Inhibin beta A Antibody (CL15357) - Azide and BSA Free

Images

 
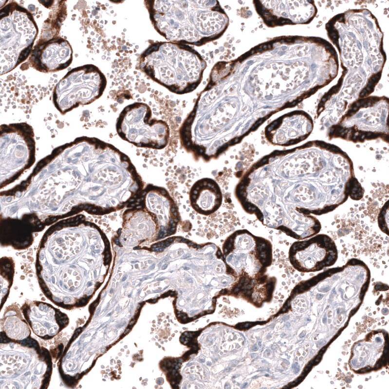
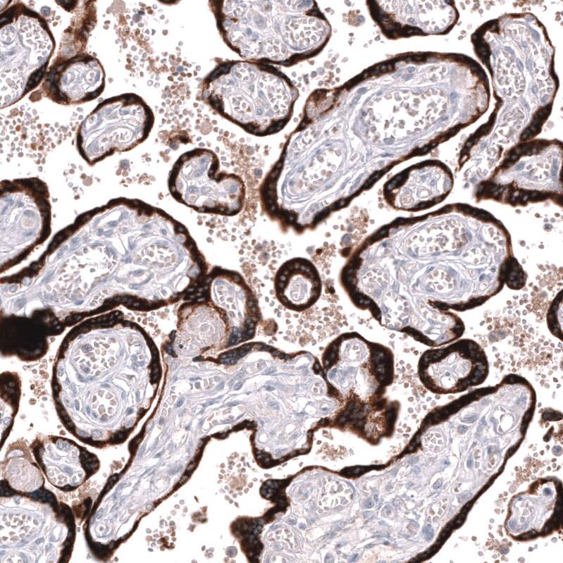
Orthogonal Strategies: Analysis in human placenta and kidney tissues using NBP3-44161 antibody. Corresponding Inhibin beta A RNA-seq data are presented for the same tissues.
Staining of human kidney shows no positivity in cells in tubules as expected.
Staining of human cerebral cortex shows weak to moderate cytoplasmic positivity in a subset of neurons.
Staining of human prostate shows no positivity in glandular cells as expected.
Staining of human placenta shows strong cytoplasmic positivity in trophoblastic cells.
Staining of rat cerebral cortex shows moderate cytoplasmic positivity in a subset of neurons in the upper layers.
Analysis in human cell line U-138MG.

Product Details

Summary
Reactivity Hu, RtSpecies Glossary
Applications WB, IHC
Clone
CL15357
Clonality
Monoclonal
Host
Mouse
Conjugate
Unconjugated
Format
Azide and BSA Free
Concentration
LYOPH
Validated by:
       

Orthogonal Strategies

 

Order Details

Inhibin beta A Antibody (CL15357) - Azide and BSA Free Summary

Description
Novus Biologicals Mouse Inhibin beta A Antibody (CL15357) - Azide and BSA Free (NBP3-43663) is a monoclonal antibody validated for use in IHC and WB. All Novus Biologicals antibodies are covered by our 100% guarantee.
Immunogen
This antibody was generated using a recombinant protein sequence of P08476, with the exact immunogen sequence remaining proprietary.
Isotype
IgG1
Clonality
Monoclonal
Host
Mouse
Gene
INHBA
Purity
Protein A purified
Innovator's Reward
Test in a species/application not listed above to receive a full credit towards a future purchase.

Applications/Dilutions

Dilutions
  • Immunohistochemistry-Paraffin 1:50 - 1:200
  • Western Blot 1 ug/ml
Application Notes
For IHC-Paraffin, HIER pH 6 retrieval is recommended.

Packaging, Storage & Formulations

Storage
Store at 4C short term. Aliquot and store at -20C long term. Avoid freeze-thaw cycles.
Buffer
Lyophilized from a 0.2 um filtered solution in PBS with Trehalose
Preservative
No Preservative
Concentration
LYOPH
Purity
Protein A purified
Reconstitution Instructions
Centrifuge the vial of lyophilized antibody at 12,000 x g for 20 seconds. Reconstitute by adding sterile, distilled water to achieve a final antibody concentration of 1mg/ml.

Alternate Names for Inhibin beta A Antibody (CL15357) - Azide and BSA Free

  • Activin Beta A
  • Activin beta-A chain
  • beta A (activin A, activin AB alpha polypeptide)
  • EDF
  • erythroid differentiation factor
  • Erythroid differentiation protein
  • follicle-stimulating hormone-releasing protein
  • FRP
  • FSH-releasing protein
  • INHBA
  • inhibin beta A chain
  • Inhibin Beta A
  • Inhibin Subunit Beta A
  • inhibin, beta A
  • Inhibin, beta-1

Background

The inhibin beta A subunit joins the alpha subunit to form a pituitary FSH secretion inhibitor. Inhibin has been shown to regulate gonadal stromal cell proliferation negatively and to have tumor-suppressor activity. In addition, serum levels of inhibin have been shown to reflect the size of granulosa-cell tumors and can therefore be used as a marker for primary as well as recurrent disease. Because expression in gonadal and various extragonadal tissues may vary severalfold in a tissue-specific fashion, it is proposed that inhibin may be both a growth/differentiation factor and a hormone. Furthermore, the beta A subunit forms a homodimer, activin A, and also joins with a beta B subunit to form a heterodimer, activin AB, both of which stimulate FSH secretion. Finally, it has been shown that the beta A subunit mRNA is identical to the erythroid differentiation factor subunit mRNA and that only one gene for this mRNA exists in the human genome.

Limitations

This product is for research use only and is not approved for use in humans or in clinical diagnosis. Primary Antibodies are guaranteed for 1 year from date of receipt.

Customers Who Viewed This Item Also Viewed...

338-AC
Species: Hu, Mu, Rt
Applications: BA
DFN00
Species: Hu
Applications: ELISA
NBP1-30475
Species: Hu, Mu
Applications: IHC,  IHC-P, IP, WB
203-IL
Species: Hu
Applications: BA
M5000
Species: Mu
Applications: ELISA
NB100-1596
Species: Hu, Mu, Pm, Rb, Rt
Applications: ICC/IF, IHC,  IHC-P, Simple Western, WB
MEP00B
Species: Mu
Applications: ELISA
M6000B
Species: Mu
Applications: ELISA
NBP2-01264
Species: Hu, Mu, Rt
Applications: Flow, ICC/IF, IHC,  IHC-P, WB
NBP1-87677
Species: Hu, Mu, Rt
Applications: ICC/IF, IHC,  IHC-P, WB
NBP2-13943
Species: Hu
Applications: ICC/IF, IHC,  IHC-P
AF956
Species: Hu, Mu
Applications: Block, IHC
NBP2-36489
Species: Hu
Applications: IHC,  IHC-P, WB
NBP2-50037
Species: Hu, Mu, Rt
Applications: ICC/IF, IHC, KO, WB
7954-GM/CF
Species: Hu
Applications: BA
NBP2-26096
Species: Bv, Hu
Applications: IHC,  IHC-P, PEP-ELISA, WB

Publications for Inhibin beta A Antibody (NBP3-44161) (0)

There are no publications for Inhibin beta A Antibody (NBP3-44161).
By submitting your publication information earn gift cards and discounts for future purchases.

Reviews for Inhibin beta A Antibody (NBP3-44161) (0)

There are no reviews for Inhibin beta A Antibody (NBP3-44161). By submitting a review you will receive an Amazon e-Gift Card or Novus Product Discount.
  • Review with no image -- $10/€7/£6/$10 CAD/¥70 Yuan/¥1110 Yen
  • Review with an image -- $25/€18/£15/$25 CAD/¥150 Yuan/¥2500 Yen

Product General Protocols

Find general support by application which include: protocols, troubleshooting, illustrated assays, videos and webinars.

Video Protocols

WB Video Protocol

FAQs for Inhibin beta A Antibody (NBP3-44161) (0)

There are no specific FAQs related to this product. Read our general customer & technical service FAQs.

Customers Who Bought This Also Bought

Contact Information

Product PDFs

Calculators

Concentration Calculator

The concentration calculator allows you to quickly calculate the volume, mass or concentration of your vial. Simply enter your mass, volume, or concentration values for your reagent and the calculator will determine the rest.

=
÷

Review this Product

Be the first to review our Inhibin beta A Antibody (CL15357) - Azide and BSA Free and receive a gift card or discount.

Bioinformatics

Gene Symbol INHBA