DNA Ligase I Antibody (JB43-39)

Images

 
Western Blot: DNA Ligase I Antibody (JB43-39) [NBP2-75473] - Analysis of DNA Ligase I on different cell lysates using anti-DNA Ligase I antibody at 1/500 dilution.Positive control:Lane 1: Daudi Lane 2: A431Lane 3: ...read more
Immunohistochemistry-Paraffin: DNA Ligase I Antibody (JB43-39) [NBP2-75473] - Analysis of paraffin-embedded rat testis tissue using anti-DNA Ligase I antibody. Counter stained with hematoxylin.
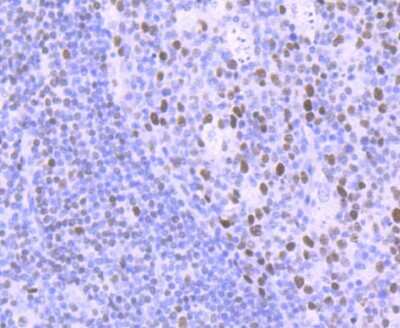
Immunohistochemistry-Paraffin: DNA Ligase I Antibody (JB43-39) [NBP2-75473] - Analysis of paraffin-embedded human tonsil tissue using anti-DNA Ligase I antibody. Counter stained with hematoxylin.
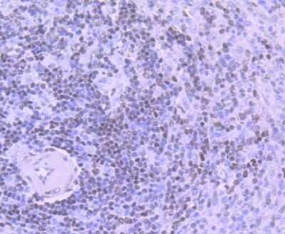
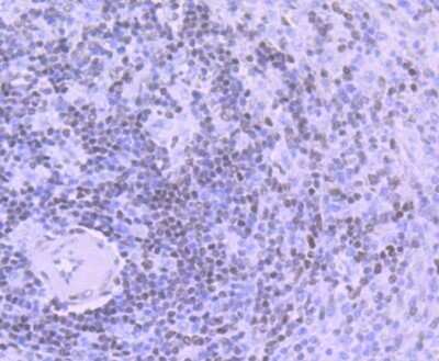
Immunohistochemistry-Paraffin: DNA Ligase I Antibody (JB43-39) [NBP2-75473] - Analysis of paraffin-embedded human spleen tissue using anti-DNA Ligase I antibody. Counter stained with hematoxylin.

Product Details

Summary
Product Discontinued
View other related DNA Ligase I Primary Antibodies

Order Details


    • Catalog Number
      NBP2-75473
    • Availability
      Product Discontinued

    Can't find what you are looking for? Use our Antibody Concierge Service & we will help you locate your antibody!

    Or feel free to contact us for alternative products.

DNA Ligase I Antibody (JB43-39) Summary

Additional Information
Recombinant Monoclonal Antibody.
Immunogen
Recombinant protein within Human DNA Ligase I aa 1-131 / 919. (SwissProt: P18858 Human; SwissProt: 37227 Rat)
Localization
Nucleus.
Isotype
IgG
Clonality
Monoclonal
Host
Rabbit
Gene
LIG1
Purity
Protein A purified
Innovator's Reward
Test in a species/application not listed above to receive a full credit towards a future purchase.

Applications/Dilutions

Dilutions
  • Immunohistochemistry
  • Immunohistochemistry-Paraffin 1:50-1:200
  • Western Blot 1:500
Theoretical MW
102 kDa.
Disclaimer note: The observed molecular weight of the protein may vary from the listed predicted molecular weight due to post translational modifications, post translation cleavages, relative charges, and other experimental factors.

Packaging, Storage & Formulations

Storage
Store at 4C short term. Aliquot and store at -20C long term. Avoid freeze-thaw cycles.
Buffer
TBS (pH7.4), 0.05% BSA, 40% Glycerol
Preservative
0.05% Sodium Azide
Concentration
1 mg/ml
Purity
Protein A purified

Alternate Names for DNA Ligase I Antibody (JB43-39)

  • DNA ligase 1
  • DNA Ligase I
  • EC 6.5.1.1
  • ligase I, DNA, ATP-dependent
  • MGC117397
  • MGC130025
  • Polydeoxyribonucleotide synthase [ATP] 1
  • polydeoxyribonucleotide synthase ATP 1

Background

DNA ligase 1 catalyzes the joining of double-stranded DNA ends during replication, recombination, and repair. Structurally, DNA ligase 1 is toroidal and encircles nicked DNA substrates. The 9-1-1 complex, a DNA damage checkpoint complex, has been reported to associate with DNA ligase 1 and stimulate ligase activity. Mutations in DNA ligase 1 result in immunodeficiency and increased sensitivity to DNA-damaging agents.

Limitations

This product is for research use only and is not approved for use in humans or in clinical diagnosis. Primary Antibodies are guaranteed for 1 year from date of receipt.

Customers Who Viewed This Item Also Viewed...

NBP2-16182
Species: Hu, Mu, Rt
Applications: ICC/IF, IHC,  IHC-P, WB
NBP1-87154
Species: Hu
Applications: ICC/IF, IHC,  IHC-P, KD, WB
NBP1-41190
Species: Ch, Hu, Mu
Applications: B/N, ICC/IF, IP, PLA, WB
AF3495
Species: Hu
Applications: IHC, WB
NB100-119
Species: Hu, Mu
Applications: ICC/IF,  IHC-P, IP, In vitro, RIA, WB
NBP3-15704
Species: Hu, Mu, Rt
Applications: ELISA, IHC,  IHC-P, WB
NB500-704
Species: ChHa, Hu, Rt
Applications: ICC/IF, IHC,  IHC-P, WB
NB500-106
Species: Ch, Dr, Fi, Hu, Mar, Mu, Po, Pm, Rb, Rt, Ye, Ze
Applications: ChIP, ChIP, ELISA, Flow, ICC/IF, IHC-FrFl, IHC, IHC-Fr,  IHC-P, IP, Simple Western, WB
NBP1-41190
Species: Ch, Hu, Mu
Applications: B/N, ICC/IF, IP, PLA, WB
NB100-116
Species: Hu, Mu, Pm, Rt
Applications: ChIP, ELISA, GS, IB, ICC/IF, IHC, IHC-Fr,  IHC-P, IP, KD, PLA, Simple Western, WB
NB100-74611
Species: Hu
Applications: ICC/IF, IHC,  IHC-P, IP, WB
NBP2-27335
Species: Hu, Mu, Rt(-)
Applications: CyTOF-ready, Flow, ICC/IF, WB
NBP2-38600
Species: Hu
Applications: ICC/IF, IHC,  IHC-P, WB
NBP1-89463
Species: Hu
Applications: ICC/IF, IHC,  IHC-P, KD, WB
NB100-477
Species: Hu, Mu
Applications: ICC/IF, IHC,  IHC-P, WB
NBP2-01020
Species: Hu, Mu
Applications: Flow, ICC/IF, IHC,  IHC-P, WB
AF3688
Species: Mu
Applications: CyTOF-ready, Flow, ICC, WB
NB100-150
Species: Hu, Mu
Applications: ChIP, ICC/IF, IP, Simple Western, WB
NB100-61060
Species: Hu, Mu, Rb, V-Vi
Applications: ChIP, IP, WB
NBP2-75473
Species: Hu, Rt
Applications: WB, IHC

Publications for DNA Ligase I Antibody (NBP2-75473) (0)

There are no publications for DNA Ligase I Antibody (NBP2-75473).
By submitting your publication information earn gift cards and discounts for future purchases.

Reviews for DNA Ligase I Antibody (NBP2-75473) (0)

There are no reviews for DNA Ligase I Antibody (NBP2-75473). By submitting a review you will receive an Amazon e-Gift Card or Novus Product Discount.
  • Review with no image -- $10/€7/£6/$10 CAD/¥70 Yuan/¥1110 Yen
  • Review with an image -- $25/€18/£15/$25 CAD/¥150 Yuan/¥2500 Yen

Product General Protocols

Find general support by application which include: protocols, troubleshooting, illustrated assays, videos and webinars.

Video Protocols

WB Video Protocol

FAQs for DNA Ligase I Antibody (NBP2-75473) (0)

There are no specific FAQs related to this product. Read our general customer & technical service FAQs.

Secondary Antibodies

 

Isotype Controls

Additional DNA Ligase I Products

Research Areas for DNA Ligase I Antibody (NBP2-75473)

Find related products by research area.

Blogs on DNA Ligase I.

Using PCNA as an Antibody Marker
PCNA antibodies are useful biomarkers in DNA repair studies. PCNA is one of several proteins essential for the completion of nucleotide excision repair, a multi-stage process involving 20 - 30 proteins, and an important factor in repairing damage and ...  Read full blog post.

Contact Information

Product PDFs

Calculators

Concentration Calculator

The concentration calculator allows you to quickly calculate the volume, mass or concentration of your vial. Simply enter your mass, volume, or concentration values for your reagent and the calculator will determine the rest.

=
÷

Review this Product

Be the first to review our DNA Ligase I Antibody (JB43-39) and receive a gift card or discount.

Bioinformatics

Gene Symbol LIG1