ID1 Antibody (CL11981) - Azide and BSA Free

Images

 
Staining of human cerebral cortex shows strong nuclear positivity in neurons.
Staining of human glioblastoma multiforme shows strong positivity in tumor cells.
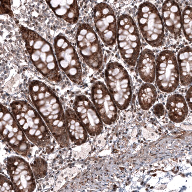
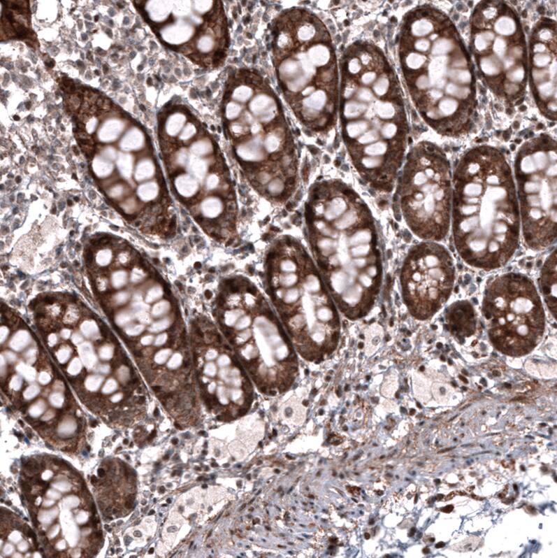
Staining of human colon shows strong positivity in glandular cells.
Staining of human liver shows weak nuclear positivity in hepatocytes.
Staining of PC-3 cells using the Anti-ID1 monoclonal antibody, showing specific staining in nucleoplasm in green. Microtubule probe is visualized in red.

Product Details

Summary
Reactivity HuSpecies Glossary
Applications ICC/IF, IHC
Clone
CL11981
Clonality
Monoclonal
Host
Mouse
Conjugate
Unconjugated
Format
Azide and BSA Free
Concentration
LYOPH

Order Details

ID1 Antibody (CL11981) - Azide and BSA Free Summary

Description
Novus Biologicals Mouse ID1 Antibody (CL11981) - Azide and BSA Free (NBP3-21206) is a monoclonal antibody validated for use in IHC and ICC/IF. All Novus Biologicals antibodies are covered by our 100% guarantee.
Immunogen
This antibody was generated using a synthetic peptide of P41134, with the exact immunogen sequence remaining proprietary.
Isotype
IgG1
Clonality
Monoclonal
Host
Mouse
Gene
ID1
Purity
Protein A purified
Innovator's Reward
Test in a species/application not listed above to receive a full credit towards a future purchase.

Applications/Dilutions

Dilutions
  • Immunocytochemistry/ Immunofluorescence 2-10 ug/ml
  • Immunohistochemistry-Paraffin 1:1000 - 1:2500
Application Notes
Immunocytochemistry/ Immunofluorescence/IF Fixation Permeabilization: Use PFA/Triton X-100. For IHC-Paraffin, HIER pH 6 retrieval is recommended.

Packaging, Storage & Formulations

Storage
Store at 4C short term. Aliquot and store at -20C long term. Avoid freeze-thaw cycles.
Buffer
Lyophilized from a 0.2 um filtered solution in PBS with Trehalose
Preservative
No Preservative
Concentration
LYOPH
Purity
Protein A purified
Reconstitution Instructions
Centrifuge the vial of lyophilized antibody at 12,000 x g for 20 seconds. Reconstitute by adding sterile, distilled water to achieve a final antibody concentration of 1mg/ml.

Alternate Names for ID1 Antibody (CL11981) - Azide and BSA Free

  • BHLHB24
  • bHLHb24DNA-binding protein inhibitor ID-1
  • Class B basic helix-loop-helix protein 24
  • dJ857M17.1.2 (inhibitor of DNA binding 1, dominant negative helix-loop-helixprotein)
  • dJ857M17.1.2
  • ID
  • ID1
  • inhibitor of differentiation 1
  • Inhibitor of DNA binding 1
  • inhibitor of DNA binding 1, dominant negative helix-loop-helix protein

Background

Id1 is encoded by this gene is a helix-loop-helix (HLH) protein that can form heterodimers with members of the basic HLH family of transcription factors. The encoded protein has no DNA binding activity and therefore can inhibit the DNA binding and transcriptional activation ability of basic HLH proteins with which it interacts. This protein may play a role in cell growth, senescence, and differentiation. Two transcript variants encoding different isoforms have been found for this gene.

Limitations

This product is for research use only and is not approved for use in humans or in clinical diagnosis. Primary Antibodies are guaranteed for 1 year from date of receipt.

Customers Who Viewed This Item Also Viewed...

AF1513
Species: Mu
Applications: CyTOF-ready, Flow, IHC, IP, Simple Western, WB
NB300-581
Species: Am, Ca, Gp, Hu, Mu, Po, Rb, Rt, Sh
Applications: Flow, ICC/IF, IHC, IHC-Fr,  IHC-P, IP, Simple Western, WB
NBP3-35145
Species: Hu, Mu, Rt
Applications: ELISA, ICC/IF, IHC,  IHC-P, WB
NBP2-27194
Species: Bv, Ch, Eq, Ha, Hu, Pm, Rt
Applications: ICC/IF, WB
NBP2-02136
Species: Hu, Mu, Rt
Applications: Flow, ICC/IF, IHC,  IHC-P, WB
NBP1-30027
Species: Hu, Mu, Rt
Applications: ICC/IF, IHC,  IHC-P, WB
MAB7650
Species: Mu
Applications: IHC, WB
H00003400-B01P
Species: Hu, Mu
Applications: ICC/IF, WB
AF6116
Species: Hu
Applications: ICC, WB
355-BM
Species: Hu, Mu, Rt
Applications: BA
NBP2-29463
Species: Pm, Hu, Pm, Mu
Applications: Flow, ICC/IF, IHC,  IHC-P, WB
NB100-56511
Species: Hu, Mu
Applications: Flow, ICC/IF, IHC, IHC-Fr,  IHC-P, IP, KD, KO, WB
314-BP
Species: Hu
Applications: BA, BA
NBP1-85533
Species: Hu
Applications: ICC/IF, IHC,  IHC-P, WB
AF2039
Species: Hu
Applications: IHC, Simple Western, WB
NB200-106
Species: Mu, Rt
Applications: ELISA, ICC/IF, IHC, IHC-Fr,  IHC-P, WB
MAB1417
Species: Bv, Hu, Mu
Applications: ICC, IHC
NBP3-44300
Species: Hu
Applications: ICC/IF, IHC

Publications for ID1 Antibody (NBP3-44300) (0)

There are no publications for ID1 Antibody (NBP3-44300).
By submitting your publication information earn gift cards and discounts for future purchases.

Reviews for ID1 Antibody (NBP3-44300) (0)

There are no reviews for ID1 Antibody (NBP3-44300). By submitting a review you will receive an Amazon e-Gift Card or Novus Product Discount.
  • Review with no image -- $10/€7/£6/$10 CAD/¥70 Yuan/¥1110 Yen
  • Review with an image -- $25/€18/£15/$25 CAD/¥150 Yuan/¥2500 Yen

Product General Protocols

Find general support by application which include: protocols, troubleshooting, illustrated assays, videos and webinars.

Video Protocols

ICC/IF Video Protocol

FAQs for ID1 Antibody (NBP3-44300) (0)

There are no specific FAQs related to this product. Read our general customer & technical service FAQs.

Secondary Antibodies

 

Isotype Controls

Additional ID1 Products

Research Areas for ID1 Antibody (NBP3-44300)

Find related products by research area.

Blogs on ID1

There are no specific blogs for ID1, but you can read our latest blog posts.

Customers Who Bought This Also Bought

Contact Information

Product PDFs

Calculators

Concentration Calculator

The concentration calculator allows you to quickly calculate the volume, mass or concentration of your vial. Simply enter your mass, volume, or concentration values for your reagent and the calculator will determine the rest.

=
÷

Review this Product

Be the first to review our ID1 Antibody (CL11981) - Azide and BSA Free and receive a gift card or discount.

Bioinformatics

Gene Symbol ID1