FABP7/B-FABP Antibody (CL0236) - Azide and BSA Free

Images

 
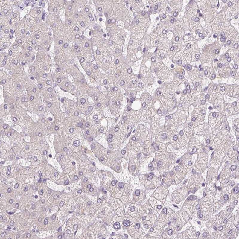
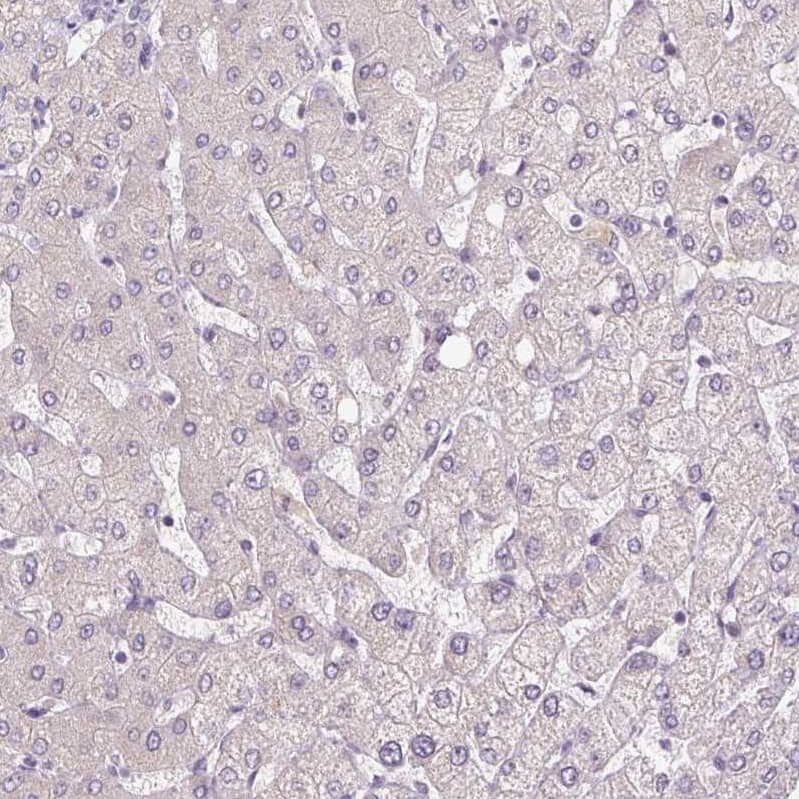
Orthogonal Strategies: Analysis in human cerebral cortex and liver tissues using NBP3-43995 antibody. Corresponding FABP7/B-FABP RNA-seq data are presented for the same tissues.
Lane 1: Marker [kDa] Lane 2: Human cell line U-251 MG
Staining of human cerebral cortex shows strong cytoplasmic positivity in a subset of cells in molecular layer.
Staining of human cerebral cortex shows moderate to strong cytoplasmic positivity in glial cells.
Staining of human liver shows no positivity in hepatocytes as expected.
Staining of human tonsil shows no positivity in non-germinal center cells as expected.

Product Details

Summary
Reactivity HuSpecies Glossary
Applications WB, IHC
Clone
CL0236
Clonality
Monoclonal
Host
Mouse
Conjugate
Unconjugated
Format
Azide and BSA Free
Concentration
LYOPH
Validated by:
       

Orthogonal Strategies

 

Order Details

FABP7/B-FABP Antibody (CL0236) - Azide and BSA Free Summary

Description
Novus Biologicals Mouse FABP7/B-FABP Antibody (CL0236) - Azide and BSA Free (NBP2-52889) is a monoclonal antibody validated for use in IHC and WB. All Novus Biologicals antibodies are covered by our 100% guarantee.
Immunogen
This antibody was generated using a recombinant protein sequence of O15540, with the exact immunogen sequence remaining proprietary.
Isotype
IgG1
Clonality
Monoclonal
Host
Mouse
Gene
FABP7
Purity
Protein A purified
Innovator's Reward
Test in a species/application not listed above to receive a full credit towards a future purchase.

Applications/Dilutions

Dilutions
  • Immunohistochemistry-Paraffin 1:200 - 1:500
  • Western Blot 1 ug/ml
Application Notes
For IHC-Paraffin, HIER pH 6 retrieval is recommended.

Packaging, Storage & Formulations

Storage
Store at 4C short term. Aliquot and store at -20C long term. Avoid freeze-thaw cycles.
Buffer
Lyophilized from a 0.2 um filtered solution in PBS with Trehalose
Preservative
No Preservative
Concentration
LYOPH
Purity
Protein A purified
Reconstitution Instructions
Centrifuge the vial of lyophilized antibody at 12,000 x g for 20 seconds. Reconstitute by adding sterile, distilled water to achieve a final antibody concentration of 1mg/ml.

Alternate Names for FABP7/B-FABP Antibody (CL0236) - Azide and BSA Free

  • BFABP
  • B-FABP
  • B-FABPDKFZp547J2313
  • BLBP
  • BLBPMRG
  • Brain lipid-binding protein
  • Brain-type fatty acid-binding protein
  • FABP7
  • FABPBbrain lipid binding protein
  • fatty acid binding protein 7, brain
  • Fatty acid-binding protein 7
  • fatty acid-binding protein, brain
  • Mammary-derived growth inhibitor related
  • mammary-derived growth inhibitor-related

Background

The protein encoded by this gene is a brain fatty acid binding protein. Fatty acid binding proteins (FABPs) are a family of small, highly conserved, cytoplasmic proteins that bind long-chain fatty acids and other hydrophobic ligands. FABPs are thought to play roles in fatty acid uptake, transport, and metabolism. [provided by RefSeq]

Limitations

This product is for research use only and is not approved for use in humans or in clinical diagnosis. Primary Antibodies are guaranteed for 1 year from date of receipt.

Customers Who Viewed This Item Also Viewed...

AF1476
Species: Hu, Mu, Rt
Applications: IHC, KO, Simple Western, WB
NBP2-16708
Species: Hu, Mu, Rt
Applications: ICC/IF, IHC,  IHC-P, KO, WB
NBP1-87695
Species: Hu, Mu, Rt
Applications: ICC/IF, IHC,  IHC-P, WB
MAB1678
Species: Hu, Mu, Rt
Applications: IHC, Simple Western, WB
AF1443
Species: Mu, Rt
Applications: ICC, IHC, Simple Western, WB
DY3078
Species: Hu
Applications: ELISA
NB300-141
Species: Bv, Ch, Eq, Gp, Hu, Mu, Po, Rb, Rt
Applications: ICC/IF, IHC, IHC-Fr,  IHC-P, Simple Western, WB
MAB1417
Species: Bv, Hu, Mu
Applications: ICC, IHC
MAB1455
Species: Hu
Applications: CyTOF-ready, Dual ISH-IHC, ICC, IHC, ICFlow, Simple Western, WB
NB100-2564
Species: Hu
Applications: WB
NBP2-01743
Species: Hu
Applications: Flow, ICC/IF, IHC,  IHC-P, WB
NBP2-04017
Species: Hu
Applications: IP, WB
NB400-144
Species: Av, Bv, Hu, Mu, Po, Pm, Rb, Rt
Applications: ICC/IF, IHC, IHC-Fr,  IHC-P, WB
AF5866
Species: Hu
Applications: IHC, WB
NBP2-22106
Species: Hu, Mu, Rt
Applications: IHC,  IHC-P, IP, WB
NB300-537
Species: Bv, Hu, Mu, Rb, Rt
Applications: ChIP, Flow, GS, ICC/IF, IHC,  IHC-P, IP, KD, Simple Western, WB
MAB1259
Species: Hu
Applications: CyTOF-reported, ICC, ICFlow

Publications for FABP7/B-FABP Antibody (NBP3-43995) (0)

There are no publications for FABP7/B-FABP Antibody (NBP3-43995).
By submitting your publication information earn gift cards and discounts for future purchases.

Reviews for FABP7/B-FABP Antibody (NBP3-43995) (0)

There are no reviews for FABP7/B-FABP Antibody (NBP3-43995). By submitting a review you will receive an Amazon e-Gift Card or Novus Product Discount.
  • Review with no image -- $10/€7/£6/$10 CAD/¥70 Yuan/¥1110 Yen
  • Review with an image -- $25/€18/£15/$25 CAD/¥150 Yuan/¥2500 Yen

Product General Protocols

Find general support by application which include: protocols, troubleshooting, illustrated assays, videos and webinars.

Video Protocols

WB Video Protocol

FAQs for FABP7/B-FABP Antibody (NBP3-43995) (0)

There are no specific FAQs related to this product. Read our general customer & technical service FAQs.

Secondary Antibodies

 

Isotype Controls

Additional FABP7/B-FABP Products

Research Areas for FABP7/B-FABP Antibody (NBP3-43995)

Find related products by research area.

Blogs on FABP7/B-FABP

There are no specific blogs for FABP7/B-FABP, but you can read our latest blog posts.

Customers Who Bought This Also Bought

Contact Information

Product PDFs

Calculators

Concentration Calculator

The concentration calculator allows you to quickly calculate the volume, mass or concentration of your vial. Simply enter your mass, volume, or concentration values for your reagent and the calculator will determine the rest.

=
÷

Review this Product

Be the first to review our FABP7/B-FABP Antibody (CL0236) - Azide and BSA Free and receive a gift card or discount.

Bioinformatics

Gene Symbol FABP7