) (0)

There are no specific FAQs related to this product. Read our general customer & technical service FAQs.

Secondary Antibodies

 

Isotype Controls

Additional LOX-1/OLR1 Products

Research Areas for LOX-1/OLR1 Antibody (NBP2-89136)

Find related products by research area.

Blogs on LOX-1/OLR1

There are no specific blogs for LOX-1/OLR1, but you can read our latest blog posts.

Contact Information

Product PDFs

Calculators

Concentration Calculator

The concentration calculator allows you to quickly calculate the volume, mass or concentration of your vial. Simply enter your mass, volume, or concentration values for your reagent and the calculator will determine the rest.

=
÷

Review this Product

Be the first to review our LOX-1/OLR1 Antibody and receive a gift card or discount.

Bioinformatics

Gene Symbol OLR1