HSPA14 Antibody (SD08-48)

Images

 
Western Blot: HSPA14 Antibody (SD08-48) [NBP2-67827] - Analysis of HSPA14 on different lysates using anti-HSPA14 antibody at 1/1,000 dilution. Positive control: Lane 1: K562 Lane 2: COS-1
Immunocytochemistry/ Immunofluorescence: HSPA14 Antibody (SD08-48) [NBP2-67827] - Staining HSPA14 in RH-35 cells (green). The nuclear counter stain is DAPI (blue). Cells were fixed in paraformaldehyde, permeabilised ...read more
Immunohistochemistry-Paraffin: HSPA14 Antibody (SD08-48) [NBP2-67827] - Analysis of paraffin-embedded rat kidney tissue using anti-HSPA14 antibody. Counter stained with hematoxylin.
Immunocytochemistry/ Immunofluorescence: HSPA14 Antibody (SD08-48) [NBP2-67827] - Staining HSPA14 in 293 cells (green). The nuclear counter stain is DAPI (blue). Cells were fixed in paraformaldehyde, permeabilised with ...read more
Immunocytochemistry/ Immunofluorescence: HSPA14 Antibody (SD08-48) [NBP2-67827] - Staining HSPA14 in 293T cells (green). The nuclear counter stain is DAPI (blue). Cells were fixed in paraformaldehyde, permeabilised with ...read more
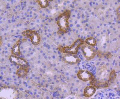
Immunohistochemistry-Paraffin: HSPA14 Antibody (SD08-48) [NBP2-67827] - Analysis of paraffin-embedded human kidney tissue using anti-HSPA14 antibody. Counter stained with hematoxylin.
Immunohistochemistry-Paraffin: HSPA14 Antibody (SD08-48) [NBP2-67827] - Analysis of paraffin-embedded mouse kidney tissue using anti-HSPA14 antibody. Counter stained with hematoxylin.

Product Details

Summary
Product Discontinued
View other related HSPA14 Primary Antibodies

Order Details


    • Catalog Number
      NBP2-67827
    • Availability
      Product Discontinued

    Can't find what you are looking for? Use our Antibody Concierge Service & we will help you locate your antibody!

    Or feel free to contact us for alternative products.

HSPA14 Antibody (SD08-48) Summary

Additional Information
Recombinant Monoclonal Antibody.
Immunogen
Synthetic peptide within Human HSPA14 aa 51-100 / 509. (SwissProt: Q0VDF9 Human; SwissProt: Q99M31 Mouse; SwissProt: Q6AYB4 Rat)
Localization
Cytoplasm.
Isotype
IgG
Clonality
Monoclonal
Host
Rabbit
Gene
HSPA14
Purity
Protein A purified
Innovator's Reward
Test in a species/application not listed above to receive a full credit towards a future purchase.

Applications/Dilutions

Dilutions
  • Immunocytochemistry/ Immunofluorescence 1:50-1:200
  • Immunohistochemistry
  • Immunohistochemistry-Paraffin 1:50-1:200
  • Immunoprecipitation
  • Western Blot 1:1000-1:2000

Packaging, Storage & Formulations

Storage
Store at 4C short term. Aliquot and store at -20C long term. Avoid freeze-thaw cycles.
Buffer
TBS (pH7.4), 0.05% BSA, 40% Glycerol
Preservative
0.05% Sodium Azide
Concentration
1 mg/ml
Purity
Protein A purified

Alternate Names for HSPA14 Antibody (SD08-48)

  • heat shock 70kDa protein 14
  • HSP70-4
  • HSP70L1

Limitations

This product is for research use only and is not approved for use in humans or in clinical diagnosis. Primary Antibodies are guaranteed for 1 year from date of receipt.

Customers Who Viewed This Item Also Viewed...

NBP1-77397
Species: Hu, Mu
Applications: Flow, IB, ICC/IF, IHC,  IHC-P, KD, Simple Western, WB
NBP1-81696
Species: Hu, Mu, Rt
Applications: ICC/IF, IHC,  IHC-P, WB
NB120-2928
Species: Hu, Mu, Pm, Rb, Rt, Sh
Applications: ICC/IF, IHC,  IHC-P, IP, WB
NBP2-32972
Species: Ch, Pm, Hu, Pm, Mu, Rt, Sh
Applications: Flow, ICC/IF, IHC,  IHC-P, WB
NBP3-16604
Species: Hu, Mu, Rt
Applications: ELISA, ICC/IF, IHC,  IHC-P, WB
NB120-2788
Species: Bv, Fe, Fi, Ha, Hu, Mu, Pm, Rt
Applications: B/N, Flow, IB, ICC/IF, IHC, IHC-Fr,  IHC-P, IP, Simple Western, WB
NB100-56566
Species: Bv, Hu, Ma, Mu, Po, Rt
Applications: B/N, ChIP, CyTOF-ready, DB, Dual ISH-IHC, ELISA(Cap), ELISA, Flow-CS, Flow-IC, Flow, ICC/IF, IHC, IHC-Fr,  IHC-P, In vitro, KD, KO, PAGE, Simple Western, WB
DYC1663-2
Species: Hu, Mu, Rt
Applications: ELISA
DY417
Species: Mu
Applications: ELISA
M6000B
Species: Mu
Applications: ELISA
NBP1-06274
Species: Ce, Ch, Dr, Hu, Mu, Rt, Sh, Ze
Applications: Flow, ICC/IF, IHC-FrFl, IHC,  IHC-P, Simple Western, WB
485-MI
Species: Mu
Applications: BA
NB100-56722
Species: Ca, Hu, Mu, Rb, Rt
Applications: B/N, DB, ELISA, Flow-CS, Flow, Func, ICC/IF, IP, In vitro, WB
6507-IL/CF
Species: Hu
Applications: BA
NBP2-03433
Species: Ca, Hu, Mu, Rt
Applications: Flow, ICC/IF, IHC,  IHC-P, WB
AF3398
Species: Hu, Mu, Rt
Applications: ICC, KO, Simple Western, WB
NBP1-97507
Species: Bv, Ca, Hu, Mu, Rt
Applications: Flow, ICC/IF, IHC,  IHC-P, Simple Western, WB

Publications for HSPA14 Antibody (NBP2-67827) (0)

There are no publications for HSPA14 Antibody (NBP2-67827).
By submitting your publication information earn gift cards and discounts for future purchases.

Reviews for HSPA14 Antibody (NBP2-67827) (0)

There are no reviews for HSPA14 Antibody (NBP2-67827). By submitting a review you will receive an Amazon e-Gift Card or Novus Product Discount.
  • Review with no image -- $10/€7/£6/$10 CAD/¥70 Yuan/¥1110 Yen
  • Review with an image -- $25/€18/£15/$25 CAD/¥150 Yuan/¥2500 Yen

Product General Protocols

Find general support by application which include: protocols, troubleshooting, illustrated assays, videos and webinars.

Video Protocols

WB Video Protocol
ICC/IF Video Protocol

FAQs for HSPA14 Antibody (NBP2-67827) (0)

There are no specific FAQs related to this product. Read our general customer & technical service FAQs.

Secondary Antibodies

 

Isotype Controls

Additional HSPA14 Products

Research Areas for HSPA14 Antibody (NBP2-67827)

Find related products by research area.

Blogs on HSPA14

There are no specific blogs for HSPA14, but you can read our latest blog posts.

Contact Information

Product PDFs

Calculators

Concentration Calculator

The concentration calculator allows you to quickly calculate the volume, mass or concentration of your vial. Simply enter your mass, volume, or concentration values for your reagent and the calculator will determine the rest.

=
÷

Review this Product

Be the first to review our HSPA14 Antibody (SD08-48) and receive a gift card or discount.

Bioinformatics

Gene Symbol HSPA14