FoxJ1/HFH4 Antibody (CL3989) - Azide and BSA Free

Images

 
Orthogonal Strategies: Analysis in human fallopian tube and skeletal muscle tissues using NBP3-44120 antibody. Corresponding FoxJ1/HFH4 RNA-seq data are presented for the same tissues.
Staining of BEWO cells using the Anti-FoxJ1/HFH4 monoclonal antibody) .
Staining of human endometrium shows strong nuclear positivity in a subset of glandular cells.
Staining of human fallopian tube shows moderate to strong nuclear positivity in glandular cells.
Staining of human skeletal muscle shows no positivity in myocytes as expected.
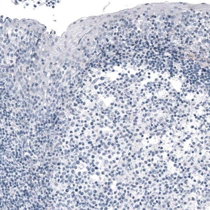
Staining of human tonsil shows no positivity in germinal center cells as expected.

Product Details

Summary
Reactivity HuSpecies Glossary
Applications ICC/IF, IHC
Clone
CL3989
Clonality
Monoclonal
Host
Mouse
Conjugate
Unconjugated
Format
Azide and BSA Free
Concentration
LYOPH
Validated by:
       

Orthogonal Strategies

 

Order Details

FoxJ1/HFH4 Antibody (CL3989) - Azide and BSA Free Summary

Description
Novus Biologicals Mouse FoxJ1/HFH4 Antibody (CL3989) - Azide and BSA Free (NBP2-59032) is a monoclonal antibody validated for use in IHC and ICC/IF. All Novus Biologicals antibodies are covered by our 100% guarantee.
Immunogen
This antibody was generated using a recombinant protein sequence of Q92949, with the exact immunogen sequence remaining proprietary.
Isotype
IgG1
Clonality
Monoclonal
Host
Mouse
Gene
FOXJ1
Purity
Protein A purified
Innovator's Reward
Test in a species/application not listed above to receive a full credit towards a future purchase.

Applications/Dilutions

Dilutions
  • Immunocytochemistry/ Immunofluorescence 2-10 ug/ml
  • Immunohistochemistry-Paraffin 1:1000 - 1:2000
Application Notes
For IHC-Paraffin, HIER pH 6 retrieval is recommended. For Immunocytochemistry/ Immunofluorescence/IF, PFA/Triton X-100 is recommended for fixation/permeabilization.

Packaging, Storage & Formulations

Storage
Store at 4C short term. Aliquot and store at -20C long term. Avoid freeze-thaw cycles.
Buffer
Lyophilized from a 0.2 um filtered solution in PBS with Trehalose
Preservative
No Preservative
Concentration
LYOPH
Purity
Protein A purified
Reconstitution Instructions
Centrifuge the vial of lyophilized antibody at 12,000 x g for 20 seconds. Reconstitute by adding sterile, distilled water to achieve a final antibody concentration of 1mg/ml.

Alternate Names for FoxJ1/HFH4 Antibody (CL3989) - Azide and BSA Free

  • FKHL13
  • FKHL13forkhead transcription factor HFH-4
  • forkhead box J1
  • forkhead-like 13
  • Forkhead-related protein FKHL13
  • FoxJ1
  • Hepatocyte nuclear factor 3 forkhead homolog 4
  • HFH-4
  • HFH4fork head homologue 4
  • HFH-4forkhead box protein J1
  • MGC35202

Background

FOXJ1 is a member of the forkhead gene family, which was originally identified in Drosophila. The forkhead family is composed of transcription factors with a conserved 100-amino acid DNA-binding motif.[supplied by OMIM]

Limitations

This product is for research use only and is not approved for use in humans or in clinical diagnosis. Primary Antibodies are guaranteed for 1 year from date of receipt.

Customers Who Viewed This Item Also Viewed...

MAB4218
Species: Hu
Applications: IHC, WB
NBP2-16518
Species: Hu, Mu
Applications: ICC/IF, IHC,  IHC-P, WB
AF2400
Species: Hu
Applications: ChIP, ICC, IHC, WB
NBP1-87201
Species: Hu
Applications: IHC,  IHC-P, WB
NBP2-45269
Species: Hu
Applications: Flow, ICC/IF, IHC,  IHC-P, WB
NBP1-84671
Species: Hu
Applications: ChIP-EXO-SEQ, IHC,  IHC-P, WB
NBP2-44501
Species: Hu, Mu, Rt
Applications: Flow, ICC/IF, IF, IHC,  IHC-P
AF4186
Species: Hu
Applications: ICC, WB
NBP2-16521
Species: Hu, Mu, Rt, Sq, Xp
Applications: ChIP, ICC/IF, IHC,  IHC-P, IP, KD, WB
NBP2-72338
Species: Hu
Applications: Flow, IHC,  IHC-P, WB
DY413
Species: Mu
Applications: ELISA
AF7388
Species: Hu
Applications: IHC
NB100-56583
Species: Hu, Rb, Rt
Applications: Flow, IHC,  IHC-P, KO, Simple Western, WB
314-BP
Species: Hu
Applications: BA, BA
H00006439-P01
Species: Hu
Applications: ELISA, AP, PA, WB
NBP2-87461
Species: Hu, Mu
Applications: IHC,  IHC-P, WB
NBP3-27122
Species: Hu
Applications: ELISA, Flow, ICC/IF, IHC,  IHC-P, WB
233-FB
Species: Hu
Applications: BA
NBP3-44120
Species: Hu
Applications: ICC/IF, IHC

Publications for FoxJ1/HFH4 Antibody (NBP3-44120) (0)

There are no publications for FoxJ1/HFH4 Antibody (NBP3-44120).
By submitting your publication information earn gift cards and discounts for future purchases.

Reviews for FoxJ1/HFH4 Antibody (NBP3-44120) (0)

There are no reviews for FoxJ1/HFH4 Antibody (NBP3-44120). By submitting a review you will receive an Amazon e-Gift Card or Novus Product Discount.
  • Review with no image -- $10/€7/£6/$10 CAD/¥70 Yuan/¥1110 Yen
  • Review with an image -- $25/€18/£15/$25 CAD/¥150 Yuan/¥2500 Yen

Product General Protocols

Find general support by application which include: protocols, troubleshooting, illustrated assays, videos and webinars.

Video Protocols

ICC/IF Video Protocol

FAQs for FoxJ1/HFH4 Antibody (NBP3-44120) (0)

There are no specific FAQs related to this product. Read our general customer & technical service FAQs.

Secondary Antibodies

 

Isotype Controls

Additional FoxJ1/HFH4 Products

Research Areas for FoxJ1/HFH4 Antibody (NBP3-44120)

Find related products by research area.

Blogs on FoxJ1/HFH4

There are no specific blogs for FoxJ1/HFH4, but you can read our latest blog posts.

Customers Who Bought This Also Bought

Contact Information

Product PDFs

Calculators

Concentration Calculator

The concentration calculator allows you to quickly calculate the volume, mass or concentration of your vial. Simply enter your mass, volume, or concentration values for your reagent and the calculator will determine the rest.

=
÷

Review this Product

Be the first to review our FoxJ1/HFH4 Antibody (CL3989) - Azide and BSA Free and receive a gift card or discount.

Bioinformatics

Gene Symbol FOXJ1