KLF2 Antibody (CL14502) - Azide and BSA Free

Images

 
Staining in U-251MG cell line with Anti-KLF2 monoclonal antibody) .
Orthogonal Strategies: Analysis in human lymph node and cerebral cortex tissues using NBP3-44350 antibody. Corresponding KLF2 RNA-seq data are presented for the same tissues.
Staining of human heart muscle shows moderate to strong nuclear positivity in cardiomyocytes.
Staining of human cerebral cortex shows no positivity in neurons as expected.
Staining of human lymph node shows moderate nuclear positivity in germinal and non-germinal center cells.
Staining of human small intestine shows moderate nuclear positivity in glandular cells.
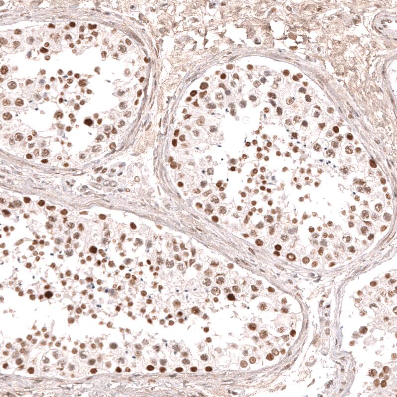
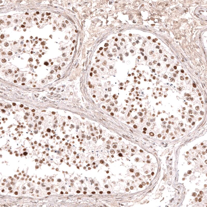
Staining of human testis shows moderate to strong nuclear positivity in cells in seminiferous ducts.
Analysis in human cell line CAPAN-2.

Product Details

Summary
Reactivity HuSpecies Glossary
Applications WB, ICC/IF, IHC
Clone
CL14502
Clonality
Monoclonal
Host
Mouse
Conjugate
Unconjugated
Format
Azide and BSA Free
Concentration
LYOPH
Validated by:
       

Orthogonal Strategies

 

Order Details

KLF2 Antibody (CL14502) - Azide and BSA Free Summary

Description
Novus Biologicals Mouse KLF2 Antibody (CL14502) - Azide and BSA Free (NBP3-26859) is a monoclonal antibody validated for use in IHC, WB and ICC/IF. All Novus Biologicals antibodies are covered by our 100% guarantee.
Immunogen
This antibody was generated using a synthetic peptide of Q9Y5W3, with the exact immunogen sequence remaining proprietary.
Isotype
IgG1
Clonality
Monoclonal
Host
Mouse
Gene
KLF2
Purity
Protein A purified
Innovator's Reward
Test in a species/application not listed above to receive a full credit towards a future purchase.

Applications/Dilutions

Dilutions
  • Immunocytochemistry/ Immunofluorescence 2-10 ug/ml
  • Immunohistochemistry-Paraffin 1:500 - 1:1000
  • Western Blot 1 ug/ml
Application Notes
Immunocytochemistry/ Immunofluorescence/IF Fixation Permeabilization: Use PFA/Triton X-100. For IHC-Paraffin, HIER pH 6 retrieval is recommended.

Packaging, Storage & Formulations

Storage
Store at 4C short term. Aliquot and store at -20C long term. Avoid freeze-thaw cycles.
Buffer
Lyophilized from a 0.2 um filtered solution in PBS with Trehalose
Preservative
No Preservative
Concentration
LYOPH
Purity
Protein A purified
Reconstitution Instructions
Centrifuge the vial of lyophilized antibody at 12,000 x g for 20 seconds. Reconstitute by adding sterile, distilled water to achieve a final antibody concentration of 1mg/ml.

Alternate Names for KLF2 Antibody (CL14502) - Azide and BSA Free

  • KLF2
  • Krueppel-like factor 2
  • Kruppel-like factor 2 (lung)
  • Kruppel-like factor LKLF
  • LKLF
  • LKLFLung krueppel-like factor
  • lung Kruppel-like zinc finger transcription factor

Background

KLF2 binds to the CACCC box in the beta-globin gene promoter and activates transcription.

Limitations

This product is for research use only and is not approved for use in humans or in clinical diagnosis. Primary Antibodies are guaranteed for 1 year from date of receipt.

Customers Who Viewed This Item Also Viewed...

AF3158
Species: Mu
Applications: ChIP, ICC, IHC, WB
NB300-500
Species: Am, Bv, Ca, Dr, Hu, Mu, Po, Rt, Sh
Applications: IHC, IHC-Fr,  IHC-P, WB
NBP2-37380
Species: Hu
Applications: CyTOF-ready, ELISA, Flow, IHC,  IHC-P, WB
AF2848
Species: Hu, Mu
Applications: ICC, WB
BBA24
Species: Hu
Applications: CyTOF-ready, ELISA(Cap), ELISA(Det), ELISA(Sta), Flow
AF3894
Species: Mu
Applications: CyTOF-ready, Flow, ICC, IHC, IP, WB
AF3758
Species: Hu, Mu
Applications: ICC, KO, Simple Western, WB
NBP1-32822
Species: Al, Av, Hu, Mu, Pl, Rt, Ze
Applications: ChIP, Flow, ICC/IF, IHC,  IHC-P, IP, KD, Simple Western, WB
NB100-56583
Species: Hu, Rb, Rt
Applications: Flow, IHC,  IHC-P, KO, Simple Western, WB
NBP2-67471
Species: Hu, Mu, Rt
Applications: ICC/IF, IHC,  IHC-P, WB
AF1759
Species: Hu, Mu
Applications: ChIP, ICC, IP, Simple Western, WB
NBP1-89654
Species: Hu
Applications: IHC,  IHC-P, WB
H00004205-M15
Species: Hu
Applications: ELISA, ICC/IF, WB
NB600-232
Species: Hu, Mu
Applications: ChIP, IHC,  IHC-P, IP, WB
QET00B
Species: Hu
Applications: ELISA
3047-CC
Species: Hu
Applications: BA
NB600-302
Species: Bv, Dr, Hu, Mu
Applications: ChIP, ELISA, Flow-IC, Flow, IB, ICC/IF, IHC, IHC-Fr,  IHC-P, IP, PLA, S-ELISA, Simple Western, WB

Publications for KLF2 Antibody (NBP3-44350) (0)

There are no publications for KLF2 Antibody (NBP3-44350).
By submitting your publication information earn gift cards and discounts for future purchases.

Reviews for KLF2 Antibody (NBP3-44350) (0)

There are no reviews for KLF2 Antibody (NBP3-44350). By submitting a review you will receive an Amazon e-Gift Card or Novus Product Discount.
  • Review with no image -- $10/€7/£6/$10 CAD/¥70 Yuan/¥1110 Yen
  • Review with an image -- $25/€18/£15/$25 CAD/¥150 Yuan/¥2500 Yen

Product General Protocols

Find general support by application which include: protocols, troubleshooting, illustrated assays, videos and webinars.

Video Protocols

WB Video Protocol
ICC/IF Video Protocol

FAQs for KLF2 Antibody (NBP3-44350) (0)

There are no specific FAQs related to this product. Read our general customer & technical service FAQs.

Secondary Antibodies

 

Isotype Controls

Additional KLF2 Products

Blogs on KLF2.

KLF4 as a transcription factor in stem cell differentiation
Kru¨ppel-like factors (KLFs) are evolutionarily conserved zinc finger transcription factors that play a role in cell differentiation, proliferation, and pluripotency. KLF4 has specifically been tied to many diverse cellular processes, including sel...  Read full blog post.

Nucleolin Antibodies: Knowing When it's Time to Split
Nucleolin is an abundant, 106 kDa nucleolar phosphoprotein that is a major protein in actively dividing cells. The stability of nucleolin is heavily cell proliferation-dependent, as nucleolin antibody studies have shown that degraded forms are relativ...  Read full blog post.

Customers Who Bought This Also Bought

Contact Information

Product PDFs

Calculators

Concentration Calculator

The concentration calculator allows you to quickly calculate the volume, mass or concentration of your vial. Simply enter your mass, volume, or concentration values for your reagent and the calculator will determine the rest.

=
÷

Review this Product

Be the first to review our KLF2 Antibody (CL14502) - Azide and BSA Free and receive a gift card or discount.

Bioinformatics

Gene Symbol KLF2