Fibronectin Antibody (CL3730) - Azide and BSA Free

Images

 
Lane 1: Marker [kDa] 250, 130, 100, 70, 55, 35, 25, 15, 10Lane 2: Human cell line U-87 MG
Staining of human breast cancer shows strong immunoreactivity in tumor stroma.
Staining of human liver cancer shows strong positivity in tumor.
Staining of human endometrium shows strong immunoreactivity in endometrial stroma and basement membrane of glandular cells.
Staining of human prostate shows moderate positivity in smooth muscle.
Staining of human placenta shows strong immunoreactivity in chorionic villi.
Staining of human pancreas shows absence of immunoreactivity in glandular cells (negative control).
Staining of human testis shows immunoreactivity in the connective tissue surrounding seminiferous tubules.
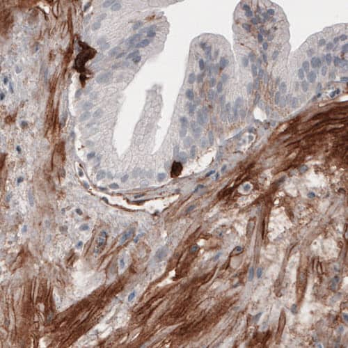
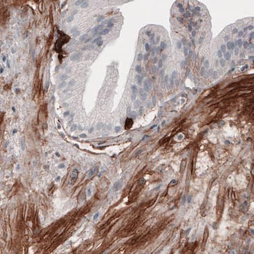
Staining of human small intestine shows strong immunoreactivity in the connective tissue.

Product Details

Summary
Reactivity HuSpecies Glossary
Applications WB, IHC
Clone
CL3730
Clonality
Monoclonal
Host
Mouse
Conjugate
Unconjugated
Format
Azide and BSA Free
Concentration
LYOPH

Order Details

Fibronectin Antibody (CL3730) - Azide and BSA Free Summary

Description
Novus Biologicals Mouse Fibronectin Antibody (CL3730) - Azide and BSA Free (NBP2-61633) is a monoclonal antibody validated for use in IHC and WB. All Novus Biologicals antibodies are covered by our 100% guarantee.
Immunogen
This antibody was generated using a recombinant protein sequence of P02751, with the exact immunogen sequence remaining proprietary.
Isotype
IgG1
Clonality
Monoclonal
Host
Mouse
Gene
FN1
Purity
Protein A purified
Innovator's Reward
Test in a species/application not listed above to receive a full credit towards a future purchase.

Applications/Dilutions

Dilutions
  • Immunohistochemistry-Paraffin 1:1000 - 1:2500
  • Western Blot 1 ug/ml
Application Notes
IHC-Paraffin HIER pH6 retrieval is recommended.

Packaging, Storage & Formulations

Storage
Store at 4C short term. Aliquot and store at -20C long term. Avoid freeze-thaw cycles.
Buffer
Lyophilized from a 0.2 um filtered solution in PBS with Trehalose
Preservative
No Preservative
Concentration
LYOPH
Purity
Protein A purified
Reconstitution Instructions
Centrifuge the vial of lyophilized antibody at 12,000 x g for 20 seconds. Reconstitute by adding sterile, distilled water to achieve a final antibody concentration of 1mg/ml.

Alternate Names for Fibronectin Antibody (CL3730) - Azide and BSA Free

  • CIG
  • ED-B
  • fibronectin 1
  • Fibronectin
  • FINC
  • FN
  • FN1
  • FNZ
  • GFND
  • GFND2
  • LETS
  • MSF
  • SMDCF

Background

Fibronectin (also known as FN1, or Fibronectin 1) is an extracellular matrix glycoprotein that binds to integrins and has a large role in cell adhesion, migration, differentiation, and growth. It plays a key role in wound healing by helping form blood clots and participates in embryonic development by guiding cell attachment and migration. Fibronectin consists of two monomers linked by disulfide bonds and binds extracellular components such as collagen fibrin and syndecans. Fibronectin has been implicated in carcinoma and tumor development while also limiting tumor cells response to treatment. Novus offers Fibronectin antibodies, ELISA Kits, lysates, and proteins

Limitations

This product is for research use only and is not approved for use in humans or in clinical diagnosis. Primary Antibodies are guaranteed for 1 year from date of receipt.

Customers Who Viewed This Item Also Viewed...

2308-VN
Species: Hu
Applications: BA
MAB1455
Species: Hu
Applications: CyTOF-ready, Dual ISH-IHC, ICC, IHC, ICFlow, Simple Western, WB
AF4467
Species: Hu, Mu, Rt
Applications: IHC, KO, WB
NB110-68136
Species: Fe, Hu, Mu, Rt
Applications: CyTOF-ready, ELISA, Flow-IC, Flow, ICC/IF, IHC, IHC-Fr,  IHC-P, WB
MAB17781
Species: Hu
Applications: Block, CyTOF-ready, Flow, ICC, IP, KO
M6000B
Species: Mu
Applications: ELISA
236-EG
Species: Hu
Applications: BA
AF1230
Species: Hu, Mu, Rt
Applications: IHC, KO, WB
NB600-930
Species: Hu, Rt
Applications: ELISA, WB
BBA10
Species: Hu
Applications: CyTOF-ready, Flow, IHC, IP, KO, Simple Western, WB
7268-CT
Species: Hu
Applications: BA
NBP2-79843
Species: Hu
Applications: CyTOF-ready, ELISA, Flow, ICC/IF, IHC,  IHC-P, PA, WB
NB100-524
Species: Hu, Mu
Applications: Flow-IC, Flow, ICC/IF, IHC, IHC-Fr,  IHC-P, IP, WB
MMP200
Species: Ca, Hu, Mu, Po, Rt
Applications: ELISA
NB600-586
Species: Ca, Fe, Hu, Mu
Applications: Dual ISH-IHC, ICC/IF, IHC, IHC-Fr,  IHC-P
NB300-223
Species: Bv, Ca, Ch, Eq, Hu, Mu, Po, Rt
Applications: ICC/IF, IHC, IHC-Fr,  IHC-P, WB
NBP2-22203
Species: Hu, Pm, Mu, Rt
Applications: ELISA, Flow, ICC/IF, IHC,  IHC-P, WB
NBP3-43942
Species: Hu
Applications: WB, IHC

Publications for Fibronectin Antibody (NBP3-43942) (0)

There are no publications for Fibronectin Antibody (NBP3-43942).
By submitting your publication information earn gift cards and discounts for future purchases.

Reviews for Fibronectin Antibody (NBP3-43942) (0)

There are no reviews for Fibronectin Antibody (NBP3-43942). By submitting a review you will receive an Amazon e-Gift Card or Novus Product Discount.
  • Review with no image -- $10/€7/£6/$10 CAD/¥70 Yuan/¥1110 Yen
  • Review with an image -- $25/€18/£15/$25 CAD/¥150 Yuan/¥2500 Yen

Product General Protocols

Find general support by application which include: protocols, troubleshooting, illustrated assays, videos and webinars.

Video Protocols

WB Video Protocol

FAQs for Fibronectin Antibody (NBP3-43942) (0)

There are no specific FAQs related to this product. Read our general customer & technical service FAQs.

Secondary Antibodies

 

Isotype Controls

Additional Fibronectin Products

Research Areas for Fibronectin Antibody (NBP3-43942)

Find related products by research area.

Blogs on Fibronectin.

Nickel induces migratory and invasive phenotype in human epithelial cells by epigenetically activating ZEB1
By Jamshed Arslan Pharm.D. Nickel (Ni) is a naturally abundant metallic element. It is a major component of stainless steel, coins, and many other items of daily use. Disturbingly, Ni exposure is associated with can...  Read full blog post.

Bad news for stomach cancer: BAMBI protein inhibits gastric carcinoma via TGF-beta/epithelial-mesenchymal transition signaling
By Jamshed Arslan Pharm.D. Gastric carcinoma is the second leading cause of cancer-related deaths worldwide. One of the key features of gastric carcinoma is acidosis, which promotes growth and metastasis of gastric ...  Read full blog post.

Alpha-smooth muscle actin and the modulation of endothelial and epithelial cell biology
Actin is essential for a wide range of cell functions, ranging from cell division and chromatin remodeling to vesicle trafficking and maintenance of cellular structure. In fact, mislocalization of actin to cell junctions during development leads t...  Read full blog post.

Epithelial-Mesenchymal Transition (EMT) Markers
Epithelial-Mesenchymal Transition (EMT) is the trans-differentiation of stationary epithelial cells into motile mesenchymal cells. During EMT, epithelial cells lose their junctions and apical-basal polarity, reorganize their cytoskeleton, undergo a...  Read full blog post.

Fibronectin: Organizing Cell Activity across the ECM
Fibronectin is a glycoprotein found in the extracellular matrix (ECM) that binds to integrins and other components of the ECM such as collagen and fibrin. Under normal physiological conditions, fibronectin is an important factor in cell adhesion, grow...  Read full blog post.

Using the Laminin Antibody in Angiogenesis Research
Laminin is one of a large number of proteins expressed on the basal laminar of the ECM (extracellular matrix). The laminin antibody database covers several proteins, which interact with integrins and other receptor proteins to support cellular differe...  Read full blog post.

Customers Who Bought This Also Bought

Contact Information

Product PDFs

Calculators

Concentration Calculator

The concentration calculator allows you to quickly calculate the volume, mass or concentration of your vial. Simply enter your mass, volume, or concentration values for your reagent and the calculator will determine the rest.

=
÷

Review this Product

Be the first to review our Fibronectin Antibody (CL3730) - Azide and BSA Free and receive a gift card or discount.

Bioinformatics

Gene Symbol FN1