FABP4/A-FABP Antibody (FABP4/4422) - Azide and BSA Free

Images

 
Protein Array: FABP4/A-FABP Antibody (FABP4/4422) - Azide and BSA Free [NBP3-14210] - Analysis of Protein Array containing more than 19,000 full-length human proteins using FABP4/A-FABP antibody (FABP4/4422).
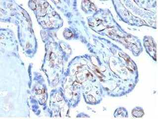
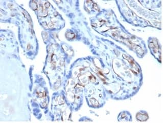
Formalin-fixed, paraffin-embedded human placenta stained with FABP4/A-FABP Antibody (FABP4/4422) - Azide and BSA Free.
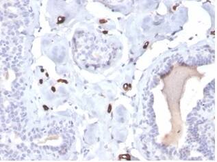
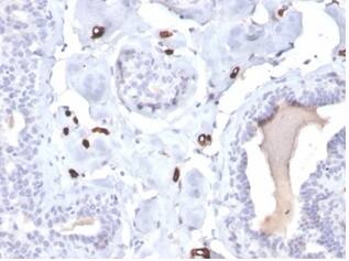
Formalin-fixed, paraffin-embedded human breast carcinoma stained with FABP4/A-FABP Antibody (FABP4/4422) - Azide and BSA Free.

Product Details

Summary
Reactivity HuSpecies Glossary
Applications IHC, MA
Clone
FABP4/4422
Clonality
Monoclonal
Host
Mouse
Conjugate
Unconjugated
Format
Azide and BSA Free
Concentration
1 mg/ml

Order Details

FABP4/A-FABP Antibody (FABP4/4422) - Azide and BSA Free Summary

Description
1.0 mg/ml of antibody purified from Bioreactor Concentrate by Protein A/G. Prepared in 10mM PBS WITHOUT BSA & azide. Also available at 200 ug/ml WITH BSA & azide (NBP3-13879).

Antibody with azide - store at 2 to 8C. Antibody without azide - store at -20 to -80 C.
Immunogen
Recombinant fragment (around aa1-132) of human FABP4/A-FABP protein (exact sequence is proprietary) (Uniprot: P15090)
Localization
Cytoplasm, Nucleus
Isotype
IgG1 Kappa
Clonality
Monoclonal
Host
Mouse
Gene
FABP4
Purity
Protein A or G purified
Innovator's Reward
Test in a species/application not listed above to receive a full credit towards a future purchase.

Applications/Dilutions

Dilutions
  • Immunohistochemistry-Paraffin 1-2 ug/ml
  • Protein Array
Application Notes
Immunohistochemistry (Formalin-fixed): 1-2ug/ml for 30 minutes at RT. Staining of formalin-fixed tissues requires heating tissue sections in 10mM Tris with 1mM EDTA, pH 9.0, for 45 min at 95C followed by cooling at RT for 20 minutes
Theoretical MW
15 kDa.
Disclaimer note: The observed molecular weight of the protein may vary from the listed predicted molecular weight due to post translational modifications, post translation cleavages, relative charges, and other experimental factors.

Packaging, Storage & Formulations

Storage
Store at -20 to -80C. Avoid freeze-thaw cycles.
Buffer
10mM PBS
Preservative
No Preservative
Concentration
1 mg/ml
Purity
Protein A or G purified

Alternate Names for FABP4/A-FABP Antibody (FABP4/4422) - Azide and BSA Free

  • Adipocyte lipid-binding protein
  • Adipocyte-type fatty acid-binding protein
  • AFABP
  • A-FABP
  • A-FABPAFABP
  • ALBP
  • aP2
  • FABP4
  • fatty acid binding protein 4, adipocyte
  • Fatty acid-binding protein 4
  • fatty acid-binding protein, adipocyte

Background

Fatty acid binding protein 4 encodes the fatty acid binding protein found in adipocytes. Fatty acid binding proteins are a family of small, highly conserved, cytoplasmic proteins that bind long-chain fatty acids and other hydrophobic ligands. It is thought that FABPs roles include fatty acid uptake, transport, and metabolism.

Limitations

This product is for research use only and is not approved for use in humans or in clinical diagnosis. Primary Antibodies are guaranteed for 1 year from date of receipt.

Customers Who Viewed This Item Also Viewed...

NBP2-22106
Species: Hu, Mu, Rt
Applications: IHC,  IHC-P, IP, WB
MAB1417
Species: Bv, Hu, Mu
Applications: ICC, IHC
NBP2-67471
Species: Hu, Mu, Rt
Applications: ICC/IF, IHC,  IHC-P, WB
NB600-232
Species: Hu, Mu
Applications: ChIP, IHC,  IHC-P, IP, WB
DPSG10
Species: Hu
Applications: ELISA
3047-CC
Species: Hu
Applications: BA
AF7197
Species: Hu, Mu
Applications: ICC, IHC, WB
DRP300
Species: Hu
Applications: ELISA
AF1476
Species: Hu, Mu, Rt
Applications: IHC, KO, Simple Western, WB
AF3166
Species: Hu
Applications: IHC, Simple Western, WB
DLP00
Species: Hu
Applications: ELISA
NB300-537
Species: Bv, Hu, Mu, Rb, Rt
Applications: ChIP, Flow, GS, ICC/IF, IHC,  IHC-P, IP, KD, Simple Western, WB
NBP1-88057
Species: Hu, Rt
Applications: ICC/IF, IHC,  IHC-P, WB
NBP1-49533
Species: Hu, Mu, Pl, Rt
Applications: Flow-IC, Flow, ICC/IF, IHC,  IHC-P, KD, WB
NB400-114
Species: Ch, Fe, Ha, Hu, Mu, Pl, Po, Pm, Rt
Applications: ICC/IF, IHC,  IHC-P, IP, KD, WB
NBP1-31113
Species: Hu, Mu, Rt
Applications: ICC/IF, IHC,  IHC-P, WB
NBP2-16366
Species: Hu, Mu
Applications: ICC/IF, IHC,  IHC-P, WB

Publications for FABP4/A-FABP Antibody (NBP3-14210) (0)

There are no publications for FABP4/A-FABP Antibody (NBP3-14210).
By submitting your publication information earn gift cards and discounts for future purchases.

Reviews for FABP4/A-FABP Antibody (NBP3-14210) (0)

There are no reviews for FABP4/A-FABP Antibody (NBP3-14210). By submitting a review you will receive an Amazon e-Gift Card or Novus Product Discount.
  • Review with no image -- $10/€7/£6/$10 CAD/¥70 Yuan/¥1110 Yen
  • Review with an image -- $25/€18/£15/$25 CAD/¥150 Yuan/¥2500 Yen

Product General Protocols

Find general support by application which include: protocols, troubleshooting, illustrated assays, videos and webinars.

FAQs for FABP4/A-FABP Antibody (NBP3-14210) (0)

There are no specific FAQs related to this product. Read our general customer & technical service FAQs.

Secondary Antibodies

 

Isotype Controls

Additional FABP4/A-FABP Products

Research Areas for FABP4/A-FABP Antibody (NBP3-14210)

Find related products by research area.

Blogs on FABP4/A-FABP

There are no specific blogs for FABP4/A-FABP, but you can read our latest blog posts.

Customers Who Bought This Also Bought

Contact Information

Product PDFs

Calculators

Concentration Calculator

The concentration calculator allows you to quickly calculate the volume, mass or concentration of your vial. Simply enter your mass, volume, or concentration values for your reagent and the calculator will determine the rest.

=
÷

Review this Product

Be the first to review our FABP4/A-FABP Antibody (FABP4/4422) - Azide and BSA Free and receive a gift card or discount.

Bioinformatics

Gene Symbol FABP4