Desmin Antibody - C-terminus

Images

 
Western Blot: Desmin Antibody [NBP1-45143] - Analysis of human (A), mouse (B), rat (C) and pig (D) skeletal muscle lysate (35ug protein in RIPA buffer) probed with Goat anti Human desmin antibody (NBP1-45143) at ...read more
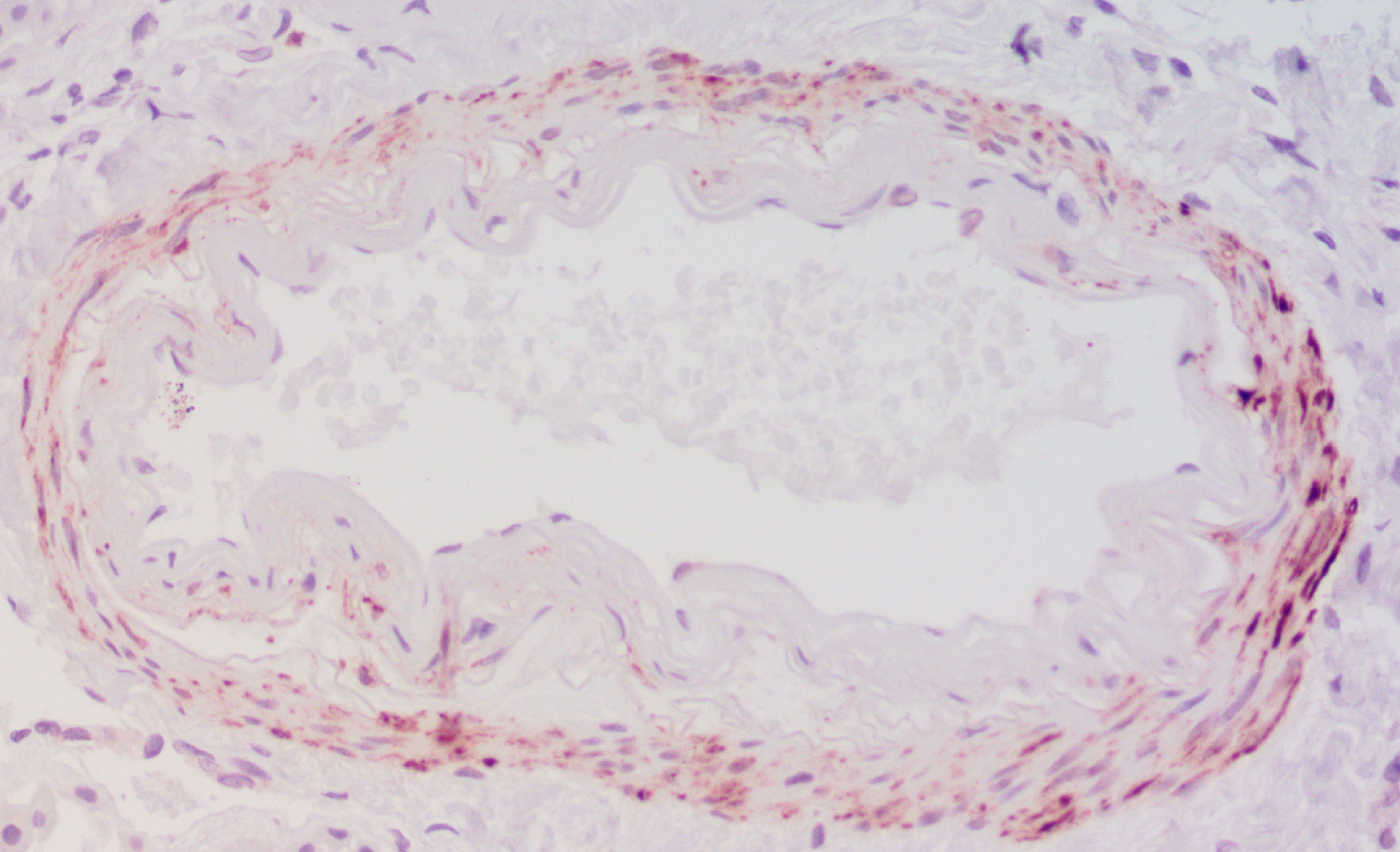
Immunohistochemistry-Paraffin: Desmin Antibody [NBP1-45143] - Staining showing strong specific labeling in pericytes around blood vessels in the brain. Antigen retrieval at pH6 (citra) was performed and Desmin was used ...read more
Western Blot: Desmin Antibody [NBP1-45143] - Human skeletal muscle cell lysate probed with Goat anti Human Desmin C-Terminal (NBP1-45143)

Product Details

Summary
Reactivity HuSpecies Glossary
Applications WB, ELISA, IHC
Clonality
Polyclonal
Host
Goat
Conjugate
Unconjugated
Concentration
0.5 mg/ml

Order Details

Desmin Antibody - C-terminus Summary

Description
Novus Biologicals Goat Desmin Antibody - C-terminus (NBP1-45143) is a polyclonal antibody validated for use in IHC, WB and ELISA. Anti-Desmin Antibody: Cited in 2 publications. All Novus Biologicals antibodies are covered by our 100% guarantee.
Immunogen
Synthetic peptide sequence C-RDGEVVSEATQQQHE from the C-Terminal region of Desmin (NP_001918.3)
Specificity
Goat anti Human Desmin recognizes an epitope within the C-terminal (CT) region of human.
Isotype
IgG
Clonality
Polyclonal
Host
Goat
Gene
DES
Purity
Immunogen affinity purified
Innovator's Reward
Test in a species/application not listed above to receive a full credit towards a future purchase.

Applications/Dilutions

Dilutions
  • ELISA 1:2000
  • Immunohistochemistry 3-6 ug/ml
  • Immunohistochemistry-Paraffin 3-6 ug/ml
  • Western Blot 0.1-0.3 ug/ml
Application Notes
This product requires heat-mediated antigen retrieval prior to staining of paraffin sections. Sodium citrate buffer pH6.0 is recommended for this purpose. Goat anti Human Desmin detects a band of approximately 55kDa in human skeletal muscle cell lysates.
Theoretical MW
55 kDa.
Disclaimer note: The observed molecular weight of the protein may vary from the listed predicted molecular weight due to post translational modifications, post translation cleavages, relative charges, and other experimental factors.
Reviewed Applications
Read 1 Review rated 5
using
NBP1-45143 in the following applications:

Publications
Read Publications using
NBP1-45143 in the following applications:

  • WB
    2 publications

Reactivity Notes

Predicted cross-reactivities: Mouse, Porcine, Rat, Dog, Bovine

Packaging, Storage & Formulations

Storage
Store at 4C short term. Aliquot and store at -20C long term. Avoid freeze-thaw cycles.
Buffer
TRIS buffered saline, 0.5% Bovine Serum Albumin
Preservative
0.02% Sodium Azide
Concentration
0.5 mg/ml
Purity
Immunogen affinity purified

Alternate Names for Desmin Antibody - C-terminus

  • CMD1I
  • CMD1IFLJ41013
  • CSM1
  • CSM2
  • DES
  • Desmin
  • FLJ12025
  • FLJ39719
  • FLJ41793
  • intermediate filament protein

Background

Desmins belongs to the intermediate filament family, and are class III intermediate filaments found in muscle cells. In adult striated muscle they form a fibrous network connecting myofibrils to each other and to the plasma membrane from the periphery of the Z line structures. Defects in Desmin are the cause of desmin related cardio skeletal myopathy (CSM) also known as desmin related myopathy (DRM). CSM is characterized by skeletal muscle weakness associated with cardiac conduction blocks, arrhythmias, restrictive heart failure, and by intracytoplasmic accumulation of desmin reactive deposits in cardiac and skeletal muscle cells. A desmin related myopathy can have a distal onset, it is then known as hereditary distal myopathy (HDM). Defects in Desmin are also the cause of dilated cardiomyopathy type 1I (CMD1I). CMD1I is an autosomal form of dilated cardiomyopathy characterized by ventricular dilatation and impaired systolic function. Antidesmin antibodies are useful in identification of tumours of myogenic origin.

Limitations

This product is for research use only and is not approved for use in humans or in clinical diagnosis. Primary Antibodies are guaranteed for 1 year from date of receipt.

Customers Who Viewed This Item Also Viewed...

NB300-223
Species: Bv, Ca, Ch, Eq, Hu, Mu, Po, Rt
Applications: ICC/IF, IHC, IHC-Fr,  IHC-P, WB
NB300-141
Species: Bv, Ch, Eq, Gp, Hu, Mu, Po, Rb, Rt
Applications: ICC/IF, IHC, IHC-Fr,  IHC-P, Simple Western, WB
AF4117
Species: Rt
Applications: IHC, WB
AF1356
Species: Hu, Mu
Applications: CyTOF-ready, Dual ISH-IHC, Flow, IHC, Simple Western, WB
NB110-58870
Species: Hu, Mu, Rt
Applications: ICC/IF, IHC, KD, Simple Western, WB
NBP1-87102
Species: Hu, Mu, Rt
Applications: ICC/IF, IHC,  IHC-P, WB
NBP1-87103
Species: Hu, Mu
Applications: IHC,  IHC-P, WB
NB120-22711
Species: Hu, Mu
Applications: ELISA, Flow, ICC/IF, IHC, IHC-Fr,  IHC-P
NB500-526
Species: Hu
Applications: ELISA, IHC,  IHC-P, WB
MAB4470
Species: All-Multi
Applications: Flow, ICC, IHC, WB
NB100-56511
Species: Hu, Mu
Applications: Flow, ICC/IF, IHC, IHC-Fr,  IHC-P, IP, KD, KO, WB
MAB66861
Species: Hu
Applications: ICC, WB
291-G1
Species: Hu
Applications: BA
NBP3-03965
Species: Hu, Mu, Rt
Applications: ICC/IF, WB
MAB1259
Species: Hu
Applications: CyTOF-reported, ICC, ICFlow
NBP1-84854
Species: Hu, Mu, Rt
Applications: ICC/IF, IHC,  IHC-P, KD, WB
NBP1-91258
Species: Bv, Ca, Eq, Fe, Hu, Mu, Po, Rt
Applications: ICC/IF, IHC, IHC-Fr,  IHC-P, Simple Western, WB

Publications for Desmin Antibody (NBP1-45143)(2)

We have publications tested in 1 confirmed species: Human.

We have publications tested in 1 application: WB.


Filter By Application
WB
(2)
All Applications
Filter By Species
Human
(1)
All Species

Review for Desmin Antibody (NBP1-45143) (1) 51

Average Rating: 5
(Based on 1 review)
We have 1 review tested in 1 species: Human.

Reviews using NBP1-45143:
Filter by Applications
 IHC-P
(1)
All Applications
Filter by Species
Human
(1)
All Species
Images Ratings Applications Species Date Details
Immunohistochemistry-Paraffin Desmin NBP1-45143
Enlarge
5
reviewed by:
Verified Customer
 IHC-P Human 03/01/2019
View

Summary

ApplicationImmunohistochemistry-Paraffin
Sample Testedbrain and spinal cord
SpeciesHuman
Lot161206

Comments

CommentsAntigen retrieval at pH6 fro 20 minutes in a steamer; Used at 1:500 concentration. Novared (Vector labs) was used as a chromogen to develop the signal.

Product General Protocols

Find general support by application which include: protocols, troubleshooting, illustrated assays, videos and webinars.

Video Protocols

WB Video Protocol

FAQs for Desmin Antibody (NBP1-45143) (0)

There are no specific FAQs related to this product. Read our general customer & technical service FAQs.

Secondary Antibodies

 

Isotype Controls

Additional Desmin Products

Research Areas for Desmin Antibody (NBP1-45143)

Find related products by research area.

Blogs on Desmin.

Alpha-smooth muscle actin and the modulation of endothelial and epithelial cell biology
Actin is essential for a wide range of cell functions, ranging from cell division and chromatin remodeling to vesicle trafficking and maintenance of cellular structure. In fact, mislocalization of actin to cell junctions during development leads t...  Read full blog post.

Vimentin in Wound Healing
Vimentin is a fundamental 10 nm type III intermediate filament (IF) protein found in many mesenchymal and epithelia tissues, tissue culture cells, and developing neuronal and astrocytic precursor cells of the central nervous system. It frequently co-p...  Read full blog post.

Customers Who Bought This Also Bought

Contact Information

Product PDFs

Calculators

Concentration Calculator

The concentration calculator allows you to quickly calculate the volume, mass or concentration of your vial. Simply enter your mass, volume, or concentration values for your reagent and the calculator will determine the rest.

=
÷

Recent Reviews

5
5
1
4
0
3
0
2
0
1
0

Verified Customer
03/01/2019
Application:  IHC-P
Species: Human

Bioinformatics

Gene Symbol DES
Entrez
Uniprot