Cylicin 1 Antibody - BSA Free

Images

 
Orthogonal Strategies: Immunohistochemistry-Paraffin: Cylicin 1 Antibody [NBP2-56428] - Staining in human testis and endometrium tissues using anti-CYLC1 antibody. Corresponding CYLC1 RNA-seq data are presented ...read more
Immunohistochemistry-Paraffin: Cylicin 1 Antibody [NBP2-56428] - Staining of human endometrium shows low expression as expected.
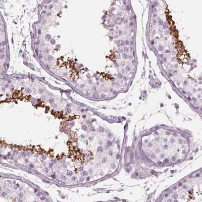
Immunohistochemistry-Paraffin: Cylicin 1 Antibody [NBP2-56428] - Staining of human testis shows high expression.

Product Details

Summary
Reactivity HuSpecies Glossary
Applications IHC
Clonality
Polyclonal
Host
Rabbit
Conjugate
Unconjugated
Format
BSA Free
Validated by:
       

Orthogonal Strategies

 

Order Details

View Available Formulations
Catalog# & Formulation Size Price

Cylicin 1 Antibody - BSA Free Summary

Description
Novus Biologicals Rabbit Cylicin 1 Antibody - BSA Free (NBP2-56428) is a polyclonal antibody validated for use in IHC. All Novus Biologicals antibodies are covered by our 100% guarantee.
Immunogen
This antibody was developed against a recombinant protein corresponding to the following amino acid sequence: KKDSKKDDKKKDAKKNAESTEMESDLELKKDKKHSKEKKGSKKDIKKDARKDTESTDAEFDESSKTGFKTSTKIKGSDTESEESLYKP
Isotype
IgG
Clonality
Polyclonal
Host
Rabbit
Gene
CYLC1
Purity
Affinity purified
Innovator's Reward
Test in a species/application not listed above to receive a full credit towards a future purchase.

Applications/Dilutions

Dilutions
  • Immunohistochemistry 1:2500 - 1:5000
  • Immunohistochemistry-Paraffin 1:2500 - 1:5000
Application Notes
For IHC-Paraffin, HIER pH 6 retrieval is recommended. Immunocytochemistry/Immunofluorescence Fixation Permeabilization: Use PFA/Triton X-100.
Control Peptide
Cylicin 1 Recombinant Protein Antigen (NBP2-56428PEP)

Packaging, Storage & Formulations

Storage
Store at 4C short term. Aliquot and store at -20C long term. Avoid freeze-thaw cycles.
Buffer
PBS (pH 7.2) and 40% Glycerol
Preservative
0.02% Sodium Azide
Purity
Affinity purified

Alternate Names for Cylicin 1 Antibody - BSA Free

  • CYCL1
  • CYL
  • CYL1
  • cylicin 1
  • cylicin I
  • cylicin, basic protein of sperm head cytoskeleton 1
  • cylicin-1
  • multiple-band polypeptide I

Background

Possible architectural role during spermatogenesis. May be involved in spermatid differentiation

Limitations

This product is for research use only and is not approved for use in humans or in clinical diagnosis. Primary Antibodies are guaranteed for 1 year from date of receipt.

Customers Who Viewed This Item Also Viewed...

NBP3-47723
Species: Hu, Mu, Rt
Applications: ELISA, WB
NBP3-48068
Species: Hu
Applications: ELISA, IHC, WB
H00010097-M01
Species: Hu
Applications: ELISA, IHC,  IHC-P, S-ELISA, WB
MAB289
Species: Hu
Applications: Simple Western, WB
NBP1-85729
Species: Hu, Mu, Rt
Applications: ICC/IF, IHC,  IHC-P, WB
NB500-106
Species: Ch, Dr, Fi, Hu, Mar, Mu, Po, Pm, Rb, Rt, Ye, Ze
Applications: ChIP, ChIP, ELISA, Flow, ICC/IF, IHC-FrFl, IHC, IHC-Fr,  IHC-P, IP, Simple Western, WB
NBP2-32840
Species: Hu, Pm, Mu, Rt
Applications: Flow, ICC/IF, IHC,  IHC-P, WB
NBP1-89519
Species: Hu
Applications: ICC/IF, IHC,  IHC-P, PLA, WB
NBP2-00776
Species: Ca, Hu, Pm, Mu, Rt
Applications: Flow, ICC/IF, IHC,  IHC-P, WB
485-MI
Species: Mu
Applications: BA
NBP2-33466
Species: Hu
Applications: ICC/IF, IHC,  IHC-P, WB
416-ML
Species: Mu
Applications: BA
NBP1-91988
Species: Hu, Mu, Rt
Applications: IHC,  IHC-P, WB
7954-GM/CF
Species: Hu
Applications: BA
NBP2-45861
Species: Hu, Mu, Rt
Applications: Flow, ICC/IF, IHC,  IHC-P, WB
NBP2-92773
Species: Hu, Mu, Rt
Applications: IHC,  IHC-P, WB
AF3184
Species: Hu, Mu
Applications: ICC, Simple Western, WB
NBP2-15278
Species: Hu
Applications: IHC,  IHC-P, WB
NBP2-56428
Species: Hu
Applications: IHC

Publications for Cylicin 1 Antibody (NBP2-56428) (0)

There are no publications for Cylicin 1 Antibody (NBP2-56428).
By submitting your publication information earn gift cards and discounts for future purchases.

Reviews for Cylicin 1 Antibody (NBP2-56428) (0)

There are no reviews for Cylicin 1 Antibody (NBP2-56428). By submitting a review you will receive an Amazon e-Gift Card or Novus Product Discount.
  • Review with no image -- $10/€7/£6/$10 CAD/¥70 Yuan/¥1110 Yen
  • Review with an image -- $25/€18/£15/$25 CAD/¥150 Yuan/¥2500 Yen

Product General Protocols

Find general support by application which include: protocols, troubleshooting, illustrated assays, videos and webinars.

FAQs for Cylicin 1 Antibody (NBP2-56428) (0)

There are no specific FAQs related to this product. Read our general customer & technical service FAQs.

Customers Who Bought This Also Bought

Contact Information

Product PDFs

Calculators

Concentration Calculator

The concentration calculator allows you to quickly calculate the volume, mass or concentration of your vial. Simply enter your mass, volume, or concentration values for your reagent and the calculator will determine the rest.

=
÷

Review this Product

Be the first to review our Cylicin 1 Antibody - BSA Free and receive a gift card or discount.

Bioinformatics

Gene Symbol CYLC1