EGFR [p Tyr1092] Antibody (SJ0194)

Images

 
Western Blot: EGFR [p Tyr1092] Antibody (SJ0194) [NBP2-67411] - Analysis of EGFR [p Tyr1092] on A431 cell lysates. Lane 1: A431 cells, whole cell lysate, 10ug/lane Lane 2/3: A431 cells treated with 100 ng/ml EGF for 30 ...read more
Immunocytochemistry/ Immunofluorescence: EGFR [p Tyr1092] Antibody (SJ0194) [NBP2-67411] - Staining Phospho-EGFR(Y1092) in BT-20 cells (green). The nuclear counter stain is DAPI (blue). Cells were fixed in ...read more
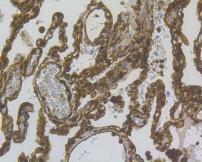
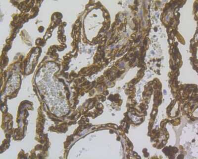
Immunohistochemistry-Paraffin: EGFR [p Tyr1092] Antibody (SJ0194) [NBP2-67411] - Analysis of paraffin-embedded human lung cancer tissue with Rabbit anti-EGFR [p Tyr 1092] antibody washed with ddH2O and PBS, and then ...read more
Western Blot: EGFR [p Tyr1092] Antibody (SJ0194) [NBP2-67411] - Analysis of Phospho-EGFR(Y1092) on different lysates using anti-Phospho-EGFR(Y1092) antibody at 1/1,000 dilution. Positive control: Lane 1: A431 treated ...read more
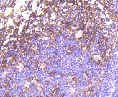
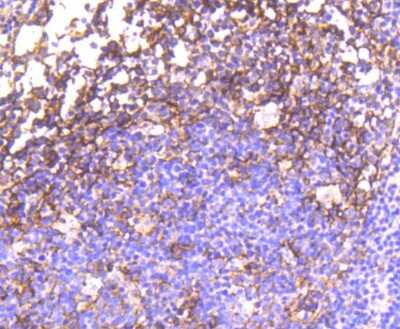
Immunohistochemistry-Paraffin: EGFR [p Tyr1092] Antibody (SJ0194) [NBP2-67411] - Analysis of paraffin-embedded human tonsil tissue using anti-Phospho-EGFR(Y1092) antibody. Counter stained with hematoxylin.
Immunohistochemistry-Paraffin: EGFR [p Tyr1092] Antibody (SJ0194) [NBP2-67411] - Analysis of paraffin-embedded mouse skin tissue using anti-Phospho-EGFR(Y1092) antibody. Counter stained with hematoxylin.

Product Details

Summary
Product Discontinued
View other related EGFR Primary Antibodies

Order Details


    • Catalog Number
      NBP2-67411
    • Availability
      Product Discontinued

    Can't find what you are looking for? Use our Antibody Concierge Service & we will help you locate your antibody!

    Or feel free to contact us for alternative products.

EGFR [p Tyr1092] Antibody (SJ0194) Summary

Additional Information
Recombinant Monoclonal Antibody.
Immunogen
Synthetic phospho-peptide corresponding to residues surrounding Tyr1092 of Human EGFR aa 1,071-1,120 / 1,210. (SwissProt: P00533 Human; SwissProt: Q01279 Mouse)
Modification
p Tyr1092
Localization
Cell membrane, Nucleus membrane, Nucleus, Endoplasmic reticulum membrane, Golgi apparatus membrane, Endosome.
Isotype
IgG
Clonality
Monoclonal
Host
Rabbit
Gene
EGFR
Purity
Protein A purified
Innovator's Reward
Test in a species/application not listed above to receive a full credit towards a future purchase.

Applications/Dilutions

Dilutions
  • Immunocytochemistry/ Immunofluorescence 1:50-1:200
  • Immunohistochemistry
  • Immunohistochemistry-Paraffin 1:50-1:200
  • Western Blot 1:1000-1:2000

Packaging, Storage & Formulations

Storage
Store at 4C short term. Aliquot and store at -20C long term. Avoid freeze-thaw cycles.
Buffer
TBS (pH7.4), 0.05% BSA, 40% Glycerol
Preservative
0.05% Sodium Azide
Concentration
1 mg/ml
Purity
Protein A purified

Alternate Names for EGFR [p Tyr1092] Antibody (SJ0194)

  • avian erythroblastic leukemia viral (v-erb-b) oncogene homolog
  • cell growth inhibiting protein 40
  • cell proliferation-inducing protein 61
  • EC 2.7.10
  • EC 2.7.10.1
  • EGF R
  • EGFR
  • epidermal growth factor receptor (avian erythroblastic leukemia viral (v-erb-b)oncogene homolog)
  • epidermal growth factor receptor
  • ErbB
  • ErbB1
  • ERBB1PIG61
  • HER1
  • HER-1
  • mENA
  • Proto-oncogene c-ErbB-1
  • Receptor tyrosine-protein kinase erbB-1

Background

Epidermal growth factor receptor (EGFR), also known as ErbB1 and HER1, is a type I glycoprotein that belongs the ErbB subfamily of receptor tyrosine kinases (RTKs), which includes ErbB2/HER2, ErbB3/HER3, and ErbB4/HER4 (1,2). EGFR plays an important role in epithelial cell development and homeostasis and as a driver of tumorigenesis in cancer (1,2). The human EGFR is protein 1210 amino acids (aa) in length with a theoretical molecular weight (MW) of 134 kDa (1). The protein consists of a short signal peptide, an extracellular domain (ECD) divided into four subdomains (I-IV), a transmembrane region, an intracellular juxtamembrane segment, a tyrosine kinase domain, and C-terminal tail (1-3). Within the ECD, human EGFR has 88-90% aa sequence identity with mouse and rat EGFR. EGFR has four known specific ligands: EGF, amphiregulin, epigen, and transforming growth factor alpha (TGF-alpha). EGFR ligands betacellulin, epiregulin, and herapin binding (HB)-EGF have dual specificity with ErbB4 (1,3). Ligand binding to the extracellular domain of EFGR leads to receptor homodimerization, or heterodimerization with other ErbB family members, and EGFR activation. This results in subsequent phosphorylation and activation of intracellular signaling pathways, such as MAPK and PI3K/Akt (2,3). EGFR signaling is essential for many cellular processes including proliferation, differentiation, migration, and apoptosis (1,3,5).

In addition to its role in normal development, EGFR mutations or overexpression is observed in many tumors, including breast cancer, non-small cell lung carcinoma (NSCLC), colon cancer, and more (3-6). Small molecule tyrosine kinase inhibitors (TKIs), like gefitinib, erlotinib, and afatinib, have shown great efficacy in treating patients with EGFR activating mutations, especially for NSCLC (4-6). However, most patients eventually develop acquired resistance to TKIs and thus combination and alternative therapies are in development (4-6). A third-generation TKI, osimertinib, is approved for NSCLC patients with resistance to first-line EGFR TKI treatment (6). Additionally, combination therapies of EGFR TKIs with monoclonal antibody immunotherapies, like anti-PD-L1, are being further investigated in clinical trials (6).

References

1. Roskoski R Jr. Small molecule inhibitors targeting the EGFR/ErbB family of protein-tyrosine kinases in human cancers. Pharmacol Res. 2019; 139:395-411. https://doi.org/10.1016/j.phrs.2018.11.014

2. Sigismund S, Avanzato D, Lanzetti L. Emerging functions of the EGFR in cancer. Mol Oncol. 2018; 12(1):3-20. https://doi.org/10.1002/1878-0261.12155

3. Normanno N, De Luca A, Bianco C, et al. Epidermal growth factor receptor (EGFR) signaling in cancer. Gene. 2006; 366(1):2-16. https://doi.org/10.1016/j.gene.2005.10.018

4. Liu Q, Yu S, Zhao W, Qin S, Chu Q, Wu K. EGFR-TKIs resistance via EGFR-independent signaling pathways. Mol Cancer. 2018; 17(1):53. https://doi.org/10.1186/s12943-018-0793-1

5. Harrison PT, Vyse S, Huang PH. Rare epidermal growth factor receptor (EGFR) mutations in non-small cell lung cancer. Semin Cancer Biol. 2020; 61:167-179. https://doi.org/10.1016/j.semcancer.2019.09.015

6. Wu SG, Shih JY. Management of acquired resistance to EGFR TKI-targeted therapy in advanced non-small cell lung cancer. Mol Cancer. 2018; 17(1):38. https://doi.org/10.1186/s12943-018-0777-1

Limitations

This product is for research use only and is not approved for use in humans or in clinical diagnosis. Primary Antibodies are guaranteed for 1 year from date of receipt.

Customers Who Viewed This Item Also Viewed...

236-EG
Species: Hu
Applications: BA
1129-ER
Species: Hu
Applications: BA
AF1230
Species: Hu, Mu, Rt
Applications: IHC, KO, WB
DYC1825-2
Species: Hu, Mu, Rt
Applications: ELISA
AF887
Species: Hu, Mu, Rt
Applications: CyTOF-ready, IHC, ICFlow, Simple Western, WB
NB200-103
Species: Hu, Mu, Rt, Xp(-), Ye
Applications: CyTOF-ready, ELISA, Flow-IC, Flow, ICC/IF, IHC, IHC-Fr,  IHC-P, IP, WB
DVE00
Species: Hu
Applications: ELISA
MAB1131
Species: Hu
Applications: ICC, IHC, WB
AF467
Species: Hu, Mu
Applications: CyTOF-ready, Flow, ICC, IHC, Simple Western, WB
AF2685
Species: Hu
Applications: IHC, Simple Western, WB
MAB3481
Species: Hu
Applications: CyTOF-ready, ELISA(Cap), ELISA(Det), ELISA(Sta), Flow, Neut
H00003845-M01
Species: Hu, Mu
Applications: ELISA, ICC/IF, IP, WB
AF5415
Species: Hu
Applications: ICC, IHC, Simple Western, WB
NBP2-19804
Species: Hu, Mu
Applications: ICC/IF, IHC,  IHC-P, WB
239-A
Species: Hu
Applications: BA
NB300-560
Species: Av, Bv, Ma, Hu, Mu, Pm, Rt
Applications: IF, IHC, IHC-Fr,  IHC-P, WB
AF262
Species: Hu
Applications: ICC, IHC, Neut, WB
NBP2-67411
Species: Hu, Mu
Applications: WB, ICC/IF, IHC

Publications for EGFR Antibody (NBP2-67411) (0)

There are no publications for EGFR Antibody (NBP2-67411).
By submitting your publication information earn gift cards and discounts for future purchases.

Reviews for EGFR Antibody (NBP2-67411) (0)

There are no reviews for EGFR Antibody (NBP2-67411). By submitting a review you will receive an Amazon e-Gift Card or Novus Product Discount.
  • Review with no image -- $10/€7/£6/$10 CAD/¥70 Yuan/¥1110 Yen
  • Review with an image -- $25/€18/£15/$25 CAD/¥150 Yuan/¥2500 Yen

Product General Protocols

Find general support by application which include: protocols, troubleshooting, illustrated assays, videos and webinars.

Video Protocols

WB Video Protocol
ICC/IF Video Protocol

FAQs for EGFR Antibody (NBP2-67411) (0)

There are no specific FAQs related to this product. Read our general customer & technical service FAQs.

Secondary Antibodies

 

Isotype Controls

Additional EGFR Products

Research Areas for EGFR Antibody (NBP2-67411)

Find related products by research area.

Blogs on EGFR. Showing 1-10 of 11 blog posts - Show all blog posts.

Hypoxia-Dependent CAR Stabilizing Construct in T cells Improves Solid Tumor Targeting and Efficacy
By Victoria Osinski, PhDDespite advances in the development of cancer immunotherapies, those specifically targeting tumors still remains limited. Currently, there is great interest in utilizing chimeric antigen rece...  Read full blog post.

Dual applications of a c-Myc antibody in mitochondrial research
c-Myc, a proto-oncogene, has documented involvement in cellular differentiation, cell growth, cell death and tumor formation.  Target genes of the Myc family include those that participate in cell survival, translation, transcription, metabolism and...  Read full blog post.

The dynamic use of a PCNA antibody in fish, porcine and primate species
Proliferating cell nuclear antigen (PCNA) plays a crucial role in nucleic acid metabolism as it pertains to DNA replication and repair.  Most noted for its activation of subunits of DNA polymerase, it has also been found to interact with cell-cycl...  Read full blog post.

Using a STAT3 antibody in chromatin immunoprecipitation (ChIP)
Signal transducer and activator of transcription 3 (STAT3) is an important oncogenic transcriptional factor that mediates tumor induced immune suppression.  Specifically, STAT3 transmits signals from cytokines and growth factor receptors in the pla...  Read full blog post.

Beta Tubulin III and neurogenesis
Beta tubulin III, also known as Tuj-1, is a class III member of the beta tubulin protein family. Beta tubulins are one of two structural components that form our microtubule network. While general tubulins play a role in a wide range of cellular pr...  Read full blog post.

The relationship between Ki67 and HIF-1 in cancer
Ki67, also known as MKI67, is best known as the leading marker of cellular proliferation. Ki67 is regulated by a balance between synthesis and degradation, and often carries a very short half-life.  First discovered to be located to dividing cells,...  Read full blog post.

Niemann Pick-C1 and cholesterol dynamics
Niemann-Pick type C1 (NPC1) mediates low-density cholesterol transport from late endosomes and lysosomes to other areas of the cell via receptor mediation endocytosis.  Although cholesterol moves freely inside the cell, it cannot independently expo...  Read full blog post.

MAPK3/ERK1 - A signal transduction pathway with roles in development and disease
Mitogen-activated protein kinases (MAPKs) are important signaling proteins needed to transmit and relay extracellular stimuli and to illicit intracellular responses (1). The MAPK family of proteins are serine/threonine kinases that are able to phos...  Read full blog post.

Using EGF Protein from Novus Biologicals
EGF (epidermal growth factor) stimulates differentiation, proliferation and cell growth by binding to its receptor, EGFR. EGF was first discovered in the mouse submandibular gland in 1986 by Stanley Cohen of Vanderbilt University, leading to a Nobel P...  Read full blog post.

It's a Wiz: Merlin Antibodies Advance Hepatic Tumor Research
The NF2 gene, also known as “Merlin”, was discovered through studies into Neurofibromatosis Type II, a rare genetic disease which causes formation of non-malignant, but life-limiting, brain tumors. NF2 encodes a cytoskeletal protein involved in extrac...  Read full blog post.

Showing 1-10 of 11 blog posts - Show all blog posts.

Contact Information

Product PDFs

Calculators

Concentration Calculator

The concentration calculator allows you to quickly calculate the volume, mass or concentration of your vial. Simply enter your mass, volume, or concentration values for your reagent and the calculator will determine the rest.

=
÷

Review this Product

Be the first to review our EGFR [p Tyr1092] Antibody (SJ0194) and receive a gift card or discount.

Bioinformatics

Gene Symbol EGFR