Cytokeratin 18 Antibody (RM279)

Images

 
Western Blot: Cytokeratin 18 Antibody (RM279) [NBP2-61519] - Western Blot of MCF-7 and HeLa cells lysates using NBP2-61519.
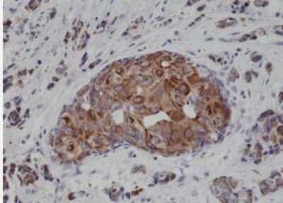
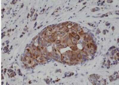
Immunohistochemistry-Paraffin: Cytokeratin 18 Antibody (RM279) [NBP2-61519] - Immunohistochemical staining of formalin fixed and paraffin embedded Human breast cancer tissue sections using NBP2-61519.

Product Details

Summary
Product Discontinued
View other related Cytokeratin 18 Primary Antibodies

Order Details


    • Catalog Number
      NBP2-61519
    • Availability
      Product Discontinued

    Can't find what you are looking for? Use our Antibody Concierge Service & we will help you locate your antibody!

    Or feel free to contact us for alternative products.

Cytokeratin 18 Antibody (RM279) Summary

Additional Information
Recombinant Monoclonal Antibody.
Immunogen
A peptide corresponding to the N-terminus of Human Cytokeratin 18
Specificity
This antibody reacts to human Cytokeratin 18 (Cytokeratin-18).
Isotype
IgG
Clonality
Monoclonal
Host
Rabbit
Gene
KRT18
Purity
Protein A purified
Innovator's Reward
Test in a species/application not listed above to receive a full credit towards a future purchase.

Applications/Dilutions

Dilutions
  • Immunohistochemistry 1:1000-1:4000
  • Immunohistochemistry-Paraffin 1:1000-1:4000
  • Western Blot 1:1000 - 1:2000

Packaging, Storage & Formulations

Storage
Store at -20C. Avoid freeze-thaw cycles.
Buffer
50% Glycerol/PBS with 1% BSA
Preservative
0.09% Sodium Azide
Purity
Protein A purified

Alternate Names for Cytokeratin 18 Antibody (RM279)

  • Cell proliferation-inducing gene 46 protein
  • cell proliferation-inducing protein 46
  • CK-18
  • CYK18
  • Cytokeratin 18
  • cytokeratin-18
  • K18
  • Keratin 18
  • keratin, type I cytoskeletal 18
  • keratin-18
  • KRT18

Limitations

This product is for research use only and is not approved for use in humans or in clinical diagnosis. Primary Antibodies are guaranteed for 1 year from date of receipt.

Customers Who Viewed This Item Also Viewed...

NBP2-16094
Species: Hu, Mu, Ze
Applications: ICC/IF, IHC-WhMt, IHC,  IHC-P, KO, WB
NBP3-13937
Species: Hu
Applications: ELISA, Flow, ICC/IF,  IHC-P, IP, PA, WB
NB100-687
Species: Hu, Mu, Rt
Applications: Flow, ICC/IF, IHC,  IHC-P, Simple Western, WB
NB300-223
Species: Bv, Ca, Ch, Eq, Hu, Mu, Po, Rt
Applications: ICC/IF, IHC, IHC-Fr,  IHC-P, WB
MAB1455
Species: Hu
Applications: CyTOF-ready, Dual ISH-IHC, ICC, IHC, ICFlow, Simple Western, WB
NBP2-34270
Species: Hu, Mu, Rt
Applications: Flow, ICC/IF, IHC, IHC-Fr,  IHC-P, Simple Western
NBP2-47940
Species: Hu
Applications: CyTOF-ready, Flow, ICC/IF, IF, IHC,  IHC-P, Simple Western, WB
MAB1368
Species: Hu, Mu
Applications: CyTOF-ready, ICC, ICFlow, KO, Simple Western, WB
NBP2-61931
Species: Hu, Rt
Applications: Flow, ICC/IF, IHC,  IHC-P, WB
294-HG
Species: Hu
Applications: BA
M6000B
Species: Mu
Applications: ELISA
DKK300
Species: Hu
Applications: ELISA
NBP1-85632
Species: Hu
Applications: ICC/IF, IHC,  IHC-P

Publications for Cytokeratin 18 Antibody (NBP2-61519) (0)

There are no publications for Cytokeratin 18 Antibody (NBP2-61519).
By submitting your publication information earn gift cards and discounts for future purchases.

Reviews for Cytokeratin 18 Antibody (NBP2-61519) (0)

There are no reviews for Cytokeratin 18 Antibody (NBP2-61519). By submitting a review you will receive an Amazon e-Gift Card or Novus Product Discount.
  • Review with no image -- $10/€7/£6/$10 CAD/¥70 Yuan/¥1110 Yen
  • Review with an image -- $25/€18/£15/$25 CAD/¥150 Yuan/¥2500 Yen

Product General Protocols

Find general support by application which include: protocols, troubleshooting, illustrated assays, videos and webinars.

Video Protocols

WB Video Protocol

FAQs for Cytokeratin 18 Antibody (NBP2-61519) (0)

There are no specific FAQs related to this product. Read our general customer & technical service FAQs.

Secondary Antibodies

 

Isotype Controls

Additional Cytokeratin 18 Products

Research Areas for Cytokeratin 18 Antibody (NBP2-61519)

Find related products by research area.

Blogs on Cytokeratin 18.

Cytokeratin 18 - A Intermediate Filament Cyotskeletal Component
Keratins, also called cytokeratins, are a family of filamentous structural proteins that form the intermediate filaments within epithelial cells. Keratins are differentially expressed depending on both the epithelial cell origin and degree of differen...  Read full blog post.

Contact Information

Product PDFs

Calculators

Concentration Calculator

The concentration calculator allows you to quickly calculate the volume, mass or concentration of your vial. Simply enter your mass, volume, or concentration values for your reagent and the calculator will determine the rest.

=
÷

Review this Product

Be the first to review our Cytokeratin 18 Antibody (RM279) and receive a gift card or discount.

Bioinformatics

Gene Symbol KRT18