Ezrin Antibody (CL2375) - Azide and BSA Free

Images

 
Lane 1: Marker [kDa]Lane 2: Human cell line U-251 MG
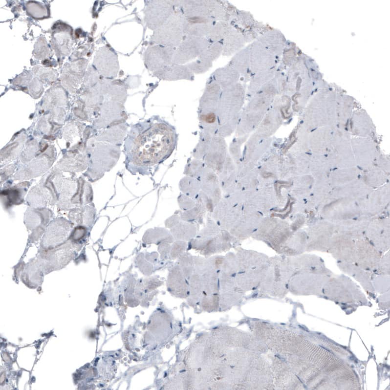
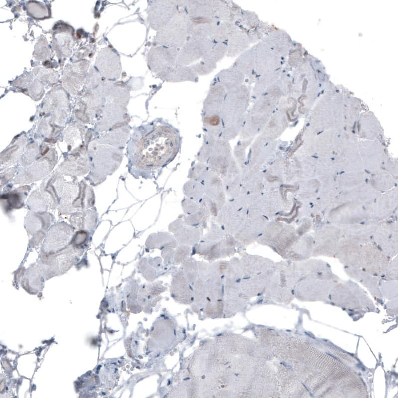
Orthogonal Strategies: Analysis in human rectum and skeletal muscle tissues using NBP3-44474 antibody. Corresponding Ezrin RNA-seq data are presented for the same tissues.
Staining of A-431 cells using the Anti-Ezrin monoclonal antibody) .
Staining of human rectum shows strong membranous positivity in glandular cells.
Staining of human placenta shows strong membranous positivity in trophoblastic cells.
Staining of human skeletal muscle shows no positivity in myocytes as expected.
Staining of human uterine cervix shows strong membranous positivity in squamous epithelial cells.
Staining of U-251 cells using the Anti-Ezrin monoclonal antibody) .

Product Details

Summary
Reactivity HuSpecies Glossary
Applications WB, ICC/IF, IHC
Clone
CL2375
Clonality
Monoclonal
Host
Mouse
Conjugate
Unconjugated
Format
Azide and BSA Free
Concentration
LYOPH
Validated by:
       

Orthogonal Strategies

 

Order Details

Ezrin Antibody (CL2375) - Azide and BSA Free Summary

Description
Novus Biologicals Mouse Ezrin Antibody (CL2375) - Azide and BSA Free (NBP2-36759) is a monoclonal antibody validated for use in IHC, WB and ICC/IF. All Novus Biologicals antibodies are covered by our 100% guarantee.
Immunogen
This antibody was generated using a recombinant protein sequence of P15311, with the exact immunogen sequence remaining proprietary.
Isotype
IgG1
Clonality
Monoclonal
Host
Mouse
Gene
EZR
Purity
Protein A purified
Innovator's Reward
Test in a species/application not listed above to receive a full credit towards a future purchase.

Applications/Dilutions

Dilutions
  • Immunocytochemistry/ Immunofluorescence 2-10 ug/ml
  • Immunohistochemistry-Paraffin 1:5000 - 1:10000
  • Western Blot 1 ug/ml
Application Notes
For IHC-Paraffin, HIER pH 6 retrieval is recommended. For Immunocytochemistry/ Immunofluorescence/IF, PFA/Triton X-100 is recommended for fixation/permeabilization.

Packaging, Storage & Formulations

Storage
Store at 4C short term. Aliquot and store at -20C long term. Avoid freeze-thaw cycles.
Buffer
Lyophilized from a 0.2 um filtered solution in PBS with Trehalose
Preservative
No Preservative
Concentration
LYOPH
Purity
Protein A purified
Reconstitution Instructions
Centrifuge the vial of lyophilized antibody at 12,000 x g for 20 seconds. Reconstitute by adding sterile, distilled water to achieve a final antibody concentration of 1mg/ml.

Alternate Names for Ezrin Antibody (CL2375) - Azide and BSA Free

  • CVIL
  • CVL
  • Cytovillin 2
  • Cytovillin
  • DKFZp762H157
  • EZR
  • Ezrin
  • FLJ26216
  • p81
  • VIL2
  • VIL2MGC1584
  • villin 2 (ezrin)
  • Villin 2
  • villin-2

Background

Ezrin serves as a tyrosine kinase substrate and is phosphorylated in EGF-stimulated cells. It is a cytoplasmic protein enriched in microvilli and other cell surfaces. Ezrin has an actin-binding capacity and is expressed in epithelial cells but not in mesenchymal cells. It is also expressed by certain epithelial tumors, such as renal cell adenocarcinomas.

Limitations

This product is for research use only and is not approved for use in humans or in clinical diagnosis. Primary Antibodies are guaranteed for 1 year from date of receipt.

Customers Who Viewed This Item Also Viewed...

NBP2-32875
Species: Hu, Rt
Applications: Flow, ICC/IF, IHC,  IHC-P, Simple Western, WB
H00005962-M06
Species: Ch, Hu, Mu, Rt
Applications: ELISA, ICC/IF, IHC, WB
NBP3-35065
Species: Hu, Mu, Rt
Applications: ELISA, WB
NBP1-87757
Species: Hu, Mu, Rt
Applications: ICC/IF, IHC,  IHC-P, IP, KD, WB
NBP2-25160
Species: Bv, Ca, Eq, Hu, Mu, Po, Rt
Applications: ICC/IF, IHC, WB
NBP1-58359
Species: Hu
Applications: IHC,  IHC-P, WB
BBA10
Species: Hu
Applications: CyTOF-ready, Flow, IHC, IP, KO, Simple Western, WB
H00002035-M01
Species: Hu
Applications: ELISA, ICC/IF, IHC,  IHC-P, S-ELISA, WB
NB100-91273
Species: Hu, Mu, Pm, Rt
Applications: ICC/IF, IHC,  IHC-P, WB
AF887
Species: Hu, Mu, Rt
Applications: CyTOF-ready, IHC, ICFlow, Simple Western, WB
NBP2-67327
Species: Hu, Mu, Rt
Applications: Flow, ICC/IF, IHC,  IHC-P, IP, WB
AF748
Species: Hu, Mu
Applications: CyTOF-ready, Dual ISH-IHC, Flow, ICC, IHC, Simple Western, WB
236-EG
Species: Hu
Applications: BA
294-HG
Species: Hu
Applications: BA
NBP1-85047
Species: Hu, Mu, Po, Rt
Applications: ICC/IF, IHC,  IHC-P, WB
AF2685
Species: Hu
Applications: IHC, Simple Western, WB
NBP2-62651
Species: Hu
Applications: IHC,  IHC-P, WB
NBP3-44474
Species: Hu
Applications: WB, ICC/IF, IHC

Publications for Ezrin Antibody (NBP3-44474) (0)

There are no publications for Ezrin Antibody (NBP3-44474).
By submitting your publication information earn gift cards and discounts for future purchases.

Reviews for Ezrin Antibody (NBP3-44474) (0)

There are no reviews for Ezrin Antibody (NBP3-44474). By submitting a review you will receive an Amazon e-Gift Card or Novus Product Discount.
  • Review with no image -- $10/€7/£6/$10 CAD/¥70 Yuan/¥1110 Yen
  • Review with an image -- $25/€18/£15/$25 CAD/¥150 Yuan/¥2500 Yen

Product General Protocols

Find general support by application which include: protocols, troubleshooting, illustrated assays, videos and webinars.

Video Protocols

WB Video Protocol
ICC/IF Video Protocol

FAQs for Ezrin Antibody (NBP3-44474) (0)

There are no specific FAQs related to this product. Read our general customer & technical service FAQs.

Secondary Antibodies

 

Isotype Controls

Additional Ezrin Products

Research Areas for Ezrin Antibody (NBP3-44474)

Find related products by research area.

Blogs on Ezrin

There are no specific blogs for Ezrin, but you can read our latest blog posts.

Customers Who Bought This Also Bought

Contact Information

Product PDFs

Calculators

Concentration Calculator

The concentration calculator allows you to quickly calculate the volume, mass or concentration of your vial. Simply enter your mass, volume, or concentration values for your reagent and the calculator will determine the rest.

=
÷

Review this Product

Be the first to review our Ezrin Antibody (CL2375) - Azide and BSA Free and receive a gift card or discount.

Bioinformatics

Gene Symbol EZR