FAM101B Antibody - BSA Free

Images

 
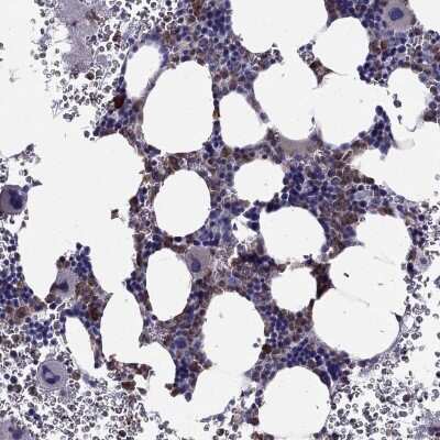
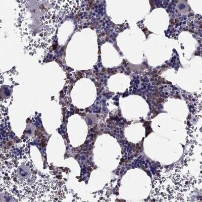
Immunohistochemistry-Paraffin: FAM101B Antibody [NBP2-62633] - Staining of human bone marrow shows high expression.
Orthogonal Strategies: Immunohistochemistry-Paraffin: FAM101B Antibody [NBP2-62633] - Immunohistochemistry analysis in human bone marrow and pancreas tissues using Anti-RFLNB antibody. Corresponding RFLNB RNA-seq ...read more
Immunohistochemistry-Paraffin: FAM101B Antibody [NBP2-62633] - Staining of human pancreas shows low expression as expected.

Product Details

Summary
Reactivity HuSpecies Glossary
Applications IHC
Clonality
Polyclonal
Host
Rabbit
Conjugate
Unconjugated
Format
BSA Free
Validated by:
       

Orthogonal Strategies

 

Order Details

View Available Formulations
Catalog# & Formulation Size Price

FAM101B Antibody - BSA Free Summary

Description
Novus Biologicals Rabbit FAM101B Antibody - BSA Free (NBP2-62633) is a polyclonal antibody validated for use in IHC. All Novus Biologicals antibodies are covered by our 100% guarantee.
Immunogen
This antibody was developed against a recombinant protein corresponding to amino acids: EGVEFDPLPPKEVRYTSLVKYDSERHFIDDVQLPLGLAVASCSQTVTCVP
Isotype
IgG
Clonality
Polyclonal
Host
Rabbit
Gene
RFLNB
Purity
Protein A purified
Innovator's Reward
Test in a species/application not listed above to receive a full credit towards a future purchase.

Applications/Dilutions

Dilutions
  • Immunohistochemistry 1:20 - 1:50
  • Immunohistochemistry-Paraffin 1:20 - 1:50
Application Notes
For IHC-Paraffin, HIER pH 6 retrieval is recommended.
Control Peptide
FAM101B Recombinant Protein Antigen (NBP2-62633PEP)

Reactivity Notes

Mouse (88%), Rat (88%)

Packaging, Storage & Formulations

Storage
Store at 4C short term. Aliquot and store at -20C long term. Avoid freeze-thaw cycles.
Buffer
PBS (pH 7.2) and 40% Glycerol
Preservative
0.02% Sodium Azide
Purity
Protein A purified

Alternate Names for FAM101B Antibody - BSA Free

  • CFM1
  • FAM101B
  • Family With Sequence Similarity 101, Member B
  • Filamin-Interacting Protein FAM101B
  • Protein FAM101B
  • Refilin B
  • RefilinB
  • Refilin-B
  • Regulator Of Filamin Protein B
  • RFLNB

Limitations

This product is for research use only and is not approved for use in humans or in clinical diagnosis. Primary Antibodies are guaranteed for 1 year from date of receipt.

Customers Who Viewed This Item Also Viewed...

NBP2-38327
Species: Hu
Applications: ICC/IF, IHC,  IHC-P, Simple Western, WB
NBP2-16374
Species: Hu, Mu, Rt, Ze
Applications: ICC/IF, IHC,  IHC-P, WB
NB100-56557
Species: Hu, Mu, Rt
Applications: ICC/IF, IHC, IHC-Fr,  IHC-P, IP, WB
NBP1-89172
Species: Hu
Applications: IHC,  IHC-P, WB
NBP1-59021
Species: Hu, Mu, Rt
Applications: IHC,  IHC-P, IP, WB
NB100-56495
Species: Ca, Ch, Hu, Mu, Pm, Rt
Applications: IHC,  IHC-P, WB
NBP1-88057
Species: Hu, Rt
Applications: ICC/IF, IHC,  IHC-P, WB
NBP1-83431
Species: Hu
Applications: ICC/IF, IHC,  IHC-P, WB
NB100-856
Species: Hu
Applications: Flow, ICC/IF, PEP-ELISA
NBP1-85578
Species: Hu
Applications: IHC,  IHC-P, Simple Western, WB
NB100-807
Species: Hu
Applications: ICC/IF, PEP-ELISA, WB
H00002316-M01
Species: Hu, Mu, Rt
Applications: ELISA, ICC/IF, IHC,  IHC-P, PLA, WB
NBP1-82590
Species: Hu
Applications: IHC,  IHC-P, WB
NBP1-88433
Species: Hu, Mu, Rt
Applications: ICC/IF, IHC,  IHC-P, WB
NBP1-49533
Species: Hu, Mu, Pl, Rt
Applications: Flow-IC, Flow, ICC/IF, IHC,  IHC-P, KD, WB
NBP1-58268
Species: Hu, Mu
Applications: IHC,  IHC-P, WB
H00002316-M01
Species: Hu, Mu, Rt
Applications: ELISA, ICC/IF, IHC,  IHC-P, PLA, WB
H00008458-M06
Species: Hu, Mu, Rt
Applications: ELISA, ICC/IF, WB
NBP2-62633
Species: Hu
Applications: IHC

Publications for FAM101B Antibody (NBP2-62633) (0)

There are no publications for FAM101B Antibody (NBP2-62633).
By submitting your publication information earn gift cards and discounts for future purchases.

Reviews for FAM101B Antibody (NBP2-62633) (0)

There are no reviews for FAM101B Antibody (NBP2-62633). By submitting a review you will receive an Amazon e-Gift Card or Novus Product Discount.
  • Review with no image -- $10/€7/£6/$10 CAD/¥70 Yuan/¥1110 Yen
  • Review with an image -- $25/€18/£15/$25 CAD/¥150 Yuan/¥2500 Yen

Product General Protocols

Find general support by application which include: protocols, troubleshooting, illustrated assays, videos and webinars.

FAQs for FAM101B Antibody (NBP2-62633) (0)

There are no specific FAQs related to this product. Read our general customer & technical service FAQs.

Customers Who Bought This Also Bought

Contact Information

Product PDFs

Calculators

Concentration Calculator

The concentration calculator allows you to quickly calculate the volume, mass or concentration of your vial. Simply enter your mass, volume, or concentration values for your reagent and the calculator will determine the rest.

=
÷

Review this Product

Be the first to review our FAM101B Antibody - BSA Free and receive a gift card or discount.

Bioinformatics

Gene Symbol RFLNB