DAD1 Antibody

Images

 
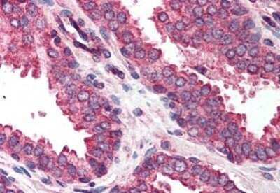
Immunohistochemistry-Paraffin: DAD1 Antibody [NBP1-02946] - Staining of human prostate. Immunohistochemistry of formalin-fixed, paraffin-embedded tissue after heat-induced antigen retrieval. Antibody concentration 5 ...read more
Immunohistochemistry-Paraffin: DAD1 Antibody [NBP1-02946] - Staining of human brain, cerebellum. Immunohistochemistry of formalin-fixed, paraffin-embedded tissue after heat-induced antigen retrieval. Antibody ...read more

Product Details

Summary
Product Discontinued
View other related DAD1 Primary Antibodies

Order Details


    • Catalog Number
      NBP1-02946
    • Availability
      Product Discontinued

    Can't find what you are looking for? Use our Antibody Concierge Service & we will help you locate your antibody!

    Or feel free to contact us for alternative products.

DAD1 Antibody Summary

Immunogen
A 14 aa synthetic peptide from human DAD1. The immunogen is located within the last 50 aa of DAD1.
Isotype
IgG
Clonality
Polyclonal
Host
Rabbit
Gene
DAD1
Purity
Peptide affinity purified
Innovator's Reward
Test in a species/application not listed above to receive a full credit towards a future purchase.

Applications/Dilutions

Dilutions
  • ELISA
  • Immunocytochemistry/ Immunofluorescence 1:10-1:500
  • Immunohistochemistry 1:10-1:500
  • Immunohistochemistry-Paraffin 2.5 ug/ml
  • Western Blot 0.5 - 2 ug/ml

Packaging, Storage & Formulations

Storage
Store at 4C short term. Aliquot and store at -20C long term. Avoid freeze-thaw cycles.
Buffer
PBS
Preservative
0.02% Sodium Azide
Concentration
1 mg/ml
Purity
Peptide affinity purified

Alternate Names for DAD1 Antibody

  • DAD-1
  • defender against cell death 1EC 2.4.1.119
  • dolichyl-diphosphooligosaccharide--protein glycosyltransferase subunit DAD1
  • Oligosaccharyl transferase subunit DAD1
  • oligosaccharyltransferase 2 homolog
  • OST2

Background

Defender of cell death 1 (DAD1) was initially discovered in BHK21 cells as a negative regulator of programmed cell death, a process important for normal organism development and tissue homeostasis. DAD1 was later shown to be a subunit of the mammalian oligosaccharyltransferase complex and is required for its function and structural integrity. Mice lacking DAD1 express abnormal N-linked glycoproteins and undergo increased apoptotic-associated embryonic death. Furthermore, overexpression of DAD1 mRNA is seen in some human hepatocellular carcinomas, indicating it may also play a role in carcinogenesis. It should be noted that DAD1 is not related to the inhibitor of apoptosis proteins (IAP) family and does not contain any baculoviral IAP repeat (BIR) domains.

Limitations

This product is for research use only and is not approved for use in humans or in clinical diagnosis. Primary Antibodies are guaranteed for 1 year from date of receipt.

Customers Who Viewed This Item Also Viewed...

NBP2-46439
Species: Hu, Mu, Rt
Applications: IHC,  IHC-P, WB
NB100-56104
Species: Ca, Hu, Mu, Rt
Applications: IHC, IHC-Fr,  IHC-P, IP, WB
NBP2-01294
Species: Ca, Hu, Pm, Mu, Pm, Rt
Applications: Flow, ICC/IF, IHC,  IHC-P, WB
NB100-56098
Species: Ca, Hu, Mu, Rt
Applications: IHC,  IHC-P, IP, WB
H00023263-M01
Species: Hu
Applications: ELISA, IHC,  IHC-P, S-ELISA, WB
NBP1-80835
Species: Hu
Applications: ICC/IF, IHC,  IHC-P, WB
NBP1-84463
Species: Hu
Applications: IHC,  IHC-P, IP
NBP1-84297
Species: Hu
Applications: ICC/IF, IHC,  IHC-P
NBP1-84466
Species: Hu
Applications: IHC,  IHC-P, WB
NBP1-84307
Species: Hu
Applications: ICC/IF, WB
NB600-302
Species: Bv, Dr, Hu, Mu
Applications: ChIP, ELISA, Flow-IC, Flow, IB, ICC/IF, IHC, IHC-Fr,  IHC-P, IP, PLA, S-ELISA, Simple Western, WB
NBP2-32840
Species: Hu, Pm, Mu, Rt
Applications: Flow, ICC/IF, IHC,  IHC-P, WB
NB100-56146
Species: Hu
Applications: IHC,  IHC-P, IP, WB
NBP2-31660
Species: Hu
Applications: ICC/IF, IHC,  IHC-P
NB110-40681
Species: Hu, Mu
Applications: IHC,  IHC-P, IP, WB
NB100-56565
Species: Hu, Mu, Rt
Applications: ICC/IF, IHC, IHC-Fr,  IHC-P, Simple Western, WB
H00004831-M06
Species: Hu, Mu, Rt
Applications: ELISA, ICC/IF, IHC,  IHC-P, IP, S-ELISA, WB
NBP1-88927
Species: Hu, Mu
Applications: ICC/IF, IHC,  IHC-P, WB

Publications for DAD1 Antibody (NBP1-02946) (0)

There are no publications for DAD1 Antibody (NBP1-02946).
By submitting your publication information earn gift cards and discounts for future purchases.

Reviews for DAD1 Antibody (NBP1-02946) (0)

There are no reviews for DAD1 Antibody (NBP1-02946). By submitting a review you will receive an Amazon e-Gift Card or Novus Product Discount.
  • Review with no image -- $10/€7/£6/$10 CAD/¥70 Yuan/¥1110 Yen
  • Review with an image -- $25/€18/£15/$25 CAD/¥150 Yuan/¥2500 Yen

Product General Protocols

Find general support by application which include: protocols, troubleshooting, illustrated assays, videos and webinars.

Video Protocols

WB Video Protocol
ICC/IF Video Protocol

FAQs for DAD1 Antibody (NBP1-02946) (0)

There are no specific FAQs related to this product. Read our general customer & technical service FAQs.

Secondary Antibodies

 

Isotype Controls

Additional DAD1 Products

Array NBP1-02946

Research Areas for DAD1 Antibody (NBP1-02946)

Find related products by research area.

Blogs on DAD1

There are no specific blogs for DAD1, but you can read our latest blog posts.

Contact Information

Product PDFs

Calculators

Concentration Calculator

The concentration calculator allows you to quickly calculate the volume, mass or concentration of your vial. Simply enter your mass, volume, or concentration values for your reagent and the calculator will determine the rest.

=
÷

Review this Product

Be the first to review our DAD1 Antibody and receive a gift card or discount.

Bioinformatics

Gene Symbol DAD1
Entrez
Uniprot