HAPLN1 Antibody (SY02-17)

Images

 
Western Blot: HAPLN1 Antibody (SY02-17) [NBP2-67447] - Analysis of HAPLN1 on different lysates using anti-HAPLN1 antibody at 1/1,000 dilution. Positive control: Lane 1: BT-20 Lane 2: HUVEC Lane 3: SW480
Immunocytochemistry/ Immunofluorescence: HAPLN1 Antibody (SY02-17) [NBP2-67447] - Staining HAPLN1 in SW480 cells (green). The nuclear counter stain is DAPI (blue). Cells were fixed in paraformaldehyde, permeabilised ...read more
Immunohistochemistry-Paraffin: HAPLN1 Antibody (SY02-17) [NBP2-67447] - Analysis of paraffin-embedded mouse spleen tissue using anti-HAPLN1 antibody. Counter stained with hematoxylin.
Immunocytochemistry/ Immunofluorescence: HAPLN1 Antibody (SY02-17) [NBP2-67447] - Staining HAPLN1 in HUVEC cells (green). The nuclear counter stain is DAPI (blue). Cells were fixed in paraformaldehyde, permeabilised ...read more
Immunocytochemistry/ Immunofluorescence: HAPLN1 Antibody (SY02-17) [NBP2-67447] - Staining HAPLN1 in BT-20 cells (green). The nuclear counter stain is DAPI (blue). Cells were fixed in paraformaldehyde, permeabilised ...read more
Immunohistochemistry-Paraffin: HAPLN1 Antibody (SY02-17) [NBP2-67447] - Analysis of paraffin-embedded human liver tissue using anti-HAPLN1 antibody. Counter stained with hematoxylin.
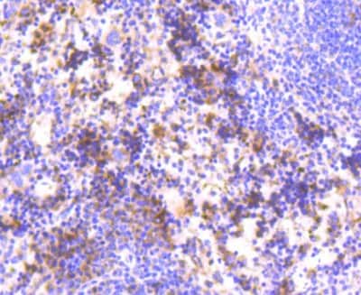
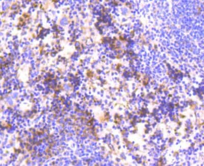
Immunohistochemistry-Paraffin: HAPLN1 Antibody (SY02-17) [NBP2-67447] - Analysis of paraffin-embedded human spleen tissue using anti-HAPLN1 antibody. Counter stained with hematoxylin.
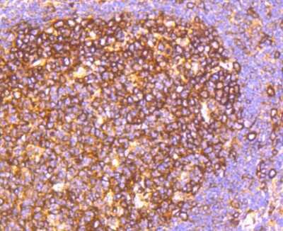
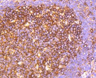
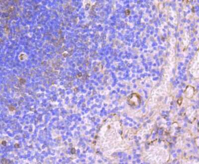
Immunohistochemistry-Paraffin: HAPLN1 Antibody (SY02-17) [NBP2-67447] - Analysis of paraffin-embedded human tonsil tissue using anti-HAPLN1 antibody. Counter stained with hematoxylin.

Product Details

Summary
Product Discontinued
View other related HAPLN1 Primary Antibodies

Order Details


    • Catalog Number
      NBP2-67447
    • Availability
      Product Discontinued

    Can't find what you are looking for? Use our Antibody Concierge Service & we will help you locate your antibody!

    Or feel free to contact us for alternative products.

HAPLN1 Antibody (SY02-17) Summary

Additional Information
Recombinant Monoclonal Antibody.
Immunogen
Synthetic peptide withinl Human HAPLN1 aa 305-354 / 354. (SwissProt: P10915 Human; SwissProt: Q9QUP5 Mouse; SwissProt: P03994 Rat)
Localization
Secreted.
Isotype
IgG
Clonality
Monoclonal
Host
Rabbit
Gene
HAPLN1
Purity
Protein A purified
Innovator's Reward
Test in a species/application not listed above to receive a full credit towards a future purchase.

Applications/Dilutions

Dilutions
  • Immunocytochemistry/ Immunofluorescence 1:50-1:100
  • Immunohistochemistry
  • Immunohistochemistry-Paraffin 1:50-1:200
  • Western Blot 1:500-1:2000

Packaging, Storage & Formulations

Storage
Store at 4C short term. Aliquot and store at -20C long term. Avoid freeze-thaw cycles.
Buffer
TBS (pH7.4), 0.05% BSA, 40% Glycerol
Preservative
0.05% Sodium Azide
Concentration
1 mg/ml
Purity
Protein A purified

Alternate Names for HAPLN1 Antibody (SY02-17)

  • Cartilage link protein
  • Cartilage-link protein
  • Cartilage-linking protein 1
  • CRTL1
  • CRTL1cartilage linking protein 1
  • HAPLN1
  • hyaluronan and proteoglycan link protein 1
  • Proteoglycan link protein

Background

Th extracellular matrix of cartilage consists of a number of interacting macromolecules that are unique to that tissue. The most studied group of these molecules are those that make up the ternary complex involving proteoglycan monomer, link protein (LP) , and hyaluronic acid (HA). As many as 100 proteoglycan monomers and LPs can be found to interact with a single HA polymer.

Limitations

This product is for research use only and is not approved for use in humans or in clinical diagnosis. Primary Antibodies are guaranteed for 1 year from date of receipt.

Customers Who Viewed This Item Also Viewed...

NB100-74350
Species: Bv, Ca, Hu, Mu, Po, Rt
Applications: Flow, ICC/IF, IHC, IHC-Fr,  IHC-P, WB
NBP1-85432
Species: Hu, Mu
Applications: COMET, IHC,  IHC-P, mIF
BBA10
Species: Hu
Applications: CyTOF-ready, Flow, IHC, IP, KO, Simple Western, WB
AF5800
Species: Mu, Rt
Applications: IHC, WB
AF4009
Species: Hu, Rt
Applications: ICC, IHC, IP, WB
NBP2-20454
Species: Hu
Applications: IHC,  IHC-P, WB
NBP2-37477
Species: Hu
Applications: ELISA, ICC/IF, IHC,  IHC-P, WB
AF4085
Species: Hu
Applications: IHC, IP, WB
AF1060
Species: Mu
Applications: ELISA(Cap), ELISA(Det), IHC, Simple Western, WB
NB600-844
Species: Ch, Hu, Mu, Rb, Rt
Applications: ICC/IF, IHC, IHC-Fr,  IHC-P, Simple Western, WB
MAB2104
Species: Hu, Mu
Applications: WB
AF3075
Species: Hu
Applications: ICC, Simple Western, WB
NBP1-87784
Species: Hu
Applications: ICC/IF, IHC,  IHC-P, WB
MAB1624
Species: Mu, Rt
Applications: IHC, WB
DCMP0
Species: Hu
Applications: ELISA
AF1705
Species: Mu
Applications: IHC, WB
NBP2-67447
Species: Hu, Mu, Rt, Ze
Applications: WB, ICC/IF, IHC

Publications for HAPLN1 Antibody (NBP2-67447) (0)

There are no publications for HAPLN1 Antibody (NBP2-67447).
By submitting your publication information earn gift cards and discounts for future purchases.

Reviews for HAPLN1 Antibody (NBP2-67447) (0)

There are no reviews for HAPLN1 Antibody (NBP2-67447). By submitting a review you will receive an Amazon e-Gift Card or Novus Product Discount.
  • Review with no image -- $10/€7/£6/$10 CAD/¥70 Yuan/¥1110 Yen
  • Review with an image -- $25/€18/£15/$25 CAD/¥150 Yuan/¥2500 Yen

Product General Protocols

Find general support by application which include: protocols, troubleshooting, illustrated assays, videos and webinars.

Video Protocols

WB Video Protocol
ICC/IF Video Protocol

FAQs for HAPLN1 Antibody (NBP2-67447) (0)

There are no specific FAQs related to this product. Read our general customer & technical service FAQs.

Secondary Antibodies

 

Isotype Controls

Additional HAPLN1 Products

Research Areas for HAPLN1 Antibody (NBP2-67447)

Find related products by research area.

Blogs on HAPLN1

There are no specific blogs for HAPLN1, but you can read our latest blog posts.

Contact Information

Product PDFs

Calculators

Concentration Calculator

The concentration calculator allows you to quickly calculate the volume, mass or concentration of your vial. Simply enter your mass, volume, or concentration values for your reagent and the calculator will determine the rest.

=
÷

Review this Product

Be the first to review our HAPLN1 Antibody (SY02-17) and receive a gift card or discount.

Bioinformatics

Gene Symbol HAPLN1