Cytokeratin 5/75 Antibody (SY88-19)

Images

 
Western Blot: Cytokeratin 5/75 Antibody (SY88-19) [NBP2-67027] - Analysis of Cytokeratin 5 on A431 cell lysates using anti-Cytokeratin 5 at 1/500 dilution.
Immunohistochemistry-Paraffin: Cytokeratin 5/75 Antibody (SY88-19) [NBP2-67027] - Analysis of paraffin-embedded human tonsil tissue using anti-Cytokeratin 5 antibody. Counter stained with hematoxylin.
Immunohistochemistry-Paraffin: Cytokeratin 5/75 Antibody (SY88-19) [NBP2-67027] - Analysis of paraffin-embedded human brest cancer tissue using anti-Cytokeratin 5 antibody. Counter stained with hematoxylin.
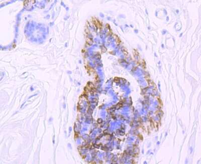
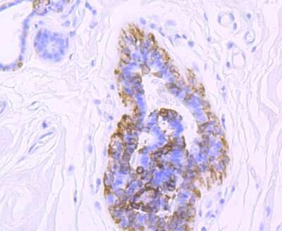
Immunohistochemistry-Paraffin: Cytokeratin 5/75 Antibody (SY88-19) [NBP2-67027] - Analysis of paraffin-embedded human lung cancer tissue using anti-Cytokeratin 5 antibody. Counter stained with hematoxylin.

Product Details

Summary
Product Discontinued
View other related Cytokeratin 5/75 Primary Antibodies

Order Details


    • Catalog Number
      NBP2-67027
    • Availability
      Product Discontinued

    Can't find what you are looking for? Use our Antibody Concierge Service & we will help you locate your antibody!

    Or feel free to contact us for alternative products.

Cytokeratin 5/75 Antibody (SY88-19) Summary

Additional Information
Recombinant Monoclonal Antibody.
Immunogen
Recombinant Protein (SwissProt: P13647 Human;SwissProt: Q922U2 Mouse)
Localization
Cytoplasm.
Isotype
IgG
Clonality
Monoclonal
Host
Rabbit
Gene
KRT5
Purity
Protein A purified
Innovator's Reward
Test in a species/application not listed above to receive a full credit towards a future purchase.

Applications/Dilutions

Dilutions
  • Immunohistochemistry
  • Immunohistochemistry-Paraffin 1:50-1:200
  • Western Blot 1:1000

Packaging, Storage & Formulations

Storage
Store at 4C short term. Aliquot and store at -20C long term. Avoid freeze-thaw cycles.
Buffer
TBS (pH7.4), 1%BSA, 40%Glycerol
Preservative
0.05% Sodium Azide
Concentration
1 mg/ml
Purity
Protein A purified

Alternate Names for Cytokeratin 5/75 Antibody (SY88-19)

  • 58 kDa cytokeratin
  • CK5
  • CK-5
  • cytokeratin-5
  • DDD
  • EBS2
  • epidermolysis bullosa simplex 2 Dowling-Meara/Kobner/Weber-Cockayne types
  • K5
  • keratin 5 (epidermolysis bullosa simplex, Dowling-Meara/Kobner/Weber-Cockaynetypes)
  • keratin 5
  • keratin, type II cytoskeletal 5
  • Keratin-5
  • KRT5A
  • Type-II keratin Kb5

Limitations

This product is for research use only and is not approved for use in humans or in clinical diagnosis. Primary Antibodies are guaranteed for 1 year from date of receipt.

Customers Who Viewed This Item Also Viewed...

NBP2-34270
Species: Hu, Mu, Rt
Applications: Flow, ICC/IF, IHC, IHC-Fr,  IHC-P, Simple Western
NBP2-45677
Species: Hu, Pm
Applications: IHC,  IHC-P, WB
AF1916
Species: Hu
Applications: ICC, IHC, WB
AF231
Species: Hu
Applications: CyTOF-ready, Dual ISH-IHC, ELISA(Cap), ELISA(Det), ELISA(Sta), Flow, ICC, IHC, IP, Simple Western, WB
AF7355
Species: Hu
Applications: ICC, Simple Western, WB
1129-ER
Species: Hu
Applications: BA
AF5415
Species: Hu
Applications: ICC, IHC, Simple Western, WB
NBP2-29429
Species: Bv, Ca, Ch, Hu, Pm, Mu, Rb, Rt, Re, Ze
Applications: COMET, CyTOF-reported, Dual ISH-IHC, Flow-IC, Flow, ICC/IF, IHC, IHC-Fr,  IHC-P, mIF, Single-Cell Western, WB
NB100-355
Species: Bv, Ca, Ch, Hu, Mu, Po, Pm, Rt, Xp
Applications: CyTOF-ready, Flow, ICC/IF, IF, IHC, IHC-Fr,  IHC-P, IP, In vivo, KO, Simple Western, WB
NBP1-18885
Species: Hu
Applications: ICC/IF, IHC,  IHC-P, IP, KO, WB
NBP2-16094
Species: Hu, Mu, Ze
Applications: ICC/IF, IHC-WhMt, IHC,  IHC-P, KO, WB
NBP2-47940
Species: Hu
Applications: CyTOF-ready, Flow, ICC/IF, IF, IHC,  IHC-P, Simple Western, WB
NBP2-61736
Species: Hu, Pm, Mu, Rt
Applications: ELISA, Flow, IHC,  IHC-P, WB
NB100-687
Species: Hu, Mu, Rt
Applications: Flow, ICC/IF, IHC,  IHC-P, Simple Western, WB
NBP1-85630
Species: Hu
Applications: IHC,  IHC-P, WB
NBP1-85632
Species: Hu
Applications: ICC/IF, IHC,  IHC-P
NB100-309
Species: Hu, Pm, Mu, Rt
Applications: ChIP, ELISA, Flow, ICC/IF, IHC,  IHC-P, IP, KD, PAGE, Single-Cell Western, WB
NB300-223
Species: Bv, Ca, Ch, Eq, Hu, Mu, Po, Rt
Applications: ICC/IF, IHC, IHC-Fr,  IHC-P, WB
NB200-103
Species: Hu, Mu, Rt, Xp(-), Ye
Applications: CyTOF-ready, ELISA, Flow-IC, Flow, ICC/IF, IHC, IHC-Fr,  IHC-P, IP, WB
NBP2-67027
Species: Hu, Mu
Applications: WB, IHC

Publications for Cytokeratin 5/75 Antibody (NBP2-67027) (0)

There are no publications for Cytokeratin 5/75 Antibody (NBP2-67027).
By submitting your publication information earn gift cards and discounts for future purchases.

Reviews for Cytokeratin 5/75 Antibody (NBP2-67027) (0)

There are no reviews for Cytokeratin 5/75 Antibody (NBP2-67027). By submitting a review you will receive an Amazon e-Gift Card or Novus Product Discount.
  • Review with no image -- $10/€7/£6/$10 CAD/¥70 Yuan/¥1110 Yen
  • Review with an image -- $25/€18/£15/$25 CAD/¥150 Yuan/¥2500 Yen

Product General Protocols

Find general support by application which include: protocols, troubleshooting, illustrated assays, videos and webinars.

Video Protocols

WB Video Protocol

FAQs for Cytokeratin 5/75 Antibody (NBP2-67027) (0)

There are no specific FAQs related to this product. Read our general customer & technical service FAQs.

Secondary Antibodies

 

Isotype Controls

Additional Cytokeratin 5/75 Products

Array NBP2-67027

Research Areas for Cytokeratin 5/75 Antibody (NBP2-67027)

Find related products by research area.

Blogs on Cytokeratin 5/75

There are no specific blogs for Cytokeratin 5/75, but you can read our latest blog posts.

Contact Information

Product PDFs

Calculators

Concentration Calculator

The concentration calculator allows you to quickly calculate the volume, mass or concentration of your vial. Simply enter your mass, volume, or concentration values for your reagent and the calculator will determine the rest.

=
÷

Review this Product

Be the first to review our Cytokeratin 5/75 Antibody (SY88-19) and receive a gift card or discount.

Bioinformatics

Gene Symbol KRT5