| Reactivity | Hu, Pm, RbSpecies Glossary |
| Applications | WB, Simple Western, Flow, IHC, IHC-P, ICC/IF |
| Clone | KRT8/899 |
| Clonality | Monoclonal |
| Host | Mouse |
| Conjugate | Unconjugated |
| Concentration | 0.2 mg/ml |
| Immunogen | Recombinant human KRT8 protein |
| Localization | Cytoplasmic |
| Isotype | IgM Kappa |
| Clonality | Monoclonal |
| Host | Mouse |
| Gene | KRT8 |
| Purity | Protein A or G purified |
| Innovator's Reward | Test in a species/application not listed above to receive a full credit towards a future purchase. |
| Dilutions |
|
||
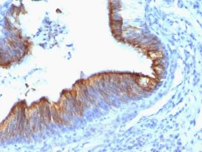
| Application Notes | Hu-chromosome location: 12q13.13 Immunohistochemistry-Paraffin 0.5 - 1.0 ug/mL for 30 minutes at RT. Staining of formalin-fixed tissues requires boiling tissue sections in 10 mM Citrate Buffer, pH 6.0, for 10 - 20 min followed by cooling at RT for 20 minutes. In Simple Western only 10 - 15 uL of the recommended dilution is used per data point. Separated by Size. Cytokeratin 8 antibody validated for WB from a verified customer review. The 7mL size is a pre-diluted size and no additional dilutions are required before using this item for the intended application. |
||
| Theoretical MW | 52.5 kDa. Disclaimer note: The observed molecular weight of the protein may vary from the listed predicted molecular weight due to post translational modifications, post translation cleavages, relative charges, and other experimental factors. |
||
| Control |
|
||
| Reviewed Applications |
|
||
| Publications |
|
| Storage | Store at 4C. |
| Buffer | PBS, 0.05% BSA |
| Preservative | 0.05% Sodium Azide |
| Concentration | 0.2 mg/ml |
| Purity | Protein A or G purified |
| Publication using NBP2-44941 | Applications | Species |
|---|---|---|
| Sozen B, Cox AL, De Jonghe J, et al. Self-Organization of Mouse Stem Cells into an Extended Potential Blastoid Dev. Cell Dec 16 2019 [PMID: 31846649] |
| Images | Ratings | Applications | Species | Date | Details | ||||||||
|---|---|---|---|---|---|---|---|---|---|---|---|---|---|
Enlarge |
reviewed by:
Anonymous |
WB | Canine | 08/21/2019 |
Summary
|
Secondary Antibodies |
Isotype Controls |
Diseases for Cytokeratin 8 Antibody (NBP2-44941)Discover more about diseases related to Cytokeratin 8 Antibody (NBP2-44941).
| Pathways for Cytokeratin 8 Antibody (NBP2-44941)View related products by pathway.
|
|
Cytokeratin 18 - A Intermediate Filament Cyotskeletal Component Keratins, also called cytokeratins, are a family of filamentous structural proteins that form the intermediate filaments within epithelial cells. Keratins are differentially expressed depending on both the epithelial cell origin and degree of differen... Read full blog post. |

The concentration calculator allows you to quickly calculate the volume, mass or concentration of your vial. Simply enter your mass, volume, or concentration values for your reagent and the calculator will determine the rest.
| Gene Symbol | KRT8 |