Daxx Antibody (CL3580) - Azide and BSA Free

Images

 
Staining of HeLa cells using the Anti-Daxx monoclonal antibody) .
Staining of human breast shows nuclear positivity in glandular cells.
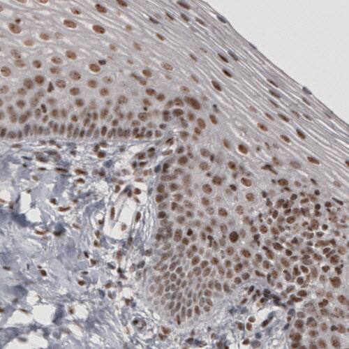
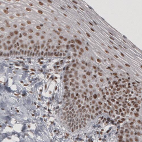
Staining of human cervix shows moderate nuclear immunoreactivity in epithelial and underlying connective tissue cells.
Staining of human skeletal muscle shows absence of immunoreactivity (negative control).
Staining of human prostate shows moderate nuclear positivity in glandular cells.
Staining of human tonsil shows nuclear immunoreactivity in lymphoid cells.
Staining of human testis shows nuclear immunoreactivity in seminiferous tubules cells.

Product Details

Summary
Reactivity HuSpecies Glossary
Applications ICC/IF, IHC
Clone
CL3580
Clonality
Monoclonal
Host
Mouse
Conjugate
Unconjugated
Format
Azide and BSA Free
Concentration
LYOPH

Order Details

Daxx Antibody (CL3580) - Azide and BSA Free Summary

Description
Novus Biologicals Mouse Daxx Antibody (CL3580) - Azide and BSA Free (NBP2-61622) is a monoclonal antibody validated for use in IHC and ICC/IF. All Novus Biologicals antibodies are covered by our 100% guarantee.
Immunogen
This antibody was generated using a recombinant protein sequence of Q9UER7, with the exact immunogen sequence remaining proprietary.
Isotype
IgG1
Clonality
Monoclonal
Host
Mouse
Gene
DAXX
Purity
Protein A purified
Innovator's Reward
Test in a species/application not listed above to receive a full credit towards a future purchase.

Applications/Dilutions

Dilutions
  • Immunocytochemistry/ Immunofluorescence 2-10 ug/ml
  • Immunohistochemistry-Paraffin 1:200 - 1:500
Application Notes
For IHC-Paraffin, HIER pH 6 retrieval is recommended. For Immunocytochemistry/ Immunofluorescence/IF, PFA/Triton X-100 is recommended for fixation/permeabilization.

Packaging, Storage & Formulations

Storage
Store at 4C short term. Aliquot and store at -20C long term. Avoid freeze-thaw cycles.
Buffer
Lyophilized from a 0.2 um filtered solution in PBS with Trehalose
Preservative
No Preservative
Concentration
LYOPH
Purity
Protein A purified
Reconstitution Instructions
Centrifuge the vial of lyophilized antibody at 12,000 x g for 20 seconds. Reconstitute by adding sterile, distilled water to achieve a final antibody concentration of 1mg/ml.

Alternate Names for Daxx Antibody (CL3580) - Azide and BSA Free

  • BING2
  • CENP-C binding protein
  • DAP6
  • DAP6MGC126245
  • Daxx
  • death domain-associated protein 6
  • death-associated protein 6
  • death-domain associated protein
  • EAP1
  • ETS1-associated protein 1
  • Fas death domain-associated protein
  • Fas-binding protein
  • hDaxx
  • MGC126246

Background

Daxx (death-domain-associated protein) was originally identified as a cytoplasmic protein that binds to the death domain of the transmembrane death receptor Fas. It is now that known that the a large porportion of Daxx molecules are nuclear and associate with the promyelocytic leukaemia nuclear body (PML-NB) and other subnuclear domains (reviewed in Salomoni and Khelifi). The promyelocytic leukemia protein Pml is an essential component of the PML-NB. Data suggests that certain stimuli including Fas stimulation, causes Daxx to be translocated from the nucleus to the cytoplasm. Daxx is ubiquitously expressed, and particularly high levels of Daxx have been reported in the thymus and testes. At the cellular level Daxx may be found in cytoplasm and within heterochromatic regions of the nucleus. Daxx has been reported to interact and co-localize with Pml in the nucleus of tumor cell lines and primary cells. Pml is necessary for Fas-induced cell death and Daxx pro-apoptotic functions. Daxx is thought to have both pro- and anti-apoptotic functions depending on the stimulus and the cell type. Daxx pro-apoptotic functions appear to occur in both the cytoplasm and nucleus. Although the mechanisms remain to be fully elucidated, research indicates that Daxx plays a role in the pathology of human diseases including cancer and neurodegerative disorders. Human Daxx is a 740 amino acid protein (GenBank no. gi/62898369).

Limitations

This product is for research use only and is not approved for use in humans or in clinical diagnosis. Primary Antibodies are guaranteed for 1 year from date of receipt.

Customers Who Viewed This Item Also Viewed...

NB100-59787
Species: Hu, Mu
Applications: Flow, IB, ICC/IF, IHC,  IHC-P, IP, KD, PLA, WB
NBP2-37592
Species: Hu
Applications: ELISA, Flow, ICC/IF, IHC,  IHC-P, WB
NB120-13550
Species: Hu, Mu, Rt
Applications: ICC/IF, IHC,  IHC-P, WB
MAB17761
Species: Hu, Mu, Rt
Applications: ICC, WB
NB200-103
Species: Hu, Mu, Rt, Xp(-), Ye
Applications: CyTOF-ready, ELISA, Flow-IC, Flow, ICC/IF, IHC, IHC-Fr,  IHC-P, IP, WB
NBP1-86060
Species: Hu
Applications: IHC,  IHC-P, Micro, WB
NBP3-15951
Species: Hu, Mu, Rt
Applications: IHC,  IHC-P, WB
NBP1-83077
Species: Hu
Applications: ICC/IF, IHC,  IHC-P, KD, WB
NB100-56116
Species: Ma, Hu, Mu, Rt
Applications: Flow, ICC/IF, IHC, IHC-Fr,  IHC-P, IP, Simple Western, WB
NB100-56098
Species: Ca, Hu, Mu, Rt
Applications: IHC,  IHC-P, IP, WB
NBP2-67471
Species: Hu, Mu, Rt
Applications: ICC/IF, IHC,  IHC-P, WB
NBP1-47839
Species: Ca, Hu, Mu, Rt
Applications: Flow, ICC/IF, IHC,  IHC-P, IP, WB
NBP2-92897
Species: Hu, Mu, Rt
Applications: ICC/IF, IHC,  IHC-P, WB
MAB3228
Species: Hu, Mu, Rt
Applications: ICC, KO, WB
NB100-381
Species: Hu
Applications: ChIP, IP, WB
DFL00B
Species: Hu
Applications: ELISA
NBP2-32972
Species: Ch, Pm, Hu, Pm, Mu, Rt, Sh
Applications: Flow, ICC/IF, IHC,  IHC-P, WB
AF1230
Species: Hu, Mu, Rt
Applications: IHC, KO, WB
NBP3-43879
Species: Hu
Applications: ICC/IF, IHC

Publications for Daxx Antibody (NBP3-43879) (0)

There are no publications for Daxx Antibody (NBP3-43879).
By submitting your publication information earn gift cards and discounts for future purchases.

Reviews for Daxx Antibody (NBP3-43879) (0)

There are no reviews for Daxx Antibody (NBP3-43879). By submitting a review you will receive an Amazon e-Gift Card or Novus Product Discount.
  • Review with no image -- $10/€7/£6/$10 CAD/¥70 Yuan/¥1110 Yen
  • Review with an image -- $25/€18/£15/$25 CAD/¥150 Yuan/¥2500 Yen

Product General Protocols

Find general support by application which include: protocols, troubleshooting, illustrated assays, videos and webinars.

Video Protocols

ICC/IF Video Protocol

FAQs for Daxx Antibody (NBP3-43879) (0)

There are no specific FAQs related to this product. Read our general customer & technical service FAQs.

Secondary Antibodies

 

Isotype Controls

Additional Daxx Products

Research Areas for Daxx Antibody (NBP3-43879)

Find related products by research area.

Blogs on Daxx

There are no specific blogs for Daxx, but you can read our latest blog posts.

Customers Who Bought This Also Bought

Contact Information

Product PDFs

Calculators

Concentration Calculator

The concentration calculator allows you to quickly calculate the volume, mass or concentration of your vial. Simply enter your mass, volume, or concentration values for your reagent and the calculator will determine the rest.

=
÷

Review this Product

Be the first to review our Daxx Antibody (CL3580) - Azide and BSA Free and receive a gift card or discount.

Bioinformatics

Gene Symbol DAXX