DMRT1 Antibody - BSA Free

Images

 
Immunohistochemistry-Paraffin: DMRT1 Antibody [NBP1-84071] - Staining of human liver shows no positivity in hepatocytes as expected.
Orthogonal Strategies: Immunohistochemistry-Paraffin: DMRT1 Antibody [NBP1-84071] - Analysis in human testis and fallopian tube tissues. Corresponding DMRT1 RNA-seq data are presented for the same tissues.
Immunohistochemistry-Paraffin: DMRT1 Antibody [NBP1-84071] - Staining of human fallopian tube shows no nuclear positivity in glandular cells as expected.
Staining of human stomach shows no positivity in glandular cells as expected.
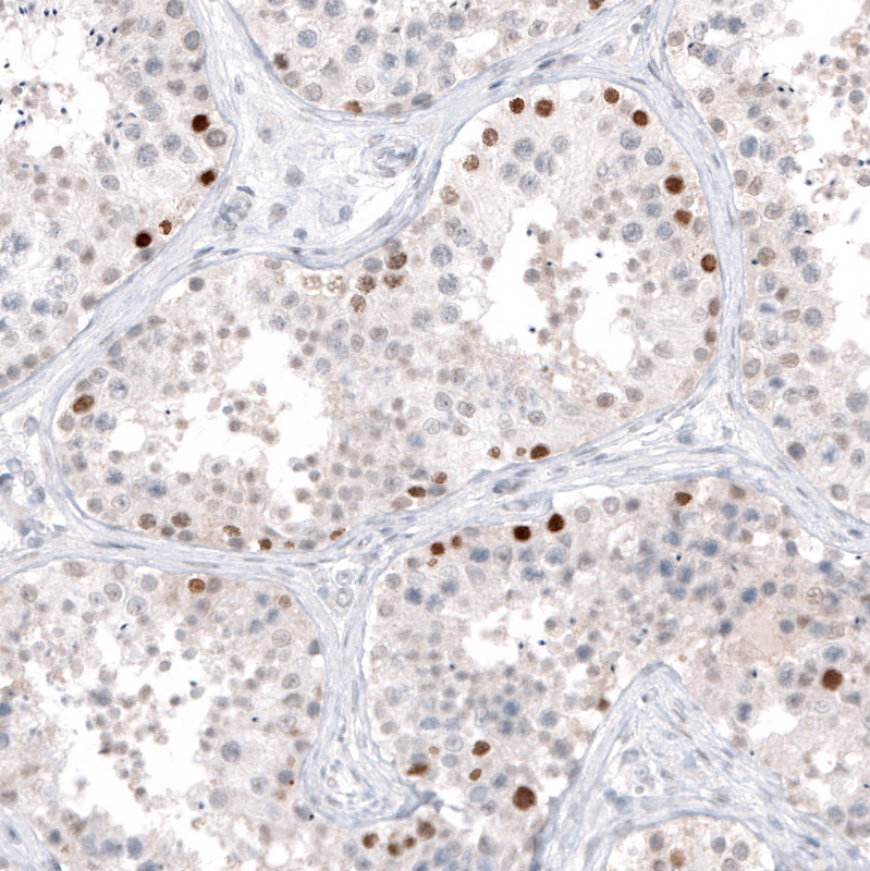
Staining of human testis shows strong nuclear positivity in a subset of cells in seminiferous ducts.
Analysis in control (vector only transfected HEK293T lysate) and DMRT1 over-expression lysate (Co-expressed with a C-terminal myc-DDK tag (~3.1 kDa) in mammalian HEK293T cells).

Product Details

Summary
Reactivity HuSpecies Glossary
Applications WB, IHC
Clonality
Polyclonal
Host
Rabbit
Conjugate
Unconjugated
Format
BSA Free
Validated by:
       

Orthogonal Strategies

 

Order Details

View Available Formulations
Catalog# & Formulation Size Price

DMRT1 Antibody - BSA Free Summary

Description
Novus Biologicals Rabbit DMRT1 Antibody - BSA Free (NBP1-84071) is a polyclonal antibody validated for use in IHC and WB. Anti-DMRT1 Antibody: Cited in 4 publications. All Novus Biologicals antibodies are covered by our 100% guarantee.
Immunogen
This antibody was developed against Recombinant Protein corresponding to amino acids: LAADSASGEVGNPLGGSPVKNSLRGLPGPYVPGQTGNQWQMKNMENRHAMSSQYRMHSYYPPPSYLGQSVPQFFTFEDAPSYPEARASVFSPPSSQDSGLVSLSSSSPISNKSTKAVLECEPASEPSSFTVTPVI
Isotype
IgG
Clonality
Polyclonal
Host
Rabbit
Gene
DMRT1
Purity
Immunogen affinity purified
Innovator's Reward
Test in a species/application not listed above to receive a full credit towards a future purchase.

Applications/Dilutions

Dilutions
  • Immunohistochemistry 1:1000 - 1:2500
  • Immunohistochemistry-Paraffin 1:1000-1:2500
  • Western Blot 0.04-0.4 ug/ml
Application Notes
IHC reported in scientific literature (PMID: 30067948). For IHC-Paraffin, HIER pH 6 retrieval is recommended.
Control Peptide
DMRT1 Protein (NBP1-84071PEP)
Publications
Read Publications using
NBP1-84071 in the following applications:

Reactivity Notes

Reactivity reported in scientific literature (PMID: 24598113)

Packaging, Storage & Formulations

Storage
Store at 4C short term. Aliquot and store at -20C long term. Avoid freeze-thaw cycles.
Buffer
PBS (pH 7.2) and 40% Glycerol
Preservative
0.02% Sodium Azide
Purity
Immunogen affinity purified

Alternate Names for DMRT1 Antibody - BSA Free

  • DM domain expressed in testis 1
  • DMT1DM domain expressed in testis protein 1
  • doublesex and mab-3 related transcription factor 1
  • doublesex- and mab-3-related transcription factor 1

Background

DMRT1 is found in a cluster with two other members of the gene family, having in common a zinc finger-like DNA-binding motif (DM domain). The DM domain is an ancient, conserved component of the vertebrate sex-determining pathway that is also a key regulator of male development in flies and nematodes. This gene exhibits a gonad-specific and sexually dimorphic expression pattern. Defective testicular development and XY feminization occur when this gene is hemizygous.

Limitations

This product is for research use only and is not approved for use in humans or in clinical diagnosis. Primary Antibodies are guaranteed for 1 year from date of receipt.

Customers Who Viewed This Item Also Viewed...

H00004891-M01
Species: Bv, Hu, Mu, Po
Applications: ELISA, ICC/IF, IHC,  IHC-P, IP, WB
NBP1-21502
Species: Bv, Hu, Mu, Po, Rt
Applications: Flow-IC, Flow, ICC/IF, IHC,  IHC-P, WB
NBP1-87221
Species: Hu
Applications: IHC,  IHC-P, WB
NB300-914
Species: Hu, Mu
Applications: IHC,  IHC-P, PEP-ELISA
DHP250
Species: Hu
Applications: ELISA
NBP3-41278
Species: Hu, Mu
Applications: IHC, WB
MAB8400
Species: Hu
Applications: CyTOF-ready, Flow, WB
NBP2-88921
Species: Hu
Applications: ICC/IF, IHC,  IHC-P, WB
NBP1-85551
Species: Ca, Hu, Mu, Po, Rt
Applications: GS, ICC/IF, IHC, IHC-Fr,  IHC-P, KD, Simple Western, WB
NBP1-83250
Species: Hu
Applications: IHC,  IHC-P, WB
NB100-1596
Species: Hu, Mu, Pm, Rb, Rt
Applications: ICC/IF, IHC,  IHC-P, Simple Western, WB
NBP2-80524
Species: Hu, Mu, Rt
Applications: IHC,  IHC-P, WB
NBP2-37463
Species: Hu
Applications: CyTOF-ready, ELISA, Flow, IHC,  IHC-P, WB
NBP1-87677
Species: Hu, Mu, Rt
Applications: ICC/IF, IHC,  IHC-P, WB
NBP3-15868
Species: Hu, Mu, Rt
Applications: ELISA, ICC/IF, IHC,  IHC-P, WB
NB100-1277
Species: Bv, Ma, Hu, Mu
Applications: ChIP, ICC/IF, IHC-WhMt, IHC, IHC-Fr,  IHC-P, PEP-ELISA, WB

Publications for DMRT1 Antibody (NBP1-84071)(4)

Reviews for DMRT1 Antibody (NBP1-84071) (0)

There are no reviews for DMRT1 Antibody (NBP1-84071). By submitting a review you will receive an Amazon e-Gift Card or Novus Product Discount.
  • Review with no image -- $10/€7/£6/$10 CAD/¥70 Yuan/¥1110 Yen
  • Review with an image -- $25/€18/£15/$25 CAD/¥150 Yuan/¥2500 Yen

Product General Protocols

Find general support by application which include: protocols, troubleshooting, illustrated assays, videos and webinars.

Video Protocols

WB Video Protocol

FAQs for DMRT1 Antibody (NBP1-84071) (0)

There are no specific FAQs related to this product. Read our general customer & technical service FAQs.

Customers Who Bought This Also Bought

Contact Information

Product PDFs

Calculators

Concentration Calculator

The concentration calculator allows you to quickly calculate the volume, mass or concentration of your vial. Simply enter your mass, volume, or concentration values for your reagent and the calculator will determine the rest.

=
÷

Review this Product

Be the first to review our DMRT1 Antibody - BSA Free and receive a gift card or discount.

Bioinformatics

Gene Symbol DMRT1