Glypican 6 Antibody

Images

 
Immunocytochemistry/ Immunofluorescence: Glypican 6 Antibody [NBP1-87565] - Staining of human cell line A-431 shows localization to the Golgi apparatus & vesicles. Antibody staining is shown in green.
Immunohistochemistry-Paraffin: Glypican 6 Antibody [NBP1-87565] - Staining of human cerebral cortex shows moderate positivity in neuropil.
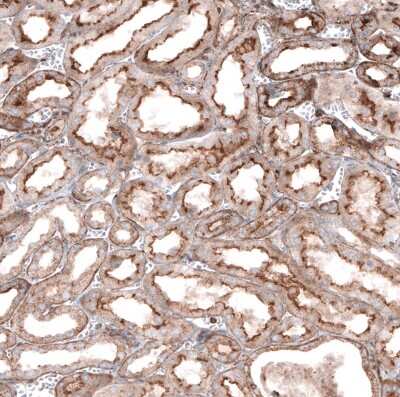
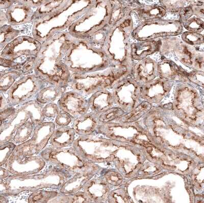
Immunohistochemistry-Paraffin: Glypican 6 Antibody [NBP1-87565] - Staining of human kidney shows moderate positivity in apical membrane in cells in tubules.
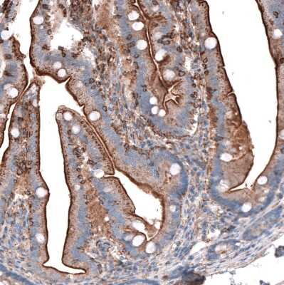
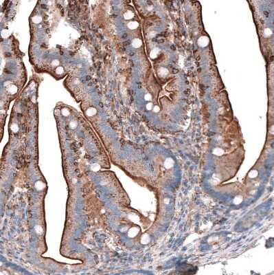
Immunohistochemistry-Paraffin: Glypican 6 Antibody [NBP1-87565] - Staining of human duodenum shows strong immunoreactivity in apical membranes of glandular cells as well as granular cytoplasmic positivity.
Immunohistochemistry-Paraffin: Glypican 6 Antibody [NBP1-87565] - Staining of human uterine cervix shows moderate membranous positivity in squamous epithelial cells.

Product Details

Summary
Product Discontinued
View other related Glypican 6 Primary Antibodies

Order Details


    • Catalog Number
      NBP1-87565
    • Availability
      Product Discontinued

    Can't find what you are looking for? Use our Antibody Concierge Service & we will help you locate your antibody!

    Or feel free to contact us for alternative products.

Glypican 6 Antibody Summary

Immunogen
This antibody was developed against Recombinant Protein corresponding to amino acids: KGFSLADIPYQEIAGEHLRICPQEYTCCTTEMEDKLSQQSKLEFENLVEETSHFVRTTFVSRHKKFDEFFRELLENAEK
Predicted Species
Mouse (100%), Rat (100%). Backed by our 100% Guarantee.
Isotype
IgG
Clonality
Polyclonal
Host
Rabbit
Gene
GPC6
Purity
Immunogen affinity purified
Innovator's Reward
Test in a species/application not listed above to receive a full credit towards a future purchase.

Applications/Dilutions

Dilutions
  • Immunocytochemistry/ Immunofluorescence 0.25-2 ug/ml
  • Immunohistochemistry 1:50 - 1:200
  • Immunohistochemistry-Paraffin 1:50 - 1:200
Application Notes
For IHC-Paraffin, HIER pH 6 retrieval is recommended. ICC/IF Fixation Permeabilization: Use PFA/Triton X-100.

Packaging, Storage & Formulations

Storage
Store at 4C short term. Aliquot and store at -20C long term. Avoid freeze-thaw cycles.
Buffer
PBS (pH 7.2) and 40% Glycerol
Preservative
0.02% Sodium Azide
Purity
Immunogen affinity purified

Alternate Names for Glypican 6 Antibody

  • Glypican 6
  • glypican proteoglycan 6
  • glypican-6
  • GPC6
  • MGC126288
  • OMIMD1

Background

The glypicans comprise a family of glycosylphosphatidylinositol-anchored heparan sulfate proteoglycans, and they have been implicated in the control of cell growth and cell division. The glypican encoded by this gene is a putative cell surface coreceptor for growth factors, extracellular matrix proteins, proteases and anti-proteases. [provided by RefSeq]. Sequence Note: This RefSeq record was created from transcript and genomic sequence data because no quality transcript was available for the full length of the gene. The extent of this transcript is supported by transcript alignments.

Limitations

This product is for research use only and is not approved for use in humans or in clinical diagnosis. Primary Antibodies are guaranteed for 1 year from date of receipt.

Customers Who Viewed This Item Also Viewed...

NBP1-87697
Species: Hu
Applications: ICC/IF, IHC,  IHC-P
AF2119
Species: Hu
Applications: CyTOF-ready, ELISA, Flow, ICC, IHC, WB
MAB2607
Species: Hu, Mu
Applications: CyTOF-ready, Flow, WB
233-FB
Species: Hu
Applications: BA
AF4519
Species: Hu
Applications: CyTOF-ready, Flow, ICC, WB
NBP2-23603
Species: Hu, Mu
Applications: ICC/IF, IHC,  IHC-P, WB
NBP1-89946
Species: Hu
Applications: ICC/IF, IHC,  IHC-P
AF2918
Species: Hu
Applications: CyTOF-ready, Flow, ICC, WB
NBP3-03736
Species: Hu, Mu, Rt
Applications: ELISA, ICC/IF, WB
NBP3-15385
Species: Hu, Mu, Rt
Applications: IHC,  IHC-P, WB
NBP2-24653
Species: Hu, Mu, Rt
Applications: IHC,  IHC-P, WB
NBP2-38234
Species: Hu
Applications: IHC,  IHC-P
H00002263-M01
Species: Bv, Hu
Applications: ELISA, ICC/IF, IHC,  IHC-P, S-ELISA, WB
NBP2-16471
Species: Hu, Mu, Rt
Applications: IHC,  IHC-P, WB
NBP3-15642
Species: Hu, Mu, Rt
Applications: ICC/IF, IHC,  IHC-P, WB
MAB2965
Species: Hu
Applications: CyTOF-ready, Flow
NBP1-87565
Species: Hu, Mu, Rt
Applications: ICC/IF, IHC

Publications for Glypican 6 Antibody (NBP1-87565) (0)

There are no publications for Glypican 6 Antibody (NBP1-87565).
By submitting your publication information earn gift cards and discounts for future purchases.

Reviews for Glypican 6 Antibody (NBP1-87565) (0)

There are no reviews for Glypican 6 Antibody (NBP1-87565). By submitting a review you will receive an Amazon e-Gift Card or Novus Product Discount.
  • Review with no image -- $10/€7/£6/$10 CAD/¥70 Yuan/¥1110 Yen
  • Review with an image -- $25/€18/£15/$25 CAD/¥150 Yuan/¥2500 Yen

Product General Protocols

Find general support by application which include: protocols, troubleshooting, illustrated assays, videos and webinars.

Video Protocols

ICC/IF Video Protocol

FAQs for Glypican 6 Antibody (NBP1-87565) (0)

There are no specific FAQs related to this product. Read our general customer & technical service FAQs.

Contact Information

Product PDFs

Calculators

Concentration Calculator

The concentration calculator allows you to quickly calculate the volume, mass or concentration of your vial. Simply enter your mass, volume, or concentration values for your reagent and the calculator will determine the rest.

=
÷

Review this Product

Be the first to review our Glypican 6 Antibody and receive a gift card or discount.

Bioinformatics

Gene Symbol GPC6