EMX2 Antibody

Images

 
Orthogonal Strategies: Immunohistochemistry-Paraffin: EMX2 Antibody [NBP2-39052] - Staining in human epididymis and pancreas tissues using anti-EMX2 antibody. Corresponding EMX2 RNA-seq data are presented for the ...read more
Immunocytochemistry/ Immunofluorescence: EMX2 Antibody [NBP2-39052] - Staining of human cell line RH-30 shows localization to nucleus. Antibody staining is shown in green.
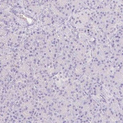
Immunohistochemistry-Paraffin: EMX2 Antibody [NBP2-39052] - Staining of human pancreas shows low expression as expected.
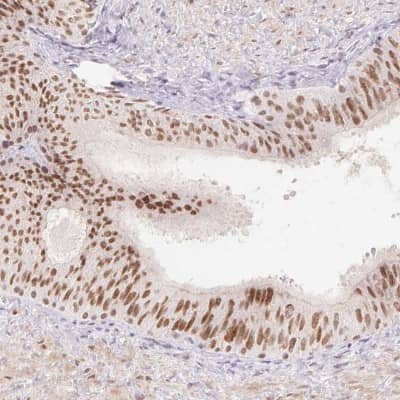
Immunohistochemistry-Paraffin: EMX2 Antibody [NBP2-39052] - Staining of human epididymis shows high expression.

Product Details

Summary
Product Discontinued
View other related EMX2 Primary Antibodies
Validated by:
       

Orthogonal Strategies

 

Order Details


    • Catalog Number
      NBP2-39052
    • Availability
      Product Discontinued

    Can't find what you are looking for? Use our Antibody Concierge Service & we will help you locate your antibody!

    Or feel free to contact us for alternative products.

EMX2 Antibody Summary

Immunogen
This antibody was developed against a recombinant protein corresponding to amino acids: RGVYSNPDLVFAEAVSHPPNPAVPVHPVPPPHALAAHPLPSSHSPHPLFASQQRDPSTFYPWLIHRYRY
Predicted Species
Mouse (100%), Rat (100%). Backed by our 100% Guarantee.
Isotype
IgG
Clonality
Polyclonal
Host
Rabbit
Gene
EMX2
Purity
Immunogen affinity purified
Innovator's Reward
Test in a species/application not listed above to receive a full credit towards a future purchase.

Applications/Dilutions

Dilutions
  • Immunocytochemistry/ Immunofluorescence 0.25-2 ug/ml
  • Immunohistochemistry 1:20 - 1:50
  • Immunohistochemistry-Paraffin 1:20 - 1:50
Application Notes
For IHC-Paraffin, HIER pH 6 retrieval is recommended. ICC/IF Fixation Permeabilization: Use PFA/Triton X-100.

Packaging, Storage & Formulations

Storage
Store at 4C short term. Aliquot and store at -20C long term. Avoid freeze-thaw cycles.
Buffer
PBS (pH 7.2) and 40% Glycerol
Preservative
0.02% Sodium Azide
Purity
Immunogen affinity purified

Alternate Names for EMX2 Antibody

  • empty spiracles homeobox 2
  • empty spiracles homolog 2 (Drosophila)
  • Empty spiracles homolog 2
  • Empty spiracles-like protein 2
  • EMX2
  • homeobox protein EMX2

Background

The homeodomain transcription factor EMX2 is critical for central nervous system and urogenital development. EMX1 (MIM 600034) and EMX2 are related to the 'empty spiracles' gene expressed in the developing Drosophila head.[supplied by OMIM]

Limitations

This product is for research use only and is not approved for use in humans or in clinical diagnosis. Primary Antibodies are guaranteed for 1 year from date of receipt.

Customers Who Viewed This Item Also Viewed...

NBP1-86500
Species: Hu, Mu
Applications: IHC,  IHC-P
AF8150
Species: Hu
Applications: ICC, ICFlow, Simple Western, WB
423-F8
Species: Hu, Mu
Applications: BA
AF1979
Species: Hu
Applications: ICC, IHC, Simple Western, WB
NBP3-47382
Species: Hu, Mu, Rt
Applications: ELISA, IHC, WB
AF3820
Species: Mu
Applications: IHC, WB
NBP3-32682
Species: Hu, Mu, Rt
Applications: Flow, ICC/IF, IHC,  IHC-P, WB
NBP1-72042
Species: Hu, Mu, Rt
Applications: ICC/IF, IHC,  IHC-P, PEP-ELISA, WB
PP-H8132-00
Species: Hu
Applications: IHC, IP, WB
NBP1-87769
Species: Hu
Applications: ICC/IF, IHC,  IHC-P, WB
NBP2-49109
Species: Hu, Mu
Applications: ICC/IF, IHC,  IHC-P
314-BP
Species: Hu
Applications: BA, BA
NB110-60011
Species: Hu
Applications: ICC/IF, IHC, IHC-Fr,  IHC-P, IP, Simple Western, WB
NBP2-88921
Species: Hu
Applications: ICC/IF, IHC,  IHC-P, WB
H00002316-M01
Species: Hu, Mu, Rt
Applications: ELISA, ICC/IF, IHC,  IHC-P, PLA, WB
AF3690
Species: Hu, Mu
Applications: ChIP, ICC, WB
212-GD
Species: Hu
Applications: Bind, BA
NBP2-01926
Species: Hu, Mu, Rt
Applications: Flow, ICC/IF, IHC,  IHC-P, WB
NBP2-39052
Species: Hu, Mu, Rt
Applications: ICC/IF, IHC

Publications for EMX2 Antibody (NBP2-39052) (0)

There are no publications for EMX2 Antibody (NBP2-39052).
By submitting your publication information earn gift cards and discounts for future purchases.

Reviews for EMX2 Antibody (NBP2-39052) (0)

There are no reviews for EMX2 Antibody (NBP2-39052). By submitting a review you will receive an Amazon e-Gift Card or Novus Product Discount.
  • Review with no image -- $10/€7/£6/$10 CAD/¥70 Yuan/¥1110 Yen
  • Review with an image -- $25/€18/£15/$25 CAD/¥150 Yuan/¥2500 Yen

Product General Protocols

Find general support by application which include: protocols, troubleshooting, illustrated assays, videos and webinars.

Video Protocols

ICC/IF Video Protocol

FAQs for EMX2 Antibody (NBP2-39052) (0)

There are no specific FAQs related to this product. Read our general customer & technical service FAQs.

Contact Information

Product PDFs

Calculators

Concentration Calculator

The concentration calculator allows you to quickly calculate the volume, mass or concentration of your vial. Simply enter your mass, volume, or concentration values for your reagent and the calculator will determine the rest.

=
÷

Review this Product

Be the first to review our EMX2 Antibody and receive a gift card or discount.

Bioinformatics

Gene Symbol EMX2
Uniprot