Complement C4d Antibody (SPM545) - IHC-Prediluted

Images

 
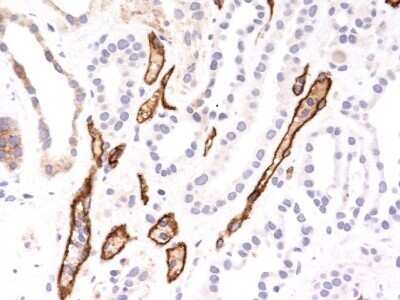
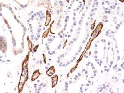
Immunohistochemistry-Paraffin: Complement C4b/d Antibody (SPM545) - IHC-Prediluted [NBP2-48107] - Formalin-fixed, paraffin-embedded kidney transplant tissue (40X) stained with Complement 4d Ab (SPM545).

Product Details

Summary
Reactivity HuSpecies Glossary
Applications IHC
Clone
SPM545
Clonality
Monoclonal
Host
Mouse
Conjugate
Unconjugated
Format
IHC-Prediluted

Order Details

Complement C4d Antibody (SPM545) - IHC-Prediluted Summary

Description
The prediluted antibody does not require any mixing, dilution, reconstitution, or titration; the antibody is ready-to-use and optimized for staining.
Immunogen
Recombinant human Complement Complement C4d protein
Localization
Intracytoplasmic vacuoles of endothelial cells and Secreted
Marker
Acute Humoral Rejection Marker
Specificity
This monoclonal antibody is specific to Complement 4d (C4d) and it reacts with the secreted as well as cell-bound C4d.C4d is a degradation product of the activated complement factor C4b. Complement 4b is typically activated by binding of Abs to specific target molecules. Following activation and degradation of the C4 molecule, thio-ester groups are exposed, which allow transient, covalent binding of the degradation product Complement 4d to endothelial cell surfaces and extracellular matrix components of vascular basement membranes near the sites of C4 activation. The presence of C4d in peritubular capillaries is a key indicator for acute humoral (i.e. antibody-mediated) rejection of kidney, heart, pancreas and lung allografts. As an established marker of antibody-mediated acute renal allograft rejection and its proclivity for endothelium, this component can be detected in peritubular capillaries in chronic renal allograft rejection as well as hyperacute rejection, acute vascular rejection, acute cellular rejection, and borderline rejection. It has been shown to be a significant predictor of transplant kidney graft survival. Anti-C4d, combined with anti-C3d, can be utilized as a tool for diagnosis of allograft rejection that may warrant a prompt and aggressive anti-rejection treatment.
Isotype
IgG1 Kappa
Clonality
Monoclonal
Host
Mouse
Gene
C4A
Purity
Protein A or G purified
Innovator's Reward
Test in a species/application not listed above to receive a full credit towards a future purchase.

Applications/Dilutions

Dilutions
  • Immunohistochemistry
  • Immunohistochemistry-Paraffin
Application Notes
Immunohistochemistry (Formalin-fixed): 1:200-1:400 for 30 minutes at RT. Staining of formalin-fixed tissues requires heating tissue sections in 1mM EDTA, pH 7.5-8.5, for 45 min at 95C followed by cooling at RT for 20 minutes.
Optimal dilution for a specific application should be determined.
Theoretical MW
192 kDa.
Disclaimer note: The observed molecular weight of the protein may vary from the listed predicted molecular weight due to post translational modifications, post translation cleavages, relative charges, and other experimental factors.

Packaging, Storage & Formulations

Storage
Store at 4C.
Buffer
10 mM PBS with 0.05% BSA
Preservative
0.05% Sodium Azide
Purity
Protein A or G purified

Alternate Names for Complement C4d Antibody (SPM545) - IHC-Prediluted

  • C4
  • C4A
  • C4A2
  • C4A3
  • C4A4
  • C4A6
  • C4S
  • CO4
  • complement C4A
  • CPAMD2
  • RG

Limitations

This product is for research use only and is not approved for use in humans or in clinical diagnosis. Primary Antibodies are guaranteed for 1 year from date of receipt.

Customers Who Viewed This Item Also Viewed...

NB200-540
Species: Ec, Mu
Applications: CyTOF-ready, Flow-IC, Flow, IA, ICC/IF, IHC, IHC-Fr,  IHC-P, IP
NBP3-12295
Species: Hu, Pm, Rt
Applications: ELISA, IHC,  IHC-P, IP, WB
NBP2-36776
Species: Hu
Applications: ICC/IF, IHC,  IHC-P, KD, WB
AF1936
Species: Hu
Applications: IP, WB
2150-C5
Species: Mu
Applications: BA
NB200-541
Species: Mu
Applications: IA, ICC/IF, IHC, IHC-Fr, IP, WB
NBP1-88527
Species: Hu, Mu, Rt
Applications: IHC,  IHC-P, WB
NBP2-93935
Species: Hu, Mu, Rt
Applications: ICC/IF, WB
NBP1-89985
Species: Hu, Rt
Applications: ICC/IF, IHC, IHC-Fr,  IHC-P, Simple Western, WB
NBP1-91803
Species: Hu
Applications: IHC,  IHC-P, WB
H00005688-M01
Species: Hu
Applications: ELISA, ICC/IF, IHC,  IHC-P, IP, S-ELISA, WB
NBP1-87492
Species: Hu
Applications: IHC,  IHC-P, WB
MAB1455
Species: Hu
Applications: CyTOF-ready, Dual ISH-IHC, ICC, IHC, ICFlow, Simple Western, WB
NBP2-25196
Species: Hu, Mu
Applications: CyTOF-ready, Flow, ICC/IF, In vitro, WB
DY1707
Species: Hu
Applications: ELISA
DIP100
Species: Hu
Applications: ELISA
H00000730-D01P
Species: Hu, Mu
Applications: WB
NB100-56725
Species: Hu, Mu
Applications: Flow-IC, Flow, IHC,  IHC-P, IP, WB
NBP2-48107
Species: Hu
Applications: IHC

Publications for Complement 4d Antibody (NBP2-48107) (0)

There are no publications for Complement 4d Antibody (NBP2-48107).
By submitting your publication information earn gift cards and discounts for future purchases.

Reviews for Complement 4d Antibody (NBP2-48107) (0)

There are no reviews for Complement 4d Antibody (NBP2-48107). By submitting a review you will receive an Amazon e-Gift Card or Novus Product Discount.
  • Review with no image -- $10/€7/£6/$10 CAD/¥70 Yuan/¥1110 Yen
  • Review with an image -- $25/€18/£15/$25 CAD/¥150 Yuan/¥2500 Yen

Product General Protocols

Find general support by application which include: protocols, troubleshooting, illustrated assays, videos and webinars.

FAQs for Complement 4d Antibody (NBP2-48107) (0)

There are no specific FAQs related to this product. Read our general customer & technical service FAQs.

Secondary Antibodies

 

Isotype Controls

Additional Complement C4d Products

Array NBP2-48107

Research Areas for Complement 4d Antibody (NBP2-48107)

Find related products by research area.

Blogs on Complement C4d

There are no specific blogs for Complement C4d, but you can read our latest blog posts.

Customers Who Bought This Also Bought

Contact Information

Product PDFs

Calculators

Concentration Calculator

The concentration calculator allows you to quickly calculate the volume, mass or concentration of your vial. Simply enter your mass, volume, or concentration values for your reagent and the calculator will determine the rest.

=
÷

Review this Product

Be the first to review our Complement C4d Antibody (SPM545) - IHC-Prediluted and receive a gift card or discount.

Bioinformatics

Gene Symbol C4A