HLA ABC Antibody (MHC-I/8366R) - Azide and BSA Free

Images

 
HLA ABC was detected in immersion fixed paraffin-embedded sections of human Liver Tumor using Rabbit Anti-Human HLA ABC, Monoclonal Antibody at 0.15ug/mL at 37°Celsius for 4 minutes. Before incubation with the primary ...read more
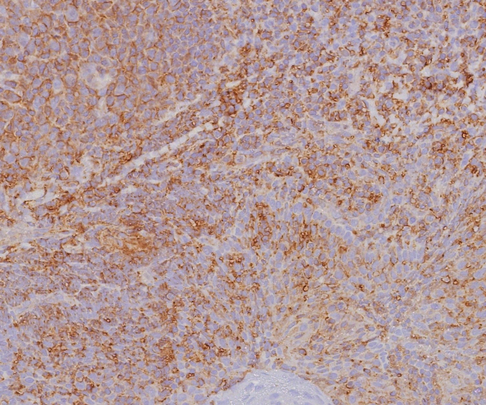
Formalin-fixed, paraffin-embedded human tonsil stained with HLA ABC antibody (MHC-I/8366R). HIER: Tris/EDTA, pH9.0, 45min. 2: HRP-polymer, 30min. DAB, 5min.
Western Blot Analysis of HOP-92, Tonsil, Lung and Hep G2 lysates using HLA ABC Antibody (MHC-I/8366R) - Azide and BSA Free.

Product Details

Summary
Reactivity HuSpecies Glossary
Applications IHC, mIF
Clone
MHC-I/8366R
Clonality
Monoclonal
Host
Rabbit
Conjugate
Unconjugated
Format
Azide and BSA Free
Concentration
1 mg/ml

Order Details

HLA ABC Antibody (MHC-I/8366R) - Azide and BSA Free Summary

Description
Positive Controls: Human tonsil or lymph node.

Antibody with azide - store at 2 to 8C. Antibody without azide - store at -20 to -80C. Non-hazardous. No MSDS required.
Additional Information
Recombinant Monoclonal Antibody
Immunogen
Recombinant fragment (around aa100-300) of human HLA-I protein (exact sequence is proprietary)
Localization
Cell Surface
Isotype
IgG Kappa
Clonality
Monoclonal
Host
Rabbit
Gene
HLA-A
Purity
Protein A or G purified
Innovator's Reward
Test in a species/application not listed above to receive a full credit towards a future purchase.

Applications/Dilutions

Dilutions
  • Immunohistochemistry-Paraffin 1-2 ug/ml
  • Multiplex Immunofluorescence
Application Notes
Immunohistochemistry (Formalin-fixed): 1-2ug/ml for 30 minutes. at RT. Staining of formalin-fixed tissues requires heating tissue sections in 10mM Tris with 1mM EDTA, pH 9.0, for 45 min at 95C followed by cooling at RT for 20 minutes.

Optimal dilution for a specific application should be determined.

Packaging, Storage & Formulations

Storage
Store at -20 to -70C. Avoid freeze-thaw cycles.
Buffer
10mM PBS
Preservative
No Preservative
Concentration
1 mg/ml
Purity
Protein A or G purified

Alternate Names for HLA ABC Antibody (MHC-I/8366R) - Azide and BSA Free

  • A-10 alpha chain
  • FLJ26655
  • HLA class I histocompatibility antigen, A-1 alpha chain
  • HLA class I histocompatibility antigen, A-28 alpha chain
  • HLA class I histocompatibility antigen, A-9 alpha chain
  • HLAA
  • major histocompatibility complex, class I, A
  • MHC class I antigen A*1
  • MHC class I antigen A*11
  • MHC class I antigen A*80

Background

HLA CLass I is involved in the presentation of foreign antigens to the immune system. HLA-class I antigens are widely distributed on human nucleated cells. The intensity of HLA-ABC maybe altered in pathological states e.g. malignant cells may loose HLA-ABC, whereas hepatocytes in alcoholic hepatitis, biliary cirrhosis and chronic active hepatitis may show enhanced expression of HLA-ABC.

Limitations

This product is for research use only and is not approved for use in humans or in clinical diagnosis. Primary Antibodies are guaranteed for 1 year from date of receipt.

Customers Who Viewed This Item Also Viewed...

NBP2-61871
Species: Hu
Applications: ELISA, Flow, ICC/IF, IHC,  IHC-P, WB
NBP2-50419
Species: Hu
Applications: CyTOF-ready, Flow, IP
H00003126-P01
Species: Hu
Applications: ELISA, AP, PA, WB
NB120-6405
Species: Rt
Applications: B/N, CyTOF-ready, EM, ELISA, Flow-IC, Flow, ICC/IF, IHC, IHC-Fr,  IHC-P, IP
NBP2-45316
Species: Hu, Pm
Applications: Flow, ICC/IF, IHC,  IHC-P, WB
NBP1-49045
Species: Mu, Rt
Applications: Cell Depl, CyTOF-ready, Flow, ICC/IF, IHC, IHC-Fr,  IHC-P, IP, InhibTFunc
NBP3-07168
Species: Pm, Ca, Pm, Hu, Pm, Sq
Applications: Flow, ICC/IF
NBP3-17255
Species: Hu
Applications: ICC/IF, WB
NBP2-67150
Species: Hu, Mu, Rt
Applications: IHC, IHC-Fr,  IHC-P, IP, WB
NBP1-59069
Species: Hu
Applications: ICC/IF, IHC,  IHC-P, WB
NBP3-46107
Species: Hu, Mu, Rt
Applications: ELISA, IHC, WB
NBP3-35275
Species: Hu, Mu, Rt
Applications: ELISA, ICC/IF, IHC,  IHC-P, WB
485-MI
Species: Mu
Applications: BA
202-IL
Species: Hu
Applications: BA
NB500-302
Species: Hu
Applications: ICC/IF, IHC, IHC-Fr,  IHC-P, WB
AF347
Species: Hu
Applications: IHC, Neut, WB
NBP1-89985
Species: Hu, Rt
Applications: ICC/IF, IHC, IHC-Fr,  IHC-P, Simple Western, WB
NBP2-34234
Species: Hu
Applications: ELISA, ICC/IF, IHC,  IHC-P
NBP1-89342
Species: Hu, Mu
Applications: ICC/IF, IHC,  IHC-P, IP, WB

Publications for HLA ABC Antibody (NBP3-20856) (0)

There are no publications for HLA ABC Antibody (NBP3-20856).
By submitting your publication information earn gift cards and discounts for future purchases.

Reviews for HLA ABC Antibody (NBP3-20856) (0)

There are no reviews for HLA ABC Antibody (NBP3-20856). By submitting a review you will receive an Amazon e-Gift Card or Novus Product Discount.
  • Review with no image -- $10/€7/£6/$10 CAD/¥70 Yuan/¥1110 Yen
  • Review with an image -- $25/€18/£15/$25 CAD/¥150 Yuan/¥2500 Yen

Product General Protocols

Find general support by application which include: protocols, troubleshooting, illustrated assays, videos and webinars.

FAQs for HLA ABC Antibody (NBP3-20856) (0)

There are no specific FAQs related to this product. Read our general customer & technical service FAQs.

Secondary Antibodies

 

Isotype Controls

Additional HLA ABC Products

Array NBP3-20856

Research Areas for HLA ABC Antibody (NBP3-20856)

Find related products by research area.

Blogs on HLA ABC

There are no specific blogs for HLA ABC, but you can read our latest blog posts.

Customers Who Bought This Also Bought

Contact Information

Product PDFs

Calculators

Concentration Calculator

The concentration calculator allows you to quickly calculate the volume, mass or concentration of your vial. Simply enter your mass, volume, or concentration values for your reagent and the calculator will determine the rest.

=
÷

Review this Product

Be the first to review our HLA ABC Antibody (MHC-I/8366R) - Azide and BSA Free and receive a gift card or discount.

Bioinformatics

Gene Symbol HLA-A