LMCD1 Antibody (OTI1H5) - Azide and BSA Free

Images

 
Western Blot: LMCD1 Antibody (OTI1H5) - Azide and BSA Free [NBP2-71865] - HEK293T cells were transfected with the pCMV6-ENTRY control (Left lane) or pCMV6-ENTRY LMCD1 (Right lane) cDNA for 48 hrs and lysed. Equivalent ...read more
Immunocytochemistry/ Immunofluorescence: LMCD1 Antibody (OTI1H5) - Azide and BSA Free [NBP2-71865] - Staining of COS7 cells transiently transfected by pCMV6-ENTRY LMCD1.
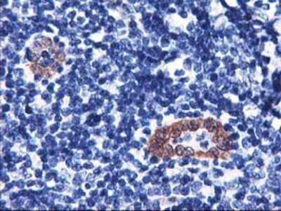
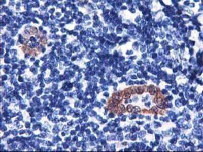
Immunohistochemistry: LMCD1 Antibody (OTI1H5) - Azide and BSA Free [NBP2-71865] - Staining of paraffin-embedded Human lymphoma tissue using anti-LMCD1 mouse monoclonal antibody.
CyTOF-ready: LMCD1 Antibody (OTI1H5) - Azide and BSA Free [NBP2-71865] - HEK293T cells transfected with either overexpression plasmid (Red) or empty vector control plasmid (Blue) were immunostaining by anti-LMCD1 ...read more

Product Details

Summary
Reactivity Hu, Mu, RtSpecies Glossary
Applications WB, Flow, ICC/IF, IHC, CyTOF-ready
Clone
OTI1H5
Clonality
Monoclonal
Host
Mouse
Conjugate
Unconjugated
Format
Azide and BSA Free
Concentration
LYOPH

Order Details

LMCD1 Antibody (OTI1H5) - Azide and BSA Free Summary

Description
Novus Biologicals Mouse LMCD1 Antibody (OTI1H5) - Azide and BSA Free (NBP2-00934) is a monoclonal antibody validated for use in IHC, WB, Flow and ICC/IF. All Novus Biologicals antibodies are covered by our 100% guarantee.
Immunogen
Full length human recombinant protein of human LMCD1(NP_055398) produced in HEK293T cell.
Isotype
IgG1
Clonality
Monoclonal
Host
Mouse
Gene
LMCD1
Purity
Immunogen affinity purified
Innovator's Reward
Test in a species/application not listed above to receive a full credit towards a future purchase.

Applications/Dilutions

Dilutions
  • CyTOF-ready
  • Flow Cytometry 1:100
  • Immunocytochemistry/ Immunofluorescence 1:100
  • Immunohistochemistry 1:150
  • Immunohistochemistry-Paraffin
  • Western Blot 1:2000
Theoretical MW
40.7 kDa.
Disclaimer note: The observed molecular weight of the protein may vary from the listed predicted molecular weight due to post translational modifications, post translation cleavages, relative charges, and other experimental factors.

Reactivity Notes

Please note that this antibody is reactive to Mouse and derived from the same host, Mouse. Mouse-On-Mouse blocking reagent may be needed for IHC and ICC experiments to reduce high background signal. You can find these reagents under catalog numbers PK-2200-NB and MP-2400-NB. Please contact Technical Support if you have any questions.

Packaging, Storage & Formulations

Storage
Store at -20C. Avoid freeze-thaw cycles.
Buffer
Lyophilized from PBS (pH 7.3) with 8% Trehalose
Preservative
No Preservative
Concentration
LYOPH
Purity
Immunogen affinity purified
Reconstitution Instructions
we recommend adding 100uL distilled water to a final antibody concentration of about 1 mg/mL. To use this carrier-free antibody for conjugation experiment, we strongly recommend performing another round of desalting process.

Alternate Names for LMCD1 Antibody (OTI1H5) - Azide and BSA Free

  • dyxin
  • LIM and cysteine-rich domains 1
  • LIM and cysteine-rich domains protein 1

Background

The protein encoded by the LMCD1 gene contains a cysteine-rich domain in the N-terminal region and 2 LIM domains in the C-terminal region. It also has several potential phosphorylation and N-myristoylation sites and a single potential N-glycosylation site. The presence of LIM domains implies involvement in protein-protein interactions. Expression of this gene has been detected in most tissues, with highest expression in skeletal muscle. Transcript variants utilizing alternative polyA signals have been observed. [provided by RefSeq]

Limitations

This product is for research use only and is not approved for use in humans or in clinical diagnosis. Primary Antibodies are guaranteed for 1 year from date of receipt.

Customers Who Viewed This Item Also Viewed...

NBP1-84843
Species: Hu
Applications: ICC/IF, IHC,  IHC-P, WB
NBP1-87991
Species: Hu
Applications: IHC,  IHC-P, WB
NBP1-85816
Species: Fe, Hu, Mu, Rt
Applications: ICC/IF, IHC, IHC-Fr,  IHC-P, KO, WB
NB100-77341
Species: Hu, Mu, Rt
Applications: IHC,  IHC-P, PEP-ELISA, WB
NBP2-15397
Species: Hu, Mu
Applications: ICC/IF, WB
NBP1-87987
Species: Hu
Applications: ICC/IF, IHC,  IHC-P, Simple Western, WB
AF1700
Species: Hu
Applications: ChIP, ICC, IHC, Simple Western, WB
NBP1-89090
Species: Hu
Applications: IHC,  IHC-P
AF3366
Species: Hu
Applications: ICC, IHC, Simple Western, WB
NBP2-20154
Species: Hu, Mu, Rt
Applications: IHC,  IHC-P, WB
NBP2-20486
Species: Hu, Mu
Applications: ICC/IF, IHC,  IHC-P, IP, WB
NBP1-84841
Species: Hu
Applications: ICC/IF, IHC,  IHC-P, WB
NBP1-80833
Species: Hu, Rt
Applications: ICC/IF, IHC,  IHC-P, WB
AF1837
Species: Hu
Applications: ICC, IHC, Simple Western, WB
NBP3-38363
Species: Hu, Mu, Rt
Applications: ELISA, IHC,  IHC-P, WB
NBP1-62583
Species: Hu
Applications: WB
NBP1-30027
Species: Hu, Mu, Rt
Applications: ICC/IF, IHC,  IHC-P, WB
NBP2-71865
Species: Hu, Mu, Rt
Applications: WB, Flow, ICC/IF, IHC, CyTOF-ready

Publications for LMCD1 Antibody (NBP2-71865) (0)

There are no publications for LMCD1 Antibody (NBP2-71865).
By submitting your publication information earn gift cards and discounts for future purchases.

Reviews for LMCD1 Antibody (NBP2-71865) (0)

There are no reviews for LMCD1 Antibody (NBP2-71865). By submitting a review you will receive an Amazon e-Gift Card or Novus Product Discount.
  • Review with no image -- $10/€7/£6/$10 CAD/¥70 Yuan/¥1110 Yen
  • Review with an image -- $25/€18/£15/$25 CAD/¥150 Yuan/¥2500 Yen

Product General Protocols

Find general support by application which include: protocols, troubleshooting, illustrated assays, videos and webinars.

Video Protocols

WB Video Protocol
ICC/IF Video Protocol

FAQs for LMCD1 Antibody (NBP2-71865) (0)

There are no specific FAQs related to this product. Read our general customer & technical service FAQs.

Customers Who Bought This Also Bought

Contact Information

Product PDFs

Calculators

Concentration Calculator

The concentration calculator allows you to quickly calculate the volume, mass or concentration of your vial. Simply enter your mass, volume, or concentration values for your reagent and the calculator will determine the rest.

=
÷

Review this Product

Be the first to review our LMCD1 Antibody (OTI1H5) - Azide and BSA Free and receive a gift card or discount.

Bioinformatics

Gene Symbol LMCD1