CHMP4A Antibody - BSA Free

Images

 
Staining of human heart muscle shows strong cytoplasmic positivity in cardiomyocytes.
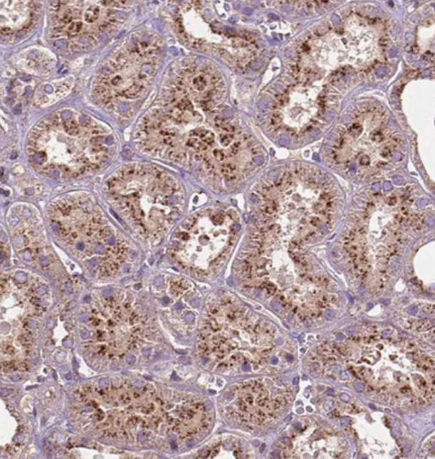
Staining of human kidney shows strong granular cytoplasmic positivity in cells in tubules.
Staining of human prostate shows strong granular cytoplasmic positivity in glandular and smooth muscle cells.
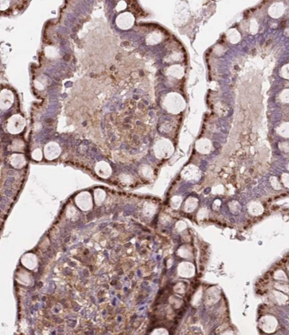
Staining of human small intestine shows strong granular cytoplasmic positivity in glandular cells.

Product Details

Summary
Reactivity HuSpecies Glossary
Applications IHC
Clonality
Polyclonal
Host
Rabbit
Conjugate
Unconjugated
Format
BSA Free

Order Details

View Available Formulations
Catalog# & Formulation Size Price

CHMP4A Antibody - BSA Free Summary

Description
Novus Biologicals Rabbit CHMP4A Antibody - BSA Free (NBP2-49557) is a polyclonal antibody validated for use in IHC. All Novus Biologicals antibodies are covered by our 100% guarantee.
Immunogen
This antibody was developed against a recombinant protein corresponding to amino acids: THLPAGPAPKVDEDEEALKQLAEWVS
Isotype
IgG
Clonality
Polyclonal
Host
Rabbit
Gene
CHMP4A
Purity
Affinity purified
Innovator's Reward
Test in a species/application not listed above to receive a full credit towards a future purchase.

Applications/Dilutions

Dilutions
  • Immunohistochemistry 1:20 - 1:50
  • Immunohistochemistry-Paraffin 1:20 - 1:50
Application Notes
For IHC-Paraffin, HIER pH 6 retrieval is recommended.
Control Peptide
CHMP4A Recombinant Protein Antigen (NBP2-49557PEP)

Packaging, Storage & Formulations

Storage
Store at 4C short term. Aliquot and store at -20C long term. Avoid freeze-thaw cycles.
Buffer
PBS (pH 7.2) and 40% Glycerol
Preservative
0.02% Sodium Azide
Purity
Affinity purified

Alternate Names for CHMP4A Antibody - BSA Free

  • C14orf123
  • charged multivesicular body protein 4a
  • CHMP4
  • CHMP4a
  • CHMP4B
  • chromatin modifying protein 4A
  • Chromatin-modifying protein 4a
  • chromosome 14 open reading frame 123
  • FLJ61658
  • hSnf-1
  • HSPC134
  • hVps32-1
  • MGC142093
  • MGC142095
  • SHAX2
  • SNF7 homolog associated with Alix-2
  • Snf7 homologue associated with Alix 2
  • SNF7
  • SNF7-1
  • Vacuolar protein sorting-associated protein 32-1
  • VPS32-1
  • VPS32A

Background

CHMP4A (charged MVB protein 4A) is one of the three isoforms of CHMP4, the human equivalent of yeast Snf7 (so CHMP4A is also referred to as hSnf7-1). It is a component of the ESCRT-III (endosomal sorting complex required for transport III) complex. The ESCRT complexes mediate membrane budding away from the cytosol and cleavage of membrane necks (membrane fission) from the cytosolic face; hence, they are key in processes such as the formation of MVBs (multivesicular bodies), enveloped virus budding, and membrane abscission in cytokinesis. Not all types of ESCRT complexes, or proteins within those complexes, are necessary for all of these functions. For instance, research into the requirements of ESCRT-III proteins in HIV-1 budding has revealed that CHMP1 and CHMP3 proteins are not essential for this process; at least one member of each of the CHMP2 and CHMP4 families are required; within these families there is some functional redundancy; within the CHMP4 family, the relative importance and abundance of the isoforms is 4B > 4A > 4C; and the absence of CHMP4A or 4B prevents the budding process from progressing to completion.

Limitations

This product is for research use only and is not approved for use in humans or in clinical diagnosis. Primary Antibodies are guaranteed for 1 year from date of receipt.

Customers Who Viewed This Item Also Viewed...

NBP1-90201
Species: Hu
Applications: ICC/IF, IHC,  IHC-P, KD, Simple Western, WB
NBP3-27784
Species: Hu, Mu, Rt
Applications: ICC/IF, IHC, WB
NBP1-83726
Species: Hu
Applications: IHC,  IHC-P, WB
NBP1-91780
Species: Hu
Applications: IHC,  IHC-P
NB200-112
Species: Ca, Ha, Hu, Pm, Mu, Po, Rt, Ze
Applications: EM, ELISA, Flow, ICC/IF, IHC-FrFl, IHC,  IHC-P, IP, KD, WB
NBP2-20881
Species: Hu
Applications: ICC/IF, IHC,  IHC-P, WB
NBP3-22183
Species: Hu, Mu, Rt
Applications: Flow, IHC, IP, WB
MAB6015
Species: Hu, Mu, Rt
Applications: WB
NBP1-81166
Species: Hu
Applications: IHC,  IHC-P
NBP1-86745
Species: Hu, Mu, Rt
Applications: IHC,  IHC-P, WB
AF7117
Species: Hu, Mu
Applications: ICC, IHC, WB
NBP2-32665
Species: Hu
Applications: IHC,  IHC-P, WB
AF8171
Species: Hu
Applications: IHC, Simple Western, WB
NBP2-15278
Species: Hu
Applications: IHC,  IHC-P, WB
NBP1-77198
Species: Hu, Mu
Applications: ELISA, ICC/IF, IHC,  IHC-P, WB
236-EG
Species: Hu
Applications: BA
NBP3-32254
Species: Hu, Mu, Rt
Applications: ICC/IF, IHC,  IHC-P, WB
H00008086-M02
Species: Hu, Mu, Rt
Applications: ELISA, IHC,  IHC-P, WB
NBP1-90706
Species: Hu
Applications: ICC/IF, IHC,  IHC-P, WB
NBP2-13075
Species: Ba, Hu, Pm, Mu, Rt
Applications: DB, ELISA, IB, ICC/IF, IHC-FrFl, IHC, IHC-Fr,  IHC-P, IP, WB

Publications for CHMP4A Antibody (NBP2-49557) (0)

There are no publications for CHMP4A Antibody (NBP2-49557).
By submitting your publication information earn gift cards and discounts for future purchases.

Reviews for CHMP4A Antibody (NBP2-49557) (0)

There are no reviews for CHMP4A Antibody (NBP2-49557). By submitting a review you will receive an Amazon e-Gift Card or Novus Product Discount.
  • Review with no image -- $10/€7/£6/$10 CAD/¥70 Yuan/¥1110 Yen
  • Review with an image -- $25/€18/£15/$25 CAD/¥150 Yuan/¥2500 Yen

Product General Protocols

Find general support by application which include: protocols, troubleshooting, illustrated assays, videos and webinars.

FAQs for CHMP4A Antibody (NBP2-49557) (0)

There are no specific FAQs related to this product. Read our general customer & technical service FAQs.

Customers Who Bought This Also Bought

Contact Information

Product PDFs

Calculators

Concentration Calculator

The concentration calculator allows you to quickly calculate the volume, mass or concentration of your vial. Simply enter your mass, volume, or concentration values for your reagent and the calculator will determine the rest.

=
÷

Review this Product

Be the first to review our CHMP4A Antibody - BSA Free and receive a gift card or discount.

Bioinformatics

Gene Symbol CHMP4A