Laminin alpha 3 Antibody (CL3112) - Azide and BSA Free

Images

 
Orthogonal Strategies: Analysis in human stomach and lymph node tissues using NBP3-44416 antibody. Corresponding Laminin alpha 3 RNA-seq data are presented for the same tissues.
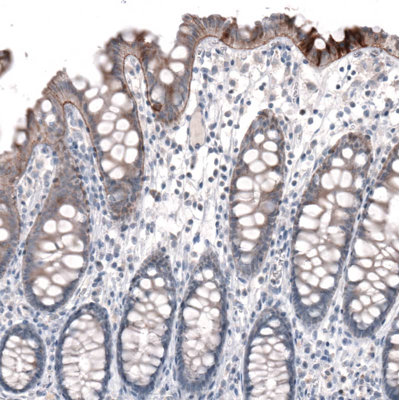
Staining of human colon shows moderate positivity in basement membrane of glandular cells.
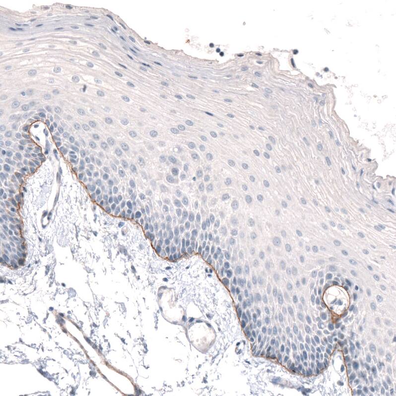
Staining of human oral mucosa shows moderate positivity in basement membrane of squamous epithelial cells.
Staining of human lymph node shows no positivity in lymphoid cells as expected.
Staining of human stomach shows moderate positivity in basement membrane of glandular cells.
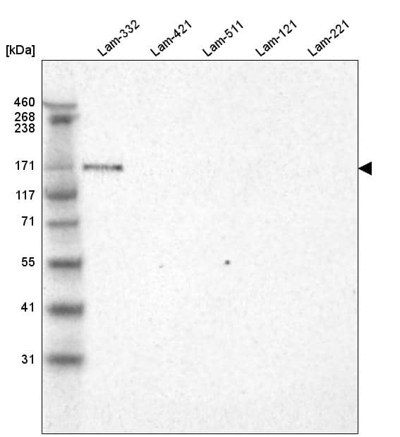
Analysis of purified human recombinant Laminin-332, Laminin-421, Laminin-511, Laminin-121 and Laminin-221.

Product Details

Summary
Reactivity HuSpecies Glossary
Applications WB, IHC
Clone
CL3112
Clonality
Monoclonal
Host
Mouse
Conjugate
Unconjugated
Format
Azide and BSA Free
Concentration
LYOPH
Validated by:
       

Orthogonal Strategies

 

Order Details

Laminin alpha 3 Antibody (CL3112) - Azide and BSA Free Summary

Description
Novus Biologicals Mouse Laminin alpha 3 Antibody (CL3112) - Azide and BSA Free (NBP2-42390) is a monoclonal antibody validated for use in IHC and WB. All Novus Biologicals antibodies are covered by our 100% guarantee.
Immunogen
This antibody was generated using a recombinant protein sequence of Q16787, with the exact immunogen sequence remaining proprietary.
Isotype
IgG1
Clonality
Monoclonal
Host
Mouse
Gene
LAMA3
Purity
Protein A purified
Innovator's Reward
Test in a species/application not listed above to receive a full credit towards a future purchase.

Applications/Dilutions

Dilutions
  • Immunohistochemistry-Paraffin 1:20 - 1:50
  • Western Blot 1 ug/ml
Application Notes
For IHC-Paraffin, HIER pH 6 retrieval is recommended.

Packaging, Storage & Formulations

Storage
Store at 4C short term. Aliquot and store at -20C long term. Avoid freeze-thaw cycles.
Buffer
Lyophilized from a 0.2 um filtered solution in PBS with Trehalose
Preservative
No Preservative
Concentration
LYOPH
Purity
Protein A purified
Reconstitution Instructions
Centrifuge the vial of lyophilized antibody at 12,000 x g for 20 seconds. Reconstitute by adding sterile, distilled water to achieve a final antibody concentration of 1mg/ml.

Alternate Names for Laminin alpha 3 Antibody (CL3112) - Azide and BSA Free

  • BM600 150kD subunit
  • BM600
  • BM600-150kDa
  • E170
  • Epiligrin 170 kDa subunit
  • epiligrin alpha 3 subunit
  • Epiligrin subunit alpha
  • epiligrin
  • kalinin 165kD subunit
  • Kalinin subunit alpha
  • kalinin-165kDa
  • lama3a
  • laminin subunit alpha-3
  • laminin, alpha 3 (nicein (150kD), kalinin (165kD), BM600 (150kD), epilegrin)
  • laminin, alpha 3
  • laminin-5 alpha 3 chain
  • Laminin-5 subunit alpha
  • Laminin-6 subunit alpha
  • Laminin-7 subunit alpha
  • LAMNA
  • LOCS
  • nicein 150kD subunit
  • Nicein subunit alpha
  • nicein-150kDa

Background

Laminins are basement membrane components thought to mediate the attachment, migration and organization of cells into tissues during embryonic development by interacting with other extracellular matrix components. The protein encoded by this gene is the alpha-3 subunit of laminin 5, which is a complex glycoprotein composed of three subunits (alpha, beta, and gamma). Laminin 5 is thought to be involved in cell adhesion, signal transduction and differentiation of keratinocytes. Mutations in this gene have been identified as the cause of Herlitz type junctional epidermolysis bullosa. Alternatively spliced transcript variants encoding different isoforms have been identified for this gene. (provided by RefSeq)

Limitations

This product is for research use only and is not approved for use in humans or in clinical diagnosis. Primary Antibodies are guaranteed for 1 year from date of receipt.

Customers Who Viewed This Item Also Viewed...

NBP2-42388
Species: Hu
Applications: ICC/IF, IHC,  IHC-P, KD, WB
NBP2-46622
Species: Hu, Rt
Applications: ICC/IF, IHC,  IHC-P, WB
664-LI
Species: Hu
Applications: BA
DKK300
Species: Hu
Applications: ELISA
NBP1-91800
Species: Hu
Applications: IHC,  IHC-P, WB
NBP2-67471
Species: Hu, Mu, Rt
Applications: ICC/IF, IHC,  IHC-P, WB
MAB3468
Species: Hu
Applications: ICC, WB
DBD00
Species: Hu
Applications: ELISA
AF4036
Species: Hu
Applications: Simple Western, WB
AF2656
Species: Hu
Applications: IHC, WB
MAB1368
Species: Hu, Mu
Applications: CyTOF-ready, ICC, ICFlow, KO, Simple Western, WB
H00005324-M02
Species: Hu, Mu
Applications: ELISA, IHC,  IHC-P, WB
NBP1-32920
Species: Hu, Mu
Applications: ICC/IF, IHC,  IHC-P, KD, WB
NBP3-48658
Species: Ca, Fe, Hu, Mu, Rt, Ze
Applications: ICC/IF, IHC,  IHC-P, WB
5609-MU
Species: Hu
Applications: Bind
H00065057-M02
Species: Hu
Applications: ChIP, ELISA, ICC/IF, IHC,  IHC-P, IP, WB
NBP2-34594
Species: Hu, Pm
Applications: CyTOF-ready, Flow, ICC/IF, IHC,  IHC-P
NBP3-44416
Species: Hu
Applications: WB, IHC

Publications for Laminin alpha 3 Antibody (NBP3-44416) (0)

There are no publications for Laminin alpha 3 Antibody (NBP3-44416).
By submitting your publication information earn gift cards and discounts for future purchases.

Reviews for Laminin alpha 3 Antibody (NBP3-44416) (0)

There are no reviews for Laminin alpha 3 Antibody (NBP3-44416). By submitting a review you will receive an Amazon e-Gift Card or Novus Product Discount.
  • Review with no image -- $10/€7/£6/$10 CAD/¥70 Yuan/¥1110 Yen
  • Review with an image -- $25/€18/£15/$25 CAD/¥150 Yuan/¥2500 Yen

Product General Protocols

Find general support by application which include: protocols, troubleshooting, illustrated assays, videos and webinars.

Video Protocols

WB Video Protocol

FAQs for Laminin alpha 3 Antibody (NBP3-44416) (0)

There are no specific FAQs related to this product. Read our general customer & technical service FAQs.

Secondary Antibodies

 

Isotype Controls

Additional Laminin alpha 3 Products

Research Areas for Laminin alpha 3 Antibody (NBP3-44416)

Find related products by research area.

Blogs on Laminin alpha 3

There are no specific blogs for Laminin alpha 3, but you can read our latest blog posts.

Customers Who Bought This Also Bought

Contact Information

Product PDFs

Calculators

Concentration Calculator

The concentration calculator allows you to quickly calculate the volume, mass or concentration of your vial. Simply enter your mass, volume, or concentration values for your reagent and the calculator will determine the rest.

=
÷

Review this Product

Be the first to review our Laminin alpha 3 Antibody (CL3112) - Azide and BSA Free and receive a gift card or discount.

Bioinformatics

Gene Symbol LAMA3