Ctip1 Antibody (CL13530) - Azide and BSA Free

Images

 
Staining in NTERA-2 cell line with Anti-Ctip1 monoclonal antibody) .
Orthogonal Strategies: Analysis in human cerebral cortex and skeletal muscle tissues using NBP3-43832 antibody. Corresponding Ctip1 RNA-seq data are presented for the same tissues.
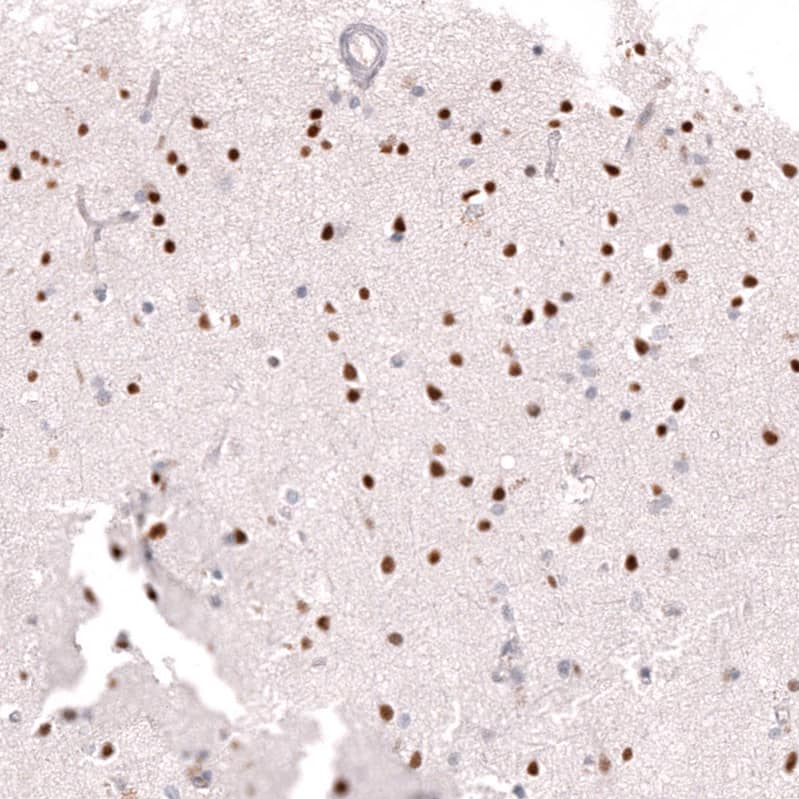
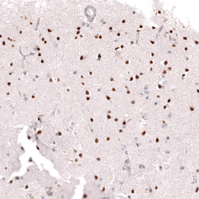
Staining of human cerebral cortex shows strong nuclear positivity in neurons.
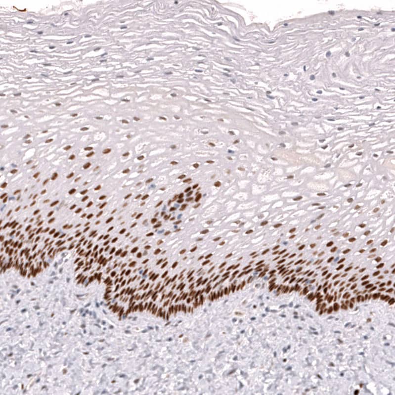
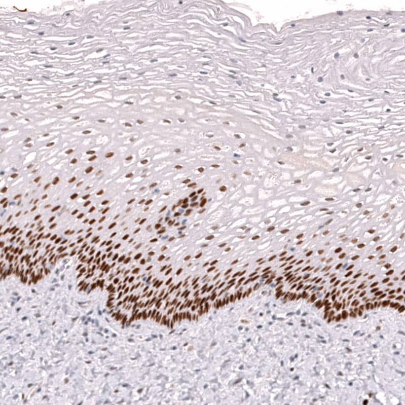
Staining of human cervix shows strong nuclear positivity in squamous epithelial cells.
Staining of human skeletal muscle shows no positivity in myocytes as expected.
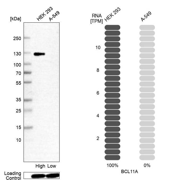
Orthogonal Strategies: Analysis in human cell lines HEK293 and A-549 using Anti-Ctip1 antibody. Corresponding Ctip1 RNA-seq data are presented for the same cell lines. Loading control: Anti-HSP90B1.
Staining of human tonsil shows strong nuclear positivity in germinal center cells.

Product Details

Summary
Reactivity HuSpecies Glossary
Applications WB, ICC/IF, IHC
Clone
CL13530
Clonality
Monoclonal
Host
Mouse
Conjugate
Unconjugated
Format
Azide and BSA Free
Concentration
LYOPH
Validated by:
       

Orthogonal Strategies

 

Order Details

Ctip1 Antibody (CL13530) - Azide and BSA Free Summary

Description
Novus Biologicals Mouse Ctip1 Antibody (CL13530) - Azide and BSA Free (NBP3-24563) is a monoclonal antibody validated for use in IHC, WB and ICC/IF. All Novus Biologicals antibodies are covered by our 100% guarantee.
Immunogen
This antibody was generated using a synthetic peptide of Q9H165, with the exact immunogen sequence remaining proprietary.
Isotype
IgG1
Clonality
Monoclonal
Host
Mouse
Gene
BCL11A
Purity
Protein A purified
Innovator's Reward
Test in a species/application not listed above to receive a full credit towards a future purchase.

Applications/Dilutions

Dilutions
  • Immunocytochemistry/ Immunofluorescence 2-10 ug/ml
  • Immunohistochemistry-Paraffin 1:200 - 1:500
  • Western Blot 1 ug/ml
Application Notes
For IHC-Paraffin, we recommend using Heat-Induced Epitope Retrieval (HIER) with a pH level of 6. This optimized retrieval method ensures the best results for your experiments, For Immunocytochemistry/ Immunofluorescence/IF, we recommend using a combination of PFA and Triton X-100. This will give you the optimal results for your experiments.

Packaging, Storage & Formulations

Storage
Store at 4C short term. Aliquot and store at -20C long term. Avoid freeze-thaw cycles.
Buffer
Lyophilized from a 0.2 um filtered solution in PBS with Trehalose
Preservative
No Preservative
Concentration
LYOPH
Purity
Protein A purified
Reconstitution Instructions
Centrifuge the vial of lyophilized antibody at 12,000 x g for 20 seconds. Reconstitute by adding sterile, distilled water to achieve a final antibody concentration of 1mg/ml.

Alternate Names for Ctip1 Antibody (CL13530) - Azide and BSA Free

  • B-cell CLL/lymphoma 11A (zinc finger protein) isoform 2
  • B-cell CLL/lymphoma 11A (zinc finger protein)
  • B-cell CLL/lymphoma 11A
  • B-cell lymphoma/leukemia 11A
  • BCL11A B-cell CLL/lymphoma 11A (zinc finger protein) isoform 1
  • BCL-11A
  • BCL11A-S
  • BCL11A-XL
  • C2H2-type zinc finger protein
  • COUP-TF-interacting protein 1
  • CTIP1ecotropic viral integration site 9
  • ecotropic viral integration site 9 homolog
  • Ecotropic viral integration site 9 protein homolog
  • EVI-9
  • EVI9FLJ34997
  • HBFQTL5
  • KIAA1809BCL11A-L
  • Zinc finger protein 856
  • ZNF856FLJ10173

Background

The Ctip1 gene encodes a C2H2 type zinc-finger protein by its similarity to the mouse Bcl11a/Evi9 protein. The corresponding mouse gene is a common site of retroviral integration in myeloid leukemia, and may function as a leukemia disease gene, in part, throug

Limitations

This product is for research use only and is not approved for use in humans or in clinical diagnosis. Primary Antibodies are guaranteed for 1 year from date of receipt.

Customers Who Viewed This Item Also Viewed...

NB100-2600
Species: Hu, Mu, Rt
Applications: ICC/IF, IHC, IHC-Fr,  IHC-P
NBP2-14081
Species: Hu
Applications: ICC/IF, IHC,  IHC-P
NBP2-37380
Species: Hu
Applications: CyTOF-ready, ELISA, Flow, IHC,  IHC-P, WB
NBP1-42827
Species: Ch, Fi, Hu, Pm, Mu, Rt, Re, Xp
Applications: ICC/IF, IHC, IHC-Fr, WB
NB600-922
Species: Ch, Mu
Applications: ELISA, IHC, Single-Cell Western, WB
NBP1-47492
Species: Pm, Hu
Applications: ChIP, ELISA, ICC/IF, IHC,  IHC-P, WB
NBP1-51641
Species: Hu, Mu, Pm, Rb, Rt
Applications: ELISA, Flow-IC, Flow, ICC/IF, IHC-FrFl, IHC,  IHC-P, WB
NBP2-59786
Species: Hu
Applications: ICC/IF, IHC,  IHC-P, Simple Western
NB100-56098
Species: Ca, Hu, Mu, Rt
Applications: IHC,  IHC-P, IP, WB
NBP1-80306
Species: Av, Hu
Applications: ICC/IF, IHC,  IHC-P, KD, WB
AF844
Species: Mu
Applications: Block, IHC, WB
NB600-302
Species: Bv, Dr, Hu, Mu
Applications: ChIP, ELISA, Flow-IC, Flow, IB, ICC/IF, IHC, IHC-Fr,  IHC-P, IP, PLA, S-ELISA, Simple Western, WB
NBP2-29463
Species: Pm, Hu, Pm, Mu
Applications: Flow, ICC/IF, IHC,  IHC-P, WB
NB500-171
Species: Hu, I, Mu, Rt, Xp, Ye
Applications: ChIP, IB, ICC/IF, IHC,  IHC-P, Single-Cell Western, WB
MAB812
Species: Hu
Applications: CyTOF-ready, Flow
PP-H6506-00
Species: Hu
Applications: DirELISA, IP, WB
NB200-103
Species: Hu, Mu, Rt, Xp(-), Ye
Applications: CyTOF-ready, ELISA, Flow-IC, Flow, ICC/IF, IHC, IHC-Fr,  IHC-P, IP, WB
NBP3-43832
Species: Hu
Applications: WB, ICC/IF, IHC

Publications for Ctip1 Antibody (NBP3-43832) (0)

There are no publications for Ctip1 Antibody (NBP3-43832).
By submitting your publication information earn gift cards and discounts for future purchases.

Reviews for Ctip1 Antibody (NBP3-43832) (0)

There are no reviews for Ctip1 Antibody (NBP3-43832). By submitting a review you will receive an Amazon e-Gift Card or Novus Product Discount.
  • Review with no image -- $10/€7/£6/$10 CAD/¥70 Yuan/¥1110 Yen
  • Review with an image -- $25/€18/£15/$25 CAD/¥150 Yuan/¥2500 Yen

Product General Protocols

Find general support by application which include: protocols, troubleshooting, illustrated assays, videos and webinars.

Video Protocols

WB Video Protocol
ICC/IF Video Protocol

FAQs for Ctip1 Antibody (NBP3-43832) (0)

There are no specific FAQs related to this product. Read our general customer & technical service FAQs.

Customers Who Bought This Also Bought

Contact Information

Product PDFs

Calculators

Concentration Calculator

The concentration calculator allows you to quickly calculate the volume, mass or concentration of your vial. Simply enter your mass, volume, or concentration values for your reagent and the calculator will determine the rest.

=
÷

Review this Product

Be the first to review our Ctip1 Antibody (CL13530) - Azide and BSA Free and receive a gift card or discount.

Bioinformatics

Gene Symbol BCL11A