FATP5/SLC27A5 Antibody (CL0215) - Azide and BSA Free

Images

 
Orthogonal Strategies: Analysis in human liver and kidney tissues using NBP3-44039 antibody. Corresponding FATP5/SLC27A5 RNA-seq data are presented for the same tissues.
Lane 1: Marker [kDa]Lane 2: Human liver tissue lysate
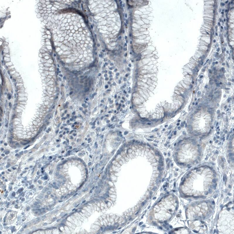
Staining of human duodenum shows no positivity in glandular cells as expected.
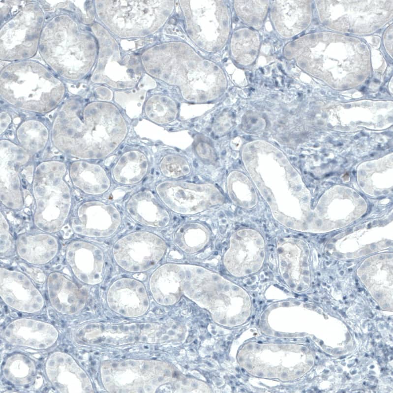
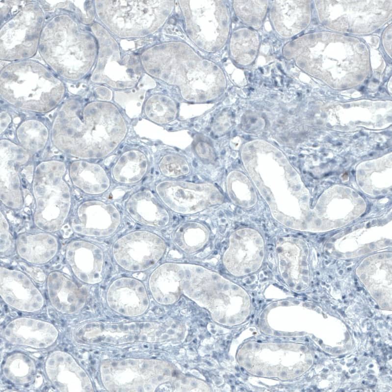
Staining of human kidney shows no positivity in cells in tubules as expected.
Staining of human liver shows strong cytoplasmic positivity in hepatocytes.
Staining of human pancreas shows no positivity in exocrine glandular cells as expected.

Product Details

Summary
Reactivity HuSpecies Glossary
Applications WB, IHC
Clone
CL0215
Clonality
Monoclonal
Host
Mouse
Conjugate
Unconjugated
Format
Azide and BSA Free
Concentration
LYOPH
Validated by:
       

Orthogonal Strategies

 

Order Details

FATP5/SLC27A5 Antibody (CL0215) - Azide and BSA Free Summary

Description
Novus Biologicals Mouse FATP5/SLC27A5 Antibody (CL0215) - Azide and BSA Free (NBP2-52880) is a monoclonal antibody validated for use in IHC and WB. All Novus Biologicals antibodies are covered by our 100% guarantee.
Immunogen
This antibody was generated using a recombinant protein sequence of Q9Y2P5, with the exact immunogen sequence remaining proprietary.
Isotype
IgG1
Clonality
Monoclonal
Host
Mouse
Gene
SLC27A5
Purity
Protein A purified
Innovator's Reward
Test in a species/application not listed above to receive a full credit towards a future purchase.

Applications/Dilutions

Dilutions
  • Immunohistochemistry-Paraffin 1:500 - 1:1000
  • Western Blot 1 ug/ml
Application Notes
For IHC-Paraffin, HIER pH 6 retrieval is recommended.

Packaging, Storage & Formulations

Storage
Store at 4C short term. Aliquot and store at -20C long term. Avoid freeze-thaw cycles.
Buffer
Lyophilized from a 0.2 um filtered solution in PBS with Trehalose
Preservative
No Preservative
Concentration
LYOPH
Purity
Protein A purified
Reconstitution Instructions
Centrifuge the vial of lyophilized antibody at 12,000 x g for 20 seconds. Reconstitute by adding sterile, distilled water to achieve a final antibody concentration of 1mg/ml.

Alternate Names for FATP5/SLC27A5 Antibody (CL0215) - Azide and BSA Free

  • ACSB
  • ACSBBACS
  • ACSVL6
  • ACSVL6BAL
  • BA-CoA ligase
  • Bile acid-CoA ligase
  • bile acyl-CoA synthetase
  • Cholate--CoA ligase
  • EC 6.2.1.7
  • FACVL3
  • FACVL3FATP-5
  • FATP5
  • FATP5Solute carrier family 27 member 5
  • Fatty acid transport protein 5
  • Fatty-acid-coenzyme A ligase, very long-chain 3
  • FLJ22987
  • SLC27A5
  • solute carrier family 27 (fatty acid transporter), member 5
  • VLACSR
  • VLACSRVery long-chain acyl-CoA synthetase homolog 2
  • VLCSH2
  • VLCSH2Very long-chain acyl-CoA synthetase-related protein
  • VLCS-H2VLACS-related

Background

SLC27A5 is encoded by this gene is an isozyme of very long-chain acyl-CoA synthetase (VLCS). It is capable of activating very long-chain fatty-acids containing 24- and 26-carbons. It is expressed in liver and associated with endoplasmic reticulum but not with peroxisomes. Its primary role is in fatty acid elongation or complex lipid synthesis rather than in degradation. This gene has a mouse ortholog. [provided by RefSeq]

Limitations

This product is for research use only and is not approved for use in humans or in clinical diagnosis. Primary Antibodies are guaranteed for 1 year from date of receipt.

Customers Who Viewed This Item Also Viewed...

MAB3304
Species: Hu
Applications: CyTOF-ready, ICC, ICFlow
NBP3-12391
Species: Hu, Mu, Rt
Applications: DB, ELISA, ICC/IF, IP, WB
NBP3-05516
Species: Hu
Applications: IHC,  IHC-P
NBP3-05510
Species: Hu
Applications: ICC/IF, IHC,  IHC-P, WB
MAB182
Species: Hu
Applications: CyTOF-ready, Flow, ICC, Neut
NBP2-81909
Species: Hu, Mu, Rt
Applications: ELISA, ICC/IF, IHC, WB
NBP1-87404
Species: Hu, Mu, Rt
Applications: Flow, ICC/IF, IHC,  IHC-P, KD, WB
NBP2-92503
Species: Hu, Mu, Rt
Applications: ELISA, ICC/IF, IHC,  IHC-P, WB
MAB172
Species: Hu
Applications: CyTOF-ready, Flow, IHC, Neut
NBP3-12487
Species: Hu, Mu, Rt
Applications: ELISA, IHC,  IHC-P, WB
NBP1-19371
Species: Ca, Hu, Mu, Po, Rb, Rt
Applications: Dual ISH-IHC, Flow, ICC/IF, IHC, IHC-Fr,  IHC-P, Simple Western, WB
NBP1-89319
Species: Hu
Applications: IHC,  IHC-P
NBP1-89679
Species: Hu, Mu, Rt
Applications: ChIP-EXO-SEQ, ICC/IF, IHC, IHC-Fr,  IHC-P, WB
MAB1417
Species: Bv, Hu, Mu
Applications: ICC, IHC
AF4479
Species: Hu
Applications: IHC
NBP1-78984
Species: Hu, Mu
Applications: DB, ICC/IF, IHC,  IHC-P, IP, WB
NB400-114
Species: Ch, Fe, Ha, Hu, Mu, Pl, Po, Pm, Rt
Applications: ICC/IF, IHC,  IHC-P, IP, KD, WB

Publications for FATP5/SLC27A5 Antibody (NBP3-44039) (0)

There are no publications for FATP5/SLC27A5 Antibody (NBP3-44039).
By submitting your publication information earn gift cards and discounts for future purchases.

Reviews for FATP5/SLC27A5 Antibody (NBP3-44039) (0)

There are no reviews for FATP5/SLC27A5 Antibody (NBP3-44039). By submitting a review you will receive an Amazon e-Gift Card or Novus Product Discount.
  • Review with no image -- $10/€7/£6/$10 CAD/¥70 Yuan/¥1110 Yen
  • Review with an image -- $25/€18/£15/$25 CAD/¥150 Yuan/¥2500 Yen

Product General Protocols

Find general support by application which include: protocols, troubleshooting, illustrated assays, videos and webinars.

Video Protocols

WB Video Protocol

FAQs for FATP5/SLC27A5 Antibody (NBP3-44039) (0)

There are no specific FAQs related to this product. Read our general customer & technical service FAQs.

Customers Who Bought This Also Bought

Contact Information

Product PDFs

Calculators

Concentration Calculator

The concentration calculator allows you to quickly calculate the volume, mass or concentration of your vial. Simply enter your mass, volume, or concentration values for your reagent and the calculator will determine the rest.

=
÷

Review this Product

Be the first to review our FATP5/SLC27A5 Antibody (CL0215) - Azide and BSA Free and receive a gift card or discount.

Bioinformatics

Gene Symbol SLC27A5