LANCL2 Antibody (OTI2A11) - Azide and BSA Free

Images

 
Western Blot: LANCL2 Antibody (OTI2A11) - Azide and BSA Free [NBP2-72053] - HEK293T cells were transfected with the pCMV6-ENTRY control (Left lane) or pCMV6-ENTRY LANCL2 (Right lane) cDNA for 48 hrs and lysed. ...read more
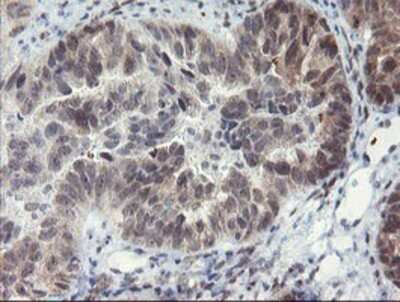
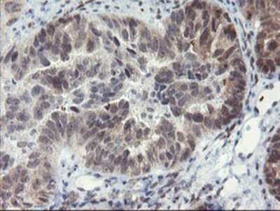
Immunohistochemistry: LANCL2 Antibody (OTI2A11) - Azide and BSA Free [NBP2-72053] - Staining of paraffin-embedded Adenocarcinoma of Human ovary tissue using anti-LANCL2 mouse monoclonal antibody.
Flow Cytometry: LANCL2 Antibody (OTI2A11) - Azide and BSA Free [NBP2-72053] - HEK293T cells transfected with either overexpression plasmid (Red) or empty vector control plasmid (Blue) were immunostaining by anti-LANCL2 ...read more
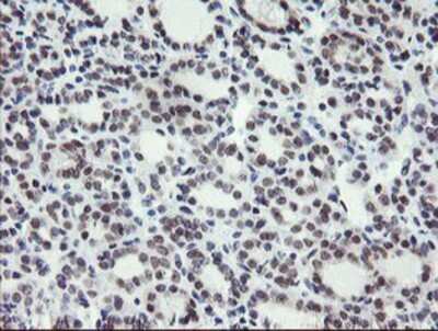
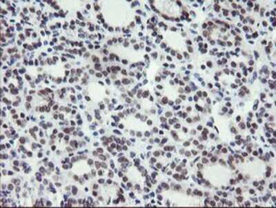
Immunohistochemistry: LANCL2 Antibody (OTI2A11) - Azide and BSA Free [NBP2-72053] - Staining of paraffin-embedded Carcinoma of Human thyroid tissue using anti-LANCL2 mouse monoclonal antibody.

Product Details

Summary
Reactivity Hu, Mu, RtSpecies Glossary
Applications WB, Flow, IHC, CyTOF-ready
Clone
OTI2A11
Clonality
Monoclonal
Host
Mouse
Conjugate
Unconjugated
Format
Azide and BSA Free
Concentration
LYOPH

Order Details

LANCL2 Antibody (OTI2A11) - Azide and BSA Free Summary

Description
Novus Biologicals Mouse LANCL2 Antibody (OTI2A11) - Azide and BSA Free (NBP2-03893) is a monoclonal antibody validated for use in IHC, WB and Flow. All Novus Biologicals antibodies are covered by our 100% guarantee.
Immunogen
Human recombinant protein fragment corresponding to amino acids 212-450 of human LANCL2 (NP_061167) produced in E.coli.
Isotype
IgG1
Clonality
Monoclonal
Host
Mouse
Gene
LANCL2
Purity
Immunogen affinity purified
Innovator's Reward
Test in a species/application not listed above to receive a full credit towards a future purchase.

Applications/Dilutions

Dilutions
  • CyTOF-ready
  • Flow Cytometry 1:100
  • Immunohistochemistry 1:150
  • Immunohistochemistry-Paraffin
  • Western Blot 1:1000
Theoretical MW
50.7 kDa.
Disclaimer note: The observed molecular weight of the protein may vary from the listed predicted molecular weight due to post translational modifications, post translation cleavages, relative charges, and other experimental factors.

Reactivity Notes

Please note that this antibody is reactive to Mouse and derived from the same host, Mouse. Mouse-On-Mouse blocking reagent may be needed for IHC and ICC experiments to reduce high background signal. You can find these reagents under catalog numbers PK-2200-NB and MP-2400-NB. Please contact Technical Support if you have any questions.

Packaging, Storage & Formulations

Storage
Store at -20C. Avoid freeze-thaw cycles.
Buffer
Lyophilized from PBS (pH 7.3) with 8% Trehalose
Preservative
No Preservative
Concentration
LYOPH
Purity
Immunogen affinity purified
Reconstitution Instructions
we recommend adding 100uL distilled water to a final antibody concentration of about 1 mg/mL. To use this carrier-free antibody for conjugation experiment, we strongly recommend performing another round of desalting process.

Alternate Names for LANCL2 Antibody (OTI2A11) - Azide and BSA Free

  • G protein-coupled receptor 69B
  • GPR69B
  • LanC (bacterial lantibiotic synthetase component C)-like 2
  • LanC lantibiotic synthetase component C-like 2 (bacterial)
  • LANCL2
  • lanC-like protein 2
  • TASP
  • TASPMGC87139
  • Testis-specific adriamycin sensitivity protein

Background

Necessary for abscisic acid (ABA) binding on the cell membrane and activation of the ABA signaling pathway in granulocytes

Limitations

This product is for research use only and is not approved for use in humans or in clinical diagnosis. Primary Antibodies are guaranteed for 1 year from date of receipt.

Customers Who Viewed This Item Also Viewed...

NBP1-81796
Species: Hu, Mu, Rt
Applications: ICC/IF, IHC,  IHC-P, WB
MAB1417
Species: Bv, Hu, Mu
Applications: ICC, IHC
NBP2-22106
Species: Hu, Mu, Rt
Applications: IHC,  IHC-P, IP, WB
NBP1-46535
Species: Hu, Mu, Rb, Rt, Xp
Applications: ICC/IF, IHC-FrFl, IHC, IHC-Fr,  IHC-P, WB
AF231
Species: Hu
Applications: CyTOF-ready, Dual ISH-IHC, ELISA(Cap), ELISA(Det), ELISA(Sta), Flow, ICC, IHC, IP, Simple Western, WB
DCP00
Species: Hu
Applications: ELISA
NBP1-80865
Species: Hu
Applications: IHC,  IHC-P
NBP2-67667
Species: Hu, Mu, Rt
Applications: ICC/IF, IHC, IHC-Fr,  IHC-P, WB
AF8519
Species: Hu, Mu, Rt
Applications: Simple Western, WB
NB300-537
Species: Bv, Hu, Mu, Rb, Rt
Applications: ChIP, Flow, GS, ICC/IF, IHC,  IHC-P, IP, KD, Simple Western, WB
NB100-56566
Species: Bv, Hu, Ma, Mu, Po, Rt
Applications: B/N, ChIP, CyTOF-ready, DB, Dual ISH-IHC, ELISA(Cap), ELISA, Flow-CS, Flow-IC, Flow, ICC/IF, IHC, IHC-Fr,  IHC-P, In vitro, KD, KO, PAGE, Simple Western, WB
NB100-1793
Species: Hu, Pm, Mu, Rt
Applications: Flow, IB, ICC/IF, IHC, IHC-Fr,  IHC-P, PEP-ELISA
NBP1-33518
Species: Hu, Mu, Rt
Applications: ICC/IF, IHC,  IHC-P, IP, KD, KO, WB
NB600-586
Species: Ca, Fe, Hu, Mu
Applications: Dual ISH-IHC, ICC/IF, IHC, IHC-Fr,  IHC-P
NBP2-97093
Species: Hu
Applications: ELISA, IHC,  IHC-P, WB
NBP2-25265
Species: Hu, Mu
Applications: ICC/IF, IHC, IHC-Fr,  IHC-P, Simple Western, WB
NB600-302
Species: Bv, Dr, Hu, Mu
Applications: ChIP, ELISA, Flow-IC, Flow, IB, ICC/IF, IHC, IHC-Fr,  IHC-P, IP, PLA, S-ELISA, Simple Western, WB

Publications for LANCL2 Antibody (NBP2-72053) (0)

There are no publications for LANCL2 Antibody (NBP2-72053).
By submitting your publication information earn gift cards and discounts for future purchases.

Reviews for LANCL2 Antibody (NBP2-72053) (0)

There are no reviews for LANCL2 Antibody (NBP2-72053). By submitting a review you will receive an Amazon e-Gift Card or Novus Product Discount.
  • Review with no image -- $10/€7/£6/$10 CAD/¥70 Yuan/¥1110 Yen
  • Review with an image -- $25/€18/£15/$25 CAD/¥150 Yuan/¥2500 Yen

Product General Protocols

Find general support by application which include: protocols, troubleshooting, illustrated assays, videos and webinars.

Video Protocols

WB Video Protocol

FAQs for LANCL2 Antibody (NBP2-72053) (0)

There are no specific FAQs related to this product. Read our general customer & technical service FAQs.

Secondary Antibodies

 

Isotype Controls

Additional LANCL2 Products

Research Areas for LANCL2 Antibody (NBP2-72053)

Find related products by research area.

Blogs on LANCL2

There are no specific blogs for LANCL2, but you can read our latest blog posts.

Customers Who Bought This Also Bought

Contact Information

Product PDFs

Calculators

Concentration Calculator

The concentration calculator allows you to quickly calculate the volume, mass or concentration of your vial. Simply enter your mass, volume, or concentration values for your reagent and the calculator will determine the rest.

=
÷

Review this Product

Be the first to review our LANCL2 Antibody (OTI2A11) - Azide and BSA Free and receive a gift card or discount.

Bioinformatics

Gene Symbol LANCL2