FHL2 Antibody

Images

 
Western Blot: FHL2 Antibody [NBP1-31262] - Sample (30 ug of whole cell lysate) A: Hep G2 12% SDS PAGE; antibody diluted at 1:1000.
Immunocytochemistry/ Immunofluorescence: FHL2 Antibody [NBP1-31262] - Analysis of HeLa, using FHL2 antibody at 1:200 dilution.
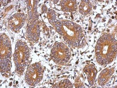
Immunohistochemistry-Paraffin: FHL2 Antibody [NBP1-31262] - Paraffin-embedded Colon ca, using antibody at 1:500 dilution.

Product Details

Summary
Product Discontinued
View other related FHL2 Primary Antibodies

Order Details


    • Catalog Number
      NBP1-31262
    • Availability
      Product Discontinued

    Can't find what you are looking for? Use our Antibody Concierge Service & we will help you locate your antibody!

    Or feel free to contact us for alternative products.

FHL2 Antibody Summary

Immunogen
Carrier-protein conjugated synthetic peptide encompassing a sequence within the C-terminus region of human FHL2. The exact sequence is proprietary.
Localization
Cytoplasm, Nucleus
Predicted Species
Mouse (100%), Rat (100%), Bovine (100%). Backed by our 100% Guarantee.
Isotype
IgG
Clonality
Polyclonal
Host
Rabbit
Gene
FHL2
Purity
Immunogen affinity purified
Innovator's Reward
Test in a species/application not listed above to receive a full credit towards a future purchase.

Applications/Dilutions

Dilutions
  • Immunocytochemistry/ Immunofluorescence 1:100-1:1000
  • Immunohistochemistry 1:100-1:1000
  • Immunohistochemistry-Paraffin 1:100-1:1000
  • Western Blot 1:500-1:3000
Theoretical MW
32 kDa.
Disclaimer note: The observed molecular weight of the protein may vary from the listed predicted molecular weight due to post translational modifications, post translation cleavages, relative charges, and other experimental factors.
Reviewed Applications
Read 1 Review rated 5
using
NBP1-31262 in the following applications:

Publications
Read Publication using
NBP1-31262 in the following applications:

  • WB
    1 publication

Packaging, Storage & Formulations

Storage
Aliquot and store at -20C or -80C. Avoid freeze-thaw cycles.
Buffer
0.1M Tris (pH 7), 0.1M Glycine, 10% Glycerol
Preservative
0.01% Thimerosal
Purity
Immunogen affinity purified

Alternate Names for FHL2 Antibody

  • AAG11
  • down-regulated in rhabdomyosarcoma LIM protein
  • DRAL
  • DRALAAG11
  • FHL2
  • FHL-2
  • four and a half LIM domains 2
  • four and a half LIM domains protein 2
  • four and a half LIM-domain protein 2
  • LIM domain protein DRAL
  • Skeletal muscle LIM-protein 3
  • SLIM3
  • SLIM-3
  • SLIM3aging-associated gene 11

Background

LIM proteins contain a highly conserved double zinc finger motif called the LIM domain.[supplied by OMIM]

Limitations

This product is for research use only and is not approved for use in humans or in clinical diagnosis. Primary Antibodies are guaranteed for 1 year from date of receipt.

Customers Who Viewed This Item Also Viewed...

NB100-41385
Species: Hu, Mu
Applications: ICC/IF, IHC,  IHC-P, KD, PEP-ELISA, WB
NBP1-84843
Species: Hu
Applications: ICC/IF, IHC,  IHC-P, WB
NB100-56603
Species: Ca, Hu, Mu, Pm, Rt
Applications: IHC,  IHC-P, WB
NBP3-46321
Species: Hu, Mu, Rt
Applications: ELISA, IHC, IP, WB
NBP1-80833
Species: Hu, Rt
Applications: ICC/IF, IHC,  IHC-P, WB
NBP1-84841
Species: Hu
Applications: ICC/IF, IHC,  IHC-P, WB
MAB5938
Species: Hu
Applications: ICC, WB
NBP1-89549
Species: Hu, Mu, Rt
Applications: ICC/IF, IHC,  IHC-P, WB
NBP1-88071
Species: Hu, Rt
Applications: ICC/IF, IHC,  IHC-P
NBP1-86122
Species: Hu
Applications: IHC,  IHC-P, WB
NBP1-97512
Species: Mu
Applications: ICC/IF, IHC, IHC-Fr,  IHC-P, IP, WB
NBP3-17459
Species: Hu
Applications: ICC/IF, IHC,  IHC-P, WB
NBP1-89146
Species: Hu
Applications: ICC/IF, IHC,  IHC-P
NBP2-38530
Species: Hu
Applications: ICC/IF, IHC,  IHC-P, WB
AF262
Species: Hu
Applications: ICC, IHC, Neut, WB
AF5900
Species: Hu
Applications: WB
NBP2-67471
Species: Hu, Mu, Rt
Applications: ICC/IF, IHC,  IHC-P, WB
NBP2-29463
Species: Pm, Hu, Pm, Mu
Applications: Flow, ICC/IF, IHC,  IHC-P, WB
NB100-74513
Species: Hu, Mu, Pm, Rt
Applications: ELISA, ICC/IF, IHC,  IHC-P, IP, WB
⚠ WARNING: This product can expose you to chemicals including mercury, which is known to the State of California to cause reproductive toxicity with developmental effects.  For more information go to www.P65Warnings.ca.gov.

Publications for FHL2 Antibody (NBP1-31262)(1)

We have publications tested in 1 confirmed species: Human.

We have publications tested in 1 application: WB.


Filter By Application
WB
(1)
All Applications
Filter By Species
Human
(1)
All Species

Review for FHL2 Antibody (NBP1-31262) (1) 51

Average Rating: 5
(Based on 1 review)
We have 1 review tested in 1 species: Rat.

Reviews using NBP1-31262:
Filter by Applications
Simple Western
(1)
All Applications
Filter by Species
Rat
(1)
All Species
Images Ratings Applications Species Date Details
Simple Western FHL2 NBP1-31262
Enlarge
5
reviewed by:
Verified Customer
Simple Western Rat 10/04/2022
View

Summary

ApplicationSimple Western
Sample Testedprimary neonatal ventricular cardiomyocytes
SpeciesRat
Lot39715
Comments***Novus Innovators Program - new species or application used on a primary antibody.***

Comments

Comments***Bio-Techne Response: This review was submitted through the legacy Novus Innovators Program, reflecting a new species or application tested on a primary antibody.***

Product General Protocols

Find general support by application which include: protocols, troubleshooting, illustrated assays, videos and webinars.

Video Protocols

WB Video Protocol
ICC/IF Video Protocol

FAQs for FHL2 Antibody (NBP1-31262) (0)

There are no specific FAQs related to this product. Read our general customer & technical service FAQs.

Secondary Antibodies

 

Isotype Controls

Additional FHL2 Products

Research Areas for FHL2 Antibody (NBP1-31262)

Find related products by research area.

Blogs on FHL2

There are no specific blogs for FHL2, but you can read our latest blog posts.

Contact Information

Product PDFs

Calculators

Concentration Calculator

The concentration calculator allows you to quickly calculate the volume, mass or concentration of your vial. Simply enter your mass, volume, or concentration values for your reagent and the calculator will determine the rest.

=
÷

Recent Reviews

5
5
1
4
0
3
0
2
0
1
0

Verified Customer
10/04/2022
Application: Simple Western
Species: Rat

Bioinformatics

Gene Symbol FHL2