Cytokeratin 20 Antibody (CL9390) - Azide and BSA Free

Images

 
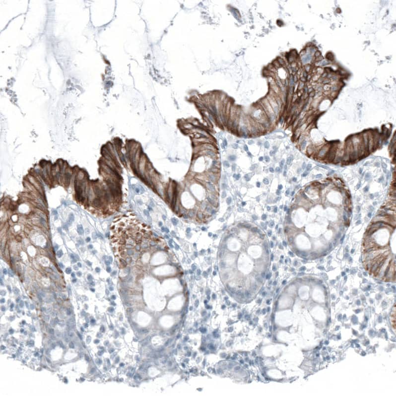
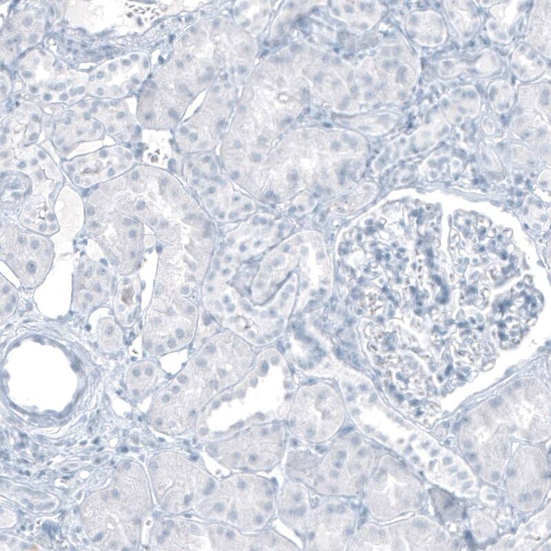
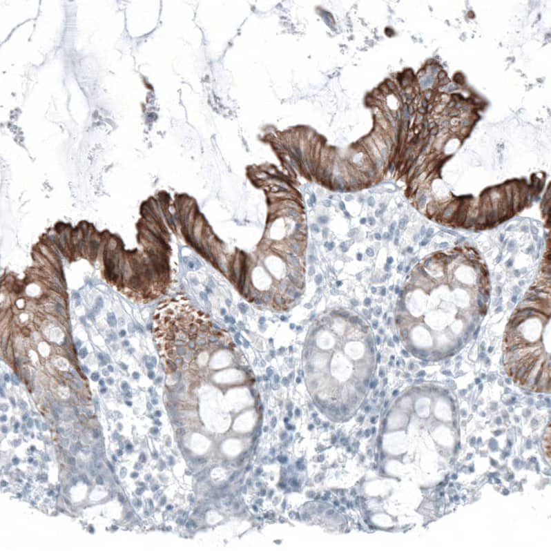
Orthogonal Strategies: Analysis in human rectum and prostate tissues using NBP3-43990 antibody. Corresponding Cytokeratin 20 RNA-seq data are presented for the same tissues.
Staining of human kidney shows no positivity in cells in tubules as expected.
Staining of human prostate shows no positivity in glandular cells as expected.
Staining of human rectum shows strong membranous / cytoplasmic positivity in glandular cells.
Staining of human tonsil shows no positivity in non-germinal center cells as expected.

Product Details

Summary
Reactivity HuSpecies Glossary
Applications IHC
Clone
CL9390
Clonality
Monoclonal
Host
Mouse
Conjugate
Unconjugated
Format
Azide and BSA Free
Concentration
LYOPH
Validated by:
       

Orthogonal Strategies

 

Order Details

Cytokeratin 20 Antibody (CL9390) - Azide and BSA Free Summary

Description
Novus Biologicals Mouse Cytokeratin 20 Antibody (CL9390) - Azide and BSA Free (NBP2-88932) is a monoclonal antibody validated for use in IHC. All Novus Biologicals antibodies are covered by our 100% guarantee.
Immunogen
This antibody was generated using a recombinant protein sequence of P35900, with the exact immunogen sequence remaining proprietary.
Isotype
IgG1
Clonality
Monoclonal
Host
Mouse
Gene
KRT20
Purity
Protein A purified
Innovator's Reward
Test in a species/application not listed above to receive a full credit towards a future purchase.

Applications/Dilutions

Dilutions
  • Immunohistochemistry-Paraffin 1:50 - 1:200
Application Notes
For IHC-Paraffin, HIER pH 6 retrieval is recommended.

Packaging, Storage & Formulations

Storage
Store at 4C short term. Aliquot and store at -20C long term. Avoid freeze-thaw cycles.
Buffer
Lyophilized from a 0.2 um filtered solution in PBS with Trehalose
Preservative
No Preservative
Concentration
LYOPH
Purity
Protein A purified
Reconstitution Instructions
Centrifuge the vial of lyophilized antibody at 12,000 x g for 20 seconds. Reconstitute by adding sterile, distilled water to achieve a final antibody concentration of 1mg/ml.

Alternate Names for Cytokeratin 20 Antibody (CL9390) - Azide and BSA Free

  • CD20
  • CK20
  • CK-20
  • cytokeratin-20
  • K20cytokeratin 20
  • keratin 20
  • keratin, type I cytoskeletal 20
  • keratin-20
  • KRT21
  • MGC35423
  • Protein IT

Background

Intermediate-sized filament (IF) protein designated cytokeratin (CK) 1 is a major cellular protein of mature enterocytes and goblet cells commonly found in mucosal epithelium of the mammalian gastrointestinal tract (1). Results strongly suggest that transcriptional regulation of keratin genes in the intestinal epithelium occurs at the level of both immature and terminally differentiated epithelial cells, and is tightly regulated during both fetal development and crypt-to-villus differentiation of the intestinal epithelium (2). CK20 has recently been reported to be useful to distinguish between primary and metastatic lung adenocarcinoma. CK20 expression was significantly more prevalent in adenocarcinoma that originated in the GI tract than that of pulmonary or breast origin (3).

Limitations

This product is for research use only and is not approved for use in humans or in clinical diagnosis. Primary Antibodies are guaranteed for 1 year from date of receipt.

Customers Who Viewed This Item Also Viewed...

NBP2-47940
Species: Hu
Applications: CyTOF-ready, Flow, ICC/IF, IF, IHC,  IHC-P, Simple Western, WB
NB600-1441
Species: Ca, Hu, Mu, Po
Applications: Flow, ICC/IF, IHC, IHC-Fr,  IHC-P, KD
7268-CT
Species: Hu
Applications: BA
NBP2-79843
Species: Hu
Applications: CyTOF-ready, ELISA, Flow, ICC/IF, IHC,  IHC-P, PA, WB
NB100-524
Species: Hu, Mu
Applications: Flow-IC, Flow, ICC/IF, IHC, IHC-Fr,  IHC-P, IP, WB
NBP2-25196
Species: Hu, Mu
Applications: CyTOF-ready, Flow, ICC/IF, In vitro, WB
AF1126
Species: Mu
Applications: ELISA(Cap), ELISA(Det), ELISA(Sta), IHC, IP, WB
AF114
Species: Mu
Applications: CyTOF-ready, Flow, ICC, IHC, WB
NBP1-19371
Species: Ca, Hu, Mu, Po, Rb, Rt
Applications: Dual ISH-IHC, Flow, ICC/IF, IHC, IHC-Fr,  IHC-P, Simple Western, WB
NBP1-49045
Species: Mu, Rt
Applications: Cell Depl, CyTOF-ready, Flow, ICC/IF, IHC, IHC-Fr,  IHC-P, IP, InhibTFunc
NBP2-70360
Species: Hu
Applications: CyTOF-ready, Flow, IMC, ICC/IF, IHC,  IHC-P, WB
NBP2-46157
Species: Hu
Applications: Flow, IHC,  IHC-P, WB
NBP1-85630
Species: Hu
Applications: IHC,  IHC-P, WB
NBP1-85632
Species: Hu
Applications: ICC/IF, IHC,  IHC-P
AF2408
Species: Hu, Mu
Applications: CyTOF-ready, Flow, ICC, KO, Simple Western, WB
NB100-56098
Species: Ca, Hu, Mu, Rt
Applications: IHC,  IHC-P, IP, WB
NBP2-44501
Species: Hu, Mu, Rt
Applications: Flow, ICC/IF, IF, IHC,  IHC-P
NBP2-34594
Species: Hu, Pm
Applications: CyTOF-ready, Flow, ICC/IF, IHC,  IHC-P
AF4478
Species: Hu
Applications: IHC, WB
NBP3-43990
Species: Hu
Applications: IHC

Publications for Cytokeratin 20 Antibody (NBP3-43990) (0)

There are no publications for Cytokeratin 20 Antibody (NBP3-43990).
By submitting your publication information earn gift cards and discounts for future purchases.

Reviews for Cytokeratin 20 Antibody (NBP3-43990) (0)

There are no reviews for Cytokeratin 20 Antibody (NBP3-43990). By submitting a review you will receive an Amazon e-Gift Card or Novus Product Discount.
  • Review with no image -- $10/€7/£6/$10 CAD/¥70 Yuan/¥1110 Yen
  • Review with an image -- $25/€18/£15/$25 CAD/¥150 Yuan/¥2500 Yen

Product General Protocols

Find general support by application which include: protocols, troubleshooting, illustrated assays, videos and webinars.

FAQs for Cytokeratin 20 Antibody (NBP3-43990) (0)

There are no specific FAQs related to this product. Read our general customer & technical service FAQs.

Secondary Antibodies

 

Isotype Controls

Additional Cytokeratin 20 Products

Research Areas for Cytokeratin 20 Antibody (NBP3-43990)

Find related products by research area.

Blogs on Cytokeratin 20

There are no specific blogs for Cytokeratin 20, but you can read our latest blog posts.

Customers Who Bought This Also Bought

Contact Information

Product PDFs

Calculators

Concentration Calculator

The concentration calculator allows you to quickly calculate the volume, mass or concentration of your vial. Simply enter your mass, volume, or concentration values for your reagent and the calculator will determine the rest.

=
÷

Review this Product

Be the first to review our Cytokeratin 20 Antibody (CL9390) - Azide and BSA Free and receive a gift card or discount.

Bioinformatics

Gene Symbol KRT20