Desmin Antibody (10H7D2) - BSA Free

Images

 
Western Blot: Desmin Antibody (10H7D2) [NB110-60508] - Analysis using Desmin mouse mAb against HEK293T cells transfected with the pCMV6-ENTRY control (1) and pCMV6-ENTRY Desmin cDNA (2).
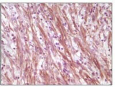
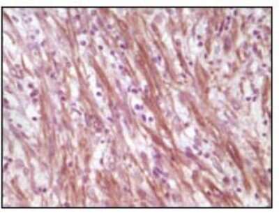
Immunohistochemistry-Paraffin: Desmin Antibody (10H7D2) [NB110-60508] - Analysis of human smooth musde sarcoma, showing cytoplasmic localization using Desmin mouse mAb with DAB staining.

Product Details

Summary
Product Discontinued
View other related Desmin Primary Antibodies

Order Details


    • Catalog Number
      NB110-60508
    • Availability
      Product Discontinued

    Can't find what you are looking for? Use our Antibody Concierge Service & we will help you locate your antibody!

    Or feel free to contact us for alternative products.

Desmin Antibody (10H7D2) - BSA Free Summary

Immunogen
Purified recombinant fragment of Desmin expressed in E. Coli.
Specificity
Desmin (10H7D2)
Isotype
IgG1
Clonality
Monoclonal
Host
Mouse
Gene
DES
Purity
Protein A or G purified
Innovator's Reward
Test in a species/application not listed above to receive a full credit towards a future purchase.

Applications/Dilutions

Dilutions
  • ELISA 1:10000
  • Immunohistochemistry 1:10 - 1:500
  • Immunohistochemistry-Paraffin 1:200-1:1000
  • Western Blot 1:500-1:2000
Control
Desmin Overexpression Lysate
Publications
Read Publication using
NB110-60508 in the following applications:

Packaging, Storage & Formulations

Storage
Store at 4C short term. Aliquot and store at -20C long term. Avoid freeze-thaw cycles.
Buffer
PBS
Preservative
0.03% Sodium Azide
Concentration
1 mg/ml
Purity
Protein A or G purified

Alternate Names for Desmin Antibody (10H7D2) - BSA Free

  • CMD1I
  • CMD1IFLJ41013
  • CSM1
  • CSM2
  • DES
  • Desmin
  • FLJ12025
  • FLJ39719
  • FLJ41793
  • intermediate filament protein

Background

Desmin (DES), with 470-amino acid protein (about 52kDa), belongs to the intermediate filament family and Desmin is class III intermediate filaments found in muscle cells. Homopolymers of Desmin form a stable intracytoplasmic filamentous network connecting myofibrils to each other and to the plasma membrane.Mutations in Desmin are associated with desmin-related myopathy, a familial cardiac and skeletal myopathy (CSM), and with distal myopathies. Desmin is also expressed in smooth muscle cells of both airways and alveolar ducts and Desmin is a load-bearing protein that stiffens the airways and consequently the lung and modulates airway contractile response.

Limitations

This product is for research use only and is not approved for use in humans or in clinical diagnosis. Primary Antibodies are guaranteed for 1 year from date of receipt.

Customers Who Viewed This Item Also Viewed...

NB300-223
Species: Bv, Ca, Ch, Eq, Hu, Mu, Po, Rt
Applications: ICC/IF, IHC, IHC-Fr,  IHC-P, WB
NB300-141
Species: Bv, Ch, Eq, Gp, Hu, Mu, Po, Rb, Rt
Applications: ICC/IF, IHC, IHC-Fr,  IHC-P, Simple Western, WB
AF4117
Species: Rt
Applications: IHC, WB
AF1356
Species: Hu, Mu
Applications: CyTOF-ready, Dual ISH-IHC, Flow, IHC, Simple Western, WB
NB110-58870
Species: Hu, Mu, Rt
Applications: ICC/IF, IHC, KD, Simple Western, WB
NBP1-87102
Species: Hu, Mu, Rt
Applications: ICC/IF, IHC,  IHC-P, WB
NBP1-87103
Species: Hu, Mu
Applications: IHC,  IHC-P, WB
NB120-22711
Species: Hu, Mu
Applications: ELISA, Flow, ICC/IF, IHC, IHC-Fr,  IHC-P
NB500-526
Species: Hu
Applications: ELISA, IHC,  IHC-P, WB
MAB4470
Species: All-Multi
Applications: Flow, ICC, IHC, WB
NB100-56511
Species: Hu, Mu
Applications: Flow, ICC/IF, IHC, IHC-Fr,  IHC-P, IP, KD, KO, WB
MAB66861
Species: Hu
Applications: ICC, WB
291-G1
Species: Hu
Applications: BA
NBP3-03965
Species: Hu, Mu, Rt
Applications: ICC/IF, WB
MAB1259
Species: Hu
Applications: CyTOF-reported, ICC, ICFlow
NBP1-84854
Species: Hu, Mu, Rt
Applications: ICC/IF, IHC,  IHC-P, KD, WB
NBP1-91258
Species: Bv, Ca, Eq, Fe, Hu, Mu, Po, Rt
Applications: ICC/IF, IHC, IHC-Fr,  IHC-P, Simple Western, WB

Publications for Desmin Antibody (NB110-60508)(1)

We have publications tested in 1 confirmed species: Human.

We have publications tested in 1 application: Immunocytochemistry/ Immunofluorescence.


Filter By Application
Immunocytochemistry/ Immunofluorescence
(1)
All Applications
Filter By Species
Human
(1)
All Species

Reviews for Desmin Antibody (NB110-60508) (0)

There are no reviews for Desmin Antibody (NB110-60508). By submitting a review you will receive an Amazon e-Gift Card or Novus Product Discount.
  • Review with no image -- $10/€7/£6/$10 CAD/¥70 Yuan/¥1110 Yen
  • Review with an image -- $25/€18/£15/$25 CAD/¥150 Yuan/¥2500 Yen

Product General Protocols

Find general support by application which include: protocols, troubleshooting, illustrated assays, videos and webinars.

Video Protocols

WB Video Protocol

FAQs for Desmin Antibody (NB110-60508) (0)

There are no specific FAQs related to this product. Read our general customer & technical service FAQs.

Control Lysate(s)

Secondary Antibodies

 

Isotype Controls

Additional Desmin Products

Research Areas for Desmin Antibody (NB110-60508)

Find related products by research area.

Blogs on Desmin.

Alpha-smooth muscle actin and the modulation of endothelial and epithelial cell biology
Actin is essential for a wide range of cell functions, ranging from cell division and chromatin remodeling to vesicle trafficking and maintenance of cellular structure. In fact, mislocalization of actin to cell junctions during development leads t...  Read full blog post.

Vimentin in Wound Healing
Vimentin is a fundamental 10 nm type III intermediate filament (IF) protein found in many mesenchymal and epithelia tissues, tissue culture cells, and developing neuronal and astrocytic precursor cells of the central nervous system. It frequently co-p...  Read full blog post.

Contact Information

Product PDFs

Calculators

Concentration Calculator

The concentration calculator allows you to quickly calculate the volume, mass or concentration of your vial. Simply enter your mass, volume, or concentration values for your reagent and the calculator will determine the rest.

=
÷

Review this Product

Be the first to review our Desmin Antibody (10H7D2) - BSA Free and receive a gift card or discount.

Bioinformatics

Gene Symbol DES
Entrez