FAM13B1 Antibody - BSA Free

Images

 
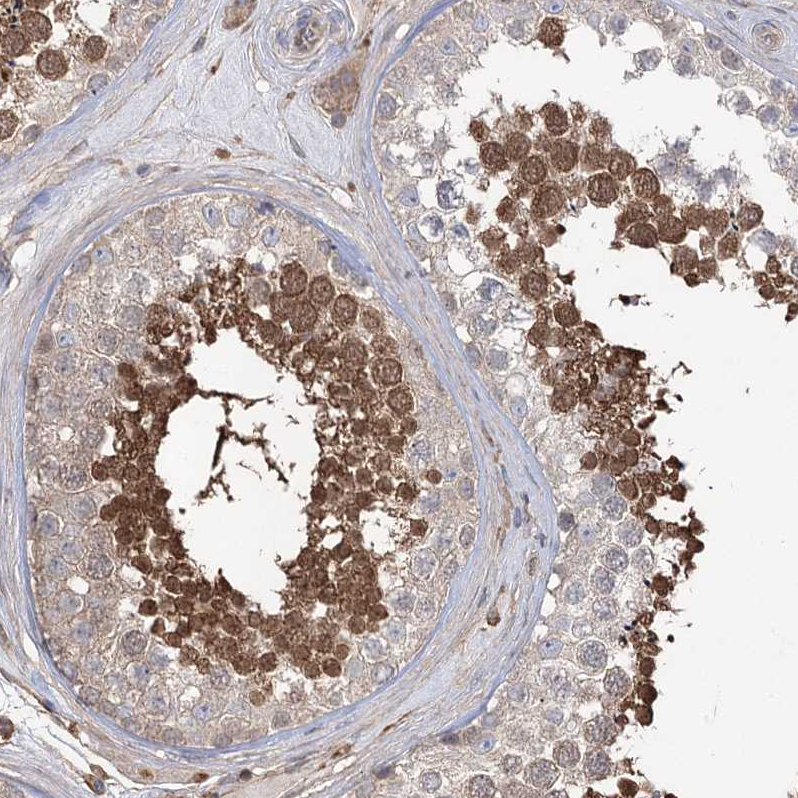
Immunohistochemistry-Paraffin: FAM13B1 Antibody [NBP1-90810] - Staining of human testis shows strong cytoplasmic positivity in subsets of cells in seminiferus ducts.
Staining of human placenta shows moderate cytoplasmic positivity in decidual cells.
Staining of human liver shows no positivity in hepatocytes as expected.
Staining of human testis shows moderate nuclear and cytoplasmic positivity in cells in seminiferous ducts.
Staining of human cerebral cortex shows moderate nuclear and cytoplasmic positivity in neurons.

Product Details

Summary
Reactivity HuSpecies Glossary
Applications IHC
Clonality
Polyclonal
Host
Rabbit
Conjugate
Unconjugated
Format
BSA Free

Order Details

View Available Formulations
Catalog# & Formulation Size Price

FAM13B1 Antibody - BSA Free Summary

Description
Novus Biologicals Rabbit FAM13B1 Antibody - BSA Free (NBP1-90810) is a polyclonal antibody validated for use in IHC. All Novus Biologicals antibodies are covered by our 100% guarantee.
Immunogen
This antibody was developed against Recombinant Protein corresponding to amino acids: KNLQQQSVVCNNEAESIHCDGEGSNNQIDIADDIINASESNRDCSKPVASTNLDNEAMQQDCVFENEENTQSVG
Isotype
IgG
Clonality
Polyclonal
Host
Rabbit
Gene
FAM13B
Purity
Immunogen affinity purified
Innovator's Reward
Test in a species/application not listed above to receive a full credit towards a future purchase.

Applications/Dilutions

Dilutions
  • Immunohistochemistry 1:20 - 1:50
  • Immunohistochemistry-Paraffin 1:20 - 1:50
Application Notes
For IHC-Paraffin, HIER pH 6 retrieval is recommended. Immunocytochemistry/Immunofluorescence Fixation Permeabilization: Use PFA/Triton X-100.
Control Peptide
FAM13B1 Protein (NBP1-90810PEP)

Packaging, Storage & Formulations

Storage
Store at 4C short term. Aliquot and store at -20C long term. Avoid freeze-thaw cycles.
Buffer
PBS (pH 7.2) and 40% Glycerol
Preservative
0.02% Sodium Azide
Purity
Immunogen affinity purified

Alternate Names for FAM13B1 Antibody - BSA Free

  • C5orf5
  • chromosome 5 open reading frame 5
  • DKFZp667F249
  • FAM13B1
  • family with sequence similarity 13, member B
  • family with sequence similarity 13, member B1
  • FLJ26735
  • GAP-like protein N61
  • hypothetical protein LOC51306
  • KHCHP
  • MGC57159
  • N61

Limitations

This product is for research use only and is not approved for use in humans or in clinical diagnosis. Primary Antibodies are guaranteed for 1 year from date of receipt.

Customers Who Viewed This Item Also Viewed...

AF482
Species: Mu
Applications: IHC, WB
7559-ST
Species: Hu
Applications: BA
NBP3-16473
Species: Hu, Mu, Rt
Applications: ICC/IF, WB
MAB812
Species: Hu
Applications: CyTOF-ready, Flow
NBP2-42864
Species: Hu, Mu, Rt
Applications: ICC/IF, IHC,  IHC-P, IP, WB
1129-ER
Species: Hu
Applications: BA
NBP1-85351
Species: Hu, Mu, Rt
Applications: ICC/IF, IHC,  IHC-P, WB
NBP1-92389
Species: Hu
Applications: IHC,  IHC-P
NBP2-33711
Species: Hu
Applications: IHC,  IHC-P
MAB41051
Species: Hu, Mu
Applications: WB
NBP1-88825
Species: Hu
Applications: ICC/IF, IHC,  IHC-P, WB
NB100-91273
Species: Hu, Mu, Pm, Rt
Applications: ICC/IF, IHC,  IHC-P, WB
MAB6860
Species: Hu
Applications: IP, WB
NBP3-12487
Species: Hu, Mu, Rt
Applications: ELISA, IHC,  IHC-P, WB
NBP1-91884
Species: Hu
Applications: ICC/IF, IHC,  IHC-P, WB
AF4679
Species: Hu
Applications: WB

Publications for FAM13B1 Antibody (NBP1-90810) (0)

There are no publications for FAM13B1 Antibody (NBP1-90810).
By submitting your publication information earn gift cards and discounts for future purchases.

Reviews for FAM13B1 Antibody (NBP1-90810) (0)

There are no reviews for FAM13B1 Antibody (NBP1-90810). By submitting a review you will receive an Amazon e-Gift Card or Novus Product Discount.
  • Review with no image -- $10/€7/£6/$10 CAD/¥70 Yuan/¥1110 Yen
  • Review with an image -- $25/€18/£15/$25 CAD/¥150 Yuan/¥2500 Yen

Product General Protocols

Find general support by application which include: protocols, troubleshooting, illustrated assays, videos and webinars.

FAQs for FAM13B1 Antibody (NBP1-90810) (0)

There are no specific FAQs related to this product. Read our general customer & technical service FAQs.

Customers Who Bought This Also Bought

Contact Information

Product PDFs

Calculators

Concentration Calculator

The concentration calculator allows you to quickly calculate the volume, mass or concentration of your vial. Simply enter your mass, volume, or concentration values for your reagent and the calculator will determine the rest.

=
÷

Review this Product

Be the first to review our FAM13B1 Antibody - BSA Free and receive a gift card or discount.

Bioinformatics

Gene Symbol FAM13B