DNTTIP2 Antibody - BSA Free

Images

 
Genetic Strategies: Western Blot: DNTTIP2 Antibody [NBP1-91845] - Analysis in U2OS cells transfected with control siRNA, target specific siRNA probe #1 and #2. Remaining relative intensity is presented.
Immunocytochemistry/ Immunofluorescence: DNTTIP2 Antibody [NBP1-91845] - Staining of human cell line A-431 shows localization to nucleoli. Antibody staining is shown in green.
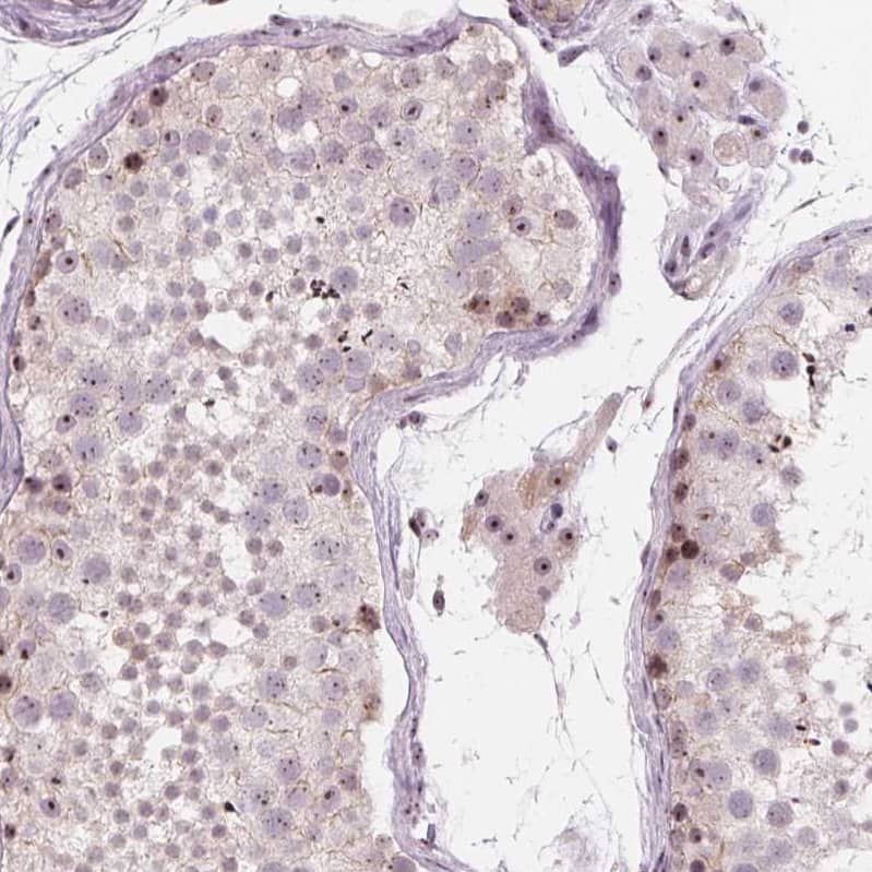
Immunohistochemistry-Paraffin: DNTTIP2 Antibody [NBP1-91845] - Staining of human testis shows moderate nucleolar positivity in subset of cells in seminiferous ducts and Leydig cells.
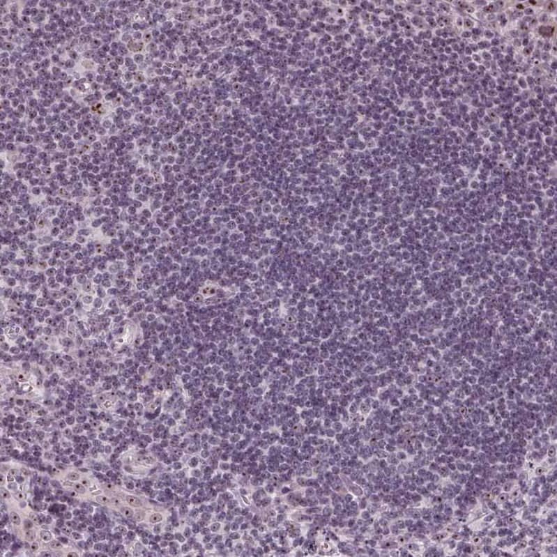
Staining of human tonsil tissues show strong positivity in nucleoli in germinal center cells and non germinal cells.
Staining of human testis shows strong positivity in nucleoli in Leydig cells and seminiferous duct cells.
Genetic Strategies: Analysis in U2OS cells transfected with control siRNA, target specific siRNA probe #1 and #2. Remaining relative intensity is presented.
Staining of human cerebral cortex shows strong positivity in nucleoli in neurons.
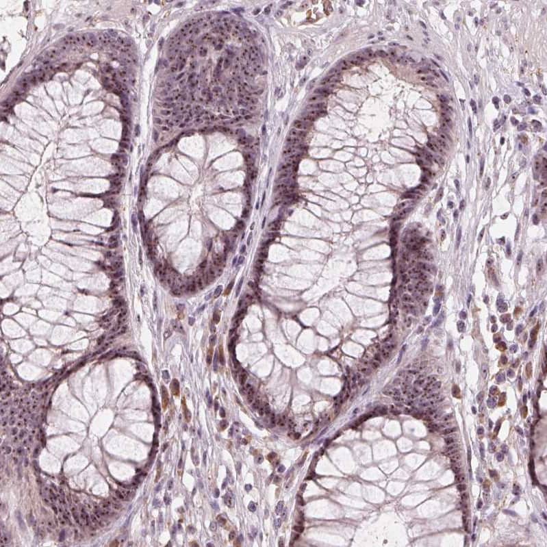
Staining of human rectum shows strong positivity in nucleoli in glandular cells.

Product Details

Summary
Reactivity HuSpecies Glossary
Applications WB, ICC/IF, IHC, Mycoplasma
Clonality
Polyclonal
Host
Rabbit
Conjugate
Unconjugated
Format
BSA Free
Validated by:
     

Genetic Strategies

   

Order Details

View Available Formulations
Catalog# & Formulation Size Price

DNTTIP2 Antibody - BSA Free Summary

Description
Novus Biologicals Rabbit DNTTIP2 Antibody - BSA Free (NBP1-91845) is a polyclonal antibody validated for use in IHC, WB and ICC/IF. All Novus Biologicals antibodies are covered by our 100% guarantee.
Immunogen
This antibody was developed against Recombinant Protein corresponding to amino acids: PSQESHTEAISDAETSSSDISFSGIATRRTRSMQRKLKAQTEKKDSKIVPGNEKQIVGTPVNSEDSDTRQTSHLQARSLSEINKPNFYNNDFDDDFSHR
Isotype
IgG
Clonality
Polyclonal
Host
Rabbit
Gene
DNTTIP2
Purity
Affinity purified
Innovator's Reward
Test in a species/application not listed above to receive a full credit towards a future purchase.

Applications/Dilutions

Dilutions
  • Immunocytochemistry/ Immunofluorescence 0.25-2 ug/ml
  • Immunohistochemistry 1:1000 - 1:2500
  • Immunohistochemistry-Paraffin 1:1000 - 1:2500
  • Knockdown Validated
  • Western Blot 0.04-0.4 ug/ml
Application Notes
For IHC-Paraffin, HIER pH 6 retrieval is recommended. ICC/IF Fixation Permeabilization: Use PFA/Triton X-100.
Control Peptide
DNTTIP2 Protein (NBP1-91845PEP)

Packaging, Storage & Formulations

Storage
Store at 4C short term. Aliquot and store at -20C long term. Avoid freeze-thaw cycles.
Buffer
PBS (pH 7.2) and 40% Glycerol
Preservative
0.02% Sodium Azide
Purity
Affinity purified

Alternate Names for DNTTIP2 Antibody - BSA Free

  • acidic 82 kDa protein mRNA
  • deoxynucleotidyltransferase terminal-interacting protein 2
  • deoxynucleotidyltransferase, terminal, interacting protein 2
  • ERBP
  • estrogen receptor binding protein
  • FCF2
  • FLJ98849
  • HSU15552
  • LPTS-interacting protein 2
  • LPTS-RP2
  • MGC163494
  • TDIF2
  • tdT-interacting factor 2

Background

Regulates the transcriptional activity of DNTT and ESR1. May function as a chromatin remodeling protein

Limitations

This product is for research use only and is not approved for use in humans or in clinical diagnosis. Primary Antibodies are guaranteed for 1 year from date of receipt.

Customers Who Viewed This Item Also Viewed...

NBP2-31368
Species: Hu
Applications: ICC/IF, IHC,  IHC-P, WB
MEP00B
Species: Mu
Applications: ELISA
AF2199
Species: Hu
Applications: IP, WB
NBP2-24613
Species: Hu
Applications: IHC,  IHC-P, Simple Western, WB
NBP2-16686
Species: Hu
Applications: ICC/IF, IHC,  IHC-P, KO, WB
AF3749
Species: Hu
Applications: IHC, WB
NBP2-22106
Species: Hu, Mu, Rt
Applications: IHC,  IHC-P, IP, WB
NBP3-07388
Species: Hu
Applications: Flow, ICC/IF, IHC,  IHC-P
DTM100
Species: Hu
Applications: ELISA
NBP2-52511
Species: Hu
Applications: CyTOF-ready, ELISA, Flow, IHC,  IHC-P, WB
NBP2-49118
Species: Hu
Applications: IHC,  IHC-P
NB500-106
Species: Ch, Dr, Fi, Hu, Mar, Mu, Po, Pm, Rb, Rt, Ye, Ze
Applications: ChIP, ChIP, ELISA, Flow, ICC/IF, IHC-FrFl, IHC, IHC-Fr,  IHC-P, IP, Simple Western, WB
PP-H4417-00
Species: Hu
Applications: DirELISA, IP, WB
NBP3-04075
Species: Hu, Rt
Applications: ELISA, ICC/IF, IHC,  IHC-P, WB
NBP2-48860
Species: Hu, Mu
Applications: IHC,  IHC-P, WB
AF640
Species: Mu
Applications: IHC, WB
NB100-81655
Species: Hu
Applications: IHC,  IHC-P, IP, WB
NBP2-02507
Species: Hu, Mu, Rt
Applications: ICC/IF, IHC,  IHC-P, WB

Publications for DNTTIP2 Antibody (NBP1-91845) (0)

There are no publications for DNTTIP2 Antibody (NBP1-91845).
By submitting your publication information earn gift cards and discounts for future purchases.

Reviews for DNTTIP2 Antibody (NBP1-91845) (0)

There are no reviews for DNTTIP2 Antibody (NBP1-91845). By submitting a review you will receive an Amazon e-Gift Card or Novus Product Discount.
  • Review with no image -- $10/€7/£6/$10 CAD/¥70 Yuan/¥1110 Yen
  • Review with an image -- $25/€18/£15/$25 CAD/¥150 Yuan/¥2500 Yen

Product General Protocols

Find general support by application which include: protocols, troubleshooting, illustrated assays, videos and webinars.

Video Protocols

WB Video Protocol
ICC/IF Video Protocol

FAQs for DNTTIP2 Antibody (NBP1-91845) (0)

There are no specific FAQs related to this product. Read our general customer & technical service FAQs.

Customers Who Bought This Also Bought

Contact Information

Product PDFs

Calculators

Concentration Calculator

The concentration calculator allows you to quickly calculate the volume, mass or concentration of your vial. Simply enter your mass, volume, or concentration values for your reagent and the calculator will determine the rest.

=
÷

Review this Product

Be the first to review our DNTTIP2 Antibody - BSA Free and receive a gift card or discount.

Bioinformatics

Gene Symbol DNTTIP2