CEACAM5/CD66e Antibody (1C7)

Images

 
Western Blot: CEACAM-5/CD66e Antibody (1C7) [NBP2-22173] - CEACAM5 Antibody (1C7) Western blot analysis using Carcino Embryonic Antigen CEA mAb against HEK293 (1) and Carcino Embryonic Antigen CEA (AA: 460-600)-hIgGFc ...read more
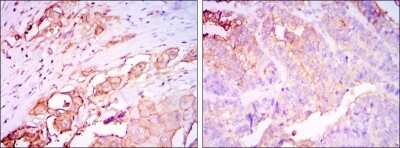
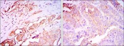
Immunohistochemistry-Paraffin: CEACAM-5/CD66e Antibody (1C7) [NBP2-22173] - CEACAM5 Antibody (1C7) Immunohistochemical analysis of paraffin-embedded rectum cancer tissues (left) and stomach cancer tissues (right) using ...read more
ELISA: CEACAM-5/CD66e Antibody (1C7) [NBP2-22173] - CEACAM5 Antibody (1C7) Red: Control Antigen (100ng); Purple: Antigen (10ng); Green: Antigen (50ng); Blue: Antigen (100ng)

Product Details

Summary
Product Discontinued
View other related CEACAM5/CD66e Primary Antibodies

Order Details


    • Catalog Number
      NBP2-22173
    • Availability
      Product Discontinued

    Can't find what you are looking for? Use our Antibody Concierge Service & we will help you locate your antibody!

    Or feel free to contact us for alternative products.

CEACAM5/CD66e Antibody (1C7) Summary

Immunogen
Purified recombinant fragment of human CEA expressed in E. Coli.
Isotype
IgG1
Clonality
Monoclonal
Host
Mouse
Gene
CEACAM5
Purity
Unpurified
Innovator's Reward
Test in a species/application not listed above to receive a full credit towards a future purchase.

Applications/Dilutions

Dilutions
  • ELISA 1:10000
  • Immunohistochemistry 1:10-1:500
  • Immunohistochemistry-Paraffin 1:200-1:1000
  • Western Blot 1:500-1:2000
Theoretical MW
77 kDa.
Disclaimer note: The observed molecular weight of the protein may vary from the listed predicted molecular weight due to post translational modifications, post translation cleavages, relative charges, and other experimental factors.

Reactivity Notes

Reacts with Human.

Packaging, Storage & Formulations

Storage
Store at 4C short term. Aliquot and store at -20C long term. Avoid freeze-thaw cycles.
Buffer
Ascites
Preservative
0.03% Sodium Azide
Purity
Unpurified

Alternate Names for CEACAM5/CD66e Antibody (1C7)

  • Carcinoembryonic antigen
  • carcinoembryonic antigen-related cell adhesion molecule 5
  • CD66e antigen
  • CD66e
  • CEA
  • CEACAM5
  • CEACAM-5
  • CEACD66e
  • DKFZp781M2392
  • Meconium antigen 100

Background

CEACAM5 Antibody (1C7) (CEA) is synthesised during development in the fetal gut, and is re-expressed in increased amounts in intestinal carcinomas and several other tumors. Antibodies to CEA are useful in identifying the origin of various metastatic adenocarcinomas and in distinguishing pulmonary adenocarcinomas (60 to 70% are CEA+) from pleural mesotheliomas (rarely or weakly CEA+).The carcinoembryonic antigen (CEA) is a member of a large family of glycoproteins and a useful tumor marker for adenocarcinoma.Tissue specificity: Found in adenocarcinomas of endodermally derived digestive system epithelium and fetal colon.

Limitations

This product is for research use only and is not approved for use in humans or in clinical diagnosis. Primary Antibodies are guaranteed for 1 year from date of receipt.

Customers Who Viewed This Item Also Viewed...

NB120-22711
Species: Hu, Mu
Applications: ELISA, Flow, ICC/IF, IHC, IHC-Fr,  IHC-P
MAB1368
Species: Hu, Mu
Applications: CyTOF-ready, ICC, ICFlow, KO, Simple Western, WB
NBP1-83910
Species: Hu
Applications: IHC,  IHC-P, KD, WB
NB110-58870
Species: Hu, Mu, Rt
Applications: ICC/IF, IHC, KD, Simple Western, WB
H00001434-M08
Species: Hu, Mu
Applications: ELISA, ICC/IF, IHC,  IHC-P, WB
NBP2-00532
Species: Ca, Hu, Pm, Mu, Rt
Applications: Flow, ICC/IF, IHC,  IHC-P, WB
NBP2-45646
Species: Ca, Hu, Mu, Rt
Applications: IHC,  IHC-P, WB
NB100-687
Species: Hu, Mu, Rt
Applications: Flow, ICC/IF, IHC,  IHC-P, Simple Western, WB
NBP1-84854
Species: Hu, Mu, Rt
Applications: ICC/IF, IHC,  IHC-P, KD, WB
NBP2-67309
Species: Hu, Rt
Applications: Flow, ICC/IF, IHC,  IHC-P, IP, WB
5609-MU
Species: Hu
Applications: Bind
NB300-223
Species: Bv, Ca, Ch, Eq, Hu, Mu, Po, Rt
Applications: ICC/IF, IHC, IHC-Fr,  IHC-P, WB
MAB3934
Species: Hu
Applications: CyTOF-ready, Flow, WB
NB200-103
Species: Hu, Mu, Rt, Xp(-), Ye
Applications: CyTOF-ready, ELISA, Flow-IC, Flow, ICC/IF, IHC, IHC-Fr,  IHC-P, IP, WB
DKK300
Species: Hu
Applications: ELISA
NB120-14817
Species: Hu, Rt
Applications: ICC/IF, IHC, S-ELISA, WB
NBP2-45788
Species: Ce, Hu
Applications: IHC,  IHC-P, WB
NBP2-47940
Species: Hu
Applications: CyTOF-ready, Flow, ICC/IF, IF, IHC,  IHC-P, Simple Western, WB

Publications for CEACAM5/CD66e Antibody (NBP2-22173) (0)

There are no publications for CEACAM5/CD66e Antibody (NBP2-22173).
By submitting your publication information earn gift cards and discounts for future purchases.

Reviews for CEACAM5/CD66e Antibody (NBP2-22173) (0)

There are no reviews for CEACAM5/CD66e Antibody (NBP2-22173). By submitting a review you will receive an Amazon e-Gift Card or Novus Product Discount.
  • Review with no image -- $10/€7/£6/$10 CAD/¥70 Yuan/¥1110 Yen
  • Review with an image -- $25/€18/£15/$25 CAD/¥150 Yuan/¥2500 Yen

Product General Protocols

Find general support by application which include: protocols, troubleshooting, illustrated assays, videos and webinars.

Video Protocols

WB Video Protocol

FAQs for CEACAM5/CD66e Antibody (NBP2-22173) (0)

There are no specific FAQs related to this product. Read our general customer & technical service FAQs.

Contact Information

Product PDFs

Calculators

Concentration Calculator

The concentration calculator allows you to quickly calculate the volume, mass or concentration of your vial. Simply enter your mass, volume, or concentration values for your reagent and the calculator will determine the rest.

=
÷

Review this Product

Be the first to review our CEACAM5/CD66e Antibody (1C7) and receive a gift card or discount.

Bioinformatics

Gene Symbol CEACAM5