CTCF Antibody (CL0307) - Azide and BSA Free

Images

 
Lane 1: Marker [kDa]Lane 2: Human cell line U-251 MG
Staining of human endometrium shows strong nuclear positivity in glandular and stromal cells.
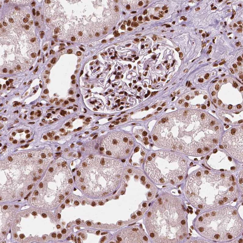
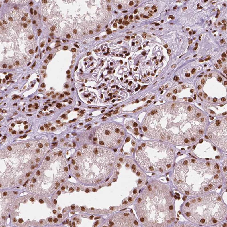
Staining of human kidney shows strong nuclear positivity in cells in glomeruli and tubuli.
Staining of MCF7 cells using the Anti-CTCF monoclonal antibody) .
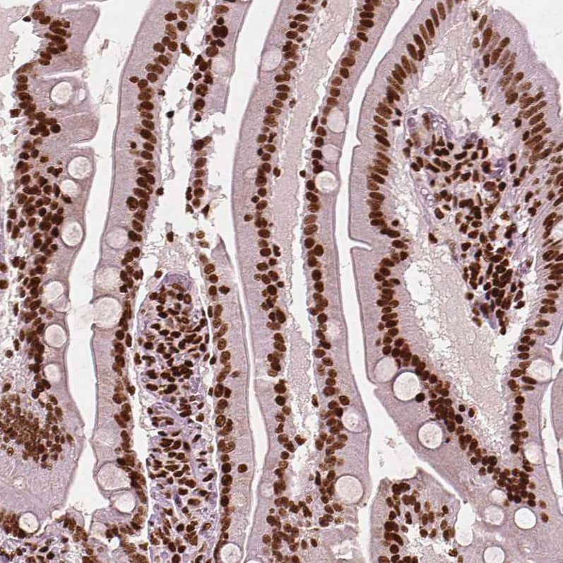
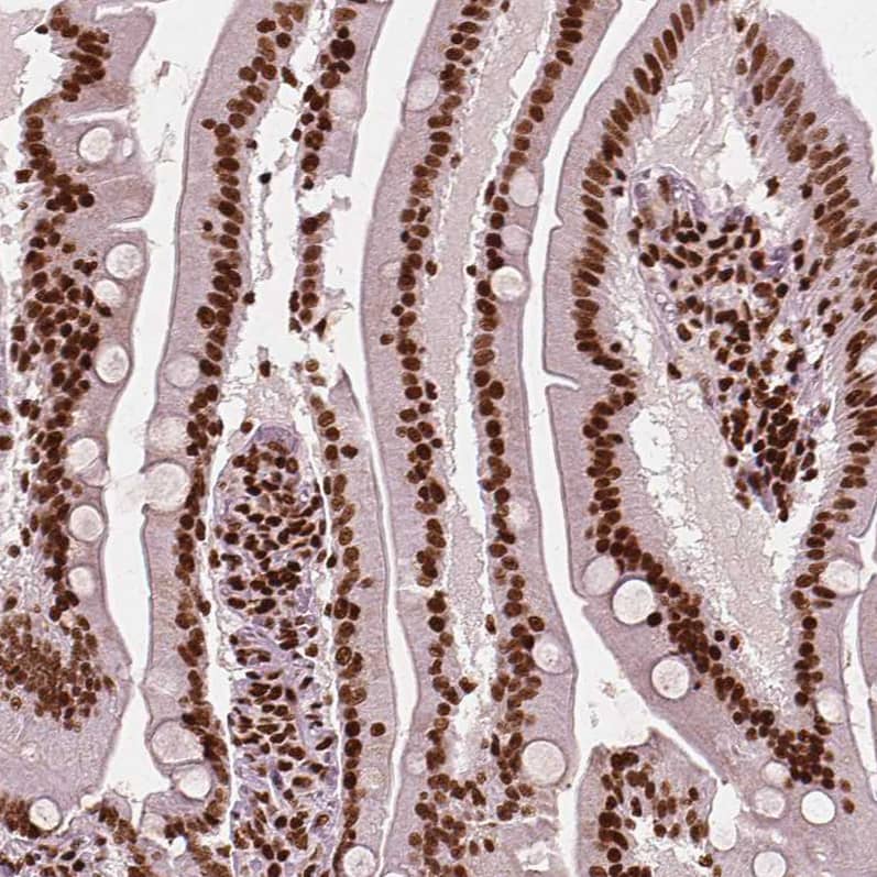
Staining of human small intestine shows strong nuclear positivity in glandular cells.
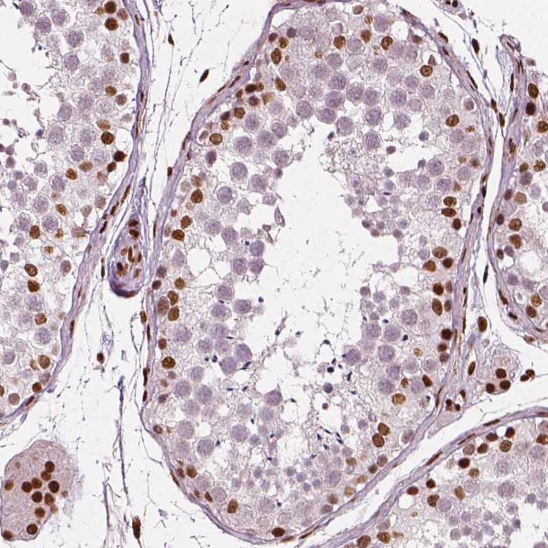
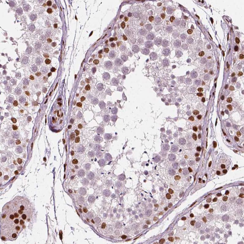
Staining of human testis shows moderate nuclear positivity in a subset of cells in seminiferous ducts.

Product Details

Summary
Reactivity HuSpecies Glossary
Applications WB, ICC/IF, IHC
Clone
CL0307
Clonality
Monoclonal
Host
Mouse
Conjugate
Unconjugated
Format
Azide and BSA Free
Concentration
LYOPH

Order Details

CTCF Antibody (CL0307) - Azide and BSA Free Summary

Description
Novus Biologicals Mouse CTCF Antibody (CL0307) - Azide and BSA Free (NBP2-52911) is a monoclonal antibody validated for use in IHC, WB and ICC/IF. All Novus Biologicals antibodies are covered by our 100% guarantee.
Immunogen
This antibody was generated using a recombinant protein sequence of P49711, with the exact immunogen sequence remaining proprietary.
Isotype
IgG2b
Clonality
Monoclonal
Host
Mouse
Gene
CTCF
Purity
Protein A purified
Innovator's Reward
Test in a species/application not listed above to receive a full credit towards a future purchase.

Applications/Dilutions

Dilutions
  • Immunocytochemistry/ Immunofluorescence 2-10 ug/ml
  • Immunohistochemistry-Paraffin 1:200 - 1:500
  • Western Blot 1 ug/ml
Application Notes
For IHC-Paraffin, HIER pH 6 retrieval is recommended. For Immunocytochemistry/ Immunofluorescence/IF, PFA/Triton X-100 is recommended for fixation/permeabilization.

Packaging, Storage & Formulations

Storage
Store at 4C short term. Aliquot and store at -20C long term. Avoid freeze-thaw cycles.
Buffer
Lyophilized from a 0.2 um filtered solution in PBS with Trehalose
Preservative
No Preservative
Concentration
LYOPH
Purity
Protein A purified
Reconstitution Instructions
Centrifuge the vial of lyophilized antibody at 12,000 x g for 20 seconds. Reconstitute by adding sterile, distilled water to achieve a final antibody concentration of 1mg/ml.

Alternate Names for CTCF Antibody (CL0307) - Azide and BSA Free

  • 11 zinc finger transcriptional repressor
  • 11-zinc finger protein
  • 11-Zinc Finger Protein2
  • CCCTC-binding factor (zinc finger protein)
  • CCCTC-binding Factor
  • CTCF
  • CTCFL paralog
  • transcriptional repressor CTCF

Background

The CTCF gene is a member of the BORIS + CTCF gene family and encodes a transcriptional regulator protein with 11 highly conserved zinc finger (ZF) domains. This nuclear protein is able to use different combinations of the ZF domains to bind different DNA tar

Limitations

This product is for research use only and is not approved for use in humans or in clinical diagnosis. Primary Antibodies are guaranteed for 1 year from date of receipt.

Customers Who Viewed This Item Also Viewed...

292-G2
Species: Hu
Applications: BA
NBP1-89947
Species: Hu
Applications: IHC,  IHC-P
NB600-302
Species: Bv, Dr, Hu, Mu
Applications: ChIP, ELISA, Flow-IC, Flow, IB, ICC/IF, IHC, IHC-Fr,  IHC-P, IP, PLA, S-ELISA, Simple Western, WB
NB500-171
Species: Hu, I, Mu, Rt, Xp, Ye
Applications: ChIP, IB, ICC/IF, IHC,  IHC-P, Single-Cell Western, WB
NBP2-14081
Species: Hu
Applications: ICC/IF, IHC,  IHC-P
NB200-106
Species: Mu, Rt
Applications: ELISA, ICC/IF, IHC, IHC-Fr,  IHC-P, WB
NB100-56519
Species: Bv, Hu, Mu, Po, Rt, Sh
Applications: ChIP, CyTOF-ready, Flow-IC, Flow, ICC/IF, IHC-FrFl, IHC, IHC-Fr,  IHC-P, IP, KD, Simple Western, WB
NBP2-20053
Species: Hu, Mu, Rt
Applications: ChIP, ICC/IF, IHC,  IHC-P, IP, WB
NB100-86989
Species: Hu, Mu
Applications: IHC,  IHC-P, IP, WB
NBP2-20932
Species: Hu, Mu, Rt
Applications: ICC/IF, IHC,  IHC-P, WB
AF1759
Species: Hu, Mu
Applications: ChIP, ICC, IP, Simple Western, WB
NBP1-84999
Species: Hu
Applications: IHC,  IHC-P, WB
NB200-103
Species: Hu, Mu, Rt, Xp(-), Ye
Applications: CyTOF-ready, ELISA, Flow-IC, Flow, ICC/IF, IHC, IHC-Fr,  IHC-P, IP, WB
NBP1-89917
Species: Hu
Applications: ICC/IF, IHC,  IHC-P, WB
NB100-56326
Species: Hu, Mu
Applications: ICC/IF, IHC,  IHC-P, WB
NB600-232
Species: Hu, Mu
Applications: ChIP, IHC,  IHC-P, IP, WB

Publications for CTCF Antibody (NBP3-44027) (0)

There are no publications for CTCF Antibody (NBP3-44027).
By submitting your publication information earn gift cards and discounts for future purchases.

Reviews for CTCF Antibody (NBP3-44027) (0)

There are no reviews for CTCF Antibody (NBP3-44027). By submitting a review you will receive an Amazon e-Gift Card or Novus Product Discount.
  • Review with no image -- $10/€7/£6/$10 CAD/¥70 Yuan/¥1110 Yen
  • Review with an image -- $25/€18/£15/$25 CAD/¥150 Yuan/¥2500 Yen

Product General Protocols

Find general support by application which include: protocols, troubleshooting, illustrated assays, videos and webinars.

Video Protocols

WB Video Protocol
ICC/IF Video Protocol

FAQs for CTCF Antibody (NBP3-44027) (0)

There are no specific FAQs related to this product. Read our general customer & technical service FAQs.

Customers Who Bought This Also Bought

Contact Information

Product PDFs

Calculators

Concentration Calculator

The concentration calculator allows you to quickly calculate the volume, mass or concentration of your vial. Simply enter your mass, volume, or concentration values for your reagent and the calculator will determine the rest.

=
÷

Review this Product

Be the first to review our CTCF Antibody (CL0307) - Azide and BSA Free and receive a gift card or discount.

Bioinformatics

Gene Symbol CTCF