GAP-43 Antibody (CL10855) - Azide and BSA Free

Images

 
Staining of human cerebellum shows moderate positivity in neuropil.
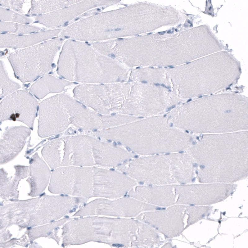
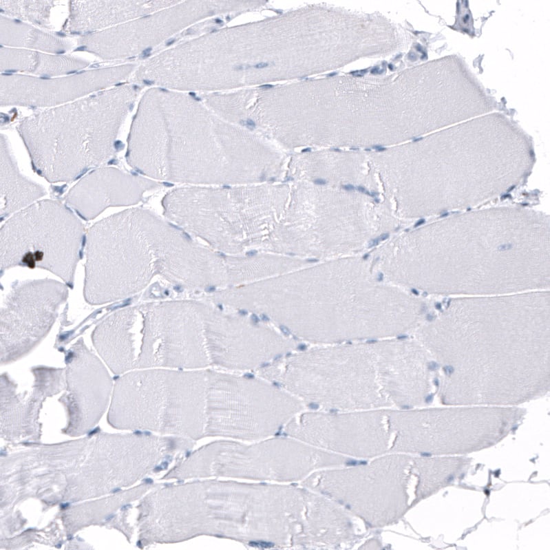
Orthogonal Strategies: Analysis in human cerebral cortex and skeletal muscle tissues using NBP3-44283 antibody. Corresponding GAP-43 RNA-seq data are presented for the same tissues.
Staining of human cerebral cortex shows strong positivity in neuronal processes in the neuropil.
Staining of human skeletal muscle shows no positivity in myocytes.
Staining of human rectum shows strong positivity in peripheral ganglia and nerves.

Product Details

Summary
Reactivity HuSpecies Glossary
Applications IHC
Clone
CL10855
Clonality
Monoclonal
Host
Mouse
Conjugate
Unconjugated
Format
Azide and BSA Free
Concentration
LYOPH
Validated by:
       

Orthogonal Strategies

 

Order Details

GAP-43 Antibody (CL10855) - Azide and BSA Free Summary

Description
Novus Biologicals Mouse GAP-43 Antibody (CL10855) - Azide and BSA Free (NBP3-21182) is a monoclonal antibody validated for use in IHC. All Novus Biologicals antibodies are covered by our 100% guarantee.
Immunogen
This antibody was generated using a synthetic peptide of P17677, with the exact immunogen sequence remaining proprietary.
Isotype
IgG1
Clonality
Monoclonal
Host
Mouse
Gene
GAP43
Purity
Protein A purified
Innovator's Reward
Test in a species/application not listed above to receive a full credit towards a future purchase.

Applications/Dilutions

Dilutions
  • Immunohistochemistry-Paraffin 1:500 - 1:1000
Application Notes
For IHC-Paraffin, HIER pH 6 retrieval is recommended.

Packaging, Storage & Formulations

Storage
Store at 4C short term. Aliquot and store at -20C long term. Avoid freeze-thaw cycles.
Buffer
Lyophilized from a 0.2 um filtered solution in PBS with Trehalose
Preservative
No Preservative
Concentration
LYOPH
Purity
Protein A purified
Reconstitution Instructions
Centrifuge the vial of lyophilized antibody at 12,000 x g for 20 seconds. Reconstitute by adding sterile, distilled water to achieve a final antibody concentration of 1mg/ml.

Alternate Names for GAP-43 Antibody (CL10855) - Azide and BSA Free

  • Axonal membrane protein GAP-43
  • B-50
  • Basp2
  • calmodulin-binding protein P-57
  • GAP43
  • GAP-43
  • growth associated protein 43
  • Growth-associated protein 43
  • nerve growth-related peptide GAP43
  • Neural phosphoprotein B-50
  • Neuromodulin
  • neuron growth-associated protein 43
  • PP46
  • protein F1

Background

GAP43 (Growth associated protein 43) is a crucial component for regenerative response in the nervous system. GAP-43 is normally produced by neurons during developmental growth and axonal regeneration, but it is also expressed in specific regions of the normal adult nervous system. The protein is present at high levels in neuronal growth cones during development and axonal regeneration.

Heterozygous GAP3 knockout mice with GAP-43 levels reduced by one-half display significant memory impairments in cued conditioning, or on tests of nociceptive or auditory perception. Differentiating neurons that do not express GAP-43 show mislocalization of the centrosome and mitotic spindles, particularly in neurogenic cell divisions. Therefore, the neuronal precursor pool in the cerebellum fails to grow resulting in a cerebellum that is significantly smaller than normal. Total GAP-43 deletion is lethal within days of birth, demonstrating that GAP-43 is critical for the proper development of the mammalian CNS.

Limitations

This product is for research use only and is not approved for use in humans or in clinical diagnosis. Primary Antibodies are guaranteed for 1 year from date of receipt.

Customers Who Viewed This Item Also Viewed...

NB300-143
Species: Bv, Ca, Ch, Dr, Eq, Hu, Mu, Po, Pm, Rt
Applications: Flow, ICC/IF, IHC, IHC-Fr,  IHC-P, WB
AF7947
Species: Hu, Mu, Rt
Applications: ELISA, IHC, Simple Western, WB
NBP2-14871
Species: Mu, Rt
Applications: ICC/IF, WB
NBP2-82026
Species: Hu, Mu, Rt
Applications: ELISA, ICC/IF, IHC,  IHC-P, WB
NBP2-15669
Species: Mu, Rt, Ze
Applications: IHC-WhMt, IHC, WB
NB120-2860
Species: Ba, Bv, Ch, Hu, Mu, Rt
Applications: ELISA, Flow, ICC/IF, IHC,  IHC-P, WB
NB300-141
Species: Bv, Ch, Eq, Gp, Hu, Mu, Po, Rb, Rt
Applications: ICC/IF, IHC, IHC-Fr,  IHC-P, Simple Western, WB
NB300-653
Species: Ch, Fe, Hu, Pm, Mu, Rt
Applications: ELISA, ICC/IF, IHC, IHC-Fr,  IHC-P, IP, WB
DBD00
Species: Hu
Applications: ELISA
NB300-109
Species: Ch, Dr, Hu, I, Ma, Mu, Rt
Applications: Dual ISH-IHC, ICC/IF, IHC-FrFl, IHC-WhMt, IHC, IHC-Fr,  IHC-P, KO, Simple Western, WB
256-GF
Species: Hu
Applications: BA
NB300-213
Species: Fe, Hu, Mu, Rt
Applications: ICC/IF, IHC, IHC-Fr,  IHC-P, KD, WB
NB110-74751
Species: Hu, Mu, Rt
Applications: ICC/IF, IHC,  IHC-P, WB
NB120-14817
Species: Hu, Rt
Applications: ICC/IF, IHC, S-ELISA, WB
AF1052
Species: Hu
Applications: CyTOF-ready, Flow, IHC, Simple Western, WB
267-N3
Species: Hu
Applications: BA
NBP1-46535
Species: Hu, Mu, Rb, Rt, Xp
Applications: ICC/IF, IHC-FrFl, IHC, IHC-Fr,  IHC-P, WB
NBP3-44283
Species: Hu
Applications: IHC

Publications for GAP-43 Antibody (NBP3-44283) (0)

There are no publications for GAP-43 Antibody (NBP3-44283).
By submitting your publication information earn gift cards and discounts for future purchases.

Reviews for GAP-43 Antibody (NBP3-44283) (0)

There are no reviews for GAP-43 Antibody (NBP3-44283). By submitting a review you will receive an Amazon e-Gift Card or Novus Product Discount.
  • Review with no image -- $10/€7/£6/$10 CAD/¥70 Yuan/¥1110 Yen
  • Review with an image -- $25/€18/£15/$25 CAD/¥150 Yuan/¥2500 Yen

Product General Protocols

Find general support by application which include: protocols, troubleshooting, illustrated assays, videos and webinars.

FAQs for GAP-43 Antibody (NBP3-44283) (0)

There are no specific FAQs related to this product. Read our general customer & technical service FAQs.

Secondary Antibodies

 

Isotype Controls

Additional GAP-43 Products

Research Areas for GAP-43 Antibody (NBP3-44283)

Find related products by research area.

Blogs on GAP-43.

Synapsin I: Implicated in synaptic activity across a diverse range of studies
Synapsins are a family of neuronal proteins that are most renowned for their activity in modulating the pre-synaptic terminal.  Synapsin’s behavior is regulated by protein kinases and phosphatases, which alter the way that synapsin’s i...  Read full blog post.

Customers Who Bought This Also Bought

Contact Information

Product PDFs

Calculators

Concentration Calculator

The concentration calculator allows you to quickly calculate the volume, mass or concentration of your vial. Simply enter your mass, volume, or concentration values for your reagent and the calculator will determine the rest.

=
÷

Review this Product

Be the first to review our GAP-43 Antibody (CL10855) - Azide and BSA Free and receive a gift card or discount.

Bioinformatics

Gene Symbol GAP43