DECR2 Antibody - BSA Free

Images

 
Western Blot: DECR2 Antibody [NBP2-16145] - Sample (30 ug of whole cell lysate) A: A549 12% SDS PAGE gel, diluted at 1:1000.
Immunocytochemistry/ Immunofluorescence: DECR2 Antibody [NBP2-16145] - A549 cells were fixed in 4% paraformaldehyde at RT for 15 min. Green: DECR2 protein stained by DECR2 antibody diluted at 1:500. Blue: Hoechst 33342 ...read more
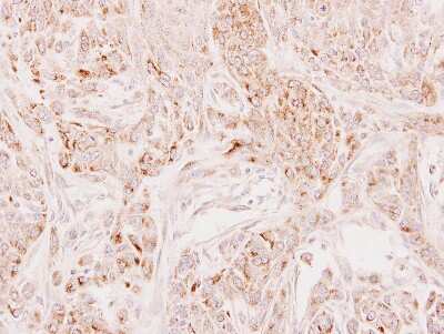
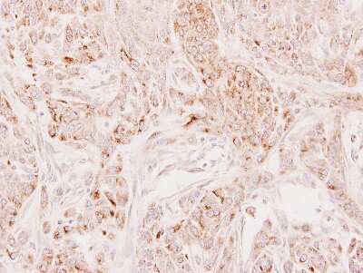
Immunohistochemistry-Paraffin: DECR2 Antibody [NBP2-16145] - Immunohistochemical analysis of paraffin-embedded A549 xenograft, using antibody at 1:100 dilution.

Product Details

Summary
Reactivity Hu, RMSpecies Glossary
Applications WB, ICC/IF, IHC
Clonality
Polyclonal
Host
Rabbit
Conjugate
Unconjugated
Format
BSA Free

Order Details

DECR2 Antibody - BSA Free Summary

Description
Novus Biologicals Rabbit DECR2 Antibody - BSA Free (NBP2-16145) is a polyclonal antibody validated for use in IHC, WB and ICC/IF. All Novus Biologicals antibodies are covered by our 100% guarantee.
Immunogen
Recombinant protein encompassing a sequence within the center region of human DECR2. The exact sequence is proprietary.
Localization
Peroxisome
Predicted Species
Rhesus Macaque (97%). Backed by our 100% Guarantee.
Isotype
IgG
Clonality
Polyclonal
Host
Rabbit
Gene
DECR2
Purity
Antigen Affinity-purified
Innovator's Reward
Test in a species/application not listed above to receive a full credit towards a future purchase.

Applications/Dilutions

Dilutions
  • Immunocytochemistry/ Immunofluorescence 1:100-1:1000
  • Immunohistochemistry 1:100-1:1000
  • Immunohistochemistry-Paraffin 1:100-1:1000
  • Western Blot 1:500-1:3000
Theoretical MW
31 kDa.
Disclaimer note: The observed molecular weight of the protein may vary from the listed predicted molecular weight due to post translational modifications, post translation cleavages, relative charges, and other experimental factors.

Reactivity Notes

Rat (80%).

Packaging, Storage & Formulations

Storage
Aliquot and store at -20C or -80C. Avoid freeze-thaw cycles.
Buffer
0.1M Tris, 0.1M Glycine, 20% Glycerol
Preservative
0.01% Thimerosal
Purity
Antigen Affinity-purified

Alternate Names for DECR2 Antibody - BSA Free

  • 2,4-dienoyl CoA reductase 2, peroxisomal
  • EC 1.3.1
  • EC 1.3.1.34
  • pDCR2,4-dienoyl-CoA reductase 2
  • PDCRshort chain dehydrogenase/reductase family 17C, member 1
  • peroxisomal 2,4-dienoyl-CoA reductase
  • SDR17C1

Background

Auxiliary enzyme of beta-oxidation. Participates in the degradation of unsaturated fatty enoyl-CoA esters having double bonds in both even- and odd-numbered positions in peroxisome. Catalyzes the NADP-dependent reduction of 2,4-dienoyl-CoA to yield trans-3-enoyl-CoA. Has activity towards short and medium chain 2,4-dienoyl-CoAs, but also towards 2,4,7,10,13,16,19-docosaheptaenoyl-CoA, suggesting that it does not constitute a rate limiting step in the peroxisomal degradation of docosahexaenoic acid.

Limitations

This product is for research use only and is not approved for use in humans or in clinical diagnosis. Primary Antibodies are guaranteed for 1 year from date of receipt.

Customers Who Viewed This Item Also Viewed...

NBP2-02192
Species: Hu
Applications: IHC,  IHC-P, WB
NBP1-89306
Species: Hu, Mu, Rt
Applications: IHC,  IHC-P, KD, WB
NBP3-25502
Species: Ca, Hu, Mu, Rt, Ze
Applications: IHC,  IHC-P, WB
NBP2-02164
Species: Hu, Mu, Rt
Applications: Flow, ICC/IF, IHC,  IHC-P, WB
NBP1-81838
Species: Hu, Mu
Applications: IHC,  IHC-P, WB
NBP2-24530
Species: Bv, Hu, Mu, Rt
Applications: Flow-IC, IHC,  IHC-P, WB
NBP2-16060
Species: Hu, Mu, Rt
Applications: ICC/IF, IHC,  IHC-P, IP, WB
MAB1417
Species: Bv, Hu, Mu
Applications: ICC, IHC
H00026054-M01
Species: Hu, Mu
Applications: ELISA, Flow, ICC/IF, IHC,  IHC-P, IP, S-ELISA, WB
MAB1455
Species: Hu
Applications: CyTOF-ready, Dual ISH-IHC, ICC, IHC, ICFlow, Simple Western, WB
NBP2-30446
Species: Hu
Applications: ICC/IF, IHC,  IHC-P
H00011329-M01
Species: Hu, Mu
Applications: ELISA, ICC/IF, IHC,  IHC-P, IP, WB
MAB7665
Species: Hu
Applications: IHC, WB
NBP1-85263
Species: Hu
Applications: ICC/IF, IHC,  IHC-P, WB
NBP1-88570
Species: Hu
Applications: ICC/IF, IHC,  IHC-P, WB
NBP3-38268
Species: Hu, Mu, Rt
Applications: ELISA, ICC/IF, WB
NBP1-32975
Species: Hu, Mu
Applications: ICC/IF, IHC,  IHC-P, KO, WB
NBP2-47284
Species: Hu
Applications: ICC/IF, IHC,  IHC-P
MAB689
Species: Hu
Applications: Block, CyTOF-ready, ELISA(Cap), ELISA(Det), ELISA(Sta), Flow, WB
NBP2-16145
Species: Hu, RM
Applications: WB, ICC/IF, IHC
⚠ WARNING: This product can expose you to chemicals including mercury, which is known to the State of California to cause reproductive toxicity with developmental effects.  For more information go to www.P65Warnings.ca.gov.

Publications for DECR2 Antibody (NBP2-16145) (0)

There are no publications for DECR2 Antibody (NBP2-16145).
By submitting your publication information earn gift cards and discounts for future purchases.

Reviews for DECR2 Antibody (NBP2-16145) (0)

There are no reviews for DECR2 Antibody (NBP2-16145). By submitting a review you will receive an Amazon e-Gift Card or Novus Product Discount.
  • Review with no image -- $10/€7/£6/$10 CAD/¥70 Yuan/¥1110 Yen
  • Review with an image -- $25/€18/£15/$25 CAD/¥150 Yuan/¥2500 Yen

Product General Protocols

Find general support by application which include: protocols, troubleshooting, illustrated assays, videos and webinars.

Video Protocols

WB Video Protocol
ICC/IF Video Protocol

FAQs for DECR2 Antibody (NBP2-16145) (0)

There are no specific FAQs related to this product. Read our general customer & technical service FAQs.

Secondary Antibodies

 

Isotype Controls

Additional DECR2 Products

Array NBP2-16145

Research Areas for DECR2 Antibody (NBP2-16145)

Find related products by research area.

Blogs on DECR2

There are no specific blogs for DECR2, but you can read our latest blog posts.

Customers Who Bought This Also Bought

Contact Information

Product PDFs

Calculators

Concentration Calculator

The concentration calculator allows you to quickly calculate the volume, mass or concentration of your vial. Simply enter your mass, volume, or concentration values for your reagent and the calculator will determine the rest.

=
÷

Review this Product

Be the first to review our DECR2 Antibody - BSA Free and receive a gift card or discount.

Bioinformatics

Gene Symbol DECR2
Uniprot