FOXL2 Antibody (CL12753) - Azide and BSA Free

Images

 
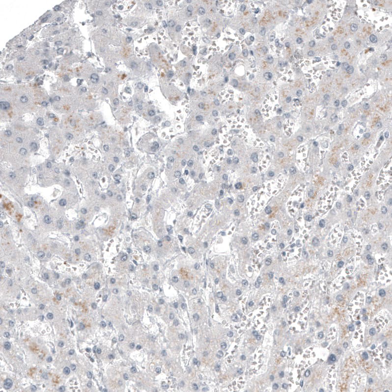
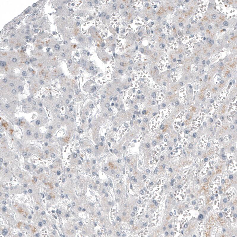
Orthogonal Strategies: Analysis in human ovary and liver tissues using NBP3-44387 antibody. Corresponding FOXL2 RNA-seq data are presented for the same tissues.
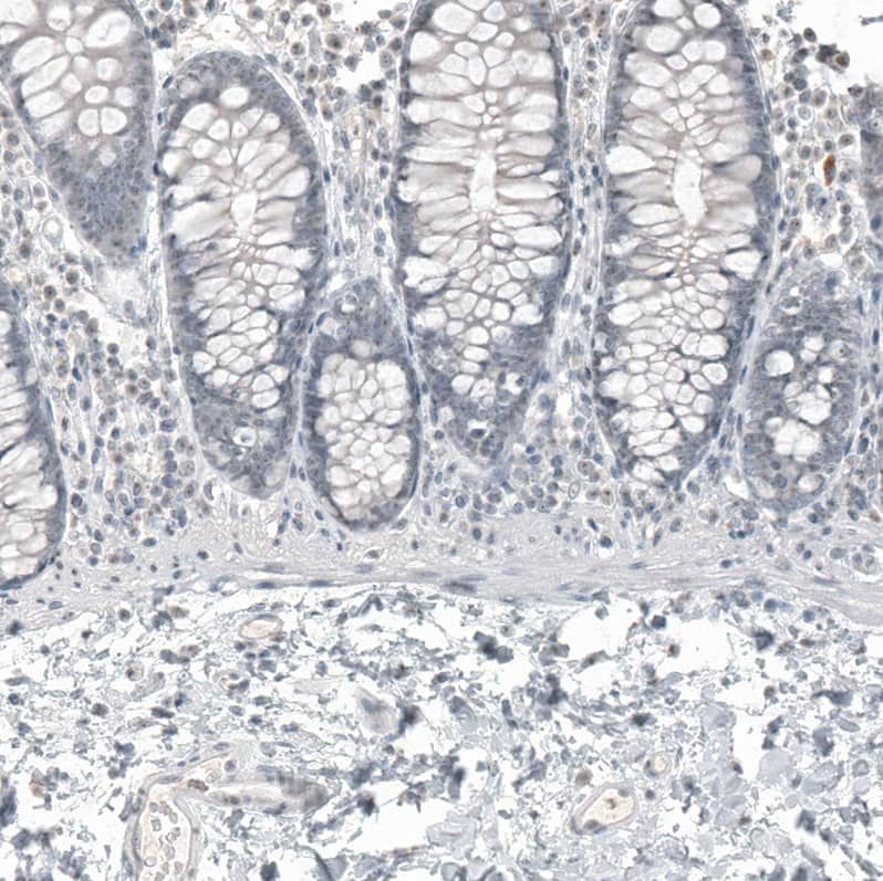
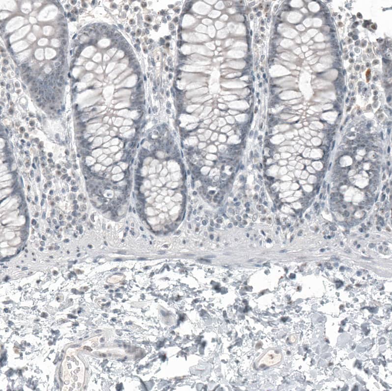
Staining of human colon shows no positivity in glandular cells as expected.
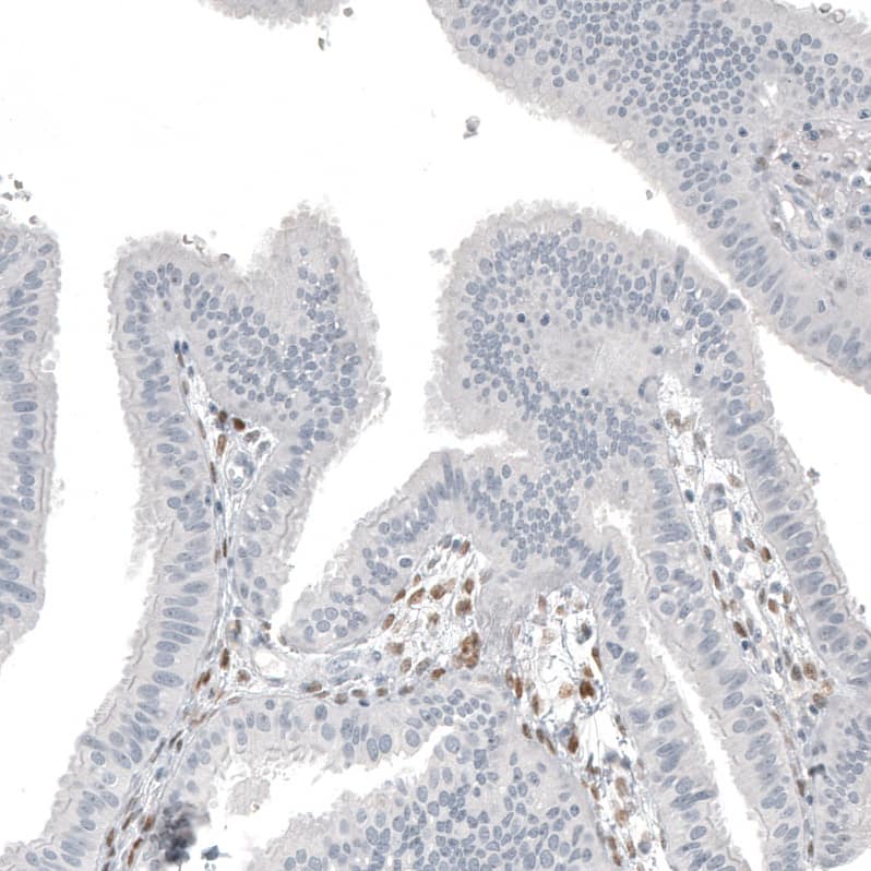
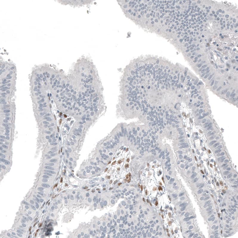
Staining of human fallopian tube shows moderate nuclear positivity in stromal cells.
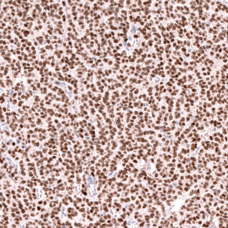
Staining of human ovarian cancer (sex cord tumor) shows strong nuclear positivity in tumor cells.
Staining of human liver shows no positivity in hepatocytes as expected.
Staining of human ovary shows moderate to strong nuclear positivity in follicle (granulosa) cells.
Staining of human ovarian cancer (granulosa cell tumour) shows strong nuclear positivity in tumor cells.
Analysis in human cell line K562.

Product Details

Summary
Reactivity HuSpecies Glossary
Applications WB, IHC
Clone
CL12753
Clonality
Monoclonal
Host
Mouse
Conjugate
Unconjugated
Format
Azide and BSA Free
Concentration
LYOPH
Validated by:
       

Orthogonal Strategies

 

Order Details

FOXL2 Antibody (CL12753) - Azide and BSA Free Summary

Description
Novus Biologicals Mouse FOXL2 Antibody (CL12753) - Azide and BSA Free (NBP3-18569) is a monoclonal antibody validated for use in IHC and WB. All Novus Biologicals antibodies are covered by our 100% guarantee.
Immunogen
This antibody was generated using a synthetic peptide of P58012, with the exact immunogen sequence remaining proprietary.
Isotype
IgG3
Clonality
Monoclonal
Host
Mouse
Gene
FOXL2
Purity
Protein A purified
Innovator's Reward
Test in a species/application not listed above to receive a full credit towards a future purchase.

Applications/Dilutions

Dilutions
  • Immunohistochemistry-Paraffin 1:1000 - 1:2500
  • Western Blot 1 ug/ml
Application Notes
For use with IHC-Paraffin, HIER pH 6 retrieval is recommended.

Packaging, Storage & Formulations

Storage
Store at 4C short term. Aliquot and store at -20C long term. Avoid freeze-thaw cycles.
Buffer
Lyophilized from a 0.2 um filtered solution in PBS with Trehalose
Preservative
No Preservative
Concentration
LYOPH
Purity
Protein A purified
Reconstitution Instructions
Centrifuge the vial of lyophilized antibody at 12,000 x g for 20 seconds. Reconstitute by adding sterile, distilled water to achieve a final antibody concentration of 1mg/ml.

Alternate Names for FOXL2 Antibody (CL12753) - Azide and BSA Free

  • BPES
  • BPES1
  • BPES1PINTO
  • forkhead box L2
  • forkhead box protein L2
  • forkhead transcription factor FOXL2
  • FOXL2
  • PFRK
  • PINTO
  • POF3

Background

There are 2 forms of the blepharophimosis/ptosis/epicanthus inversus syndrome. In one form, called type I, eyelid abnormalities are associated with ovarian failure. In the second type, called type II, only the eyelid defects are found. Both types map to 3q23. Crisponi et al. (2001) refined the physical mapping of the BPES critical region and positionally cloned a novel, putative winged helix/forkhead transcription factor gene, FOXL2, in which they found mutations to produce truncated proteins in type I families and larger proteins in type II. Consistent with an involvement in those tissues, FOXL2 was selectively expressed in the mesenchyme of developing mouse eyelids and in adult ovarian follicles; in adult humans, it appeared predominantly in the ovary.

Limitations

This product is for research use only and is not approved for use in humans or in clinical diagnosis. Primary Antibodies are guaranteed for 1 year from date of receipt.

Customers Who Viewed This Item Also Viewed...

NB100-1596
Species: Hu, Mu, Pm, Rb, Rt
Applications: ICC/IF, IHC,  IHC-P, Simple Western, WB
NBP2-88921
Species: Hu
Applications: ICC/IF, IHC,  IHC-P, WB
AF3075
Species: Hu
Applications: ICC, Simple Western, WB
NBP2-01770
Species: Ca, Hu, Pm, Mu, Rt
Applications: Flow, ICC/IF, IHC,  IHC-P, WB
NBP1-85217
Species: Hu, Mu, Rt
Applications: ICC/IF, IHC,  IHC-P, WB
NBP1-84071
Species: Hu
Applications: IHC,  IHC-P, WB
NBP2-37463
Species: Hu
Applications: CyTOF-ready, ELISA, Flow, IHC,  IHC-P, WB
AF475
Species: Mu
Applications: IHC, WB
NBP1-30475
Species: Hu, Mu
Applications: IHC,  IHC-P, IP, WB
NBP1-80104
Species: Hu
Applications: WB
NBP1-83192
Species: Hu
Applications: ICC/IF, IHC,  IHC-P, WB
7150-RS/CF
Species: Mu
Applications: BA
PP-H7431-00
Species: Hu
Applications: WB
H00007536-M01
Species: Hu, Mu
Applications: ELISA, ICC/IF, IHC,  IHC-P, IP, WB
255-SC
Species: Hu
Applications: BA
5925-FS
Species: Hu, Mr
Applications: BA
NBP1-85368
Species: Hu, RM
Applications: ICC/IF, IHC,  IHC-P, WB
NBP2-01151
Species: Hu
Applications: Flow, IHC,  IHC-P, WB
DFN00
Species: Hu
Applications: ELISA
NBP3-44387
Species: Hu
Applications: WB, IHC

Publications for FOXL2 Antibody (NBP3-44387) (0)

There are no publications for FOXL2 Antibody (NBP3-44387).
By submitting your publication information earn gift cards and discounts for future purchases.

Reviews for FOXL2 Antibody (NBP3-44387) (0)

There are no reviews for FOXL2 Antibody (NBP3-44387). By submitting a review you will receive an Amazon e-Gift Card or Novus Product Discount.
  • Review with no image -- $10/€7/£6/$10 CAD/¥70 Yuan/¥1110 Yen
  • Review with an image -- $25/€18/£15/$25 CAD/¥150 Yuan/¥2500 Yen

Product General Protocols

Find general support by application which include: protocols, troubleshooting, illustrated assays, videos and webinars.

Video Protocols

WB Video Protocol

FAQs for FOXL2 Antibody (NBP3-44387) (0)

There are no specific FAQs related to this product. Read our general customer & technical service FAQs.

Secondary Antibodies

 

Isotype Controls

Additional FOXL2 Products

Research Areas for FOXL2 Antibody (NBP3-44387)

Find related products by research area.

Blogs on FOXL2

There are no specific blogs for FOXL2, but you can read our latest blog posts.

Customers Who Bought This Also Bought

Contact Information

Product PDFs

Calculators

Concentration Calculator

The concentration calculator allows you to quickly calculate the volume, mass or concentration of your vial. Simply enter your mass, volume, or concentration values for your reagent and the calculator will determine the rest.

=
÷

Review this Product

Be the first to review our FOXL2 Antibody (CL12753) - Azide and BSA Free and receive a gift card or discount.

Bioinformatics

Gene Symbol FOXL2