Desmin Antibody (DES/3255) - Azide and BSA Free

Images

 
Formalin-fixed, paraffin-embedded human prostate stained with Desmin antibody (DES/3255) at 2ug/ml. HIER: Tris/EDTA, pH9.0, 45min. Secondary: HRP-polymer, 30min. DAB, 5min.
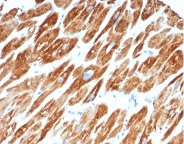
Formalin-fixed, paraffin-embedded human cardiac muscle stained with Desmin antibody (DES/3255) at 2ug/ml. HIER: Tris/EDTA, pH9.0, 45min. Secondary: HRP-polymer, 30min. DAB, 5min.
Formalin-fixed, paraffin-embedded cat smooth muscle stained with Desmin antibody (DES/3255) at 2ug/ml. HIER: Tris/EDTA, pH9.0, 45min. Secondary: HRP-polymer, 30min. DAB, 5min.
Formalin-fixed, paraffin-embedded dog smooth muscle stained with Desmin antibody (DES/3255) at 2ug/ml. HIER: Tris/EDTA, pH9.0, 45min. Secondary: HRP-polymer, 30min. DAB, 5min.
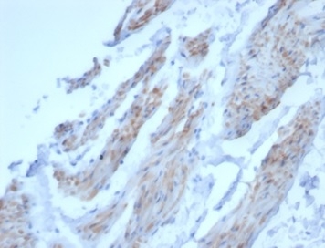
Formalin-fixed, paraffin-embedded horse smooth muscle stained with Desmin antibody (DES/3255) at 2ug/ml. HIER: Tris/EDTA, pH9.0, 45min. Secondary: HRP-polymer, 30min. DAB, 5min.
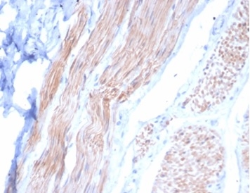
Formalin-fixed, paraffin-embedded cow small intestine stained with Desmin antibody (DES/3255) at 2ug/ml. HIER: Tris/EDTA, pH9.0, 45min. Secondary: HRP-polymer, 30min. DAB, 5min.

Product Details

Summary
Reactivity Hu, Bv, Ca, Eq, FeSpecies Glossary
Applications IHC
Clone
DES/3255
Clonality
Monoclonal
Host
Mouse
Conjugate
Unconjugated
Format
Azide and BSA Free
Concentration
1 mg/ml

Order Details

Desmin Antibody (DES/3255) - Azide and BSA Free Summary

Description
1.0 mg/ml of antibody purified from Bioreactor Concentrate by Protein A/G. Prepared in 10mM PBS WITHOUT BSA & azide. Also available at 200 ug/ml WITH BSA & azide (NBP3-13866).

Antibody with azide - store at 2 to 8C. Antibody without azide - store at -20 to -80 C.
Immunogen
Recombinant full-length human desmin protein (Uniprot: P17661 )
Localization
Cytoplasm
Marker
Muscle Cell Marker
Specificity
Cytoskeletal intermediate filaments (IFs) constitute a diverse group of proteins that are expressed in a highly tissue-specific manner. IFs are constructed from two-chain -helical coiled-coil molecules arranged on an imperfect helical lattice, and have been widely used as markers for distinguishing individual cell types within a tissue and identifying the origins of metastatic tumors. Vimentin is an IF general marker of cells originating in the mesenchyme. Vimentin and Desmin, a related class III IF, are both expressed during skeletal muscle development. Desmin, a 469 amino acid protein found near the Z line in sarcomeres, is expressed more frequently in adult differentiated state tissues. Anti-desmin detects cells of normal smooth, skeletal, and cardiac muscles. Antibody reacts with leiomyomas, leiomyosarcoma, rhabdomyomas, rhabdomyosarcoma, and perivascular cells of glomus tumors of the skin.
Isotype
IgG2b Kappa
Clonality
Monoclonal
Host
Mouse
Gene
DES
Purity
Protein A or G purified
Innovator's Reward
Test in a species/application not listed above to receive a full credit towards a future purchase.

Applications/Dilutions

Dilutions
  • Immunohistochemistry-Paraffin 1-2 ug/ml
Application Notes
Immunohistochemistry (Formalin-fixed): 1-2ug/ml for 30 minutes at RT. Staining of formalin-fixed tissues requires heating tissue sections in 10mM Tris with 1mM EDTA, pH 9.0, for 45 min at 95C followed by cooling at RT for 20 minutes
Theoretical MW
52 kDa.
Disclaimer note: The observed molecular weight of the protein may vary from the listed predicted molecular weight due to post translational modifications, post translation cleavages, relative charges, and other experimental factors.

Packaging, Storage & Formulations

Storage
Store at -20 to -80C. Avoid freeze-thaw cycles.
Buffer
10mM PBS
Preservative
No Preservative
Concentration
1 mg/ml
Purity
Protein A or G purified

Alternate Names for Desmin Antibody (DES/3255) - Azide and BSA Free

  • CMD1I
  • CMD1IFLJ41013
  • CSM1
  • CSM2
  • DES
  • Desmin
  • FLJ12025
  • FLJ39719
  • FLJ41793
  • intermediate filament protein

Background

Desmin is the protein subunit of muscle-type intermediate filaments (IFs). Desmin is one of the five major groups of IFs and is found predominantly in skeletal, cardiac, and smooth muscle.DE-U-10 labels desmin in tumors derived from muscle tissue (leiomyomas and rhabdomyosarcomas) (Debus E et al.).

Limitations

This product is for research use only and is not approved for use in humans or in clinical diagnosis. Primary Antibodies are guaranteed for 1 year from date of receipt.

Customers Who Viewed This Item Also Viewed...

NB300-223
Species: Bv, Ca, Ch, Eq, Hu, Mu, Po, Rt
Applications: ICC/IF, IHC, IHC-Fr,  IHC-P, WB
NB300-141
Species: Bv, Ch, Eq, Gp, Hu, Mu, Po, Rb, Rt
Applications: ICC/IF, IHC, IHC-Fr,  IHC-P, Simple Western, WB
AF4117
Species: Rt
Applications: IHC, WB
AF1356
Species: Hu, Mu
Applications: CyTOF-ready, Dual ISH-IHC, Flow, IHC, Simple Western, WB
NB110-58870
Species: Hu, Mu, Rt
Applications: ICC/IF, IHC, KD, Simple Western, WB
NBP1-87102
Species: Hu, Mu, Rt
Applications: ICC/IF, IHC,  IHC-P, WB
NBP1-87103
Species: Hu, Mu
Applications: IHC,  IHC-P, WB
NB120-22711
Species: Hu, Mu
Applications: ELISA, Flow, ICC/IF, IHC, IHC-Fr,  IHC-P
NB500-526
Species: Hu
Applications: ELISA, IHC,  IHC-P, WB
MAB4470
Species: All-Multi
Applications: Flow, ICC, IHC, WB
NB100-56511
Species: Hu, Mu
Applications: Flow, ICC/IF, IHC, IHC-Fr,  IHC-P, IP, KD, KO, WB
MAB66861
Species: Hu
Applications: ICC, WB
291-G1
Species: Hu
Applications: BA
NBP3-03965
Species: Hu, Mu, Rt
Applications: ICC/IF, WB
MAB1259
Species: Hu
Applications: CyTOF-reported, ICC, ICFlow
NBP1-84854
Species: Hu, Mu, Rt
Applications: ICC/IF, IHC,  IHC-P, KD, WB
NBP1-91258
Species: Bv, Ca, Eq, Fe, Hu, Mu, Po, Rt
Applications: ICC/IF, IHC, IHC-Fr,  IHC-P, Simple Western, WB

Publications for Desmin Antibody (NBP3-14044) (0)

There are no publications for Desmin Antibody (NBP3-14044).
By submitting your publication information earn gift cards and discounts for future purchases.

Reviews for Desmin Antibody (NBP3-14044) (0)

There are no reviews for Desmin Antibody (NBP3-14044). By submitting a review you will receive an Amazon e-Gift Card or Novus Product Discount.
  • Review with no image -- $10/€7/£6/$10 CAD/¥70 Yuan/¥1110 Yen
  • Review with an image -- $25/€18/£15/$25 CAD/¥150 Yuan/¥2500 Yen

Product General Protocols

Find general support by application which include: protocols, troubleshooting, illustrated assays, videos and webinars.

FAQs for Desmin Antibody (NBP3-14044) (0)

There are no specific FAQs related to this product. Read our general customer & technical service FAQs.

Secondary Antibodies

 

Isotype Controls

Additional Desmin Products

Research Areas for Desmin Antibody (NBP3-14044)

Find related products by research area.

Blogs on Desmin.

Alpha-smooth muscle actin and the modulation of endothelial and epithelial cell biology
Actin is essential for a wide range of cell functions, ranging from cell division and chromatin remodeling to vesicle trafficking and maintenance of cellular structure. In fact, mislocalization of actin to cell junctions during development leads t...  Read full blog post.

Vimentin in Wound Healing
Vimentin is a fundamental 10 nm type III intermediate filament (IF) protein found in many mesenchymal and epithelia tissues, tissue culture cells, and developing neuronal and astrocytic precursor cells of the central nervous system. It frequently co-p...  Read full blog post.

Customers Who Bought This Also Bought

Contact Information

Product PDFs

Calculators

Concentration Calculator

The concentration calculator allows you to quickly calculate the volume, mass or concentration of your vial. Simply enter your mass, volume, or concentration values for your reagent and the calculator will determine the rest.

=
÷

Review this Product

Be the first to review our Desmin Antibody (DES/3255) - Azide and BSA Free and receive a gift card or discount.

Bioinformatics

Gene Symbol DES