Cyclin D1 Antibody (SP4)

Images

 
Western Blot: Cyclin D1 Antibody (SP4) [NB600-584] - Analysis of MAD109 Cells.
Immunocytochemistry/ Immunofluorescence: Cyclin D1 Antibody (SP4) [NB600-584] - Analysis of Cyclin D1/Bcl-1 (green) showing staining in the nucleus of HeLa cells. Formalin-fixed cells were permeabilized with 0.1% Triton ...read more
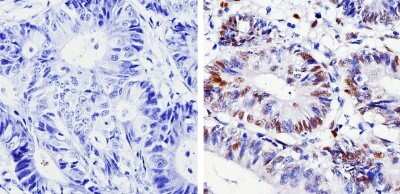
Immunohistochemistry-Paraffin: Cyclin D1 Antibody (SP4) [NB600-584] - Analysis showing staining in the nucleus of human colon carcinoma (right) compared with a negative control in the absence of primary antibody (left).
Immunocytochemistry/ Immunofluorescence: Cyclin D1 Antibody (SP4) [NB600-584] - Analysis of Cyclin D1/Bcl-1 (green) showing staining in the nucleus of NIH-3T3 cells. Formalin-fixed cells were permeabilized with 0.1% ...read more
Immunocytochemistry/ Immunofluorescence: Cyclin D1 Antibody (SP4) [NB600-584] - Analysis of Cyclin D1/Bcl-1 (green) showing staining in the nucleus of MCF-7 cells. Formalin-fixed cells were permeabilized with 0.1% ...read more
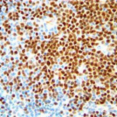
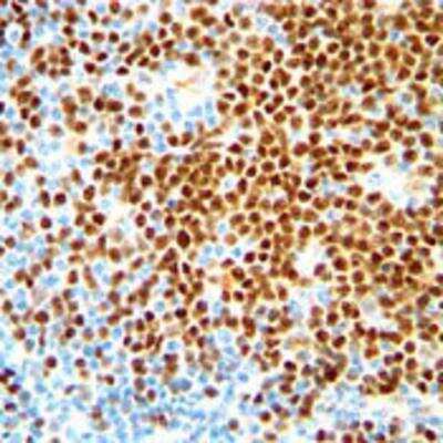
Immunohistochemistry-Paraffin: Cyclin D1 Antibody (SP4) [NB600-584] - Staining of human mantle cell lymphoma stained. Note nuclear staining of tumor cells.
Immunohistochemistry-Paraffin: Cyclin D1 Antibody (SP4) [NB600-584] - Analysis showing staining in the nucleus of paraffin-treated mouse colon tissue (right) compared with a negative control in the absence of primary ...read more
Immunohistochemistry-Paraffin: Cyclin D1 Antibody (SP4) [NB600-584] - Analysis showing staining in the nucleus of human tonsil tissue (right) compared with a negative control in the absence of primary antibody (left).

Product Details

Summary
Product Discontinued
View other related Cyclin D1 Primary Antibodies

Order Details


    • Catalog Number
      NB600-584
    • Availability
      Product Discontinued

    Can't find what you are looking for? Use our Antibody Concierge Service & we will help you locate your antibody!

    Or feel free to contact us for alternative products.

Cyclin D1 Antibody (SP4) Summary

Additional Information
Recombinant Monoclonal Antibody.
Immunogen
Synthetic peptide from C-terminus of human cyclin D1 (within amino acids 250-295 of P24385 - UniProt).
Epitope
C-terminus
Localization
Nuclear
Specificity
Cyclin D1 (SP4)
Isotype
IgG
Clonality
Monoclonal
Host
Rabbit
Gene
CCND1
Purity
Tissue culture supernatant
Innovator's Reward
Test in a species/application not listed above to receive a full credit towards a future purchase.

Applications/Dilutions

Dilutions
  • Immunocytochemistry/ Immunofluorescence 1:100 - 1:500
  • Immunohistochemistry 1:25-50
  • Immunohistochemistry-Paraffin 1:25-50
  • Western Blot 1:100 - 1:2000
Application Notes
This antibody can be used in Western Blot and Immunohistochemistry-Paraffin. For IHC, staining of formalin-fixed tissues is required by boiling tissue sections in 10mM citrate buffer, pH 6.0 for 10 min followed by cooling at RT for 20 min. In Western Blot, a 33kDa band is seen. *Optimal dilutions should be determined by the end user.Use in Immunocytochemistry/immunofluorescence reported in scientific literature (PMID 24599075)
Control
Cyclin D1 Overexpression Lysate
Publications
Read Publications using
NB600-584 in the following applications:

Reactivity Notes

Rat reactivity reported in scientific literature (PMID: 22354185). Baboon reactivity reported in scientific literature (PMID: 17210761)

Packaging, Storage & Formulations

Storage
Store at 4C. Do not freeze.
Buffer
Tissue culture supernatant
Preservative
0.09% Sodium Azide
Purity
Tissue culture supernatant

Alternate Names for Cyclin D1 Antibody (SP4)

  • B-cell lymphoma 1 protein
  • BCL-1 oncogene
  • Bcl-1
  • BCL1D11S287E
  • CCND1
  • cyclin D1 (PRAD1: parathyroid adenomatosis 1)
  • Cyclin D1
  • Cyl-1
  • G1/S-specific cyclin D1
  • G1/S-specific cyclin-D1
  • PRAD1 oncogene
  • PRAD1
  • PRAD1B-cell CLL/lymphoma 1
  • U21B31

Background

Cyclin D1 or PRAD-1 or bcl-1 is one of the key cell cycle regulators, and functions in association with cdk4 and / or cdk6 by phosphorylating the Rb protein. It is a putative proto-oncogene overexpressed in a wide variety of human neoplasms including mantle cell lymphomas (MCL).

Limitations

This product is for research use only and is not approved for use in humans or in clinical diagnosis. Primary Antibodies are guaranteed for 1 year from date of receipt.

Customers Who Viewed This Item Also Viewed...

NBP2-29463
Species: Pm, Hu, Pm, Mu
Applications: Flow, ICC/IF, IHC,  IHC-P, WB
NBP1-31308
Species: Bv, Hu, Mu, Rt
Applications: ICC/IF, IHC,  IHC-P, Simple Western, WB
NB200-103
Species: Hu, Mu, Rt, Xp(-), Ye
Applications: CyTOF-ready, ELISA, Flow-IC, Flow, ICC/IF, IHC, IHC-Fr,  IHC-P, IP, WB
NBP2-46085
Species: Hu
Applications: IHC,  IHC-P, WB
H00027065-M01
Species: Hu, Rt
Applications: ELISA, ICC/IF, S-ELISA, WB
NB200-106
Species: Mu, Rt
Applications: ELISA, ICC/IF, IHC, IHC-Fr,  IHC-P, WB
NB600-302
Species: Bv, Dr, Hu, Mu
Applications: ChIP, ELISA, Flow-IC, Flow, IB, ICC/IF, IHC, IHC-Fr,  IHC-P, IP, PLA, S-ELISA, Simple Western, WB
NBP2-00776
Species: Ca, Hu, Pm, Mu, Rt
Applications: Flow, ICC/IF, IHC,  IHC-P, WB
NBP1-90949
Species: Hu
Applications: IHC,  IHC-P, WB
NBP3-26876
Species: Hu
Applications: IHC,  IHC-P
NBP2-47561
Species: Hu
Applications: ICC/IF, IHC,  IHC-P, WB
NBP1-80616
Species: Hu, Mu, Rt
Applications: IHC,  IHC-P, WB
NBP2-03198
Species: Hu
Applications: Flow, ICC/IF, IHC,  IHC-P, WB
MAB6495
Species: Hu
Applications: ICC, Simple Western, WB
NB100-56098
Species: Ca, Hu, Mu, Rt
Applications: IHC,  IHC-P, IP, WB
NB500-106
Species: Ch, Dr, Fi, Hu, Mar, Mu, Po, Pm, Rb, Rt, Ye, Ze
Applications: ChIP, ChIP, ELISA, Flow, ICC/IF, IHC-FrFl, IHC, IHC-Fr,  IHC-P, IP, Simple Western, WB
AF1555
Species: Hu
Applications: WB
AF887
Species: Hu, Mu, Rt
Applications: CyTOF-ready, IHC, ICFlow, Simple Western, WB
AF1230
Species: Hu, Mu, Rt
Applications: IHC, KO, WB
NB600-584
Species: Hu, Mu, Rt, Pm
Applications: WB, ICC/IF, IHC

Publications for Cyclin D1 Antibody (NB600-584)(6)

We have publications tested in 2 confirmed species: Human, Mouse.

We have publications tested in 3 applications: ICC/IF, IF/IHC, WB.


Filter By Application
ICC/IF
(1)
IF/IHC
(1)
WB
(3)
All Applications
Filter By Species
Human
(3)
Mouse
(2)
All Species

Reviews for Cyclin D1 Antibody (NB600-584) (0)

There are no reviews for Cyclin D1 Antibody (NB600-584). By submitting a review you will receive an Amazon e-Gift Card or Novus Product Discount.
  • Review with no image -- $10/€7/£6/$10 CAD/¥70 Yuan/¥1110 Yen
  • Review with an image -- $25/€18/£15/$25 CAD/¥150 Yuan/¥2500 Yen

Product General Protocols

Find general support by application which include: protocols, troubleshooting, illustrated assays, videos and webinars.

Video Protocols

WB Video Protocol
ICC/IF Video Protocol

FAQs for Cyclin D1 Antibody (NB600-584). (Showing 1 - 1 of 1 FAQs).

  1. I would like to know antibody (NB600-584) dilution used in western-blot.
    • We do not have an exact recommended dilution however I can recommend a starting dilution of 1:1000-1:200 which should be optimized accordingly.

Control Lysate(s)

Secondary Antibodies

 

Isotype Controls

Additional Cyclin D1 Products

Research Areas for Cyclin D1 Antibody (NB600-584)

Find related products by research area.

Blogs on Cyclin D1.

Dual applications of a c-Myc antibody in mitochondrial research
c-Myc, a proto-oncogene, has documented involvement in cellular differentiation, cell growth, cell death and tumor formation.  Target genes of the Myc family include those that participate in cell survival, translation, transcription, metabolism and...  Read full blog post.

The dynamic use of a PCNA antibody in fish, porcine and primate species
Proliferating cell nuclear antigen (PCNA) plays a crucial role in nucleic acid metabolism as it pertains to DNA replication and repair.  Most noted for its activation of subunits of DNA polymerase, it has also been found to interact with cell-cycl...  Read full blog post.

Transportin 1 and heterogeneous nuclear ribonucleoprotein D (hnRNPD)
Transportin 1, also known as Karyopherin- beta 2 or Importin- beta 2, is part of the beta -karyopherins family, which consists of importins and exportins responsible for the active transport of proteins between the nucleus and cytoplasm.  Transportin 1 is co...  Read full blog post.

Beta-catenin - I am versatile!
Beta-catenin is a cytosolic, 88 kDa intracellular protein associated with cell surface cadherin glycoproteins. It is a member of the larger calcium-dependent catenin family that includes alpha-catenin, beta-catenin, and gamma-catenin (also known as pl...  Read full blog post.

IKK alpha says "no" to NFk beta
The nuclear factor kappa B (NFkB) is a ubiquitous transcription factor essential for the activation of immune and inflammatory responses. NFkB activity is inhibited when it is associated with IkB proteins in the cell cytoplasm. IkB proteins are phosph...  Read full blog post.

Beta Catenin Implications for Signaling
The Wnt/beta Catenin signaling pathway plays a critical role in embryonic development, stem cell self-renewal and regeneration. Alterations in this signaling cascade have been implicated in the pathogenesis of cancer. Notably, chronic activation of Wn...  Read full blog post.

Role of RASSF1A in Death Receptor-Dependent Apoptosis
Death-receptor apoptosis, or cell death, is essential for cellular growth regulation; its disruption is expressed in a variety of cancers. We at Novus Biologicals are one of the leading antibody suppliersfor apoptosis and cancer research groups, and t...  Read full blog post.

Contact Information

Product PDFs

Calculators

Concentration Calculator

The concentration calculator allows you to quickly calculate the volume, mass or concentration of your vial. Simply enter your mass, volume, or concentration values for your reagent and the calculator will determine the rest.

=
÷

Review this Product

Be the first to review our Cyclin D1 Antibody (SP4) and receive a gift card or discount.

Bioinformatics

Gene Symbol CCND1
Entrez