Golgi Glycoprotein 1/GLG1 Antibody (GLG1/970) - Azide and BSA Free

Images

 
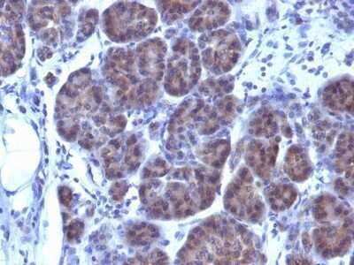
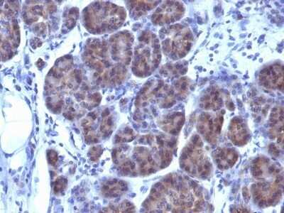
Immunohistochemistry-Paraffin: Golgi Glycoprotein 1/GLG1 Antibody (GLG1/970) - Azide and BSA Free [NBP2-47794] - Human Pancreas stained with GLG1 Monoclonal Antibody (GLG1/970).

Product Details

Summary
Reactivity Hu, Mu(-), Rt(-)Species Glossary
Applications IHC
Clone
GLG1/970
Clonality
Monoclonal
Host
Mouse
Conjugate
Unconjugated
Format
Azide and BSA Free
Concentration
1.0 mg/ml

Order Details

Golgi Glycoprotein 1/GLG1 Antibody (GLG1/970) - Azide and BSA Free Summary

Description
1.0 mg/ml of antibody purified from Bioreactor Concentrate by Protein A/G. Prepared in 10mM PBS WITHOUT BSA. Also available at 200 ug/ml WITH BSA & azide (NBP2-44361).

Antibody with azide - store at 2 to 8C. Antibody without azide - store at -20 to -80C.
Immunogen
Golgi fraction from human liver cells
Localization
Golgi complex in cytoplasm
Marker
Marker for Human Cells
Specificity
This monoclonal antibody recognizes a protein of 134kDa, which binds fibroblast growth factor and E-selectin (cell-adhesion lectin on endothelial cells mediating the binding of neutrophils). Fucosylation is essential for binding to E-selectin. It contains sialic acid residues and 16 Cys-rich GLG1 repeats. This monoclonal antibody can be used to stain the Golgi complex in cell or tissue preparations and can be used as a Golgi marker in subcellular fractions. It produces a diffuse staining pattern of the Golgi zone in normal and malignant cells. This monoclonal antibody is an excellent marker for human cells in xenographic model research. It reacts specifically with human cells. The Golgi apparatus is an organelle present in all eukaryotic cells that forms a part of the endomembrane system. The primary function of the Golgi apparatus is to process and package macromolecules synthesized by the cell for exocytosis or use within the cell. The Golgi is made up of a stack of flattened, membrane-bound sacs known as cisternae, with three functional regions: the cis face, medial region and trans face. Each region consists of various enzymes that selectively modify the macromolecules passing though them, depending on where they are destined to reside. Several spherical vesicles that have budded off of the Golgi are present surrounding the main cisternae. The Golgi tends to be more pronounced and numerous in cells that make and secrete many substances such as plasma B cells.
Isotype
IgG1 Kappa
Clonality
Monoclonal
Host
Mouse
Gene
GLG1
Purity
Protein A or G purified
Innovator's Reward
Test in a species/application not listed above to receive a full credit towards a future purchase.

Applications/Dilutions

Dilutions
  • Immunohistochemistry
  • Immunohistochemistry-Paraffin
Application Notes
Immunohistochemistry (Formalin-fixed): 0.1-0.2ug/ml for 30 min at RT. Staining of formalin-fixed tissues requires heating tissue sections in 10mM Tris with 1mM EDTA, pH 9.0, for 45 min at 95C followed by cooling at RT for 20 minutes.
Optimal dilution for a specific application should be determined.
Theoretical MW
134 kDa.
Disclaimer note: The observed molecular weight of the protein may vary from the listed predicted molecular weight due to post translational modifications, post translation cleavages, relative charges, and other experimental factors.

Reactivity Notes

Does not react with Mouse or Rat.

Packaging, Storage & Formulations

Storage
Store at -20 to -80C. Avoid freeze-thaw cycles.
Buffer
10 mM PBS
Preservative
No Preservative
Concentration
1.0 mg/ml
Purity
Protein A or G purified

Alternate Names for Golgi Glycoprotein 1/GLG1 Antibody (GLG1/970) - Azide and BSA Free

  • CFR1
  • CFR-1
  • cysteine-rich fibroblast growth factor receptor
  • DKFZp686L08213
  • E-selectin ligand 1
  • ESL1
  • ESL-1
  • FLJ23319
  • FLJ23967
  • FLJ32797
  • GLG1
  • Golgi apparatus protein 1
  • Golgi Glycoprotein 1
  • golgi sialoglycoprotein MG-160
  • MG160
  • MG-160

Limitations

This product is for research use only and is not approved for use in humans or in clinical diagnosis. Primary Antibodies are guaranteed for 1 year from date of receipt.

Customers Who Viewed This Item Also Viewed...

BBA16
Species: Hu
Applications: ELISA(Cap), ELISA(Det), ELISA(Sta), Flow, ICC, IHC, IP, WB
233-FB
Species: Hu
Applications: BA
H00002263-M01
Species: Bv, Hu
Applications: ELISA, ICC/IF, IHC,  IHC-P, S-ELISA, WB
NBP2-24915
Species: Bv, Hu, Mu, Rt
Applications: IHC,  IHC-P, WB
NBP1-76544
Species: Hu, Mu, Rt
Applications: ELISA, ICC/IF, IHC,  IHC-P, Simple Western, WB
NBP1-88866
Species: Hu
Applications: IHC,  IHC-P
NB100-78039
Species: Hu, Mu
Applications: CyTOF-ready, ELISA, Flow-CS, Flow, ICC/IF, IHC, IHC-Fr,  IHC-P, WB
BBA24
Species: Hu
Applications: CyTOF-ready, ELISA(Cap), ELISA(Det), ELISA(Sta), Flow
NBP2-75515
Species: Hu, Mu, Rt
Applications: Flow, ICC/IF,  IHC-P, WB
8988-F18
Species: Hu
Applications: BA
AF1436
Species: Mu
Applications: WB
NBP1-49643
Species: Bv, Hu, Pm
Applications: Flow-IC, Flow, IB, ICC/IF, IHC,  IHC-P, KO, WB
BBA10
Species: Hu
Applications: CyTOF-ready, Flow, IHC, IP, KO, Simple Western, WB
H00079147-Q01
Species: Hu
Applications: ELISA, AP, PA, WB
NBP2-34294
Species: Hu, Mu, Rt
Applications: Flow, IHC,  IHC-P
NB600-1287
Species: Ca, Hu, Mu, Rb, Rt
Applications: CyTOF-ready, Flow, ICC/IF, IHC,  IHC-P, IP, WB
137-PS
Species: Hu
Applications: BA
NBP2-47794
Species: Hu, Mu(-), Rt(-)
Applications: IHC

Publications for Golgi Glycoprotein 1/GLG1 Antibody (NBP2-47794) (0)

There are no publications for Golgi Glycoprotein 1/GLG1 Antibody (NBP2-47794).
By submitting your publication information earn gift cards and discounts for future purchases.

Reviews for Golgi Glycoprotein 1/GLG1 Antibody (NBP2-47794) (0)

There are no reviews for Golgi Glycoprotein 1/GLG1 Antibody (NBP2-47794). By submitting a review you will receive an Amazon e-Gift Card or Novus Product Discount.
  • Review with no image -- $10/€7/£6/$10 CAD/¥70 Yuan/¥1110 Yen
  • Review with an image -- $25/€18/£15/$25 CAD/¥150 Yuan/¥2500 Yen

Product General Protocols

Find general support by application which include: protocols, troubleshooting, illustrated assays, videos and webinars.

FAQs for Golgi Glycoprotein 1/GLG1 Antibody (NBP2-47794) (0)

There are no specific FAQs related to this product. Read our general customer & technical service FAQs.

Secondary Antibodies

 

Isotype Controls

Additional Golgi Glycoprotein 1/GLG1 Products

Blogs on Golgi Glycoprotein 1/GLG1

There are no specific blogs for Golgi Glycoprotein 1/GLG1, but you can read our latest blog posts.

Customers Who Bought This Also Bought

Contact Information

Product PDFs

Calculators

Concentration Calculator

The concentration calculator allows you to quickly calculate the volume, mass or concentration of your vial. Simply enter your mass, volume, or concentration values for your reagent and the calculator will determine the rest.

=
÷

Review this Product

Be the first to review our Golgi Glycoprotein 1/GLG1 Antibody (GLG1/970) - Azide and BSA Free and receive a gift card or discount.

Bioinformatics

Gene Symbol GLG1