FAM168B Antibody - BSA Free

Images

 
Immunohistochemistry-Paraffin: FAM168B Antibody [NBP1-93650] - Staining of human skeletal muscle shows strong cytoplasmic and nuclear positivity in myocytes.
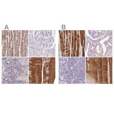
Independent Antibodies: Immunohistochemistry-Paraffin: FAM168B Antibody [NBP1-93650] - Staining of human heart muscle, kidney, lymph node and skeletal muscle using Anti-FAM168B antibody NBP1-93650 (A) shows ...read more
Immunohistochemistry-Paraffin: FAM168B Antibody [NBP1-93650] - Staining of human kidney.
Immunohistochemistry-Paraffin: FAM168B Antibody [NBP1-93650] - Staining of human skeletal muscle.
Immunohistochemistry-Paraffin: FAM168B Antibody [NBP1-93650] - Staining of human heart muscle.
Staining of human lymph node using Anti-FAM168B antibody NBP1-93650.

Product Details

Summary
Reactivity Hu, Mu, RtSpecies Glossary
Applications IHC
Clonality
Polyclonal
Host
Rabbit
Conjugate
Unconjugated
Format
BSA Free
Validated by:
 

Independent Antibodies

       

Order Details

View Available Formulations
Catalog# & Formulation Size Price

FAM168B Antibody - BSA Free Summary

Description
Novus Biologicals Rabbit FAM168B Antibody - BSA Free (NBP1-93650) is a polyclonal antibody validated for use in IHC. All Novus Biologicals antibodies are covered by our 100% guarantee.
Immunogen
This antibody was developed against Recombinant Protein corresponding to amino acids: MNPVYSPGSSGVPYANAKGIGYPAGFPMGYAAAAPAYSPNMYPGANPTFQTGYTPGTPYKVSCSPTSGAVPPYSSSP
Predicted Species
Mouse (97%), Rat (97%). Backed by our 100% Guarantee.
Isotype
IgG
Clonality
Polyclonal
Host
Rabbit
Gene
FAM168B
Purity
Affinity purified
Innovator's Reward
Test in a species/application not listed above to receive a full credit towards a future purchase.

Applications/Dilutions

Dilutions
  • Immunohistochemistry 1:50 - 1:200
  • Immunohistochemistry-Paraffin 1:50 - 1:200
Application Notes
For IHC-Paraffin, HIER pH 6 retrieval is recommended.
Control Peptide
FAM168B Protein (NBP1-93650PEP)

Packaging, Storage & Formulations

Storage
Store at 4C short term. Aliquot and store at -20C long term. Avoid freeze-thaw cycles.
Buffer
PBS (pH 7.2) and 40% Glycerol
Preservative
0.02% Sodium Azide
Purity
Affinity purified

Alternate Names for FAM168B Antibody - BSA Free

  • family with sequence similarity 168, member B

Limitations

This product is for research use only and is not approved for use in humans or in clinical diagnosis. Primary Antibodies are guaranteed for 1 year from date of receipt.

Customers Who Viewed This Item Also Viewed...

AF2377
Species: Mu
Applications: IHC, Simple Western, WB
NBP2-22261
Species: Ch, Hu, Mu
Applications: IP, WB
NBP1-82454
Species: Hu, Mu
Applications: ICC/IF, IHC,  IHC-P, WB
NBP1-71702
Species: Ch, Hu, Mu
Applications: ChIP, ChIP, ICC/IF, IHC,  IHC-P, IP, Simple Western, WB
NB200-106
Species: Mu, Rt
Applications: ELISA, ICC/IF, IHC, IHC-Fr,  IHC-P, WB
NBP1-32870
Species: Ch, Hu
Applications: IHC,  IHC-P, IP, KD, WB
NBP1-84798
Species: Hu, Mu, Rt
Applications: IHC,  IHC-P, WB
NBP1-85965
Species: Hu
Applications: IHC,  IHC-P
AF1230
Species: Hu, Mu, Rt
Applications: IHC, KO, WB
NB100-56565
Species: Hu, Mu, Rt
Applications: ICC/IF, IHC, IHC-Fr,  IHC-P, Simple Western, WB
NBP1-84546
Species: Hu, Mu, Rt
Applications: IHC,  IHC-P, WB
NBP3-13279
Species: Hu, Mu, Rt
Applications: ICC/IF, IHC,  IHC-P, WB
NBP2-45603
Species: Hu, Mu, Rt
Applications: Flow, IHC,  IHC-P, WB
NB100-1607
Species: Hu, Mu, Rt
Applications: ICC/IF, IHC, IP, WB
NBP1-87430
Species: Hu
Applications: IHC,  IHC-P
H00029107-M08
Species: Hu
Applications: ELISA, ICC/IF, KD, S-ELISA, WB
NBP1-71687
Species: Hu, Mu
Applications: ICC/IF, IHC,  IHC-P
NBP2-44520
Species: Ca(-), Hu, Rt(-)
Applications: Flow-IC, Flow, ICC/IF, IF, IHC,  IHC-P, MI, WB
AF2065
Species: Mu
Applications: ICC, IHC, Simple Western, WB

Publications for FAM168B Antibody (NBP1-93650) (0)

There are no publications for FAM168B Antibody (NBP1-93650).
By submitting your publication information earn gift cards and discounts for future purchases.

Reviews for FAM168B Antibody (NBP1-93650) (0)

There are no reviews for FAM168B Antibody (NBP1-93650). By submitting a review you will receive an Amazon e-Gift Card or Novus Product Discount.
  • Review with no image -- $10/€7/£6/$10 CAD/¥70 Yuan/¥1110 Yen
  • Review with an image -- $25/€18/£15/$25 CAD/¥150 Yuan/¥2500 Yen

Product General Protocols

Find general support by application which include: protocols, troubleshooting, illustrated assays, videos and webinars.

FAQs for FAM168B Antibody (NBP1-93650) (0)

There are no specific FAQs related to this product. Read our general customer & technical service FAQs.

Customers Who Bought This Also Bought

Contact Information

Product PDFs

Calculators

Concentration Calculator

The concentration calculator allows you to quickly calculate the volume, mass or concentration of your vial. Simply enter your mass, volume, or concentration values for your reagent and the calculator will determine the rest.

=
÷

Review this Product

Be the first to review our FAM168B Antibody - BSA Free and receive a gift card or discount.

Bioinformatics

Gene Symbol FAM168B