| Reactivity | Hu, Mu, RtSpecies Glossary |
| Applications | WB, IHC |
| Clonality | Polyclonal |
| Host | Sheep |
| Conjugate | Unconjugated |
| Concentration | LYOPH |
| Immunogen | E. coli-derived recombinant human FBPase 1 Ala2-Gln338 (Arg218Lys) Accession # P09467 |
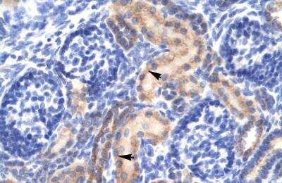
| Specificity | Detects human, mouse, rat FBPase 1 in Western blots and detects human FBPase 1 in direct ELISAs. |
| Source | N/A |
| Isotype | IgG |
| Clonality | Polyclonal |
| Host | Sheep |
| Gene | FBP1 |
| Innovator's Reward | Test in a species/application not listed above to receive a full credit towards a future purchase. |
| Storage | Use a manual defrost freezer and avoid repeated freeze-thaw cycles.
|
| Buffer | Lyophilized from a 0.2 μm filtered solution in PBS with Trehalose. *Small pack size (SP) is supplied as a 0.2 µm filtered solution in PBS. |
| Preservative | No Preservative |
| Concentration | LYOPH |
| Reconstitution Instructions | Sterile PBS to a final concentration of 0.2 mg/mL. |
FBPase 1 (Fructose 1,6 bisphosphatase 1 [Fru-1,6-P2ase]; also FBP-1 phosphohydrolase 1) is a 35-37 kDa member of the FBPase Class I family of enzymes. It is widely expressed, being found in cells diverse as monocytes, hepatocytes, pancreatic beta -cells and striated (skeletal plus cardiac) muscle cells. FBPase 1 converts Fru-1,6-P2 into Fru-6-P, a molecule that is subsequently used to generate glucose. Human FBPase 1 is 338 amino acids (aa) in length. It contains one catalytic region (aa 18-332) and an NLS between aa 203-208. FBPase 1 exhibits divalent cation dependency, and exists as a homotetramer within the cell. Full-length human FBPase 1 shares 85% aa sequence identity with mouse FBPase 1.
Secondary Antibodies |
Isotype Controls |
Diseases for FBPase 1 Antibody (AF7285)Discover more about diseases related to FBPase 1 Antibody (AF7285).
| Pathways for FBPase 1 Antibody (AF7285)View related products by pathway.
|
PTMs for FBPase 1 Antibody (AF7285)Learn more about PTMs related to FBPase 1 Antibody (AF7285).
|

The concentration calculator allows you to quickly calculate the volume, mass or concentration of your vial. Simply enter your mass, volume, or concentration values for your reagent and the calculator will determine the rest.