GPR155 Antibody - BSA Free

Images

 
Immunocytochemistry/ Immunofluorescence: GPR155 Antibody [NBP1-50625] - U-87 cells were fixed in 4% paraformaldehyde for 10 minutes and permeabilized in 0.05% Triton X-100 in PBS for 5 minutes. The cells were incubated ...read more
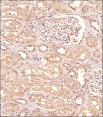
Immunohistochemistry-Paraffin: GPR155 Antibody [NBP1-50625] - Analysis of a FFPE tissue section of human kidney using 1:200 dilution of GPR155 antibody. The staining was developed using HRP labeled anti-rabbit secondary ...read more

Product Details

Summary
Reactivity HuSpecies Glossary
Applications WB, ICC/IF, IHC
Clonality
Polyclonal
Host
Rabbit
Conjugate
Unconjugated
Format
BSA Free
Concentration
1.06 mg/ml

Order Details

GPR155 Antibody - BSA Free Summary

Description
Novus Biologicals Rabbit GPR155 Antibody - BSA Free (NBP1-50625) is a polyclonal antibody validated for use in IHC, WB and ICC/IF. All Novus Biologicals antibodies are covered by our 100% guarantee.
Immunogen
A synthetic peptide made to an internal portion of the human GPR155 protein (between residues 500-600) [UniProt Q7Z3F1]
Localization
Membrane; Multi-pass membrane protein.Mem
Isotype
IgG
Clonality
Polyclonal
Host
Rabbit
Gene
GPR155
Purity
Immunogen affinity purified
Innovator's Reward
Test in a species/application not listed above to receive a full credit towards a future purchase.

Applications/Dilutions

Dilutions
  • Immunocytochemistry/ Immunofluorescence 1:10-1:2000
  • Immunohistochemistry 1:200
  • Immunohistochemistry-Paraffin 1:200
  • Western Blot 1:100-1:2000
Application Notes
This GPR155 antibody has been tested with inconclusive results in Western blot and Immunofluorescence.

Reactivity Notes

Immunogen sequence has 86% identity to mouse.

Packaging, Storage & Formulations

Storage
Store at 4C short term. Aliquot and store at -20C long term. Avoid freeze-thaw cycles.
Buffer
PBS and 30% Glycerol
Preservative
0.05% Sodium Azide
Concentration
1.06 mg/ml
Purity
Immunogen affinity purified

Alternate Names for GPR155 Antibody - BSA Free

  • DEP.7
  • DEPDC3
  • FLJ31819
  • FLJ39346
  • G protein-coupled receptor 155
  • integral membrane protein GPR155
  • PGR22G-protein coupled receptor PGR22

Background

GPR155 (G-protein coupled receptor PGR22) is an integral membrane protein identified through systematic search for homologies to known GPCRs and has been suggested to be implicated in Huntington disease and autism spectrum disorders. In mouse model, GPR155 mRNAs have been shown to be widely distributed in forebrain regions with more restricted distribution in the mid/hindbrain and highest levels in lateral parts of hippocampus as well as striatum, and its expression pattern in striatum resembled cannabinoid receptor type 1. GPR155 protein has been proposed to implicate in the sensory information processing and memory because of its high expression in cerebral cortex, hippocampus, septal nuclei, amygdaloid complex and that it is significantly dysregulated in autism spectrum disorders which are characterized by impaired social interaction/communication, restricted and repetitive interests and activities.

Limitations

This product is for research use only and is not approved for use in humans or in clinical diagnosis. Primary Antibodies are guaranteed for 1 year from date of receipt.

Customers Who Viewed This Item Also Viewed...

7625
Species: Mu
Applications: ELISA
AF2086
Species: Hu, Mu, Rt
Applications: IHC, Simple Western, WB
NBP2-16060
Species: Hu, Mu, Rt
Applications: ICC/IF, IHC,  IHC-P, IP, WB
AF2247
Species: Hu
Applications: IHC, WB
NBP1-31308
Species: Bv, Hu, Mu, Rt
Applications: ICC/IF, IHC,  IHC-P, Simple Western, WB
NB600-302
Species: Bv, Dr, Hu, Mu
Applications: ChIP, ELISA, Flow-IC, Flow, IB, ICC/IF, IHC, IHC-Fr,  IHC-P, IP, PLA, S-ELISA, Simple Western, WB
NBP1-47668
Species: Hu, Pm, Mu, Rt
Applications: Flow, ICC/IF, IHC,  IHC-P, IP, WB
NBP2-42864
Species: Hu, Mu, Rt
Applications: ICC/IF, IHC,  IHC-P, IP, WB
NBP3-46447
Species: Hu, Mu
Applications: ELISA, IHC, IP, , WB
6509-CA
Species: Hu
Applications: BA
NBP2-01770
Species: Ca, Hu, Pm, Mu, Rt
Applications: Flow, ICC/IF, IHC,  IHC-P, WB
354-BP
Species: Hu
Applications: BA
NBP2-37343
Species: Hu
Applications: ELISA, IHC,  IHC-P, WB
NBP1-89168
Species: Hu
Applications: ICC/IF, IHC,  IHC-P, WB
NLS32
Species: Bt, Bv, Ca, Eq, Hu, Pm, Mu, Po, Pm, Rt
Applications: ICC/IF, IHC,  IHC-P
NB110-41404
Species: Bv, Hu, Mu, Rt
Applications: ICC/IF, IHC, WB
NB200-103
Species: Hu, Mu, Rt, Xp(-), Ye
Applications: CyTOF-ready, ELISA, Flow-IC, Flow, ICC/IF, IHC, IHC-Fr,  IHC-P, IP, WB
NBP1-50625
Species: Hu
Applications: WB, ICC/IF, IHC

Publications for GPR155 Antibody (NBP1-50625) (0)

There are no publications for GPR155 Antibody (NBP1-50625).
By submitting your publication information earn gift cards and discounts for future purchases.

Reviews for GPR155 Antibody (NBP1-50625) (0)

There are no reviews for GPR155 Antibody (NBP1-50625). By submitting a review you will receive an Amazon e-Gift Card or Novus Product Discount.
  • Review with no image -- $10/€7/£6/$10 CAD/¥70 Yuan/¥1110 Yen
  • Review with an image -- $25/€18/£15/$25 CAD/¥150 Yuan/¥2500 Yen

Product General Protocols

View specific protocols for GPR155 Antibody (NBP1-50625): Find general support by application which include: protocols, troubleshooting, illustrated assays, videos and webinars.

Video Protocols

WB Video Protocol
ICC/IF Video Protocol

FAQs for GPR155 Antibody (NBP1-50625) (0)

There are no specific FAQs related to this product. Read our general customer & technical service FAQs.

Secondary Antibodies

 

Isotype Controls

Additional GPR155 Products

Research Areas for GPR155 Antibody (NBP1-50625)

Find related products by research area.

Blogs on GPR155

There are no specific blogs for GPR155, but you can read our latest blog posts.

Customers Who Bought This Also Bought

Contact Information

Product PDFs

Calculators

Concentration Calculator

The concentration calculator allows you to quickly calculate the volume, mass or concentration of your vial. Simply enter your mass, volume, or concentration values for your reagent and the calculator will determine the rest.

=
÷

Review this Product

Be the first to review our GPR155 Antibody - BSA Free and receive a gift card or discount.

Bioinformatics

Gene Symbol GPR155
Entrez
Uniprot